Ultrasound-Guided Vascular Access Routes: An Overview
Ultrasound (US)-guided vascular access is a technique that can increase safety as well as technical and procedural success when performing invasive cardiovascular procedures. Vascular access sites in invasive cardiovascular medicine include the radial artery, brachial artery, upper extremity veins, jugular vein, femoral artery and vein, popliteal artery, and the dorsalis pedis artery. According to the American Institute of Ultrasound Medicine’s 2012 practice parameters, there is a consensus opinion that ultrasound-guided vascular access offers substantial cumulative benefits in terms of procedural success and safety for all invasive vascular procedures.1 Therefore, readily available access to ultrasound equipment and regular training in ultrasound-guided vascular access are beneficial for invasive cardiovascular personnel.
Advantages of Ultrasound-Guided Access
Table 1 describes advantages of ultrasound-guided access, which include visualizing depth and diameter of vessels (Figure 1), assessing flow and disease dynamics, and finding veins that are not visible or palpable. US guidance should be used for peripheral vascular access, especially when by use of palpation or sight, an appropriate vessel for cannulation is unable to be found.2 For some access routes, such as upper arm veins and the popliteal artery, ultrasound-guided access is necessary. For other routes, such as the jugular vein, there is clear evidence that supports the use of US-guided vascular access. US guidance assists in jugular vein access because it allows the operator to avoid accessing the carotid artery and other structures in the neck.1,2
Vascular access can be challenging when patients present with obesity, edema, poorly palpable pulses, known vascular disease, intravenous (IV) drug abuse, and limited access options.2 Ultrasound-guided access is beneficial for venous access, since many veins are not palpable and lie close to major arteries. In these cases, US can minimize the chances of puncturing the wrong vessel or other structures. When accessing non-palpable arteries such as the popliteal artery, US is essential to ensure access. The use of US-guided access is becoming more widely used in practice and operators should be encouraged to be trained in US-guided vascular access techniques. Internationally, recommendations advocate for US guidance for all venous-access sites for both pediatric and adult patients, particularly when difficulties are expected.3
Technique
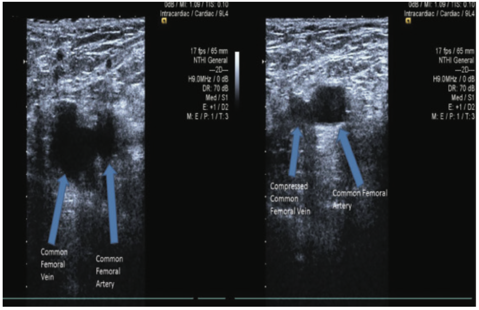
Ultrasound can be used to take static or dynamic images of a target blood vessel. However, dynamic ultrasound offers the advantage of observing vascular access in real time.3,4 Most ultrasound machines allow for short axis and long axis views to actively visualize wire and needle insertion (Figure 2). Color-flow ultrasound can confirm arterial and venous flow, and verify the patency of a target vessel. Ultrasound can also differentiate between arterial and venous structure by performing a compression test. In this test, the thinner-walled vein collapses when the probe applies pressure (Figure 3). Additionally, arterial pulsation may be visualized with US, which also helps distinguish between arterial and venous anatomy. For correct orientation of anatomy, the ultrasound probe indicator should be placed to the operator’s left side (Figure 4). Basic procedural steps for vascular access are described in Table 2.
Radial Artery Access
As radial artery access becomes more common in coronary angiography, US guidance has benefits that may result in higher cannulation success rates, fewer total attempts, and decreased procedural time. US guidance is an easily learned technique to isolate the artery and determine size and depth4, and may decrease the time that it takes for successful radial artery access. In addition, successful US-guided insertion identifies vessel size to ensure that a 6 French sheath can be inserted (Figure 5). US guidance and first-time successful punctures also reduce the likelihood of spasm and thrombosis, and increase patient comfort.5 Therefore, US guidance should be considered for routine as well as potentially challenging radial artery access.
Upper Arm Access
The brachial artery, vein, and nerve all lie in close proximity to each other. Therefore, US offers the ability to visualize and access the correct vessel during brachial access. Brachial artery access is associated with higher vascular complication rates than radial or femoral artery access, and compressive complications and nerve impacts can occur because of brachial artery or vein punctures.6 Brachial artery and vein access can be optimized by using micropuncture needles and US guidance; this technique allows the operator to effectively visualize vessels, minimize access trauma, and avoid nearby nerves and vessels.6 Brachial artery access is not commonly performed in coronary angiography and is generally performed on people with advanced atherosclerotic disease. Therefore, US guidance provides the advantage of minimizing additional vascular issues associated with brachial artery access (Figure 6).
US insertion has been determined to be fast and reliable for use in upper arm venous access. It allows operators to isolate the cephalic, brachial and basilic veins. As radial artery access increases for coronary angiography, upper arm vein access is becoming more commonly used for right heart catheterization. Each of the three upper arm veins can be accessed, but they should be evaluated to determine size, location and course to choose the best access route. The cephalic vein may be small-caliber and tortuous, and the brachial vein is in close proximity to the brachial artery and nerve. In many cases, the basilic vein is large, has a straighter course to the heart, and avoids arterial and nervous system anatomy. Therefore, ultrasound not only isolates the veins, but also allows access into a vessel that is large enough to accommodate swan catheters, and more easily travel to the heart and pulmonary arteries. The antecubital fossa houses the deep brachial vein, which is often posterior to the median nerve or the brachial artery. The basilic vein is more isolated and is frequently the safest choice in ultrasound-guided peripheral venous access.7
Jugular Vein Access
Evidence strongly supports US guidance for accessing the internal jugular vein.8 Ultrasound is important for jugular access, because of the proximity of the carotid artery, anatomic variations, and other structures in the neck.1,8,9 Research has also concluded that US guidance reduced jugular access complication rates, suggesting that US training can be used to curtail accidental internal carotid artery (ICA) puncture, local hematoma, and pneumothorax rates.9 Both short- and long-axis real-time US guidance approaches for internal jugular vein cannulation have proven to perform better than the landmark insertion technique for central venous catheters.10 Preliminary ultrasound evaluation of the vein patency, size and location should also be analyzed when attempting jugular vein access11 (Figure 7).
Lower Extremity Access
Femoral arterial and venous access is widely used for a wide variety of procedures. For arterial access, US guidance, in conjunction with external rotation of the leg and fluoroscopic marking of the femoral head, can decrease the number of attempts for successful common femoral artery cannulation. It reduces the time to obtain access, the risk of puncturing the wrong vessel or vessel segment, and subsequent vascular complications (Figures 8-9). US guidance helps avoid punctures into the superficial femoral artery or profunda, decreases inappropriate punctures of the femoral vein, and it may prevent sticks above the inguinal ligament. Increasing US experience was associated with a reduced time required for access with US guidance, and operators with greater than 10 procedures have reduced access time and demonstrate a trend toward improved common femoral artery cannulation success.12-15 When using large-caliber sheaths for procedures such as transcatheter aortic valve replacement (TAVR) and endovascular aneurysm repair, US guidance of the vessel ensures placement of the sheath into the center of a large, disease-free vessel segment. This may help minimize procedural complications, improve the technical success of the procedure, and optimize hemostasis.
Fluoroscopic location of the femoral head is an important tool to isolate the femoral artery and vein. However, it is not an accurate landmark on its own, because fluoroscopic guidance does not reduce the number of puncture attempts required to achieve access, puncturing a deep artery at a level identified by a surface marker can be difficult without repeated fluoroscopy, and individual patient anatomy may vary17-19 (Figure 8). Due to these variables and the ability to puncture the target vessel in real time, ultrasound has a defined role for femoral vessel access.
In the electrophysiology lab, US-guided venous access is becoming increasingly common. When placing multiple venous sheaths into a single femoral vein, US guidance allows the operator to minimize the risk of puncturing the artery and it determines the ability to deploy a figure-of-eight suture technique for hemostasis. The US allows the operator to deploy the suture without creating risk to the femoral artery, and ensure that the vessels are deep enough to deploy figure-of-eight sutures. When accessing the femoral artery and placing multiple venous sheaths in a single vessel, US guidance is strongly encouraged to optimize vascular access.
Antegrade femoral artery access is a challenge for operators, because it requires a puncture that accesses the common femoral artery, and directs the wire and sheath into the superficial or deep femoral artery as needed. US guidance allows the operator to enter the common femoral artery and guide the sheath into the superficial femoral artery to perform peripheral interventions. In difficult patients, such those with significant peripheral vascular disease and obesity, US guidance is a valuable tool to ensure successful vascular access.
In cases of severe lower extremity disease, the popliteal artery may be accessed using US guidance. Since the popliteal artery is not palpable, US guidance is essential for proper sheath insertion. The use of the popliteal artery is beneficial for patients with severe superficial femoral artery disease that cannot be accessed via the femoral, brachial, or tibial arteries. It is an important access option for limb salvage and management of severe claudication, and US-guided access may help limit vascular complications from the popliteal approach.
Conclusion
US-guided venous access is a valuable tool in the hands of an experienced operator. It is particularly useful when vascular access is difficult, or when the structure can only be accessed by ultrasound, as in the case of the popliteal artery. Ultrasound helps determine the depth and diameter of the vessel, identifies other important anatomical structures, and provides supplemental imaging to assess vascular disease at access sites. It also reduces fluoroscopic doses by using non-radiation imaging modalities. Its popularity is increasing and appropriate training, preparation, technique, and equipment can facilitate a high-quality, safe, and effective cannulation.
References
- AIUM practice guideline for the use of ultrasound to guide vascular access procedures. J Ultrasound Med. 2013 Jan; 32(1): 191-215.
- McNamee J, Jeong J, Patel N. 10 tips for ultrasound-guided peripheral venous access. ACEP Now. 2014 Dec. Available online at https://www.acepnow.com/article/10-tips-ultrasound-guided-peripheral-venous-access/. Accessed September 12, 2018.
- Scoppettuolo G, Pittiruti M, Pitoni S, et al. Ultrasound-guided “short” midline catheters for difficult venous access in the emergency department: A retrospective analysis. Int J Emerg Med. 2016 Dec; 9(1): 3. doi: 10.1186/s12245-016-0100-0.
- Roberts J, Manur R. Ultrasound-guided radial artery access by a non-ultrasound trained interventional cardiologist improved first-attempt success rates and shortened time for successful radial artery cannulation. J Invasive Cardiol. 2013 Dec; 25(12): 676-679.
- Rao SV, Tremmel JA, Gilchrist IC, et al; Society for Cardiovascular Angiography and Intervention’s Transradial Working Group. Best practices for transradial angiography and intervention: a consensus statement from the society for cardiovascular angiography and intervention’s transradial working group. Catheter Cardiovasc Interv. 2014 Feb; 83(2): 228-236. doi: 10.1002/ccd.25209.
- Sos TA. Brachial and axillary arterial access. Endovascular Today. 2010 May. Available online at https://evtoday.com/2010/05/brachial-and-axillary-arterial-access/. Accessed September 12, 2018.
- Goldstein JR. Ultrasound-guided peripheral venous access. Israeli Journal of Emergency Medicine. Dec 2006; 6(4): 46-52. Available online at www.isrjem.org/Dec06_VenousAccess_Goldstein_postprod.pdf. Accessed September 12, 2018.
- Sabado JJ. Principles of ultrasound-guided venous access. UpToDate. 2018 Jan. Available online at https://www.uptodate.com/contents/principles-of-ultrasound-guided-venous-access. Accessed September 12, 2018.
- Rando K, Castelli J, Pratt JP, et al. Ultrasound-guided internal jugular vein catheterization: A randomized controlled trial. Heart Lung Vessel. 2014; 6(1): 13-23.
- Tammam TF, El-Shafey EM, Tammam HF. Ultrasound-guided internal jugular vein access: comparison between short axis and long axis techniques. Saudi J Kidney Dis Transpl. 2013 Jul; 24(4): 707-713.
- Rossi UG, Rigamonti P, Tichà V, et al. Percutaneous ultrasound-guided central venous catheters: the lateral in-plane technique for internal jugular vein access. J Vasc Access. 2014 Jan-Feb; 15(1): 56-60. doi: 10.5301/jva.5000177.
- Yilmaz S, Sindel T, Lüleci E. Ultrasound-guided retrograde popliteal artery catheterization: experience in 174 consecutive patients. J Endovasc Ther. 2005 Dec; 12(6): 714-722.
- Seto AH, Abu-Fadel MS, Sparling JM, et al. Real-time ultrasound guidance facilitates femoral arterial access and reduces vascular complications: FAUST (Femoral Arterial Access with Ultrasound Trial). JACC Cardiovasc Interv. 2010 Jul; 3(7): 751-758. doi: 10.1016/j.jcin.2010.04.015.
- Pitta SR, Gulati R, Mathew V. Ultrasound-guided vascular access: a new tool in the cath lab. Quality Improvement Toolkit: The Society for Cardiovascular Angiography and Interventions. 2016 June. Available online at https://www.scai.org/QITTip/ultrasound-guided-vascular-access-new-tool-in-cath. Accessed September 12, 2018.
- Ragou M, Gravvanis A, Dimitriou V, et al. Real-time ultrasound-guided subclavian vein cannulation versus the landmark method in critical care patients: a prospective randomized study. Crit Care Med. 2011; 39: 1607-1612.
- Lo RC, Fokkema MT, Curran T, et al. Routine use of ultrasound-guided access reduces access-site related complications after lower extremity percutaneous revascularization. J Vasc Surg. 2015 Feb; 61(2): 405-412. doi: 10.1016/j.jvs.2014.07.099.
- El-Sayed HF. Retrograde pedal/tibial artery access for treatment of infragenicular arterial occlusive disease. MDCVJ. 2013; IX(2): 73-78. Available online at https://www.ncbi.nlm.nih.gov/pmc/articles/PMC3693519/pdf/MDCVJ-09-073.pdf. Accessed September 12, 2018.
- Abu-Fadel MS, Sparling JM, Zacharias SJ, et al. Fluoroscopy vs. traditional guided femoral arterial access and the use of closure devices: a randomized controlled trial. Catheter Cardiovasc Interv. 2009; 74: 533-539.
- Jacobi J, Schussler JM, Johnson KB. Routine femoral head fluoroscopy to reduce complications in coronary catheterization. Proc (Bayl Univ Med Cent). 2009 Jan; 22(1): 7-8.
Disclosure: The authors report no conflicts of interest regarding the content herein.
The authors can be contacted via Richard Merschen, EdS, RT(R)(CV), RCIS, at richardmerschen@verizon.net.


