Giant Coronary Artery Aneurysm Manifesting as Acute Myocardial Infarction
Radhika-Alicia P. Patel, RAa, Janvi B. Patel, RAa, Joseph Ibrahim, MSIIIa,b, Pratik B. Patel, MD, FACCa,b aCardio Metabolic Institute, Somerset, New Jersey bRobert Wood Johnson University Hospital, New Brunswick, New Jersey
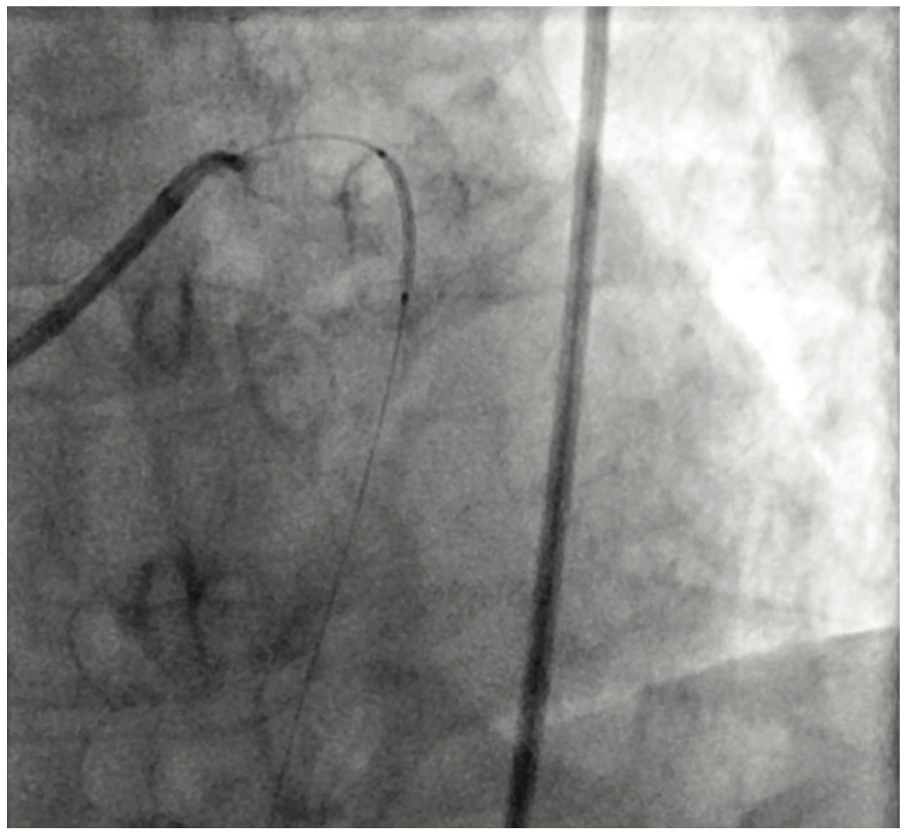
Figure 1. Occluded proximal LAD.
Coronary artery aneurysm is a rare entity, occurring in less than 1% of patients that have undergone coronary angiography. It is defined as dilatation of the coronary artery that exceeds the normal diameter by 1.5 to 2 times.1,2 It can be classified as saccular, fusiform, or mixed. Saccular aneurysm is an outpouching of a portion of the coronary artery, appearing on one side of the artery.3 Fusiform aneurysm is the more common type and appears spindle-shaped, i.e., involves both sides of the arterial wall, and is variable in both diameter and length.3 The natural history, clinical manifestation, treatment, and prognosis of coronary aneurysms is relatively unknown. Most of the published recommendations are anecdotal experiences without any evidence-based medicine. This article reports a unique case of a patient with multivessel, giant coronary artery aneurysms who had a plaque rupture within the aneurysm of left anterior descending artery, resulting in an acute myocardial infarction.
Case Report
Figure 2. LAD opening after dottering of vessel.
A 72-year-old male with past medical history significant for hypertension and hyperlipidemia presented with substernal chest pain radiating to the jaw that started the morning of admission. He stated the chest pain commenced when he walked up the stairs. The chest pain was associated with shortness of breath and diaphoresis. One day prior to admission, the patient had a brief ten-minute episode of similar chest pain and jaw pain, which had resolved spontaneously. He went to his primary care physician’s office and had an electrocardiogram (EKG) performed in the office. The EKG showed normal sinus rhythm with anterior ST segment elevation. The primary doctor called the cardiologist, who activated the cardiac cath lab. Emergency medical services (EMS) gave the patient 4 chewable aspirins and brought the patient to the emergency room. In the emergency department, the patient was loaded with 600 mg of clopidogrel and started on intravenous heparin.
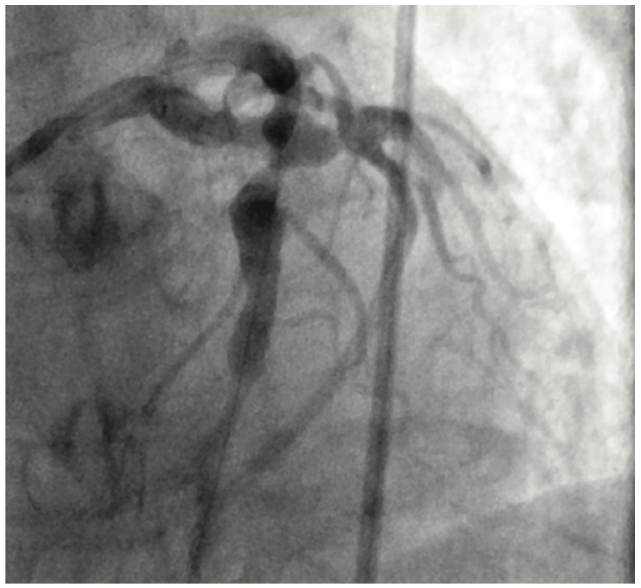
Figure 3. Giant coronary aneurysms throughout LAD and LCx.
Physical examination showed a blood pressure of 137/65 mmHg, pulse of 68, respiratory rate of 16, and the pulse oximetry was 98% on 3 L/min via nasal cannula. In general, the patient was in moderate respiratory distress, with use of accessory muscles. His lungs were slightly wet with bibasilar rales. Cardiovascular exam showed regular rate and rhythm. His extremities showed no evidence of clubbing, cyanosis, or edema.
Cardiac catheterization showed total occlusion of the left anterior descending artery (LAD) with multiple coronary aneurysms in the LAD, left circumflex (LCx), and right coronary arteries. There was TIMI 0-1 slow flow within the coronary aneurysms. An eptifibatide bolus and drip was started. Aspiration thrombectomy using an Export catheter (Medtronic) and then rheolytic thrombectomy using an AngioJet catheter was performed on the proximal and mid LAD. A 4.0 x 16 mm bare metal stent was placed. However, the patient became hypotensive in the cath lab and a balloon pump was inserted. Prior to leaving the lab, there was resolution of the ST segment elevations. The patient was started on both a heparin drip and low-dose dopamine drip.
Figure 4. Stent placement in proximal LAD.
Post procedure, the patient went to the coronary care unit (CCU) and spent 3 days there. His peak troponin was 40 mg/dL and peak CPK-MB was 540 mg/dL. Eventually, the balloon pump was removed. The patient was maintained on aspirin, initially at 325 mg, then to 81 mg after one month. He was maintained on clopidogrel 75 mg indefinitely. The patient has been stable since his heart attack, and has not had subsequent episodes of heart failure or angina.
Discussion
Coronary artery aneurysm is an uncommon abnormality, originally found in postmortem examinations before it was characteristically diagnosed more frequently after the invention of the coronary angiography.4 Atherosclerotic lesions are the most common causes for cases involving coronary artery aneurysm. Other, less common etiologies include congenital, dissection, infection, vasculitis, post-coronary intervention, and other inflammatory lesions.4
Figure 5. Stent placement in LAD.
Coronary artery aneurysm presents itself in three ways: saccular, fusiform, and mixed arteries. In the case of our patient, he had both fusiform and saccular coronary aneurysms. Most frequently, giant coronary artery aneurysms are found in the left anterior descending artery, while manifestation in the left main is rare.6,7 Patients can present as asymptomatic or symptomatic. Symptoms can include ischemic or heart failure symptoms such as angina or dyspnea.
Figure 6. Stented vessel with multiple giant coronary aneurysms.
Coronary angiography is used to diagnose coronary artery aneurysms, and will show size, morphology, location, and the presence of coronary stenosis. In children, transthoracic echocardiograms are used to diagnose aneurysms.4 Prior cases of coronary artery aneurysms do not provide conclusive recommendations on management after detection and prognosis is not well known.4 Despite this, authors of these cases agree that surgery should be used as first-line treatment for patients with significant coronary stenosis.4 However, the optimal treatment and duration of treatment are unknown. The amount of dual antiplatelet therapy and whether to use oral anticoagulants are also unknown. Further studies and retrospective analysis to determine the most efficacious method of managing coronary artery aneurysms are needed.
This case is unique due to the amount of coronary aneurysms detected in all the major coronary vessels and the presentation of the aneurysm as an acute myocardial infarction.
References
Dogan A, Ozaydin M, Altinbas A, et al. A giant aneurysm of the circumflex coronary artery with fistulous connection to the coronary sinus: a case report. Int J Cardiovasc Imaging. 2003 Feb; 19(1): 5-8.
Chowdhury UK, Rizhvi A, Sheil A, et al. Successful surgical correction of a patient with congenital coronary arteriovenous fistula between left main coronary artery and right superior cavo-atrial junction. Hellenic J Cardiol. 2009; 50: 73-78.
Mehrpooya M, Salehi S, Eskandari R, Shajirat Z, Golabchi A, Mazoochi M. Diagnostic dilemma: Saccular aneurysm or pseudoaneurysm of the ascending aorta with dissection above level of leaflets. ARYA Atheroscler. 2012 Fall; 8(3): 167-169.
Assiri AS. Giant coronary artery aneurysm. Ann Saudi Med. 2000 May-July; 20(3-4): 248-250.
Gundoğdu F, Arslan S, Buyukkaya E, Senocak H. Treatment of a coronary artery aneurysm by use of a covered stent graft – a case report. Int J Angiol. 2007 Spring; 16(1): 31-32.
Topaz O, Disciascio G, Cowley M, et al. Angiographic features of left main coronary artery aneurysm. Am J Cardiol. 1991 May 15; 67(13): 1139-1142.
Lenihan DJ, Zeman HS, Collins GJ. Left main coronary artery aneurysm in association with severe atherosclerosis: a case report and review of the literature. Cathet Cardiovasc Diag. 1991; 23: 28-31.
Disclosure: The authors report no conflicts of interest regarding the content herein.
The authors can be contacted via Joseph Ibrahim, MSIII, at ji89@rwjms.rutgers.edu.
New Britain, PA, March 16, 2026 – Thrombolex, Inc., a commercial-stage medical device company advancing a differentiated pharmaco-mechanical lysis (PML) platform for the treatment of pulmonary embolism (PE) and other thromboembolic diseases,...
New Britain, PA, March 16, 2026 – Thrombolex, Inc., a commercial-stage medical device company advancing a differentiated pharmaco-mechanical lysis (PML) platform for the treatment of pulmonary embolism (PE) and other thromboembolic diseases,...
Scientia's novel access platform is designed to improve navigability through complex anatomy and simplify neurovascular procedures. By enabling faster and more reliable access, these technologies improve procedural efficiency.
Scientia's novel access platform is designed to improve navigability through complex anatomy and simplify neurovascular procedures. By enabling faster and more reliable access, these technologies improve procedural efficiency.
"By using the EggNest system, we can provide the entire team with protection that is superior to the status quo, by either going apron-free, or while wearing aprons that feel like a light vest," said Santiago Garcia, MD, the study’s lead...
"By using the EggNest system, we can provide the entire team with protection that is superior to the status quo, by either going apron-free, or while wearing aprons that feel like a light vest," said Santiago Garcia, MD, the study’s lead...
"This first look at contemporary data of the growing adoption of angiography-derived physiology (ADP) in the U.S. shows similar clinical outcomes including death, MI and revascularization through 2 years when compared with invasive pressure...
"This first look at contemporary data of the growing adoption of angiography-derived physiology (ADP) in the U.S. shows similar clinical outcomes including death, MI and revascularization through 2 years when compared with invasive pressure...
Dr. Amish Raval reported that patients receiving the autologous CardiAMP cell therapy under investigation demonstrated positive evidence of decreased pathological left ventricular remodeling over time compared to patients not receiving the...
Dr. Amish Raval reported that patients receiving the autologous CardiAMP cell therapy under investigation demonstrated positive evidence of decreased pathological left ventricular remodeling over time compared to patients not receiving the...
"The RELIEF-FIH study provides encouraging early evidence on a novel approach to HF congestion management," stated Dr. Alex Rothman. "By targeting the negative physiological cardiorenal loop, the Relief System modulates venous congestion in...
"The RELIEF-FIH study provides encouraging early evidence on a novel approach to HF congestion management," stated Dr. Alex Rothman. "By targeting the negative physiological cardiorenal loop, the Relief System modulates venous congestion in...
A wound that remains open for longer than a month is classified as chronic. Worldwide, about 12 million people experience chronic wounds each year, including roughly 4.5 million in the United States. Approximately one in five of these...
A wound that remains open for longer than a month is classified as chronic. Worldwide, about 12 million people experience chronic wounds each year, including roughly 4.5 million in the United States. Approximately one in five of these...
Limiting sugar consumption during early childhood may reduce the risk of serious heart problems later in life. A study published in The BMJ, based on data from the end of sugar rationing in the United Kingdom in 1953, found that people...
Limiting sugar consumption during early childhood may reduce the risk of serious heart problems later in life. A study published in The BMJ, based on data from the end of sugar rationing in the United Kingdom in 1953, found that people...
SALT LAKE CITY, UT — VentiV Scientific announced the FDA clearance of VentiV Mechanical Thrombectomy system to remove blood clots from the peripheral vasculature including the new VentiV Pulse platform.
Blood clot removal...
SALT LAKE CITY, UT — VentiV Scientific announced the FDA clearance of VentiV Mechanical Thrombectomy system to remove blood clots from the peripheral vasculature including the new VentiV Pulse platform.
Blood clot removal...
Munich, Germany – Preliminary results from an Italian registry describe the risk profile of women experiencing acute coronary syndromes and provide insights to improve management.1 These findings were presented today at the EAPCI Summit 2026,...
Munich, Germany – Preliminary results from an Italian registry describe the risk profile of women experiencing acute coronary syndromes and provide insights to improve management.1 These findings were presented today at the EAPCI Summit 2026,...