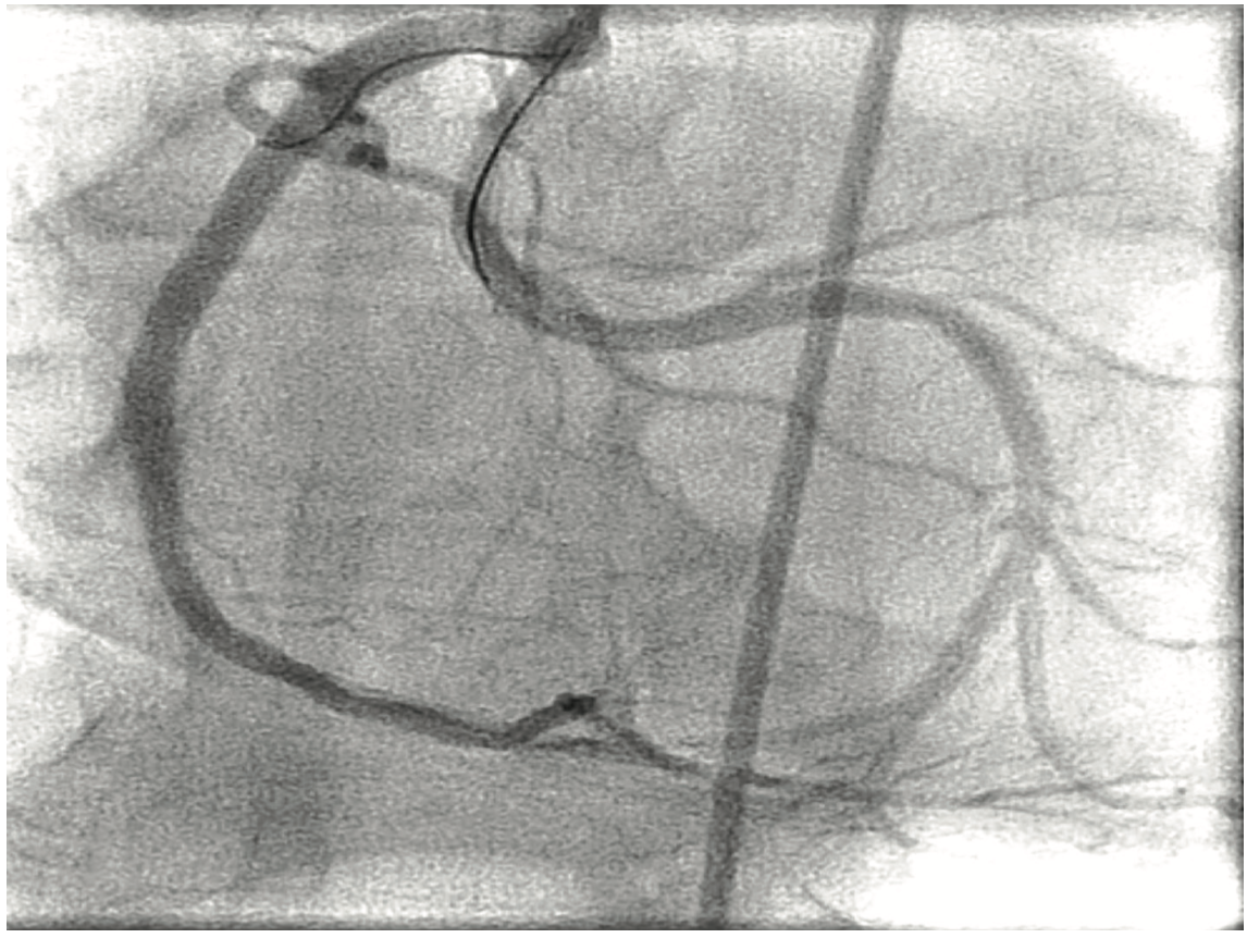
Figure 1. Right anterior oblique (RAO) caudal projection: Patent left anterior descending artery. Left circumflex (LCX) artery not present.
Coronary artery anomalies (CAA) represent a distinct and diverse group of entities with a reported incidence of approximately 1%, ranging from 0.3% to 5.64%.1-5 Various normal variations and anomalous coronary arteries have been described in the literature. Any variation with incidence >1% is usually considered as a normal variant and not as an anomaly.1-4 Anomalous origin of the left circumflex (LCX) with a separate ostium from the right sinus of Valsalva is the most commonly described coronary artery anomaly in the literature, with a reported incidence of 0.41%.6 The second most commonly described anomaly is the origin of LCX from the main right coronary artery (RCA) with a reported incidence of 0.37%.1,5 Anomalous coronary arteries pose considerable challenges and/or technical difficulties for the interventional cardiologist during percutaneous coronary intervention (PCI). Here, we present a case of acute coronary syndrome with a severely diseased anomalous LCX, successfully managed with a novel PCI technique.
Case Description
Figure 2. Left anterior oblique (LAO) projection: Patent right coronary artery (RCA) and LCX seen originating from main RCA.
A 56-year-old male presented with unstable angina pectoris. He had known severe anomalous LCX disease managed medically thus far. Past medical history was also significant for hypertension, hyperlipidemia, and diabetes. Cardiovascular physical examination was unremarkable. An electrocardiogram (EKG) showed sinus bradycardia and diffuse, mild ST segment elevations. An echocardiogram showed normal left ventricular systolic function and no pericardial effusion. Troponin I level was initially normal. The patient was treated with heparin, nitroglycerin, beta-blocker, statin, and aspirin. Coronary angiography showed non-obstructive disease in the left anterior descending artery (LAD); the LCX was not visualized on the left system injection (Figure 1 shows the right anterior oblique [RAO] caudal projection). The RCA was dominant with normal take-off and no obstructive disease noted; however, the LCX was seen coming off the proximal part of RCA, and was noted to be severely and diffusely diseased. The mid LCX had a 95-99% stenosis and distal segments with less severe but also obstructive disease in the proximal portion (Figure 2 is the left anterior oblique [LAO] straight projection). The LCX had a culprit lesion that we decided to stent. A 6 French multipurpose guide catheter (Multipurpose [MP] 2 [Boston Scientific]) was inserted via right femoral artery access. This catheter has a tendency for deep intubation of the RCA (Figure 3). In order to avoid an unfavorable prolapse into the take-off of the LCX on pullback (there is a right angle between the proximal LCX and the guide, thus increasing the risk of LCX guide dissection), a Balance Middleweight (BMW) guide wire (Abbott Vascular) was placed into the distal RCA branch. Its distal end was looped (into a “knuckle”). The wire was pushed forward and in doing so, the guide catheter was pushed in a controllable manner out of the RCA to the level of the LCX take-off. Once at this level, the LCX was wired with another BMW guide wire (Figure 4). The LCX was predilated with a 2.0 x 15 mm balloon and then stented with a Xience Prime 2.75 x 38 mm stent (Abbott Vascular) (distal and mid portions) and 2.75 x 18 mm (proximal) stents at high pressure. The result was satisfactory (Figure 5, Video 1).
Discussion
Figure 3. MP2 catheter deeply intubating the RCA and the first BMW wire in the distal RCA with a knuckle tip.
Anomalous origin of the left circumflex with a separate ostium from the right sinus of Valsalva is the most commonly described coronary artery anomaly in the literature, with a reported incidence of 0.41%6 and the next common anomaly described is the origin of LCX from main RCA, with a reported incidence of 0.37%,1,5 as seen in our case. There has been conflicting data on whether coronary artery anomalies are associated with an increased risk of atherosclerosis.7-9 Certain anomalies also increase the risk of epicardial vessel atherosclerotic disease, if a portion of anomalous artery is inside the myocardium (myocardial bridge) and leading to narrowed vessel during systole.8 One study showed a similar risk of atherosclerotic disease in comparison to atherosclerotic risk in the general population,7 while another study demonstrated increased atherosclerosis with the presence of a coronary artery anomaly.9 The initial presentation of anomalous coronaries varies significantly across a spectrum, from being found incidentally in an asymptomatic patient to being retrospectively discovered in sudden cardiac death on autopsy. Various anatomical features have been associated with sudden cardiac death, including abnormal coursing, acute angle take-off and ostial abnormalities.7 Patients often present with angina pectoris or syncope, especially on exercise, and our patient presented with unstable angina. Anomalous coronary arteries may pose a challenge to diagnosis if the vessel is severely diseased or if the possibility of anomalous coronary artery is not considered.
Figure 4. “Push the knuckle” technique retracts the guide tip, allowing for passage of a second BMW wire into the LCX.
Current guidelines indicate that certain anomalies/presentations are considered high risk and therefore should undergo surgical revascularization with coronary artery bypass graft surgery (CABG). However, our patient’s presentation did not meet criteria for CABG10,11 and thus we chose to perform PCI in this patient.
Figure 5. A good result in the anomalous LCX.
The selective cannulation of anomalous arteries can be technically challenging and time consuming. Multiple angiographic factors such as ostium configurations, aortic root dimensions, and lesion location play a crucial role in the intervention of anomalous arteries. Most available catheters are designed for usual coronary anatomy and the guide catheter might not fit or comply well into an anomalous coronary ostium or system. Since the ostium of the LCX is inside of the RCA, use of a traditional guide for the RCA such as a Judkins right or Amplatz left guide catheter is not feasible for anomalous LCX intervention. If the Jukins right catheter deeply intubates the RCA, the tip of catheter can create an ostial and/or proximal RCA dissection, even a right aortic root dissection. In our case, the MP guide catheter appeared to be an appropriate catheter because of its ability to deeply intubate the RCA without significant damage to the artery. The second challenge was wiring the LCX lesion. The MP catheter tip is coaxial with the RCA without angle; the catheter needed to be pulled back to the LCX ostial level with fine, controllable movements, but it was also difficult to hold the catheter at the LCX ostial level without moving it back and forth while wiring the ostial LCX. Even an MP can disengage from the RCA and lose wire position completely. The knuckle technique provided a solution to this interventional challenge, making it easier and more efficient to wire the LCX. After the MP deeply intubated the RCA just beyond the LCX ostial level, the first BMW was placed into the distal RCA with a loop. By gently pushing this wire forward, the loop in the distal RCA pushed the MP2 outward to reach ostial level of the LCX and helped to stabilize the MP2 in place. The second BMW, with a large wire tip according to the RCA and LCX angle, should allow easy wiring of the anomalous LCX without multiple attempts. We kept the first BMW wire in the distal RCA during the LCX intervention, because it helped to stabilize the MP guide position. Another approach is to simply withdraw the guiding catheter over a non-knuckled guidewire down the RCA just proximal to the LCX ostium; then the second wire can be carefully advanced to the LCX. When withdrawing the guide catheter from the hub, transmission to the tip may be less controllable and the guide may potentially completely disengage from the ostium of the RCA. The knuckled guidewire technique may provide better control of the guide catheter and stabilize the guide movements because of the short distance from the knuckle tip.
Conclusion
The origin of LCX from the main RCA is a common anomaly. In acute coronary syndromes, the culprit lesion in an anomalous LCX creates an interventional challenge. By wiring the RCA first and using the “push the knuckle” technique, a safe and elegant positioning of the guide catheter at the bifurcation, and further intervention, can be achieved easily and effectively. Our knuckle technique provides an advantage over withdrawing the catheter over a non-knuckled guidewire down the RCA. The knuckle technique also provides increased stability, allowing for finer control from the proximal hub end of the catheter/wire, especially helpful in cases requiring urgent intervention.
References
Villa AD, Sammut E, Nair A, Rajani R, Bonamini R, Chiribiri A. Coronary artery anomalies overview: The normal and the abnormal. World J Radiol. 2016 Jun 28; 8(6): 537-555. doi: 10.4329/wjr.v8.i6.537.
Angelini P. Coronary artery anomalies: an entity in search of an identity. Circulation. 2007 Mar 13; 115(10): 1296-1305.
Angelini P. Coronary artery anomalies — current clinical issues: definitions, classification, incidence, clinical relevance, and treatment guidelines. Tex Heart Inst J. 2002; 29(4): 271-278.
Angelini P, Velasco JA, Flamm S. Coronary anomalies: incidence, pathophysiology, and clinical relevance. Circulation. 2002 May 21; 105(20): 2449-2454.
Yuksel S, Meric M, Soylu K, Gulel O, Zengin H, Demircan S, et al. The primary anomalies of coronary artery origin and course: A coronary angiographic analysis of 16,573 patients. Exp Clin Cardiol. 2013 Spring; 18(2): 121-123.
Yamanaka O, Hobbs RE. Coronary artery anomalies in 12595 patients undergoing coronary angiography. Cathet Cardiovasc Diagn. 1990; 21: 28–40.
Yuan SM. Anomalous origin of coronary artery: taxonomy and clinical implication. Rev Bras Cir Cardiovasc. 2014 Oct-Dec; 29(4): 622-629. doi: 10.5935/1678-9741.20140109.
Duygu H, Zoghi M, Nalbantgil S, Kirilmaz B, Türk U, Ozerkan F, et al. Myocardial bridge: a bridge to atherosclerosis. Anadolu Kardiyol Derg. 2007 Mar; 7(1): 12-16.
Click RL, Holmes DR Jr, Vlietstra RE, Kosinski AS, Kronmal RA. Anomalous coronary arteries: location, degree of atherosclerosis and effect on survival--a report from the Coronary Artery Surgery Study. J Am Coll Cardiol. 1989 Mar 1; 13(3): 531-537.
Warnes CA, Williams RG, Bashore TM, Child JS, Connolly HM, Dearani JA, et al; American College of Cardiology; American Heart Association Task Force on Practice Guidelines (Writing Committee to Develop Guidelines on the Management of Adults With Congenital Heart Disease); American Society of Echocardiography; Heart Rhythm Society; International Society for Adult Congenital Heart Disease; Society for Cardiovascular Angiography and Interventions; Society of Thoracic Surgeons. ACC/AHA 2008 guidelines for the management of adults with congenital heart disease: a report of the American College of Cardiology/American Heart Association Task Force on Practice Guidelines (Writing Committee to Develop Guidelines on the Management of Adults With Congenital Heart Disease). Developed in Collaboration With the American Society of Echocardiography, Heart Rhythm Society, International Society for Adult Congenital Heart Disease, Society for Cardiovascular Angiography and Interventions, and Society of Thoracic Surgeons. J Am Coll Cardiol. 2008 Dec 2;52(23):e143-263. doi: 10.1016/j.jacc.2008.10.001.
Hillis LD, Smith PK, Anderson JL, Bittl JA, Bridges CR, Byrne JG, et al; American College of Cardiology Foundation; American Heart Association Task Force on Practice Guidelines; American Association for Thoracic Surgery; Society of Cardiovascular Anesthesiologists; Society of Thoracic Surgeons. 2011 ACCF/AHA Guideline for Coronary Artery Bypass Graft Surgery. A report of the American College of Cardiology Foundation/American Heart Association Task Force on Practice Guidelines. Developed in collaboration with the American Association for Thoracic Surgery, Society of Cardiovascular Anesthesiologists, and Society of Thoracic Surgeons. J Am Coll Cardiol. 2011 Dec 6; 58(24): e123-e210. doi: 10.1016/j.jacc.2011.08.009.
1Internal Medicine Resident, University of South Dakota Sanford School of Medicine, Sioux Falls, South Dakota; 2Interventional Cardiology Fellow, University of South Dakota Sanford School of Medicine, Sioux Falls, South Dakota; 3Interventional Cardiologist, Sanford Cardiovascular Institute, Sioux Falls, South Dakota
Disclosure: The authors report no conflicts of interest regarding the content herein.
The authors can be contacted via Prince Sethi, MD, at prince.sethi@usd.edu.
New Britain, PA, March 16, 2026 – Thrombolex, Inc., a commercial-stage medical device company advancing a differentiated pharmaco-mechanical lysis (PML) platform for the treatment of pulmonary embolism (PE) and other thromboembolic diseases,...
New Britain, PA, March 16, 2026 – Thrombolex, Inc., a commercial-stage medical device company advancing a differentiated pharmaco-mechanical lysis (PML) platform for the treatment of pulmonary embolism (PE) and other thromboembolic diseases,...
Scientia's novel access platform is designed to improve navigability through complex anatomy and simplify neurovascular procedures. By enabling faster and more reliable access, these technologies improve procedural efficiency.
Scientia's novel access platform is designed to improve navigability through complex anatomy and simplify neurovascular procedures. By enabling faster and more reliable access, these technologies improve procedural efficiency.
"By using the EggNest system, we can provide the entire team with protection that is superior to the status quo, by either going apron-free, or while wearing aprons that feel like a light vest," said Santiago Garcia, MD, the study’s lead...
"By using the EggNest system, we can provide the entire team with protection that is superior to the status quo, by either going apron-free, or while wearing aprons that feel like a light vest," said Santiago Garcia, MD, the study’s lead...
"This first look at contemporary data of the growing adoption of angiography-derived physiology (ADP) in the U.S. shows similar clinical outcomes including death, MI and revascularization through 2 years when compared with invasive pressure...
"This first look at contemporary data of the growing adoption of angiography-derived physiology (ADP) in the U.S. shows similar clinical outcomes including death, MI and revascularization through 2 years when compared with invasive pressure...
Dr. Amish Raval reported that patients receiving the autologous CardiAMP cell therapy under investigation demonstrated positive evidence of decreased pathological left ventricular remodeling over time compared to patients not receiving the...
Dr. Amish Raval reported that patients receiving the autologous CardiAMP cell therapy under investigation demonstrated positive evidence of decreased pathological left ventricular remodeling over time compared to patients not receiving the...
"The RELIEF-FIH study provides encouraging early evidence on a novel approach to HF congestion management," stated Dr. Alex Rothman. "By targeting the negative physiological cardiorenal loop, the Relief System modulates venous congestion in...
"The RELIEF-FIH study provides encouraging early evidence on a novel approach to HF congestion management," stated Dr. Alex Rothman. "By targeting the negative physiological cardiorenal loop, the Relief System modulates venous congestion in...
A wound that remains open for longer than a month is classified as chronic. Worldwide, about 12 million people experience chronic wounds each year, including roughly 4.5 million in the United States. Approximately one in five of these...
A wound that remains open for longer than a month is classified as chronic. Worldwide, about 12 million people experience chronic wounds each year, including roughly 4.5 million in the United States. Approximately one in five of these...
Limiting sugar consumption during early childhood may reduce the risk of serious heart problems later in life. A study published in The BMJ, based on data from the end of sugar rationing in the United Kingdom in 1953, found that people...
Limiting sugar consumption during early childhood may reduce the risk of serious heart problems later in life. A study published in The BMJ, based on data from the end of sugar rationing in the United Kingdom in 1953, found that people...
SALT LAKE CITY, UT — VentiV Scientific announced the FDA clearance of VentiV Mechanical Thrombectomy system to remove blood clots from the peripheral vasculature including the new VentiV Pulse platform.
Blood clot removal...
SALT LAKE CITY, UT — VentiV Scientific announced the FDA clearance of VentiV Mechanical Thrombectomy system to remove blood clots from the peripheral vasculature including the new VentiV Pulse platform.
Blood clot removal...
Munich, Germany – Preliminary results from an Italian registry describe the risk profile of women experiencing acute coronary syndromes and provide insights to improve management.1 These findings were presented today at the EAPCI Summit 2026,...
Munich, Germany – Preliminary results from an Italian registry describe the risk profile of women experiencing acute coronary syndromes and provide insights to improve management.1 These findings were presented today at the EAPCI Summit 2026,...