No More Crush on the AT: SOBE Vascular Balloon Protection Technique With the MicroMedical Stent System
Case Report
Case performed by Robert E. Beasley, MD, and Timothy E. Yates, MD, RPVI.
This is a 71-year-old male with a prior history of aortic valve replacement on coumadin, peripheral arterial disease, myocardial infarction, diabetes, and chronic kidney disease. He presented with a 3-month history of ischemic rest pain involving the left lower extremity, no wounds. He had previously undergone left superficial femoral artery (SFA) stenting for a chronic occlusion, but despite this, continued to have rest pain with peroneal-only runoff (Figures 1-4). He was brought in for left anterior tibial artery recanalization.
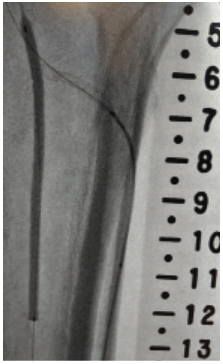
The patient qualified for the MicroMedical MicroStent trial, and both antegrade left lower extremity and retrograde dorsalis pedis access were obtained. The TASC II type D lesion of the anterior tibial artery origin was crossed with a V-18 wire (Boston Scientific), from below, and the wire was externalized via the antegrade sheath. Additionally, an .014-inch wire and balloon were placed into the tibioperoneal trunk and a 3 mm balloon was inflated across the origin of the anterior tibial artery. This “SOBE balloon protection technique” was used both to mark the origin of the anterior artery as well as serve as a buttress for placement of the stent (Figure 5). A 3 mm x 40 mm MicroStent was chosen and advanced through the 3 French (Fr) sheath from the dorsalis pedis access to the anterior tibial artery origin. The stent was placed across the lesion with precision to the origin. A 3 mm balloon was then inserted through the portal access and the stent was dilated to profile. Then the tibioperoneal trunk balloon was deflated and completion angiography was performed. Inline flow had now been created to the foot via the peroneal and anterior tibial arteries (Figure 6).
Discussion
The MicroMedical MicroStent technology utilizes a nitinol closed-cell stent system with sizes from 3 to 4.5 mm in diameter and 4 to 6 cm in length. It also features a delivery system designed to be used via tibiopedal access, a technique that has revolutionized the treatment of critical limb ischemia (CLI) worldwide. This technology seeks to fill a void in the treatment of CLI patients, where attempts have occasionally been made to use balloon-expandable stands from the coronary space by adapting them for use in tibial occlusive disease. The MicroStent feasibility trial is designed to evaluate the safety and efficacy of this purpose-driven technology for tibial occlusive disease. Ultimately, a pivotal trial will be undertaken to evaluate its overall effectiveness. The Mount Sinai Medical Center featured the first in-man MicroStent and has thus far completed 5 total cases, all with procedural success and no complications in up to 30-day follow-up.
Drs. Robert Beasley, Timothy Yates, and Brandon Olivieri are partners at the Mount Sinai Medical Center Vascular and Limb Preservation Center. They can also be followed under @SOBE_Vascular on Twitter.'
Disclosure: Dr. Beasley is the PI for the MicroMedical MicroStent trial, and is a speaker/trainer for Abbott Vascular (and medical advisor), BD/Bard ( and medical advisor), Cardinal Health, Cook Medical, CSI, Endologix, Gore, Inari, Lake Region Medical, Medtronic, Philips, Penumbra, and Terumo/Bolton. Dr. Yates reports he is a subinvestigator of the MicroMedical MicroStent trial.
The authors can be contacted via Dr. Timothy Yates at timothy.yates@msmc.com.
The Operators: Behind the Scenes
Cath Lab Digest talks with Robert E. Beasley, MD, and Timothy E. Yates, MD, RPVI.
Robert E. Beasley, MD, Section Chief, Vascular and Interventional Radiology, Mount Sinai Medical Center, Miami Beach, Florida
Dr. Beasley, can you tell us about the MicroStent and your role in the trial?

I am the principal investigator of the MicroMedical stent trial in the United States. The first-in-human in the United States was done a few months ago at Mount Sinai Medical Center in Miami. Currently the three sites involved in the placement of the stent include Mount Sinai Medical Center in Miami, as well as Dr. Tom Davis at St. John Hospital and Medical Center in Detroit, Michigan, and Dr. Craig Walker at Cardiovascular Institute of the South in Houma, Louisiana. The case featured here is from the feasibility portion of the study. Once the feasibility study is finished, then we will go into a pivotal trial, which will enroll an additional 150 patients.
The MicroStent is a tightly wound, closed cell stent that is 3 French in profile and can be very easily placed through retrograde tibial access. Right now, there are only short length stents or platforms. There is no other technology available except for balloon-expandable coronary stents, which are limited to use in the proximal tibials, so there is nothing to treat dissections or significant recoil in tibial vessels that are heavily calcified, a common scenario. Certainly, angioplasty will open up a tibial vessel that is significantly calcified and has recoil. However, 2-4 weeks later, typically the artery will have collapsed back down again. This new technology may be extremely important for relieving rest pain and enabling wound healing.
In the tibials, is stent flexibility and strength a concern?
The MicroMedical MicroStent is extremely flexible and conformable. It is actually based off of a neuro design. No other available stent has the compressive resistance that this stent does in the middle and the distal aspect of the tibial vessels. The stents are extremely conformable, easy to place, and easy to deploy.
Right now, we are at the start of the FDA-approved trial in the United States for placement in man. The MicroStent already has CE Mark approval in Europe, but there have been very few stents placed, probably less than 50 worldwide. It received CE Mark approval so quickly in Europe because there is such a high need to help keep these tibial vessels open.
Can you tell us about the patients receiving the MicroStents?
The trial includes patients that are Rutherford class IV and V, as per the FDA. If there is an area in one of the tibial vessels that has been treated before with angioplasty and now has restenosis, the only option now is to do atherectomy with one of the atherectomy devices, and then do a re-balloon angioplasty. Drug-coated balloon angioplasty is still not approved for below-the-knee tibial vessels. Hopefully with the Lutonix BTK device (BD Interventional) it will be out shortly, but right now, there is no treatment. Once recoil occurs — once there is dissection or the collapse of the tibial vessels — the only recourse is to go back in with another balloon and try to open it up. We don’t really have a stent. The stents that are being used to treat this are off-label; they are coronary stents, and they are limited to only the proximal one-third of the tibial vessels: the tibioperoneal trunk, the anterior tibial, and the posterior tibial.
Can you tell us about the SOBE balloon protection technique used in this case?
This is a technique we developed (SOBE stands for “South Beach”). We had a patient that needed to have the stent dropped on a dime on the proximal aspect of the anterior tibial artery. A balloon was placed down from above into the tibioperoneal trunk, then inflated in the tibioperoneal trunk, where there was a lesion as well. We came from below and were able to use the balloon as a buttress to advance the stent all the way up to where the balloon was, at the ostium of the anterior tibial. There we deployed the stent and released it from the retrograde tibial approach, placing it over about a 4 cm length and then post dilating the stent. This technique allowed for perfect placement at the ostium of the anterior tibial using the balloon as a guide or buttress.
Timothy E. Yates, MD, RPVI, Mount Sinai Medical Center, Miami Beach, Florida
Dr. Yates, can you share why this 71-year-old patient was considered a good candidate for the MicroStent?
This patient had significant tibial disease involving the ostia of the vessels. He didn’t have wounds, but he did have rest pain. There are two reasons this patient was a good candidate for the MicroStent and the SOBE balloon protection technique: the tibioperoneal trunk was open so there was a way to cross the origin of the AT, and size-wise, it was a 3 mm vessel (and the bigger, the better, with the tibials). As Dr. Jihad Mustapha has reported, tibial sizing is important, whether confirmed angiographically or by intravascular ultrasound (IVUS). The anatomy was good; there was a short lesion at the anterior tibial origin and we were able to cross that area to put up the balloon in order to protect the origin. The stent had a perfect landing. In general, when I place tibial stents, it is nice to have a focal, shorter lesion, because patency tends to be better in that situation.
Can you talk about the use of tibiopedal access?
It is essentially standard now, even more than it was even 5 years ago. If we can identify a vessel sonographically or fluoroscopically, have the skill set to puncture it safely and also find a way to get hemostasis, there really aren’t many limitations to access. Plan to fail, prepare to succeed. Alternate access techniques are very much part of our paradigm, and we are training all of our residents and fellows as well. The major vascular surgery, interventional radiology, and interventional cardiology programs that are training and doing a lot of critical limb ischemia are certainly on this path. Drs. Jihad Mustapha,Fadi Saab, Barry Katzen, George Adams, and Craig Walker are also big proponents of retrograde access (TAMI technique etc). Many of these titans of the field also offer training courses with different industry partners, including with cadaver labs for alternate access with fluoroscopic and ultrasound guidance. I think it is important that we train everybody to get techniques and equipment into the right hands. Mastery of alternate access makes your life so much easier.
Initially in my own practice I tried to limit punctures and accesses (fear of complications?), but I have found that if you have multiple accesses, it tends to increase your crossing success, decrease your procedure time, decrease your contrast use, and decrease your radiation, by offering more stability above and below.
This is Dr. Beasley’s patient since he is PI of the MicroStent trial, although we did the case together. The case was very quick. Dr. Beasley obtained antegrade access while I crossed the lesion retrograde. Working together in this way is a valuable aspect of our partnership, because we can take these complex cases and make them more manageable from multiple angles — working together to do the best thing for the patient.
How big of a need is there for a stent specifically designed to be placed in the tibial arteries?
The current thought in the peripheral world is “leave no metal behind”. So it is counterintuitive that we are excited about a smaller stent that is going into a smaller vessel that historically doesn’t stay open as long. Stents don’t tend to perform well in this area. But there is great potential here. The MicroStent is a purpose-built stent with some technology from the neurosphere. It has a closed-cell design and is constructed from nitinol so it is also self-expanding. We have nothing in the tibials with these characteristics. All of the stents we use are adapted from the coronary world and are balloon-expandable. We also are typically using drug-coated stents and in the periphery, all of our self-expanding stents, say for the superficial femoral artery (SFA), like the Zilver PTX (Cook Medical), are all paclitaxel-coated stents. Most of the coronary stents are in the everolimus and zotarolimus group of antiproliferatives. The profile of patency with those drugs is somewhat different and we are adapting them from the coronary space, but they are not purpose-driven for the below-knee space.
I once had a patient, where, because of flow-limiting dissection at the anterior tibial (AT) origin, I had to put in a balloon-expandable stent at the AT origin. They work beautifully and look great. The drug makes a difference in terms of long-term patency. But at this particular spot, right at the origin of the anterior tibial, the bend of the vessel moves right out of the muscle, and if you push this area hard enough or bump your leg, you can actually crush them. This happened to my same patient in follow-up. He went to the vascular lab, had the blood pressure cuffs placed on his legs for pulse volume recording and ankle-brachial index, and he came in to my office after the test with a cold leg. The stent had been crushed by the blood pressure cuffs for the test. As a self-expanding stent, the MicroStent will contour and flex better in these conditions. Boston Scientific has also adapted their self-expanding drug-eluting stent platform for the below-knee space, being looked at now in the SAVAL trial, with Dr. Mustapha as principal investigator. In the right patients, if we can stay away from stents, that is best, but there are situations where we have very sick diabetic patients with extensive calcium in their tibials and long segment occlusions. Sometimes you can’t get away from dissections and sometimes they will be flow-limiting. To have a purpose-driven stent platform that hopefully will give us better patency rates is exciting.
What about the delivery system?
The MicroStent delivery system is an all-in-one system. It is designed specifically for delivery from retrograde access, à la the TAMI technique (tibiopedal arterial minimally invasive) from Fadi Saab and Jihad Mustapha, and is a system that you can deliver through small accesses. MicroMedical has created something for the tibials and the critical limb ischemia space where patients have small, diseased vessels. The other devices we are using are from the coronary world or the above-knee peripheral world, and most of those devices are 5 or 6 French compatible. The MicroStent can be put through a 3 French sheath, so it is very low profile, it can go through any vessel, and it allows you to treat from anywhere. I want to highlight that last aspect, because in all stent delivery systems, the lengths are fairly short, since they are designed to come from below. There are certain situations where you may want to be able to deliver a stent from above. I believe they are working on longer delivery systems, so in case that you externalize the wire after you cross the lesion from below, the stent can be delivered from above.
Can you talk about the use of the SOBE balloon protection technique?
We use balloon occlusion techniques in a variety of different settings. In patients with portal hypertension, sometimes we will do retrograde transvenous obliteration of varices. In order to do that, we will put up a balloon to stop blood flow while we are embolizing something, covering non-target branches in order to prevent a bad outcome. We also use balloon protection in the treatment of arteriovenous malformations (AVMs). In the current case, the balloon protection technique was used to protect the origin, but also to serve as a marker. It basically is like the buddy wire technique. You have a radiographic road map of where the vessels are. The reason we adapted to do it in this case is also because of one of the challenges of deploying a self-expanding stent. Balloon-expandable stents come mounted on top of the balloon and are deployed by inflating the balloon. They tend to go exactly where you put them, without shifting or moving. However, because self-expanding stents are mounted on a delivery system that “unfurls” a stent, the stent can move forward or backward, and each system is slightly different. As an operator, you have to know where the individual stent systems tend to move and plan that into your deployment, so the stent doesn’t end up above or below where you want it. The SOBE balloon protection technique allowed us to completely cover the origin of the vessel that we wanted to treat with the stent, but also find a way to mark it. We were able able to buttress the stent against the balloon and not extend it into the origin of the vessel that we were trying to protect. You could use this technique in a proximal superficial femoral artery and for a profunda bifurcation, if you had to. In the tibial space, everything is smaller, and having multiple .014-inch wires and buddy wires is more common. I think the technique will find some application.


