The Best ACIST-ant in the Cath Lab: How the CVi Power Injector System was Used to Treat a Complex TAVR Patient
Editor's Note: This case is a sidebar to "Use of the ACIST CVi System in Structural Heart Interventions: Efficiency and Image Quality for Different Contrast Injection Needs"
History
A 79-year-old female with hypertension, emphysema, and severe osteoarthritis (with limited mobility) presented with New York Heart Association (NYHA) Class III symptoms and Canadian Cardiovascular Society (CCS) Class II angina due to severe aortic stenosis. Given her lung disease and poor mobility, the patient was evaluated for transcatheter aortic valve replacement.
Her root anatomy was notable for low left coronary artery height (9.2 mm above the level of the aortic annulus [Figure 1]) and small aortic sinus measurements (23-25 mm in all dimensions). She was referred for transfemoral transcatheter aortic valve replacement (TF TAVR) utilizing the BASILICA (bioprosthetic aortic scallop intentional laceration to prevent iatrogenic coronary obstruction) technique to percutaneously lacerate the native left coronary cusp leaflet of the aortic valve prior to implantation of a 20 mm Sapien 3 transcatheter heart valve (Edwards Lifesciences).
Procedure
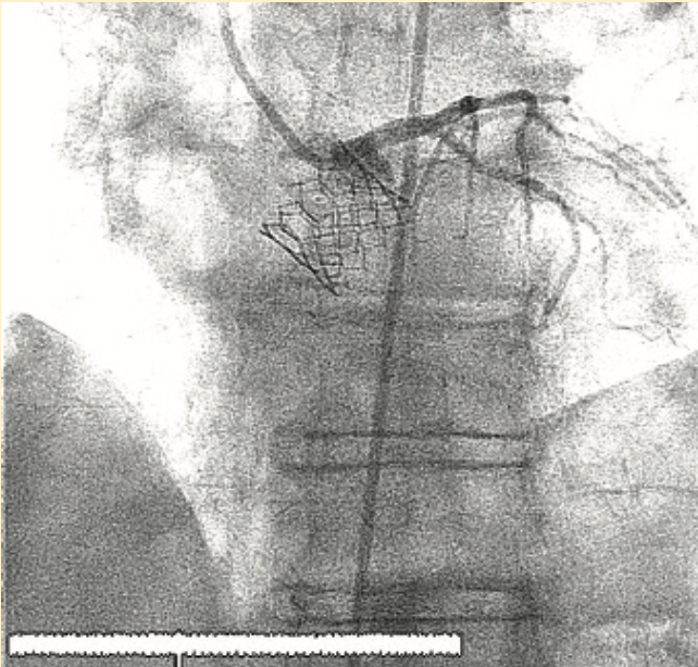
We planned to use cerebral protection during the case upfront, but the patient was known to have anomalous origin of her bilateral carotid arteries off of a single branch from the aortic arch, separate from the right brachiocephalic, and an anomalous insertion of the brachicephalic to the distal arch (Figure 2). We performed an aortic arch angiogram using a 15 cc contrast injection through a 5 French (Fr) pigtail with the ACIST CVi system (ACIST Medical) (Figure 3, Video 1) to guide the cerebral protection device from the anomalous brachiocephalic to protect the carotids. We proceeded with laceration of the left coronary cusp aortic valve leaflet. Aortic root angiography was performed using the same 5 Fr pigtail and a 10 cc contrast injection (Figure 4), then coronary angiography to identify the left coronary cusp (Figure 5). The optimal alignment of the left coronary cusp was determined by using a 6 Fr Amplatz left (AL) 1 guide catheter and a 6 cc injection with a lower pressure injection (Figure 6, Video 2). Finally, after the laceration was completed and the valve deployed (using small test injections from the ACIST contrast injector) (Figure 7, Video 3), we performed peripheral angiography with the 5 Fr pigtail advanced from the contralateral iliac artery to ensure adequate hemostasis of the large 14 Fr sheath access site (Figure 8, Video 4).
Discussion
This case highlights the versatility of the ACIST CVi contrast injection system to navigate the various challenges of complex anatomy. We were able to transition seamlessly from an aortic arch angiogram, to an aortic root angiogram, to coronary and finally peripheral angiography without having to switch out a manifold system for a contrast injector. The volume, flow, and peak injection pressure were quickly optimized for each of these types of angiograms by simply choosing the pre-selected settings. Diagnostic-quality angiograms could be obtained consistently through a small 5 Fr catheter, which is sometimes not possible using hand injections, especially in patients with high-flow states. Undiluted contrast was used. Also, because the rate and flow can be controlled using the pressure-sensitive injector, we were able to further limit the volume of contrast used compared to other systems that deliver a prespecified volume of contrast once activated.


