Interventional Techniques Utilizing an Interdisciplinary Approach for Treatment of PVD
History
A 56-year-old African-American male was referred for peripheral vascular disease (PVD) with painful ischemic ulcers of the right heel and right great toe. History revealed diabetes mellitus type 2, hypertension, hyperlipidemia, and end-stage renal disease. Peripheral angiography showed severe disease of the right superficial femoral artery and total occlusion of the right popliteal artery, with poor visualization of the peroneal artery. The patient was brought back into the lab for an unsuccessful attempt to recanalize popliteal artery in a retrograde and antegrade manner; he was then referred for surgical consult. Upon surgery, the patient’s vessels were found to be too small for adequate bypass and the procedure was aborted. The patient was referred for a second opinion. It was decided, in a last attempt, to proceed with surgical exposure of right posterior tibialis at the level of the ankle using the retrograde and antegrade approach.
Case
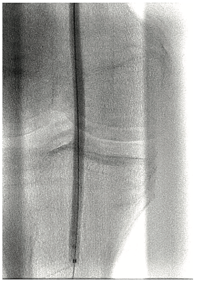
A 6 French (Fr) sheath was inserted into the right femoral artery in an antegrade fashion. An .035-inch x 90 cm Trailblazer (Medtronic) was inserted over an .035-inch x 180 cm Aquatrack guidewire (Cordis, A Cardinal Health company) and advanced into the right popliteal artery. Angiography was performed prior to surgical cut down of the posterior tibial artery (PT) (Figure 1). Access into the PT was made using a 4 Fr micropuncture pedal sheath (Cook Medical). An .014-inch Confianza guidewire (Asahi Intecc) was inserted and advanced into the PT. Using the stiff Confianza, a Viance Flexible CTO catheter (Medtronic) was advanced. When Viance extravasated from the PT, an Aquatrack wire and .035-inch Trailblazer were introduced and advanced in a antegrade manner. The Viance and Trailblazer could be visualized going in different directions (Figure 2). Using that image, the Viance was pulled back and repositioned to find the true lumen from the bottom to the top, using the guidance from the wire. The Confianza was readvanced after the true lumen was found, and Aquatrack was pulled back into the Trailblazer and eventually removed. The Confianza wire was advanced further into the .035-inch Trailblazer, and eventually pulled through the right femoral artery sheath in a retrograde fashion (Figure 3). The right femoral artery Trailblazer was removed. A TurboHawk SX-C atherectomy catheter (Medtronic) was used to debulk the plaque and achieve luminal gain from the popliteal artery into the tibioperoneal trunk (Figure 4). Drug-coated balloon angioplasty was performed using the IN.PACT balloon (Medtronic) into the popliteal artery (Figure 5). The TurboHawk was reinserted and advanced further down to the peroneal artery into the tibioperoneal trunk in order to establish luminal gain in the distal vessel. Final angiography revealed successful recanalization of the lower extremity vessels through the use of the antegrade/retrograde method, with distal access through the posterior tibial artery (Figure 6).
Discussion
Percutaneous atherectomy gives physicians a chance to provide minimally invasive atheroma removal or debulking from lower extremity vessels. It can be argued that debulking atherectomy may allow for a more uniform angioplasty at lower pressures. This in return causes less vessel trauma and an overall improved luminal gain, which can decrease some of the risk of plaque recoil or dissection. The combination of debulking atherectomy followed by drug-coated angioplasty has shown promise in various case studies. On the other hand, stent placement should be cautionary, if not advisable, in certain anatomical locations such as the distal foot, hip, and knee joints, because the anatomy could provoke stent fracture or deformation, leading to arterial re-occlusion.1 Patients with history of diabetes type II, amputation, neuropathy, and peripheral vascular disease tend to be associated with foot ulceration.2 This was found to be the case with our patient. For most diabetic patients with an ischemic foot ulcer, percutaneous transluminal angioplasty (PTA) has been found to be effective for revascularization of the foot.3 Wound healing and relief of ischemic rest pain are considered to remain or become poor variables without reestablishment of continuous flow to the distal extremity. According to a study presented at the 2016 EuroPCR meeting, in a series of 82 patients who underwent below-the-knee intervention for critical limb ischemia, amputation-free survival rate was 88% at a 15-month follow-up.4 Many of the patients included in the study had multiple vessel involvement with much of the same comorbid conditions as presented above. When possible, PTA should be considered as a first-line choice for diabetic patients with foot ulcers and peripheral arterial disease with obstruction, as opposed to amputation. Our patient proceeded to hospital discharge without complication. In subsequent follow-up visits, he reported decreased pain, and his ability to walk further distances improved greatly.
References
- Katsanos K, Spiliopoulos S, Reppas L, et al. Debulking atherectomy in the peripheral arteries: is there a role and what is the evidence? Cardiovasc Intervent Radiol. 2017 Jul; 40(7): 964-977. doi: 10.1007/s00270-017-1649-6.
- Kumar S, Ashe HA, Parnell LN, et al. The prevalence of foot ulceration and its correlates in type 2 diabetic patients: a population-based study. Diabet Med. 1994 Jun;11(5):480-484.
- Faglia E, Mantero M, Caminiti M, et al. Extensive use of peripheral angioplasty, particularly infrapopliteal, in the treatment of ischaemic diabetic
- foot ulcers: clinical results of a multicentric study of 221 consecutive diabetic subjects. J Intern Med. 2002 Sep; 252(3): 225-232.
- Mollon A, Dini A, Tamashiro G, et al. Below-the-knee angioplasty as limb salvage in critical ischaemia. Abstracts EuroPCR 2016. EuroIntervention. Available online at https://www.pcronline.com/eurointervention/AbstractsEuroPCR2016_issue/abstracts-europcr-2016/Euro16A-OP0622/below-the-knee-angioplasty-as-limb-salvage-in-critical-ischaemia.html. Accessed February 6, 2018.
Disclosure: Nina Pistalo, RN, and Dr. P. Ramon Llobet report no conflicts of interest regarding the content herein.
The authors can be contacted via Nina Pistalo at nina.pistalo@comhs.org.


