“Blowout” Technique: Deep Expiration for Wire Navigation Into the Ascending Aorta With Severe Subclavian Tortuosity From the Right Radial Approach
The right radial approach (RRA) is the preferred method for cardiac catheterization. The familiarity and ease of catheter manipulation from the right side by both operator and ancillary staff, like that of the femoral approach, has probably driven this trend.1 However, an anatomical “obstacle” in the form of the innominate artery (IA) frequently hinders a straight route into the ascending aorta (AA). These difficulties arise in approximately 25% of patients.2 The right subclavian artery arises from the brachiocephalic trunk with the presence of two consecutive vascular bifurcations at that level. This may affect smooth access into the AA, which directly correlates with increased procedural time, operator radiation exposure, fluoroscopic time, dose area product (DAP), and contrast volume.2-4
Subclavian and innominate anatomical challenges have been previously described and are divided into five subsets: tortuosity, loop, stenosis, congenital aberrancy, and combined challenges.5 The “blowout” technique addresses right subclavian tortuosity (RST). Angiographically, catheters encountering tortuous anatomy tend to cross the trachea before entering the AA, and typically resemble the profile view of an “elephant’s head” (Figure 1). The approach can be tortuous on coronal and sagittal planes (Figure 2).
Independently or in combination, RST can make a radial procedure arduous. “Corkscrewing” of the right subclavian can prove to be extremely challenging for gaining access into the AA. Furthermore, it adds a level of difficulty cannulating the coronaries, on account of torque being transmitted into the tortuosity of the IA rather than the tip of the catheter. This occurs because there are several points of contact with the catheter and the brachiocephalic trunk (best delineated in the left anterior oblique [LAO]/caudal view) (Figure 3).
This frequently results in over-torqueing, causing catheters to “helicopter” past the coronary ostia. Increased catheter manipulations also run the risk to kink or knot, and may induce radial artery spasm. During percutaneous coronary intervention (PCI) when the catheter is engaged, support is frequently insufficient due to serpentine anatomy within the IA in the presence of RST. Looping of the right subclavian can bias the wire towards the common carotid or the descending aorta. Presence of an aberrant right subclavian artery (arteria lusoria), while rare (0.2-1.7%6), can make it very difficult to complete a coronary angiogram, with a success rate of approximately 60%.7 One study found anatomical variants from the right radial approach were nearly double than that of the left for subclavian and innominate variants.8 A variety of techniques have been developed to overcome these obstacles.
Several methods are frequently used to negotiate RST. The most frequently used method is deep inspiration. During deep inspiration, the aorta and right subclavian are distended, straightening out the anatomy and allowing for catheters to pass into the AA. However, this may create a rigid pathway, narrow the vessel momentarily, and while typically allowing for access into the AA, in certain circumstances, it can create an unfavorable angle towards the descending aorta (Figure 4).
Different wires may also enable easier negotiation into the AA. Wholey wires (Covidien) are often used because of their soft tip and strong shaft. Hydrophilic wires such as Glidewires (Terumo) are also used to navigate through RST. Even .014-inch wires are used to help access the AA from the RRA approach. Balloon-assisted tracking (BAT) can also help with difficult tortuosity. Also, turning the head right and left can change the architecture of the upper vasculature for access into the AA. Hybrid techniques with different wires, catheter positions, and deep inspirations all come into play when accessing the AA. However, there are times when operators have exhausted all these techniques and bail out to the contralateral radial or the femoral approach.
“Blowout Technique”
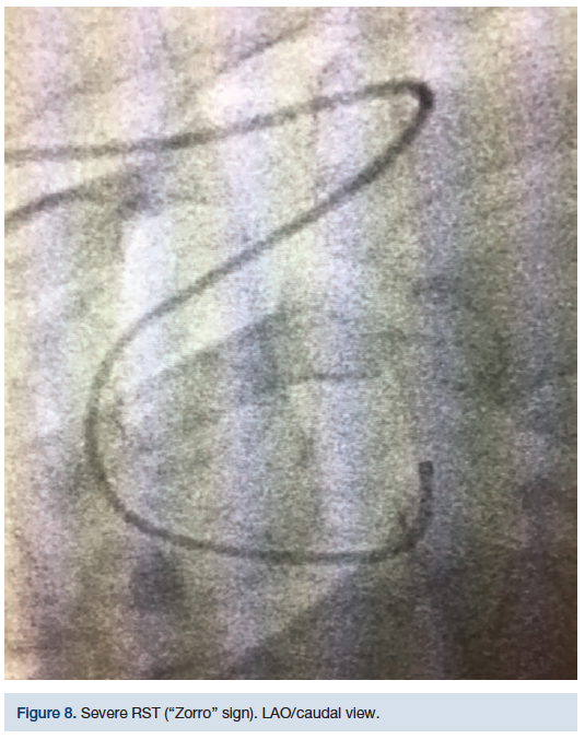
This technique was initially used on a 68-year-old female, diabetic, 5 feet, 4 inches tall, hypertensive, with severe RST (Figures 5-8). Despite several different catheter positions, wires, and extensive deep inspirations, the wire was repeatedly biased towards the descending aorta. Prior to bailing out to an alternative approach, we hypothesized that doing the exact opposite might gain us access to the AA. After several minutes of fluoroscopy and extensive deep inspirations disallowed navigation, a single deep expiration allowed our wire and catheter access into the AA with minimal fluoroscopy.
Upon catheters being placed at the origin of the brachiocephalic trunk or the transverse aorta, the patient is asked to take a deep breath in and “blow” it all out. At that moment, the operator will advance the guidewire in an effort to access the AA. Logic dictates that if a deep inspiration straightens RST for catheter navigation, then a deep expiration would amplify tortuosity, disallowing catheter navigation. While inspiration distends out RST, it also creates a rigid pathway for catheters (Figure 9).
While distended, it is possible this pathway may bias catheters towards the descending aorta. However, a deep expiration “softens” the anatomy, to a small degree, increases the lumen size, and may improve the entry angle into the AA. This may allow a wire to pass into the AA with relative ease. This technique has worked several times on patients that have had severe RST. The “blowout” technique can be attempted when conventional methods of accessing the AA fail and/or when deep inspiration continuously biases catheters towards the descending aorta.
Discussion
Although counter-intuitive, the “blowout” technique may change the angle of the aorto-brachiocephalic junction in order to allow catheters to pass into the AA when all other techniques have been exhausted. Right subclavian tortuosity can negatively affect fluoroscopy time, and patient and operator exposure.4,9 Clinical indicators such as age >70, hypertension, female, short stature, and high body mass index are clinical predictors of RST.10 One study found that a prominently projected aortic arch on chest x-ray could be a useful predictor for right subclavian tortuosity.11 Unfortunately, chest x-ray is not common practice for pre-procedural screening prior to cardiac catheterization. However, a short “scout” fluoroscopy run prior to arterial access may provide some insight on whether the operator may encounter challenging anatomy from the IA. It is conceivable that the aorta lengthens during life, since a tortuous deformation or even kinking is frequently observed in elderly patients.12 Theoretically, tortuosity and kinking could also result from age-associated changes of thorax configuration (such as spondylosis and increased kyphosis).12 Scoliosis and kyphosis also seem to add to increased catheter and wire manipulation upon accessing the AA, due to changes in aortic morphology. Patients with clinical indicators for RST might be better served by utilization of the left radial approach, which could potentially decrease procedure time and operational costs.
Acknowledgements. Special thanks to the #cardiotwitter #radialfirst crew.
References
- Rao SV, Cohen MG, Kandzari DE, et al. The transradial approach to percutaneous coronary intervention: historical perspective, current concepts, and future directions. J Am Coll Cardiol. 2010 May 18; 55(20): 2187-2195. doi: 10.1016/j.jacc.2010.01.039.
- Sciahbasi A, Frigoli E, Sarandrea A, et al. Radiation exposure and vascular access in acute coronary syndromes: the RAD-Matrix trial. J Am Coll Cardiol. 2017 May 23; 69(20): 2530-2537. doi: 10.1016/j.jacc.2017.03.018.
- Xia SL, Zhang XB, Zhou JS, Gao X. Comparative efficacy and safety of the left versus right radial approach for percutaneous coronary procedures: a meta-analysis including 6870 patients. Braz J Med Biol Res. 2015 Aug; 48(8): 743-750. doi: 10.1590/1414-431X20154571.
- Dominici M, Diletti R, Milici C, et al. Operator exposure to x-ray in left and right radial access during percutaneous coronary procedures: OPERA randomised study. Heart. 2013 Apr; 99(7): 480-484. doi: 10.1136/heartjnl-2012-302895.
- Patel T, Shah S, Pancholy S, et al. Working through challenges of subclavian, innominate, and aortic arch regions during transradial approach. Catheter Cardiovasc Interv. 2014 Aug 1; 84(2): 224-235. doi: 10.1002/ccd.25418.
- Scala C, Leone Roberti Maggiore U, Candiani M, et al. Aberrant right subclavian artery in fetuses with Down syndrome: a systematic review and meta-analysis. Ultrasound Obstet Gynecol. 2015 Sep; 46(3): 266-276. doi: 10.1002/uog.14774.
- Valsecchi O, Vassileva A, Musumeci G, et al. Failure of transradial approach during coronary interventions: anatomic considerations. Catheter Cardiovasc Interv. 2006; 67: 870-878.
- Burzotta F, Brancati MF, Porto I, et al. Comparison of right and left upper limb arterial variants in patients undergoing bilateral transradial procedures. Circ Cardiovasc Interv. 2015 Dec; 8(12): e002863. doi: 10.1161/CIRCINTERVENTIONS.115.002863.
- Norgaz T, Gorgulu S, Dagdelen S. A randomized study comparing the effectiveness of right and left radial approach for coronary angiography. Catheter Cardiovasc Interv. 2012 Aug 1; 80(2): 260-264. doi: 10.1002/ccd.23463.
- Cha KS, Kim MH, Kim HJ. Prevalence and clinical predictors of severe tortuosity of right subclavian artery in patients undergoing transradial coronary angiography. Am J Cardiol. 2003 Nov 15; 92(10): 1220-1222.
- Nishizaki Y, Yamagami S, Haga K, et al. Usefulness of prominently projected aortic arch on chest radiograph to predict severe tortuosity of the right subclavian or brachiocephalic artery in patients aged >44 years undergoing coronary angiography with a right radial artery approach. Am J Cardiol. 2012 Jul 15; 110(2): 203-207. doi: 10.1016/j.amjcard.2012.03.012.
- Adriaans BP, Heuts S, Gerretsen S, et al. Aortic elongation part I: the normal aortic ageing process. Heart. 2018 Mar 28. pii: heartjnl-2017-312866. doi: 10.1136/heartjnl-2017-312866.
Richard Casazza, MAS, RT(R)(CI), can be contacted at all4ugq@aol.com.


