Transradial Structural Intervention: Aortic Paravalvular Leak Closure
Case
A 90-year-old female was treated with bioprosthetic aortic valve replacement 3 years prior at an outside institution. An echocardiogram performed 4 months following surgery showed moderate to severe paravalvular regurgitation around the bioprosthetic aortic valve. At a follow-up visit two years later, the patient complained of worsening shortness of breath and dyspnea on exertion, even from simply walking around the house. She had multiple, recurrent hospitalizations for acute exacerbation of congestive heart failure. A recent echocardiogram showed aortic valve bioprosthesis with mild central intrinsic regurgitation and moderate to severe paravalvular aortic regurgitation. There was also moderate left ventricular hypertrophy with normal systolic wall motion and function, and a visually estimated left ventricular ejection fraction (LVEF) >55%. She was evaluated by a cardiothoracic surgeon, who felt that transcatheter aortic valve replacement was not an ideal treatment option, especially for addressing the paravalvular leak. The patient was referred to us for percutaneous paravalvular leak repair.
Procedure
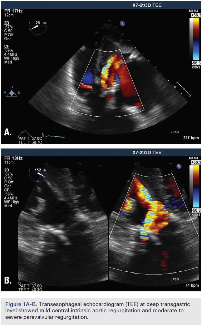
The procedure was performed under deep sedation with use of intravenous (IV) propofol. Transesophageal echocardiography (TEE) was utilized to assist in the closure of the aortic paravalvular leak (PVL). TEE confirmed a bioprosthetic aortic valve with mild central intrinsic regurgitation, and moderate to severe paravalvular regurgitation (Figure 1A-B). The paravalvular regurgitation was found at the lateral aspect of the aortic annulus (Figure 2).
The paravalvular regurgitation began near the left main coronary ostium and extended anteriorly, measuring approximately 1.25cm long and .67cm wide (Figure 3A-B). Both right femoral and right radial accesses were obtained using a 6 French sheath. The aortography, performed via a right radial approach, also demonstrated the paravalvular leak (Figure 4). After crossing the PVL with a .035-inch Glidewire (Terumo Interventional Systems), the guide catheter was unable to advance through the PVL over the .035-inch Glidewire, despite multiple attempts via the femoral approach with different catheters. Attempts were made using a 6 French multipurpose guide catheter, a 5 French Judkins right (JR)4 guide catheter, a mother-daughter technique with a multipurpose guide and a diagnostic catheter, a 6 French, 90cm Destination sheath (Terumo), and a 5 French, 90cm Ansel sheath (Cook Medical).
At this point, the approach was changed. The Extra Back-Up (EBU) 3.5 guide was advanced from the femoral approach to selectively engage the left main ostium. The EBU guide was left in place to protect the left main ostia, because the paravalvular leak was closed to the left main origin. Using a 5 French JR4 guide catheter via the right radial access, we were able to successfully advance the JR4 guide catheter through the paravalvular leak (Figure 5). A 5 French, 90cm Destination sheath was telescoped over the 5 French guide catheter across the PVL. Under TEE and fluoroscopic guidance, an 8mm Amplatzer Vascular Plug (St. Jude Medical) was deployed across the PVL and through the Destination sheath, and a tug test was performed. (Figure 6A-B, 7). The final TEE imaging showed a well-deployed Amplatzer Vascular Plug into the paravalvular aortic annular defect, with a significant decrease in paravalvular regurgitation compared with the pre-procedure study (Figures 8, 9). A trace to mild paravalvular insufficiency and a mild intrinsic central aortic insufficiency were seen (Figure 10). A hemostatic band and a vascular closure device were used to achieve hemostasis in the radial artery and femoral artery, respectively. The patient tolerated the procedure well and she was discharged from the hospital the next morning. At her follow-up visit, she had significant improvement in her symptoms.







Discussion
Paravalvular leaks (PVLs) can occur from an incomplete seal between the sewing ring and annulus. The incidence of PVLs has been recorded at anywhere from 2-10% of patients who have undergone surgical aortic prosthetic valve replacement.1,2 For transcatheter aortic valve replacement, the incidence of moderate PVLs has been estimated at 13.5% for the Sapien valve (Edwards Lifesciences) and 19.9% for the CoreValve (Medtronic).6 Although most patients with PVL are asymptomatic, approximately 1-5% of these patients can develop congestive heart failure, hemolytic anemia, and arrhythmia, depending on the size of the leaks. Treatment of PVL traditionally has been performed by repeat open surgery; however, redo surgery carries a higher operative risk, with mortality rates reaching 15% compared to the initial procedure.5 Percutaneous closure of paravalvular leaks is an alternative to surgery for high operative risk patients. The technical success of percutaneous mitral and aortic paravalvular leak closure was reported to be from 77-86% in a number of case series.2
The device is selected based on the shape and size of the defects, and the surrounding structures. Several types of Amplatzer occluder devices have been used to treat PVLs, including Amplatzer Vascular Plugs (AVP II, III and IV). The Amplatzer Vascular Plug III has an oval shape, and therefore, it is more appropriate for PVLs with crescent-shaped defects.2
Aortic prosthetic valve PVLs can be repaired using a retrograde approach through the femoral artery.7 The procedure can be challenging due to the localization and geometry of the PVL and track of the canal, which can be very difficult to engage and cross with the guide wire, catheter, or sheath. In addition, the passage of the guide wire and occlusive device through the narrow canal between the calcified annulus and sewing ring can be difficult.2 Retrograde transfemoral access is most commonly utilized for repairing aortic PVLs. The transapical approach can be an alternative technique in cases of a failed retrograde attempt, especially when difficulties in passing through the leak canal are present. In our case, we had difficulty crossing the PVL with a guide catheter and sheath across the PVL via transfemoral access, but it was easy to cross the PVL via radial access, because of the different course and direction of catheter advancement in a changed passage bias. This case was also technically challenging due to the proximity of the left main ostia to the PVL. This case illustrates that a transradial approach can be used for aortic PVL closure prior to considering transapical approach.
References
- Taramasso M, Maisano F, Latib A, Denti P, Guidotti A, Sticchi A, et al. Conventional surgery and transcatheter closure via surgical transapical approach for paravalvular leak repair in high-risk patients: results from a single-centre experience. Eur Heart J Cardiovasc Imaging. 2014 Oct; 15(10): 1161-1167. doi: 10.1093/ehjci/jeu105.
- Kliger C, Eiros R, Isasti G, Einhorn B, Jelnin V, Cohen H, et al. Review of surgical prosthetic paravalvular leaks: diagnosis and catheter-based closure. Eur Heart J. 2013 Mar; 34(9): 638-649. doi: 10.1093/eurheartj/ehs347.
- Sorajja P, Cabalka KA, Hagler JD, Rihal SC. Percutaenous repair of paravalvular prosthetic regurgitation acute and 30-day outcomes in 115 patients. Circ Cardiovasc Interv. 2011 Aug; 4(4): 314-321. doi: 10.1161/CIRCINTERVENTIONS.110.960955.
- Phillips AS, Thompson A, Abu-Halimah A, Crenshaw HM, Zhao XD, Pretorius M. Percutaneous closure of aortic prosthetic paravalvular regurgitation with two amplatzer septal occluders. Anesth Analg. 2009 Feb; 108(2): 437-438. doi: 10.1213/ane.0b013e31818fbddc.
- Koffmayer SK, Zellner C, Kwan MD, Konety S, Foster E, Phillip M, Yeghiazarians Y. Closure of a paravalvular aoric leak with the use of 2 amplatzer devices and real-time 2 and 3-dimensional transesophageal echocardiography. Tex Heart Inst J. 2011; 38(1): 81-84.
- Sharma S, Kliger C, Jelnin V, Ruiz EC. Paravalvular leak closure: the apical approach. Imaging and procedural considerations for PVL closure via surgical and percutaneous transapical approaches. Cardiac Interventions Today. March/April 2014. Available online at https://citoday.com/2014/04/paravalvular-leak-closure-the-apical-approach/. Accessed December 16, 2015.
- Rihal SC, Sorajja P, Booker DJ, Hagler JD, Cabalka KA. Principles of percutaneous paravalvular leak closure. JACC Cardiovasc Interv. 2012 Feb; 5(2): 121-130. doi: 10.1016/j.jcin.2011.11.007.
- Hadjimiltiades S, Ziakas A, Grosomanidis V, Karvounis H, Misias G, Anastasiadis K, Styliadis J. Paravalvular aortic prosthetic valve leak closure: Technical aspects of the percutaneous approach. Hellenic J Cardiol. 2014 Jul-Aug; 55(4): 342-347.


