Mother-and-Child Technique for Diagnostic Angiography in a Dilated Ascending Aorta With an Inner Multipurpose Catheter
Patients with dilated ascending aortas are commonly sent to the cardiac catheterization lab in order to visualize coronary anatomy and determine if coronary artery disease is present prior to open valvular repair. In these patients, it can be challenging to engage the coronary ostia, due to the large area requiring navigation. This case illustrates a novel technique for performing selective coronary angiography in such patients.
Case
A 59-year-old man with a history of benign prostatic hypertrophy, nephrolithiasis, and hyperlipidemia on statin therapy presented after with episodic non-exertional chest pain. He had a family history of a dilated ascending aorta in his father. On a chest computed tomography angiography (CTA), he was found to have a dilated ascending aorta measuring 5.5 cm in transverse diameter.
An echocardiogram was performed that showed the ascending aorta measured 5.1 cm and severe aortic regurgitation was present. Cardiothoracic surgery was consulted for the ascending aortic aneurysm. The patient was scheduled for coronary angiography in anticipation of open surgical aortic repair.
The right femoral artery was accessed at the mid femoral head and a 6 French, 11 cm sheath was inserted. Given a significantly tortuous external iliac artery (Figure 1), a 6 French, 30 cm Flexor sheath (Cook Medical) was exchanged in to aid catheter advancement and manipulation.
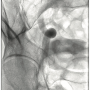
Multiple attempts to cannulate the left coronary ostium were unsuccessful, utilizing both a 6 French Judkins left 5 (JL5) (Figure 2, Video 1) diagnostic catheter and a 6 French Amplatz left 3 (AL3) diagnostic catheter. The AL3 was appropriately oriented with lack of length to reach the coronary ostium (Figure 3, Video 2).
Given the appearance of the root and the inability of the AL3 to reach the ostium, a 4 French multipurpose A2 (MP-A2) diagnostic catheter was advanced through a 6 French AL3 guide catheter utilizing a “mother-and-child” technique and was successful in engaging the left main ostium (Figure 4). Selective angiography of the left system was performed (Figure 5, Video 3). Angiography of the right coronary was performed using a Judkins right 5 (JR5) catheter.
Discussion
The mother-and-child technique is commonly used in interventional cardiology, especially during interventions on distal lesions, chronic total occlusions, and in unusual anatomy.1 However, the utilization of this technique is not as common for diagnostic angiography. In the published case reports using the mother-and-child technique, the most common inner (“child”) catheter used was the GuideLiner catheter (Vascular Solutions). In contrast, in our case we used a multipurpose A2 catheter, offering greater directional control of the catheter in order to direct it across the aortic root. The combined 6F AL3 and 4 French MP catheter should be manipulated with appropriate caution to avoid potential trauma to the aortic root and/or coronary ostium. In addition, the catheter is stiffer than the GuideLiner catheter and as such, this maneuver should be carried out with greater caution.
Conclusion
This case uses a novel technique of mother-and-child catheterization utilizing a 4 French multipurpose catheter within a 6 French AL3 guide catheter to successfully engage the left main coronary artery in a dilated aortic root, with an additional challenge posed by a tortuous iliac artery. This technique, which utilizes a stiffer, more directional catheter, allows for controlled engagement of the left main in patients with difficult anatomy, especially dilated ascending aortas.
References
- Pershad A, Sein V, Laufer N. GuideLiner catheter facilitated PCI — a novel device with multiple applications. J Invasive Cardiol. 2011; 23(11): E254-E259.
- Balmer-Swain A, Ali F. A novel use of the GuideLiner catheter in diagnostic coronary angiography. Cath Lab Digest. 2015 Aug; 23(8). Available online at https://www.cathlabdigest.com/article/Novel-Use-GuideLiner-Catheter-Diagnostic-Coronary-Angiography. Accessed March 8, 2018.
Disclosure: The authors report no conflicts of interest regarding the content herein.
The authors can be contacted via Dr. Ehab Eltahawy at ehab.eltahawy2@utoledo.edu.


