Radiation for Refractory Restenosis via the Radial Route: Compatibility of Coronary Brachytherapy With Transradial Access
Drug-eluting stents (DES) have been a revolutionary advance for percutaneous coronary intervention (PCI) by reducing restenosis and the need for repeat revascularization procedures.1 Nevertheless, even with the newer generation DES, target vessel revascularization (TVR) is required in approximately 10% of patients.2 DES restenosis is most often treated by placement of a second DES. A small but challenging population of patients will develop recurrent or refractory restenosis despite repeated layers of DES. These patients have extremely high rates of TVR when treated by further PCI procedures, regardless of whether or not additional DES are placed.3 The challenges of managing this group of patients have spurred a resurgent interest in coronary brachytherapy.4-7
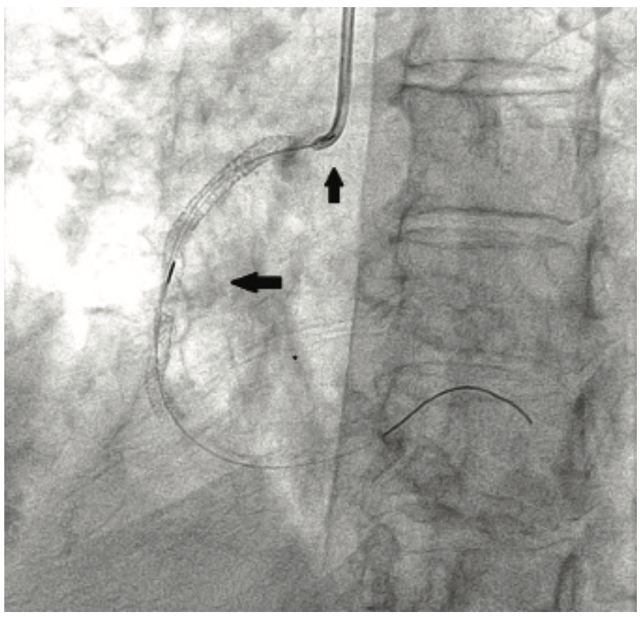
The current commercially available coronary brachytherapy system is the Beta-Cath (Best Vascular Novoste), which emits beta-radiation from a strontium-90 source. The source train is deployed via a 3.5 French (Fr) delivery catheter. Because of the size and stiffness of the delivery catheter, guiding catheter backup support and lesion preparation are important to ensure successful delivery of the device to the target lesion. In this report, we describe two patients with a history of numerous procedures for recurrent DES restenosis, in whom coronary brachytherapy with the Beta-Cath system was successfully used through a transradial approach.
Case 1.
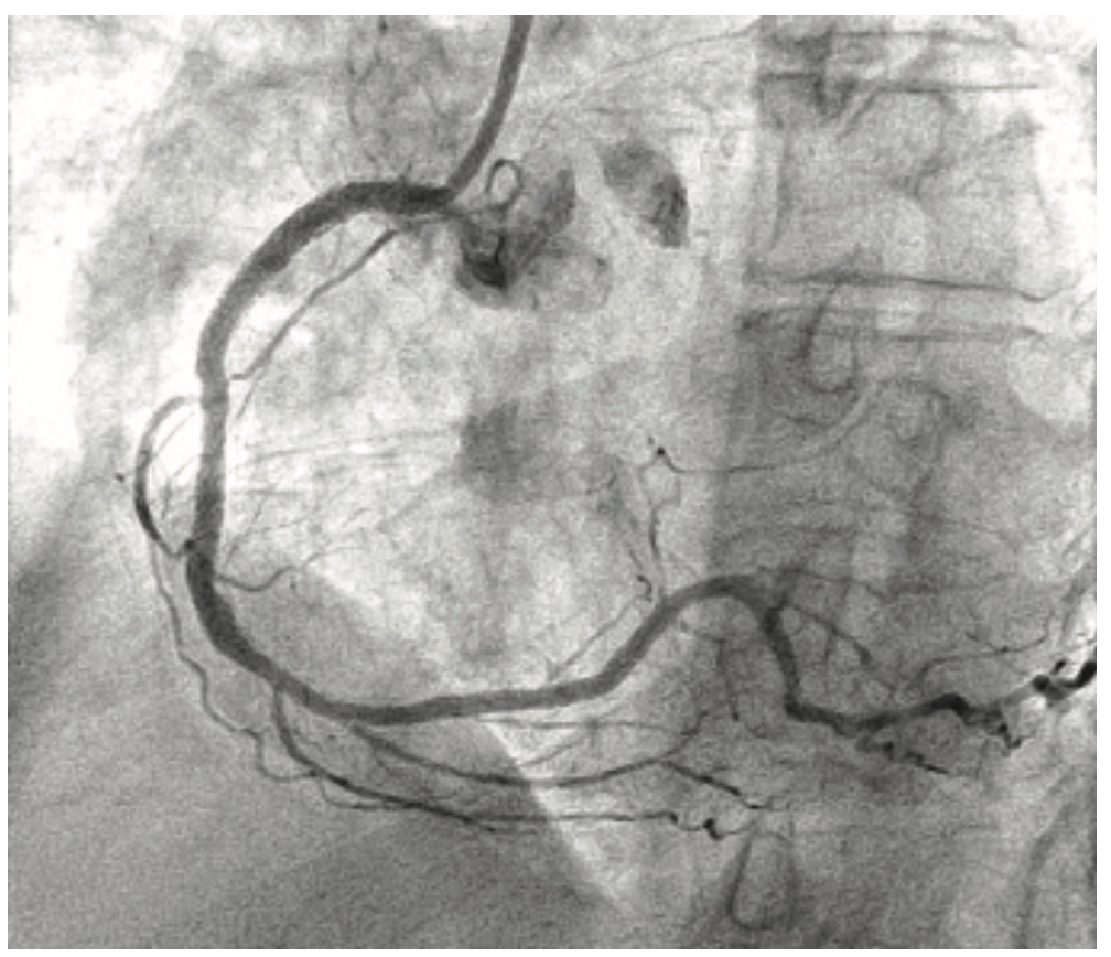
A 73-year-old woman was self-referred to our institution for coronary brachytherapy. She had symptomatic restenosis despite four prior PCI procedures entailing 5 DES over a two-year period (Figure 1). Cardiac risk factors included diabetes, hypertension, hypercholesterolemia, prior smoking, and mantle radiation for Hodgkin’s lymphoma at age 35. In June 2014, she suffered a postoperative myocardial infarction (MI) following a hysterectomy and underwent PCI of serial 90% RCA stenoses with placement of two Promus DES (Boston Scientific). In April 2015, she developed chest tightness with dyspnea and underwent a second PCI for a long 90% in-stent restenosis that was treated with a Xience DES (Abbott Vascular). In November 2015, recurrent symptoms due to a diffuse 90% in-stent restenosis led to a third PCI with placement of two Resolute DES (Medtronic). In May 2016, an abnormal stress test with inferior ischemia led to a fourth PCI procedure. Multiple 90% in-stent lesions were treated with balloon angioplasty alone. Cilostazol was prescribed, in addition to aspirin and clopidogrel. Three months later, despite optimal medical therapy, she developed unstable angina associated with new inferior T-wave inversions and inferior hypokinesis on echocardiography. She was admitted to our institution for coronary brachytherapy.
The patient’s prior procedures were performed via transfemoral approach and on one occasion, she experienced severe local pain due to vascular hemorrhage. The coronary brachytherapy procedure was performed using left radial artery access with a 6 Fr 10 cm long Slender Glidesheath (Terumo) and anticoagulation with bivalirudin. Baseline angiography showed sequential, high-grade restenotic lesions in the proximal right coronary artery (RCA) stents in addition to significant stenosis at the outflow of the most distal stent (Figure 2A). The in-stent restenosis was treated with laser atherectomy using an X-80 excimer catheter (Spectranetics) followed by balloon angioplasty with a 3.5 mm Angiosculpt scoring balloon (Spectranetics) and 4.0 mm NC Euphoria balloon (Medtronic). The most distal lesion, which extended beyond the prior stents, was treated with a new Promus DES. Coronary brachytherapy of the proximal lesions was then performed with a Beta-Cath 40 mm long source for a treatment dose of 23 Gray (Figure 2B). Final angiographic result is shown in Figure 2C. Repeat cardiac catherization at 3 months, performed because of chest pain, demonstrated widely patent stents. The patient has continued on aspirin and clopidogrel, and remains symptom-free 1 year post procedure.
Case 2.
An 87-year-old man with prior coronary artery bypass surgery in 1998 and history of diabetes, hyperlipidemia, hypertension, and prior smoking, underwent PCI with Resolute DES placement for disease at the distal anastomosis of a 16-year-old saphenous vein graft (SVG) to the left circumflex obtuse marginal branch. During the following two years, he experienced numerous episodes of acute coronary syndromes due to recurrent in-stent restenosis, requiring four additional PCI procedures and multiple additional DES (Figure 3). Within two months of his fifth PCI procedure, he developed recurrent prolonged angina with a non-ST segment elevation MI (peak troponin T 0.12 ng/ml). Echocardiography demonstrated significantly reduced global left ventricular function with an ejection fraction of 30%. He was referred to our institution for coronary brachytherapy.
Left radial access was obtained with placement of a 6 Fr 10 cm Slender Glidesheath. Heparin and eptifibatide were used for anticoagulation. A 6 Fr Amplatz left (AL) 1 short tip guiding catheter (Cardinal Health) was used to provide extra backup support. Angiography demonstrated a diffuse subtotal in-stent restenosis of the distal SVG (Figure 4A). Laser atherectomy was performed with an X-80 excimer laser, followed by balloon angioplasty with 3.0 mm Angiosculpt scoring balloon and 3.5 NC Trek balloon (Abbott Vascular). Coronary brachytherapy was then administered using a 40 mm Beta-Cath source train, with a dwell time of 4 minutes, 48 seconds to deliver a dose of 23 Gray. The final angiographic result is shown in Figure 4B. The patient continues to do well post procedure and remains on dual antiplatelet therapy.
Discussion
DES have significantly reduced but have not eliminated the problem of restenosis. A small subset of patients will have refractory restenosis despite repeated layers of DES. The results of additional PCI in this setting are poor, with target lesion failure at 2 years exceeding 50% even if a third layer of DES is placed.3 Drug-eluting balloons are a promising option for these patients, but are not available for coronary use in the United States. Given the challenges of finding a long-term solution to this problem, coronary brachytherapy has re-emerged as a therapeutic option. Coronary brachytherapy was the treatment of choice for restenosis in the bare-metal stent era.8 Coronary brachytherapy inhibits the first wave of cellular proliferation after angioplasty with prevention of adventitial myofibroblast proliferation and has a favorable effect on vascular remodeling.9 With the advent of DES, coronary brachytherapy all but disappeared from the clinical landscape. Because of challenging cases of refractory DES restenosis such as the patients in the current report, coronary brachytherapy has been resurrected and is currently available in over 20 centers across the country. In a recent study of 186 patients with recurrent DES restenosis, the reported incidence of target lesion revascularization (TLR) at 3 years was 20.7% after coronary brachytherapy.5 The patients in our report represent extreme cases of refractory DES restenosis. They had undergone 4 and 5 prior PCIs, respectively, before undergoing coronary brachytherapy and both had failed 3 layers of second-generation DES. In addition, both patients had undergone numerous catheterizations, all using femoral artery access. Both reported significantly less local discomfort with their transradial brachytherapy procedures. A limitation of the current case studies is that intravascular imaging with ultrasound or optical coherence tomography was not used to assess stent expansion and morphology of the restenotic lesions.
In contrast to the low profile and easy deliverability of current balloon catheters and stents, the Beta-Cath delivery catheter is a 3.5 Fr device, making it more difficult to deploy (Figure 5). The device requires a guiding catheter of at least 6 Fr. The compatibility with 6 Fr systems is desirable for use via transradial approach, since most radial arteries are not large enough to accommodate 7 Fr catheters.10,11 When using a 6 Fr guide, careful catheter selection for backup support and optimized lesion preparation are essential for procedural success. This was the rationale for the use of laser atherectomy in our two patients, as the goal is to achieve as ideal an angioplasty result as possible, without placing a new stent in the irradiated segment. The excimer X-80 laser catheter was used with three passes involving an incremental sequence of fluence (mJ/mm2) and repetition rate (pulses/second) of 60/60, 60/80, and 80/80.
Transradial catheterization is particularly advantageous in patients such as ours with acute coronary syndromes, given its superior vascular and clinical outcomes.12,13 To our knowledge, this is the first report of coronary brachytherapy performed by transradial access with 6 Fr catheters. It adds another chapter to the expanding story of complex PCI procedures using the radial artery approach.14
References
- Stefanini GG, Holmes DR. Drug-eluting coronary-artery stents. N Engl J Med. 2013; 368: 254-265.
- Silber S, Windecker S, Vranckx P, Serruys PW. Unrestricted randomised use of two new generation drug-eluting coronary stents: 2-year patient-related versus stent-related outcomes from the RESOLUTE all comers trial. Lancet. 2011; 377:1241-1247.
- Theodoropoulos K, Mennuni MG, Dangas GD, Meelu OA, Bansilal S, Baber U, et al. Resistant in-stent restenosis in the drug eluting stent era. Catheter Cardiovasc Interv. 2016; 88: 777-785.
- Ohri N, Sharma S, Kini A, Baber U, Aquino M, Roy S, et al. Intracoronary brachytherapy for in-stent restenosis of drug-eluting stents. Advances in Radiation Oncology. 2016; 1: 4-9.
- Negi SI, Torguson R, Gai J, Kiramijyan S, Koifman E, Chan R, et al. Intracoronary brachytherapy for recurrent drug-eluting stent failure. JACC Cardiovasc Interv. 2016; 9: 1259-1265.
- Mangione FM, Jatene T, Badr Eslam R, Bergmark BA, Gallagher JR, Shah PB, et al. Usefulness of intracoronary brachytherapy for patients with resistant drug-eluting stent restenosis. Am J Cardiol. 2017; 120: 369-373.
- Avril T. When stents don’t work for blocked arteries, targeted radiation may help. Philadelphia Inquirer; January 25, 2017. Available online at https://www.philly.com/philly/health/hearthealth/When-stents-dont-work-for-blocked-arteries-targeted-radiation-may-help.html. Accessed May 21, 2018.
- Gabler S, Savage MP. Restenotic lesions: angioplasty, atherectomy, and brachytherapy. In: George J. (ed): Evidence-Based Guide to Interventional Cardiology and Endovascular Medicine. New York, New York: Nova Science Publishers, Inc.; 2013: pp 115-124.
- Waksman R, Rodriguez JC, Robinson KA, Cipolla GD, Crocker IR, Scott NA, et al. Effect of intravascular irradiation on cell proliferation, apoptosis, and vascular remodeling after balloon overstretch injury of porcine coronary arteries. Circulation. 1997; 96: 1944-1952.
- Saito S, Ikei H, Hosokawa G, Tanaka S. Influence of the ratio between radial artery inner diameter and sheath outer diameter on radial artery flow after transradial coronary intervention. Catheter Cardiovasc Interv. 1999; 46: 173-178.
- Patel T, Shah S, Pancholy S. “Combo” technique for the use of 7F guide catheter system during transradial approach. Catheter Cardiovasc Interv. 2015; 86: 1033-1040.
- Andò G, Capodanno D. Radial versus femoral access in invasively managed patients with acute coronary syndrome: A systematic review and meta-analysis. Ann Intern Med. 2015; 163: 932-940.
- Savage MP, Fischman DL, Ruggiero NJ. A call to arms: Radial artery access for percutaneous coronary intervention. Ann Intern Med. 2015; 163: 956-957.
- Nanavaty S, Kaushik N, Pancholy S. How to avoid sacrificing the benefits of transradial PCI in complex patient subsets. Cath Lab Digest. 2016 Dec; 24(12). Available online at https://www.cathlabdigest.com/article/How-Avoid-Sacrificing-Benefits-Transradial-PCI-Complex-Patient-Subsets. Accessed May 21, 2018.
Disclosure: The authors report no conflicts of interest regarding the content herein.
The authors can be contacted via Michael P. Savage, MD, at michael.savage@jefferson.edu or on Twitter @DocSavageTJU


