“PercAx Impella”: Axillary Artery as an Alternative Access for Large-Bore Devices

A 54-year-old female with a history of peripheral arterial disease (PAD), tobacco abuse, diabetes, severe chronic obstructive pulmonary disease (COPD), obesity, hypertension, and hyperlipidemia presented to an outside hospital with a non-ST-elevation myocardial infarction (NSTEMI). Subsequent left heart catheterization revealed a chronic total occlusion (CTO) of the left anterior descending coronary artery (LAD) and left circumflex (LCx), with a 95% ostial ramus and a patent right coronary artery (RCA) with right to left collaterals (Figures 1-2). Initial ejection fraction by ventriculogram was approximately 30-35%. She was turned down for surgery and subsequent studies revealed viable myocardium; therefore, she was scheduled for percutaneous revascularization with mechanical circulatory support using an Impella left ventricular assist device (Abiomed). She was found to have bilateral occlusion of her iliac stent (Figure 3). It was decided to revascularize at least one of her occluded iliac arteries, and then use the femoral and radial approach for dual access in order to recanalize the CTO. The axillary artery would be used for the Impella, rather than advancing the 14 French (Fr) sheath through a freshly stented artery. The right iliac artery was revascularized and she was brought back to revascularize the left system.
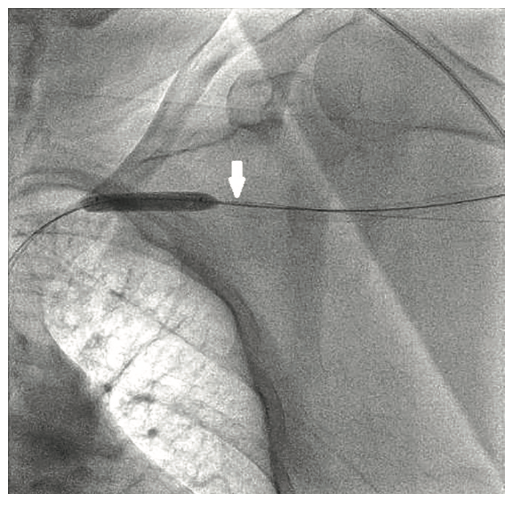
The right groin was accessed using fluoroscopic guidance. A micropuncture sheath was placed and upsized to a 7 French, 45 cm Destination sheath (Terumo) in the right groin. We accessed the right radial, but could not get good flow. Therefore, we ended up using the ulnar artery with ultrasound guidance and placed a Terumo 5/6 Slender sheath in the ulnar artery. We proceeded to access the left axillary artery. We placed a Judkins right (JR)4 catheter in the left subclavian and did a selective angiogram, documenting the location of the thoracoacromial artery and circumflex humeral (Figure 4); then using a Chiba biopsy needle (Cook), accessed the axillary artery and placed a 5-French 30 cm sheath (Cook)(Figure 5). We used the 15 cm biopsy needle to allow us a shallow angle of approach with the patient’s body habitus and to avoid “kinking” the sheath. We then switched out for the Lunderquist wire (Cook Medical), placed an 8 Fr sheath, and performed a pre-close using two Perclose devices (Abbott Vascular) (Figure 6).
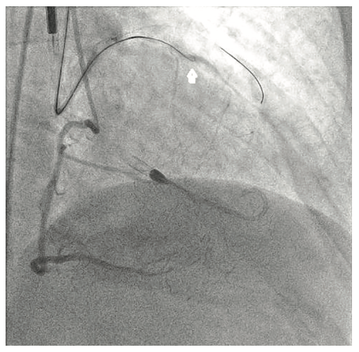
Following the Perclose placement, we upsized to a 14 Fr x 13 cm Cook Medical sheath (Figures 7-8), and through that, advanced a JR catheter into the ventricle and switched out for the Impella 2.5 device (Figure 9). A JR4 and eventually, an Amplatz right (AR) mod, was used from the right ulnar to engage the RCA, and an Extra Backup (EBU) 3.5, 7 Fr (Medtronic) was used from the groin. Dual angiography was performed (Figure 10). Once the activated clotting time (ACT) was >300 seconds, the ramus was wired with a Marvel wire (Boston Scientific). We attempted to cross the LAD CTO using a Corsair (Asahi Intecc) and a Pilot 200 (Abbott Vascular). The Pilot 200 crossed, but it appeared to be in the diagonal and could not be redirected down the LAD. A Gaia second (Asahi Intecc) was able to cross into the LAD (Figure 11), and at that point, was switched out via the Corsair for a workhorse wire, a Runthrough (Terumo). An 0.9 laser (Spectranetics) was used perform laser atherectomy for a minute and a half on the LAD (Figure 12), but we could not get the catheter across. However, this allowed us to advance a balloon across the lesion and we predilated with a 1.5 mm x 20 mm Mini Trek (Abbott Vascular) and then a 2.0 mm x 20 mm balloon. The same 2.0 mm x 20 mm balloon was used in the ramus. A 2.5 mm x 15 mm AngioSculpt (Philips) was used to predilate the LAD, but on its return, the AngioSculpt became stuck and would not come back. We got it partially into the guide and then the shaft broke. We had part of the catheter in the guide and part of it in the coronary (the left main). We initiated a series of procedures to remove the AngioSculpt, first attempting use of a GuideLiner (Vascular Solutions) to envelope the balloon, but this was unsuccessful (Figure 13). The GuideLiner kept pushing the device further out. We tried trapping it; that was also unsuccessful. We were able to get a Mini Trek balloon distal, thinking it could be inflated and pulled back; that did not work. We then put the 4 wires down, wrapped the wires around and pulled back, getting it partially in the guide, but we could not get it all the way in. We got a Mini Trek down, used the GuideLiner to put a 2.0 down, and attempted an anchor technique that did not work, but this time, when we pulled the Mini Trek 2.0 back, it dislodged the balloon. The AngioSculpt was able to come in the guide and was removed without losing wire position. We rewired the ramus, performed dilation of the LAD and ramus with a 2.5 mm noncompliant balloon, and performed intravascular ultrasound (IVUS). The LAD was about 2.75 mm2 distally and the ramus was 3.0 mm2, with the left main being approximately 3.75 mm2. A double kissing (DK) crush technique was used with a 2.75 mm x 38 mm Synergy stent (Boston Scientific) to the LAD and 3.0 mm x 24 mm Synergy to the ramus; then we used proximal optimization technique (POT) with a 3.75 mm NC balloon (Medtronic) and a final kiss with 3.0 mm x 20 mm NC balloons (Figures 14-17). IVUS was used to confirm that the stents were well apposed. The Impella device was weaned and removed, keeping the sheath in. From the groin sheath, a balloon was advanced into the left subclavian and we did a dry close. We inflated an 8.0 mm x 40 mm balloon at 3 atmospheres (nominal is 6 atmospheres) (Figure 18). Once the pressure tracing from the axillary sheath side arm dropped, we were able to remove the sheath and then completed the Perclose. There was some slight track ooze (Figure 19). Therefore, we performed two 5-minute inflations with the 8.0 mm x 40 mm balloon at 3 atmospheres (nominal is 6 atmospheres), and there was complete resolution of the track ooze. No extravasation was noted (Figures 20-21). The ulnar sheath was sutured in, we made sure there were no issues overnight, and the patient was discharged the following morning.
Discussion
Hemodynamic support for complex percutaneous coronary intervention (PCI) and cardiogenic shock has evolved from inotropic and/or vasopressor agents and intra-aortic balloon pump (IABP) to the current use of mechanical circulatory support that can provide greater hemodynamic support, such as the Impella, TandemHeart (Cardiac Assist), and extracorporeal membrane oxygenation (ECMO). Currently, the majority of mechanical circulatory support use is in three populations: cardiogenic shock, high-risk PCI, and cardiac arrest. A full discussion of these devices is beyond the scope of this article, but is outlined well by Atkinson et al.1 The Impella ventricular support system currently consists of the 2.5, CP, and 5.0 devices for hemodynamic support of the left ventricle and augments cardiac output from 2.5-5.0 L/min, depending on the device. There is an Impella RP for right ventricle support. The devices are inserted percutaneously and use an axial pump to facilitate forward flow by drawing blood from the left ventricle and into the ascending aorta. This has the effect of the raising systemic pressure, mean arterial pressure, and cardiac power output. At the same time, the device reduces the left ventricular end-diastolic pressure (LVEDP) and left ventricular end-diastolic volume (LVEDV). The devices are typically inserted via the femoral approach. In addition to requiring prolonged bedrest (increasing deconditioning), many of these patients may have concomitant peripheral vascular disease.
We describe the use of an axillary approach in this case, given the patient’s peripheral vascular disease. She had occluded kissing iliac stents and there was concern about advancing a 14 Fr sheath through the freshly stented right iliac. The subclavian and axillary artery were relatively free of angiographic disease and of adequate size; therefore, it was felt an axillary approach would be a good option for this complex PCI.
Although the femoral artery is the preferred access for most coronary procedures, this approach is relatively contraindicated in severe peripheral vascular disease. Smaller French catheters for diagnostic and intervention may be used, but the use of devices requiring large-bore access, such as a 14 Fr Impella, may increase the risk of limb ischemia or vascular complications. Alternative access such as the radial and brachial arteries have been used for coronary and peripheral intervention in the presence of severe or occlusive peripheral vascular disease. For larger bore devices (transcatheter aortic valve replacement [TAVR], IABP), use of the axillary artery has been described.2-4 Although it is typically smaller than the common femoral artery (CFA), the axillary artery is an acceptable alternative access site for mechanical circulatory support in the presence of severe PAD. Both the left and right subclavian/axillary arteries have been used for TAVR and IABP insertion. Although the vessel is not frequently diseased, it can be small in caliber, and more prone to dissection or disruption due to the lack of a muscular component of the arterial wall.3,4 In a retrospective analysis of 110 computed tomography scans done at a single institution, it was found the average size of the axillary artery is 6.38 mm on the right and 6.52 mm on the left, and that it is also less prone to develop significant atherosclerosis and calcifications.5 The Impella CP is a 14 Fr device (4.62 mm) and in the average axillary artery, should not compromise distal flow. Percutaneous insertion of the Impella device has been previously described,6,7 and has allowed earlier ambulation of the patient and in the correct patient, minimal complications.
References
- Atkinson TM, Ohman EM, O’Neill WW, et al. A practical approach to mechanical circulatory support in patients undergoing percutaneous coronary intervention. JACC Cardiovasc Interv. 2016 May 9; 9(9): 871-883. doi: 10.1016/j.jcin.2016.02.046.
- Archbold RA, Robinson, NM, Schilling, RJ. Radial artery access for coronary angiography and percutaneous intervention. BMJ. 2004; 329: 443-446.
- Bruchi G, Fratto P, De Marco F, et al. The trans-subclavian retrograde approach for transcatheter aortic valve replacement single center experience. J Thorac Cardivasc Surg. 2010;140:911-915
- McBride LR, Miller LW, Naunheim KS, Pennington DG. Axillary artery insertion of an intraaortic balloon pump. Ann Thorac Surg. 1989 Dec; 48(6): 874-875.
- Taylal R, Iftikhar H, LeSar B, et al. CT angiography analysis of axillary artery diameter versus common femoral artery diameter: implications for axillary approach for transcatheter aortic valve replacement in patients with hostile aortoiliac segment and advanced lung disease. Int J Vasc Med. 2016; 2016: 3610705.
- Mathur M, Hira RS, Smith BM, et al. Fully percutaneous technique for transaxillary implantation of the Impella CP. JACC Cardiovasc Interv. 2016;9: 1196-1198.
- Tayal R, Barvalia M, Rana Z, et al. Totally percutaneous insertion and removal of Impella device using axillary artery in the setting of advanced peripheral artery disease. J Invasive Cardiol. 2016; 28: 374-380.
Dr. Zaheed Tai reports the following: speaker/proctor for Terumo, Spectranetics, Boston Scientific, and Abiomed.
Dr. Zaheed Tai can be contacted at zaheedtai@gmail.com.
EXPERT OPERATOR DISCUSSION
Zaheed Tai, DO, talks with Amir Kaki, MD
Amir Kaki, MD, stopped by our lab on his way to proctor in Tampa. We were performing our second axillary access, and he provided a few pointers and sat down for a brief discussion. Dr. Kaki is the Medical Director of the Cardiac Cath Lab, Detroit Medical Center Heart Hospital, Associate Professor of Medicine, Wayne State School of Medicine, and the Director of the CHIP Fellowship.
Amir, thanks for taking the time to provide some tips for this procedure. Can you tell us about the hospital where you practice?
Detroit Medical Center (DMC) Heart Hospital is part of DMC health system in Detroit, Michigan. DMC is partnered with Wayne State University, and is the major academic campus and principal teaching hospital. It is a 500-bed hospital and we perform approximately 125 mechanical circulatory support cases/year and 75 chronic total occlusions (CTOs)/year. The population that we serve is known to have multiple comorbidities with advanced coronary and vascular disease, which was a major drive for us to adopt new technology for complex high-risk indicated patient (CHIP) cases. This includes unprotected left main, CTO, percutaneous mechanical circulatory support, coronary intervention, peripheral vascular intervention, and catheter-based treatment of pulmonary embolism.
You are part of the Cardiogenic Shock Initiative. Can you tell us about that?
For more than 20 years, mortality in cardiogenic shock patients has stagnated at roughly 50%. Today roughly 100,000 Americans will suffer from cardiogenic shock following a heart attack. In 2016, led by Drs William O’Neil and Theodore Schreiber, physicians from 5 hospital systems in Detroit (Henry Ford, Detroit Medical Center, Beaumont, St. Joseph Mercy, and St. John-Providence) got together to create the Detroit Cardiogenic Shock Initiative (CSI), with the goal of improving mortality in patients by changing the paradigm of shock treatment for patient presenting with acute myocardial infarction (AMI) and cardiogenic shock. Partnering hospital systems use a defined protocol for treatment of AMI patients in cardiogenic shock that includes rapid door-to-support time with quick placement of percutaneous mechanical circulatory support (Impella heart pump), immediate percutaneous coronary intervention (PCI), and right heart monitoring to rapidly reduce the use of inotropes/vasopressors. From July 2016 to February 2017, a pilot study was done assessing the data on 37 enrolled patients using the Detroit CSI protocol, based on best practices and currently available devices. The initial results showed an increase in cardiogenic shock survival from 50% to 80%. With this improvement in survival, the protocol is currently expanding to 50 hospital sites nationwide with a goal of 500 patients.
With regards to the case we just did, in addition to the presence of severe peripheral arterial disease, what other indications do you use for axillary Impella placement?
As you pointed out earlier, the axillary artery is an attractive alternative access for patients with severe peripheral arterial disease (PAD) or those with small-caliber iliac and/or femoral arteries (<5 mm). Similarly, patients with severe extremely tortuous vessels or those with heavy calcification should be considered candidates for axillary artery access. In rare cases, patients who have had endovascular aortic repair (EVAR) should be considered.
What anatomical landmarks do you look for when accessing the axillary artery?
Ideally, the axillary artery should be accessed in the second portion, which runs behind the pectoralis minor muscle. This is clinically important, since it is associated with the lowest chance of causing brachial plexus injury. These landmarks are often seen using ultrasound imaging. However, our practice is to use selective angiogram of the subclavian and axillary arteries. Once the axillary artery and all branches are defined, the access point should be lateral to the thoracoacromial artery and medial to the circumflex humeral arteries (Figures 22-23). We recommend a shallow angle of approach, since the Impella sheath is prone to kinking; alternatively, a Cook 14 Fr x 13 cm sheath can be used for the Impella 2.5 or a Cook 14 Fr x 30 cm sheath for the Impella CP.
How do you achieve hemostasis?
An axillary access site requires meticulous steps to guarantee safe implantation and explantation of the sheath. If time permits, two Perclose sutures are deployed at 10 o’clock and 2 o’clock before insertion of the large-bore sheath. In emergent cases, when there is no time for Perclose insertion, our strategy is the following: the sheath is removed and an 8-10 mm diameter balloon (based on the vessel size) from an alternative access (ipsilateral radial artery or femoral artery) is delivered to the arteriotomy site. Then the sheath is removed and the balloon is inflated at the arteriotomy site at 3-4 atmospheres (depending on the size of the vessel) until any oozing stops. The balloon stays inflated in place for 15-30 minutes over the arteriotomy site to achieve hemostasis. If the final angiogram showed extravasation at the access site, another prolonged balloon inflation is used. If balloon and manual compression fails, then a covered stent can be used as final bail-out strategy. In cases of a small axillary artery that is large enough to accommodate the sheath but does not allow distal flow beyond the access point, certain interventions can be done to assure sufficient perfusion to maintain limb viability. Using ultrasound guidance, a micropuncture needle is used to get access to the ipsilateral brachial artery. Distal to the Impella sheath, a 5 Fr sheath is advanced into the brachial artery. The side arm of the Impella and 5 Fr sheath are then connected using a male-to-male connector, creating a continuous flow from the Impella sheath to the side arm of the 5 Fr sheath located in the brachial artery. Flow via this bypass can also then be confirmed distally via Doppler or using standard angiography.
You have done a number of these procedures; how long does it take you to insert the device from the axillary approach? Is it feasible to insert in cardiogenic shock patient, or do you go femoral initially and then switch access sites?
Patients presenting with cardiogenic shock have low reserve and require quick mechanical circulatory support. In case of prohibitive disease of the ilio-femoral arteries, our approach is to proceed with the axillary artery as an alternative access. By defining the anatomical and angiographic landmarks, the insertion of the Impella sheath won’t take more time compared with femoral access. However, in cath labs are less experienced, axillary access might take longer due to insufficient experience from operators or cath lab staff, or in not having the right room setup. Our average time for emergent Impella though axillary access is 7-10 minutes.
Can you describe a step-by-step approach?
Axillary access can be summarized in the following steps:
- Patient is prepared in a supine position with the arm abducted at 90 degrees away from the body.
- A 7 Fr sheath is placed in the femoral artery. A JR4 catheter is advanced and used to selectively engage the left subclavian artery or innominate artery to evaluate for suitable vessel anatomy. This access also facilitates the delivery of occlusive balloons for “dry closure” of axillary access.
- Angiogram or fluoroscopic subtraction image of the subclavian and axillary arteries is performed for “roadmapping”.
- Angiographic assessment of the axillary artery and all branches is an important step to define an access point that is lateral to the thoracoacromial artery and medial to the circumflex humeral artery (Figures 22-23).
- After administration of local anesthesia, a micropuncture needle is then advanced at a shallow angle (30-45° from skin) toward the second portion of axillary artery using fluoroscopic, angiographic, or ultrasound imaging guidance.
- A 4 Fr microcatheter sheath is then placed and an access site angiogram is performed to confirm the appropriate access point.
- An .035-inch Supra Core wire (Abbott Vascular) is advanced into the subclavian artery and the micropuncture sheath is exchanged for a 6 Fr sheath.
- Utilizing pre-close technique, two Proglide suture-mediated closure devices (Abbott Vascular) are deployed at the 10 o’clock and 2 o’clock positions, and left uncinched.
- The arteriotomy is then sequentially dilated, prior to introduction of the 14 Fr Impella CP sheath over a stiff .035-inch wire of choice (Lunderquist, Amplatz Super Stiff, Supra Core).
- A pigtail catheter is then used to access the aortic valve to the left ventricle.
- An .018-inch Impella wire (with a curve at the tip) is then advanced through the pigtail catheter.
- Impella CP device is then inserted over the stiff wire and advanced under fluoroscopic guidance into the left ventricle.
- Hemodynamic support is initiated in preparation for the planned PCI.
- PCI is performed from the initial femoral access.
- If prolonged hemodynamic support is needed, the Impella sheath should be sutured and secured before the patient leaves the cath lab. In regard to the Perclose sutures, we recommend clamping the sutures with a hemostat and wrapping them with a sterile towel covered with sterile Tegaderm. The towels are then stuck to the chest wall1 (Figure 24).
- Once the PCI procedure is done, the Impella device is removed from the sheath and an .035-inch wire is passed from the large-bore arteriotomy sheath into the descending aorta.
- The subclavian or innominate artery is engaged with JR4 catheter (or catheter of choice) from the femoral sheath. An exchange-length .035-inch wire (Glidewire Advantage [Terumo]) is advanced through the subclavian artery and distal to axillary sheath into the brachial artery.
- An appropriately sized 8-10 mm x 40 mm or larger (depending on the vessel size) balloon is then advanced over the .035-inch wire from the femoral sheath and inflated in the distal subclavian artery to occlude flow proximally. A pressure transducer is connected to the Impella sheath side arm to make sure we achieved total occlusion.
- The Impella sheath is then completely removed over the .035-inch wire and the pre-closure is completed by cinching and locking the previously deployed Perclose Proglide sutures.
- The balloon in the distal subclavian artery is deflated and digital subtraction angiography is performed to evaluate for extravasation from the arteriotomy site. If no leak is noted, then the .035-inch wire and JR4 guide catheter are removed.
- If final angiogram shows extravasation at the access site, another prolonged balloon inflation is used. If balloon and manual compression fails, then a covered stent covered stent (Viabahn [Gore] or iCast [Atrium]) can be used as final bail-out strategy.
Finally, high-risk PCI, CHIP, and shock operators should have fundamental knowledge to assess and manage peripheral arterial disease in the setting of shock. The axillary artery is an attractive alternative access for patients with prohibitive peripheral arterial disease presenting with cardiogenic shock with fewer associated complications when compared with other alternative approaches (transcaval, transapical, or transaortic).
Reference
- Lata K, Kaki A, Grines C, et al. Pre-close technique of percutaneous closure for delayed hemostasis of large-bore femoral sheaths. J Interv Cardiol. 2018 Feb 5. doi: 10.1111/joic.12490. [Epub ahead of print]
Disclosure: Dr. Kaki reports he is a proctor and speaker (Abiomed).


