Case Study
Asymptomatic Presentation of a Totally Occluded Left Main Coronary Artery
January 2018
Angiographic findings of atherosclerotic disease and stenosis in the left main coronary artery are not uncommon in both symptomatic and relatively asymptomatic patients. However, the angiographic finding of a completely occluded left main coronary artery is relatively uncommon and most often not compatible with life.1,2 It is even more unusual to have no symptoms related to the complete obstruction of the left main coronary artery.
Case Report
A 56-year-old male presented to outpatient clinic complaining of right lower extremity claudication. He had a history of hypertension, hyperlipidemia, and diabetes mellitus type 2. His family history was significant in that his father had coronary artery disease with reported myocardial infarction. The patient had a long history of one pack per day tobacco abuse, which was ongoing.
The patient was evaluated by cardiothoracic surgery for coronary artery bypass surgery and was deemed too high-risk for surgical revascularization due to his poor cardiac function. There was also concern for proceeding with coronary artery bypass surgery due to the unclear benefit that it would provide the patient, based on his poor viability scan. The patient was referred to a quaternary hospital with ventricular assist device capabilities and to be evaluated for cardiac transplantation.
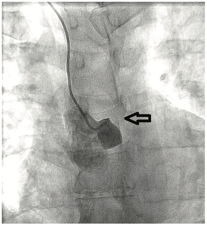
Discussion
Left main coronary artery stenosis to a varying degree is not an uncommon finding on coronary angiography in patients with known and unknown coronary artery disease. Several reports and studies have been published pertaining to clinical presentation and management of left main coronary artery stenosis, but very little is known about the clinical presentation or incidence of left main coronary artery occlusion. This is likely due to total occlusion of the left main coronary artery being incompatible with life. Total occlusion of the left main coronary artery is usually a highly symptomatic event or in many cases, a terminal event. The survival rate and clinical symptoms are likely correlated with the rate of occlusion and the degree of collateralization from the right coronary artery that can supply blood flow to the left coronary arteries when the left main coronary artery becomes totally occluded.
Conclusion
Our patient likely had a subacute presentation of a potentially deadly occlusion in his left main coronary artery that was atypically asymptomatic.
References
- Cohen MV, Gorlin R. Main left coronary artery disease. Clinical experience from 1964-1974. Circulation. 1975; 52(2): 275-285.
- Flugelman MY, Shalit M, Shefer A, Hasin Y, Gotsman MS. Survival after sudden obstruction of the left main coronary artery. Am J Cardiol. 1983; 51(5): 900-901.
- Lee MS, Kapoor N, Jamal F, Czer L, Aragon J, Forrester J, et al. Comparison of coronary artery bypass surgery with percutaneous coronary intervention with drug-eluting stents for unprotected left main coronary artery disease. J Am Coll Cardiol. 2006; 47(4):864-870.
- Palmerini T, Marzocchi A, Marrozzini C, Ortolani P, Saia F, Savini C, et al. Comparison between coronary angioplasty & coronary artery bypass surgery for the treatment of unprotected left main coronary artery stenosis (the Bologna Registry). Am J Cardiol. 2006; 98(1): 54-59.
Disclosure: The authors report no conflicts of interest regarding the content herein.
The authors can be contacted via Robert Tonks, MD, at rtonks@utmck.edu.


