Impella-Assisted PCI of Left Main Coronary Artery During CPR
Abstract
Left main coronary artery thrombus during cardiac catheterization is an uncommon complication with a high mortality rate. We report a case of cardiac arrest caused by total occlusion of the left main coronary artery during Impella-assisted percutaneous coronary intervention. Manual cardiopulmonary resuscitation combined with revascularization of the left main coronary artery and its branches led to a favorable outcome for our patient. This paper will also review literature pertaining to periprocedural myocardial infarction, and atheroembolization as it pertains to subgroups of patients, specifically those with peripheral arterial disease. We will also touch upon the treatment of left main coronary artery disease in high-risk surgical patients.
_________________________________________
Treatment of left main coronary artery disease is complicated and continuously evolving. Over the past several decades, bypass grafting has been the treatment of choice for patients with triple-vessel coronary artery disease, especially in patients with diabetes or left main coronary artery stenosis. In patients with high risk of surgical complications and mortality, percutaneous coronary intervention (PCI) must be considered. Recent data has established PCI of left main coronary stenosis as a safe alternative to coronary artery bypass grafting in patients with low or intermediate coronary artery anatomical complexity defined by a SYNTAX score of <33.1
Improvements in devices, the use of stents, and aggressive antiplatelet therapy have significantly reduced the incidence of major periprocedural complications of PCI over the past 15 to 20 years.2 Left main coronary artery occlusion is one of the most feared of these complications. Left main coronary artery occlusion can cause ventricular fibrillation (VF), myocardial infarction (MI), and cardiogenic shock. VF arrest during PCI is most commonly precipitated by contrast, ischemia from coronary dissection, embolism, spasm, or catheter manipulation, and typically occurs during angioplasty or stenting.3
The third global MI task force has modified the cardiac troponin threshold levels for the diagnosis of PCI-related, type 4a MI. A cardiac troponin level elevation greater than 5 times the 99th percentile for the upper limit of normal within 48 hours of PCI (in patients with normal baseline values) is now used to classify Type 4a MI.4 Depending on the local practices and diagnostic criteria used, the general incidence of MI during PCI is 5 to 30%.5 Patients with left main disease carry around a 3-fold increased risk of MI during PCI compared to those with single-vessel disease. Recent non ST-segment MI also increases the risk of periprocedural MI.2
Treatment options for left main coronary artery occlusion include primary PCI, coronary stenting, emergency coronary artery bypass grafting, intracoronary thrombolysis, and intracoronary transcatheter aspiration.6,7 These interventions must be done in a timely fashion to avoid progression of myocardial necrosis.
Atheroembolization is an uncommon cause of left main occlusion during PCI. The use of stiff, large-bore guiding catheters results in aortic trauma and the scraping of atheromatous debris from the aortic wall, providing a potential source of systemic embolism or coronary artery embolism.8 This risk is elevated if peripheral arterial disease is present.9
The presence of clinically evident lower extremity arterial disease increases the risk of death in patients with known coronary artery disease.10 Patients with peripheral arterial disease have been proven to suffer increased rates of complications during PCI. Patients with peripheral arterial disease are more likely to suffer from MI, stroke, coma, and emergent revascularization following PCI.11,12
Case Presentation
A 78-year-old male, an active smoker with chronic obstructive pulmonary disease, hypertension, hyperlipidemia, insulin-dependent type 2 diabetes, chronic kidney disease, coronary artery disease status post PCI with stent placement of left anterior descending (LAD), left circumflex (LCx), and right coronary (RCA) arteries, abdominal aortic aneurysm status post endovascular aortoiliac repair and peripheral arterial disease (PAD) status post bilateral femoropopliteal stent placement, presented to an outside hospital due to shortness of breath and severe (Rutherford category 3) leg claudication. Blood tests revealed an elevated troponin that peaked at 6.3 ng/mL, and an elevated BNP at 782 pg/mL. Physical examination revealed signs of fluid overload and a holosystolic murmur consistent with mitral regurgitation. Electrocardiogram (EKG) showed normal sinus rhythm with left bundle branch block and occasional premature ventricular complexes. The patient was then transferred to our facility for further management of non-ST segment elevation MI complicated by acute decompensated heart failure.
Transthoracic echocardiogram performed on admission revealed moderately reduced left ventricular systolic function with ejection fraction of 40%, regional wall motion abnormalities (akinetic mid anterior, mid anterolateral, and all apical segments; severely hypokinetic basal inferior, mid inferior, basal inferolateral, and mid inferolateral walls), left ventricular dilatation, and moderate mitral regurgitation.
Diagnostic cardiac and peripheral catheterization was performed, showing moderate to severe triple-vessel disease, along with a severely calcified 60-70% occlusion of the distal left main coronary artery. Peripheral catheterization showed patent endovascular aneurysm repair (EVAR) stent. Distal to the end of the left common iliac stent revealed significant stenosis at an acute bend. The patient was discussed in the heart team conference and was subsequently deemed to be a high-risk surgical candidate (Society of Thoracic Surgeons [STS] risk of mortality 8%, and morbidity or mortality 42%). Coronary artery bypass grafting was deferred.
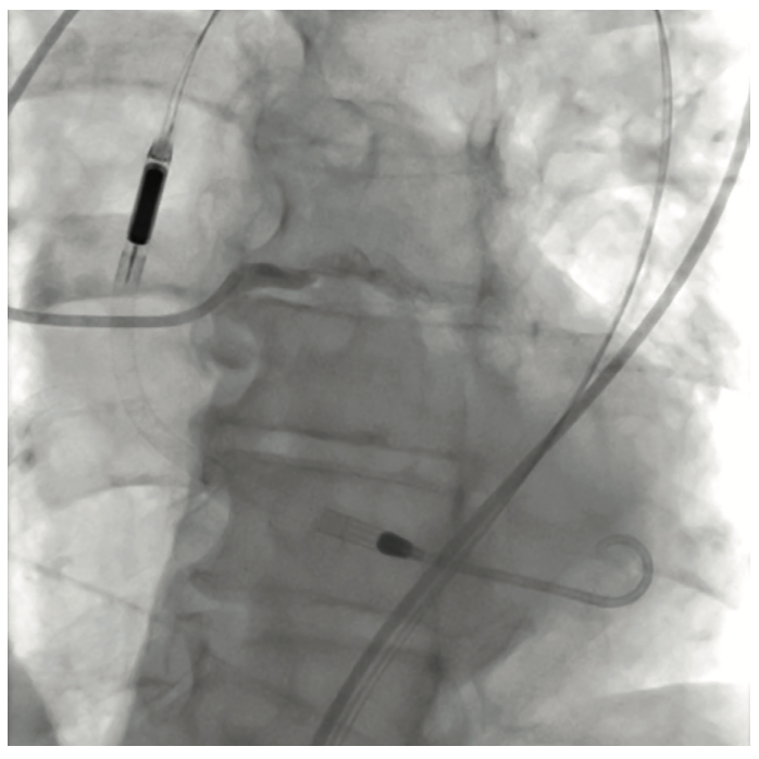
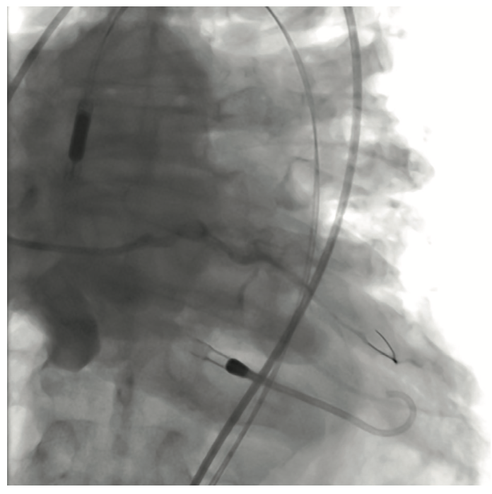
The initial interventional attempt via a transradial approach was unsuccessful due to significant vessel tortuosity. Therefore, a high risk protected PCI was attempted via left femoral access using an Impella 2.5L device (Abiomed) for left ventricular support. The Impella 2.5L was placed via the right femoral access. Before the engagement of coronary arteries, the patient had deteriorated clinically with hypotension and Impella support dropping to 1.4L. Subsequently, the patient went into VT/VF arrest, requiring cardiopulmonary resuscitation (CPR). The patient was emergently intubated. During active CPR and VT storm, selective injections of the left main coronary artery were performed, revealing total thrombotic occlusion of distal left main artery. The patient underwent multiple percutaneous transluminal coronary angioplasties of the left main, ostial and mid LAD, and LCx (OM1) lesions. This was then followed up with stenting of the mid left main into the ostial LAD and LCx (OM1) branch. The coronary interventions were performed during CPR. The patient received a total of 13 defibrillator shocks, and was given intravenous amiodarone and lidocaine pushes during CPR. Return of spontaneous circulation was obtained after 45 minutes. Due to extensive PAD, the Impella device was removed and an intra-aortic balloon pump was placed via a left femoral approach for continued hemodynamic support.
Post cardiac arrest, the patient had completed therapeutic hypothermia protocol. Subsequently, the patient was weaned off vasopressors and, eventually extubated. He improved significantly over the ensuing days, and was discharged to a rehabilitation facility with intact motor and sensory function.
Discussion
Left main coronary thrombus during catheterization is an uncommon complication with a high mortality rate. Our patient was at an increased risk for this complication, given his significant left main coronary artery stenosis and recent non ST-segment MI prior to PCI. The incidence of cardiac arrest during PCI varies by study, ranging from 0.5% to 2.0%.13,14 The incidence of VF during PCI was noted by Dorros et al to be 1.6% in the report of the National Heart, Lung, and Blood Institute Registry, in a series of 1500 cases of coronary angioplasty.15 Huang et al found a higher incidence of VF during right coronary artery (RCA) PCI, particularly in those with a smaller caliber RCA.14 Cabin et al looked at data from 10 patients with angina pectoris who suffered fatal cardiac arrest during cardiac catheterization. Seven out of the 10 patients were found to have plaques narrowing the left main coronary artery. Two of the 10 patients had severe narrowing of the left main coronary artery by thromboembolic material superimposed on small atherosclerotic plaques.16 This data would correlate with our case, in which total occlusion of the left main coronary artery occurred.
There are very few case reports in the literature similar to our case. Gunduz et al described a case in which subtotal occlusion of the left main coronary artery occurred after failed stent placement to a 90% stenotic proximal left circumflex lesion.17 There are a handful of other cases with similar reports. Our case is unique in that total occlusion of the left main coronary artery occurred during the early stages of PCI, just prior to engagement of the left coronary artery. Other cases in the literature describe this complication after engagement of the coronary arteries, usually after balloon angioplasty or stent placement. Also, our patient subsequently went into VF, surviving 45 minutes of CPR. To our knowledge, this is the first case in the literature to combine these two rarities.
Atheroembolization was postulated to be the cause of total left main occlusion in our patient. Atheromatous debris can easily be scraped from the aortic wall or from distal stenotic vessels, such as those seen in patients with PAD. Given our patient’s severe PAD, guidewire advancement could have easily scraped atheromatous debris to the ostial left main coronary artery.
Expeditious visualization of the culprit lesion and prompt revascularization with continued hemodynamic support facilitated successful resuscitation for this patient. The extraordinary team effort, providing simultaneously administered CPR and prompt intervention of the culprit lesion, made survival possible. This case represents a scenario where automated external chest compression devices would provide uninterrupted CPR and prevent unwanted radiation exposure while enabling operators to perform complex invasive interventions. Justification for why resuscitation was successful also lies in the proper and timely use of hemodynamic support devices such as the Impella ventricular assist device and intra-aortic balloon pump.
References
- Morice MC, Serruys PW, Kappetein AP, et al. Five-year outcomes in patients with left main disease treated with either percutaneous coronary intervention or coronary artery bypass grafting in the synergy between percutaneous coronary intervention with taxus and cardiac surgery trial. Circulation. 2014; 129: 2388-2394.
- Carrozza JP, Levin T. Periprocedural complications of percutaneous coronary intervention. 10 Oct. 2016. Available online https://www.uptodate.com/contents/periprocedural-complications-of-percutaneous-coronary-intervention. Accessed January 23, 2018.
- Nishimura RA, Holmes DR Jr, McFarland TM et al. Ventricular arrhythmias during coronary angiography in patients with angina pectoris or chest pain syndromes. Am J Cardiol. 1984 Jun 1; 53(11): 1496-1499.
- Thygesen K, Alpert JS, Jaffe AS, et al. Third universal definition of myocardial infarction. Circulation. 2012 Oct 16; 126(16): 2020-2035.
- Prasad A, Herrmann J. Myocardial infarction due to percutaneous coronary intervention. N Engl J Med. 2011 Feb 3; 364(5): 453-464. doi: 10.1056/NEJMra0912134.
- Satyavan S. Management of left main coronary artery stenosis. The Internet Journal of Cardiology. 2002; 2(1). Available online at https://print.ispub.com/api/0/ispub-article/7395. Accessed January 25, 2018.
- Shani J, Abittan M, Gallarello F, et al. Mechanical manipulation of thrombus: coronary thrombectomy, intracoronary clot displacement, and transcatheter aspiration. Am J Cardiol. 1993 Dec 16;72(19):116G-118G.
- Keeley EC, Grines CL. Scraping of aortic debris by coronary guiding catheters: a prospective evaluation of 1,000 cases. J Am Coll Cardiol. 1998 Dec; 32(7): 1861-1865.
- Rihal C, Sutton-Tyrrell K, Guo P, et al. Increased incidence of periprocedural complications among patients with peripheral vascular disease undergoing myocardial revascularization in the Bypass Angioplasty Revascularization Investigation. Circulation. 1999; 100(2): 171-177. doi: https://circ.ahajournals.org/content/100/2/171
- Burek KA, Sutton-Tyrrell K, Brooks MM, et al. Prognostic importance of lower extremity arterial disease in patients undergoing coronary revascularization in the Bypass Angioplasty Revascularization Investigation (BARI). J Am Coll Cardiol. 1999; 34(3): 716-721.
- Saw J, Bhatt DL, Moliterno DJ, et al. The influence of peripheral arterial disease on outcomes: a pooled analysis of mortality in eight large randomized percutaneous coronary intervention trials. J Am Coll Cardiol. 2006; 48(8): 1567-1572.
- Olin J, Sealove B. Peripheral artery disease: current insight into the disease and its diagnosis and management. Mayo Clin Proc. 2010 Jul; 85(7): 678-692.
- Nishimura RA, Holmes DR Jr, McFarland TM, et al. Ventricular arrhythmias during coronary angiography in patients with angina pectoris or chest pain syndromes. Am J Cardiol. 1984 Jun 1;53(11):1496-1499.
- Huang JL, Ting CT, Chen YT, Chen SA. Mechanisms of ventricular fibrillation during coronary angioplasty: increased incidence for the small orifice caliber of the right coronary artery. Int J Cardiol. 2002 Mar; 82(3): 221-228.
- Dorros G, Cowley MJ, Simpson J, et al. Percutaneous transluminal coronary angioplasty: report of complications from the National Heart, Lung, and Blood Institute PTCA Registry. Circulation. 1983 Apr; 67(4): 723-730.
- Cabin HS, Roberts WC. Fatal cardiac arrest during cardiac catheterization for angina pectoris: analysis of 10 necropsy patients. Am J Cardiol. 1981 Jul; 48(1): 1-8.
- Gunduz H, Akdemir R, Arinc H, et al. Iatrogenic left main coronary artery thrombosis during percutaneous coronary intervention. Int J Cardiol. 2005 Jul 10; 102(2): 345-347.
Disclosure: The authors report no conflicts of interest regarding the content herein.
The authors can be contacted via Dr. Edward H. Nabet at edward.nabet@mountsinai.org.


