Rare Variant of the Obtuse Marginal Artery Originating From the Left Anterior Descending Coronary Artery
© 2023 HMP Global. All Rights Reserved.
Any views and opinions expressed are those of the author(s) and/or participants and do not necessarily reflect the views, policy, or position of Cath Lab Digest or HMP Global, their employees, and affiliates.
Abstract
Coronary artery anomalies are a rare phenomena in cardiology. CAA is infrequently reported as most are indolent and found incidentally on cardiac imaging. We report the case of a 76-year-old male with a history of hypertension, peripheral arterial disease, myocardial infarction 2 years prior, and hyperlipidemia, presenting with dyspnea on exertion. The patient had an abnormal stress test and underwent a left and right coronary artery catheterization that showed a mid-LAD stenosis of 80% and a chronic total occlusion of the RCA. On angiography, the patient had a left obtuse marginal artery originating from the LAD.
An ejection fraction of 60% and a left ventricular end diastolic pressure of 14 mmHg were noted after catheterization. The patient underwent coronary artery double bypass graft surgery and was later admitted to the CVICU in stable condition.
Introduction
Coronary arteries have a common anatomical formation in the womb. The right coronary artery (RCA) supplies the right ventricular wall, coursing through the right atrioventricular sulcus and having at least an acute marginal branch. The left anterior descending (LAD) coronary artery supplies the anterior intraventricular septum, coursing through the anterior intraventricular sulcus and having the septal penetrating branches. The left circumflex (LCX) coronary artery supplies the left ventricle free wall, coursing through the left atrioventricular sulcus and having at least one obtuse marginal branch. If any of these conditions are not met, the resulting coronary anatomy is considered a congenital coronary artery anomaly (CAA).1
The coronary arteries are formed during the first few weeks of gestation, from extension of the trabeculae of the spongiosa into the myocardium, forming the primitive forms of metabolic exchange of the heart.1 Once the bulbus cordis separates to the aorta and pulmonary arteries, the right and left coronary arteries form from the two sinuses of Valsalva.2 Some of the factors that determine the proper growth of the coronary arteries include the separation of the arterial roots, the origin and number of formed sinuses, and positioning of the coronary arteries, which depends on the proximity of the 2 adjacent aortic sinuses to the atrioventricular and anterior interventricular groove.3
CAA are a very rare occurrence, with an estimated incidence of 1% to 5.6% in the general population.4 The question of what is considered a CAA remains without established consensus among clinicians. Angelini et al proposed a guideline defining normal variations as morphologies seen in >1% of the population and defining anomalies as morphologies seen in <1% of the population.4 Of the list of anomalies that may occur in patients with normal hearts, a left obtuse marginal artery originating from the LAD is not yet listed as an observed anomaly in the literature4 nor has it been seen before in our hospital.
Case Presentation
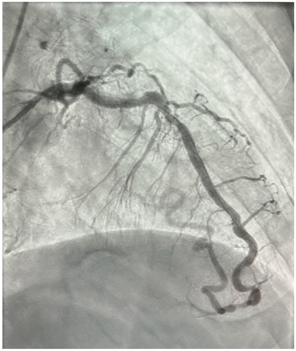
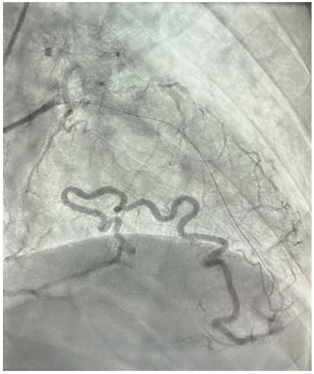
The patient is a 76-year-old male with a past medical history of hypertension, peripheral arterial disease (PAD), myocardial infarction (MI) two years ago, and hyperlipidemia, presenting with dyspnea on exertion. He was suspected of having coronary artery disease (CAD) after an abnormal stress test, and subsequently underwent a left and right coronary artery catheterization through the right radial artery. The patient was given 2 mg of midazolam and 200 mcg of fentanyl intravenously for a total sedation time of less than a minute. Access was achieved using a modified Seldinger technique with a 6 French catheter placed in the right radial artery. A 5 French catheter was then placed to engage the left coronary artery. Angiography showed a patent left main coronary artery and an 80% stenosis in the mid LAD. There was a small, patent, non-dominant LCX, and a dominant RCA with a chronic total occlusion and evidence of left and right collaterals. The ejection fraction was 60% and left ventricular end diastolic pressure was 14 mmHg. The LAD was noted to have an unusual course across the anterior heart. The extension of the LAD wrapped around the apex and supplied a large portion of the posterior heart, providing left and right collaterals. After further consideration, this vessel was identified as the left obtuse marginal artery coming off the LAD rather than the left circumflex artery, suggesting an anomalous coronary artery (Figures 1-3). Due to the patient’s multivessel CAD, cardiothoracic surgery was consulted for coronary artery bypass graft (CABG) evaluation. The patient underwent off-pump CABG x2 with left internal mammary artery to the LAD and a reverse saphenous vein bypass graft from the aorta to the distal RCA. He tolerated the procedure well and was subsequently taken to the cardiovascular intensive care unit in stable condition.
Discussion
CAA may go unrecognized across a lifetime or may lead to sudden cardiac death (SCD). The incidence
of CAA-related SCD ranges from 8% to 22%.6 Most cases of SCD are seen in athletes and are less common in patients >40 years of age. Some anomalies are at higher risk of SCD than others. For example, an anomalous left coronary artery from the left pulmonary vein is associated with increased risk due to hypoperfusion of the myocardium.7 Multiple factors contribute to risk stratification of CAAs that may result in SCD, including an acute take-off angle, coronary hypoplasia, aortic wall distensibility, coronary spasms, intramural tract, interarterial course, and chronic ischemic injury; however, there has not yet been a screening or treatment guideline established.5,7 Our patient, as a 76 year old, is less at risk of SCD because of his age and the fact that his anomaly does not involve a more proximal branch such as the left main coronary artery or RCA.
Most cases of CAA are detected with cardiac angiography but for screening purposes, angiography is not cost effective, has low spatial resolution, lacks 3-dimensional imaging, and is very invasive.5,8 For this reason, cardiac computed tomography angiography is considered the gold standard for screening. Echocardiograms have been used as well in children to diagnose CAA.8 Screening may be indicated to diagnose CAA in patients who participate in strenuous exercise, have suspicious symptoms, or have an abnormal stress test. As for our case, the CAA was detected through cardiac angiography, revealing a shortened LCX and left obtuse marginal arterial branch off of the LAD. The patient’s age and level of physical activity indicate he may not benefit from periodic screening and is at low risk for SCD resulting from his anomaly.
The decision to treat patients with a CAA depends on their symptom characteristics and risk of SCD.9 Treatment options for CAA also will depend on the type and location of the anomaly.8,9 For instance, the highest risk CAAs include left and right coronary arteries opposite the aortic sinus of Valsalva.7 Certain anomalies can be malignant, and surgery may be required.8 This may be done through direct translocation of the artery or coronary artery bypass grafting. Percutaneous coronary intervention has also been proposed but is considered challenging due to the unusual anatomy and is only considered in selected patients.8 In our case, since the anomalous artery was not a proximal branch and did not show signs of a malignant course, specific management for this patient’s anomalous coronary artery was not deemed necessary. He was surgically managed with CABG solely for his coronary artery disease, which may have contributed to his symptoms rather than the CAA.
Conclusion
In this case report, we present a rare type of CAA that was observed incidentally in a patient with CAD. We believe this is the first report in the literature of a left obtuse marginal artery branching off of the LAD. Our patient did not have any obvious symptoms stemming from his CAA and his symptoms may have resulted solely from his multivessel disease. For this reason, our patient underwent routine CABG and did not undergo any management of his CAA. While this specific anomaly may not have needed treatment in our patient, more studies are necessary to determine risk stratification in patients who are younger and undertaking strenuous exercise. With CAA a rare finding on incidental cardiac imaging, it is our hope that this case will contribute to the growing knowledge of coronary artery anomalies and the decisions around their management.
The authors can be contacted via Seyed Khalafi, MS, at seykhala@ttuhsc.edu
Disclosures: The authors report no conflicts of interest regarding the content herein.
Consent statement: Written informed consent was obtained from the patient(s) for publication of this case report, including accompanying images.
References
1. Villa AD, Sammut E, Nair A, et al. Coronary artery anomalies overview: The normal and the abnormal. World J Radiol. 2016; 8(6): 537-555.
2. Hutchins GM, Kessler-Hanna A, Moore GW. Development of the coronary arteries in the embryonic human heart. Circulation. 1988; 77(6): 1250-1257.
3. Chiu IS, Anderson RH. Can we better understand the known variations in coronary arterial anatomy? Ann Thorac Surg. 2012; 94(5): 1751-1760.
4. Angelini P, Velasco JA, Flamm S. Coronary anomalies: incidence, pathophysiology, and clinical relevance. Circulation. 2002; 105(20): 2449-2454.
5. Angelini P. Coronary artery anomalies--current clinical issues: definitions, classification, incidence, clinical relevance, and treatment guidelines. Tex Heart Inst J. 2002; 29(4): 271-278.
6. Schiavone M, Gobbi C, Gasperetti A, et al. Congenital coronary artery anomalies and sudden cardiac death. Pediatr Cardiol. 2021; 42(8): 1676-1687.
7. Shivalkar B, Borgers M, Daenen W, et al. ALCAPA syndrome: an example of chronic myocardial hypoperfusion? J Am Coll Cardiol. 1994; 23(3): 772-778.
8. Gentile F, Castiglione V, De Caterina R. Coronary artery anomalies. Circulation. 2021; 144(12): 983-996.
9. Cheitlin MD, MacGregor J. Congenital anomalies of coronary arteries: role in the pathogenesis of sudden cardiac death. Herz. 2009; 34(4): 268-279.
Go to Cath Lab Digest's current issue page
Find More:
Grand Rounds With Morton Kern, MD
The Latest Clinical & Industry News
Podcasts: Cath Lab Conversations
Cardiovascular Ambulatory Surgery Centers (ASCs) Topic Center
Peripheral Artery Disease (PAD) Topic Center


