Skip to main content

Volume 18, Issue 2 - February 2021

Case Report
02/16/2021
Hazem Warda, MD, PhD; Osama Shoeib, MD, PhD
Carotid artery stenting—when performed by an experienced operator using an embolic protection device—provides a good alternative for carotid endarterectomy in high-risk patients.
Carotid artery stenting—when performed by an experienced operator using an embolic protection device—provides a good alternative for carotid endarterectomy in high-risk patients.
Carotid artery stenting—when...
02/16/2021
Vascular Disease Management
Case Report
02/16/2021
Sara Mokhtari; Salima Hamraoui; Imane Kamaoui; Ihsan Alloubi; Omar el Mahi; Adnane Benzirar, MD
Superior vena cava syndrome represents a partial or total obstruction of the superior vena cava. The obstruction may be acute or chronic.
Superior vena cava syndrome represents a partial or total obstruction of the superior vena cava. The obstruction may be acute or chronic.
Superior vena cava syndrome...
02/16/2021
Vascular Disease Management
Case Report
02/16/2021
Livia Maria Garcia Melro; Monzi Paula Baraldi; Rodrigo Afonso Silva Sardenberg; Carolina Magalhaes Britto Rodrigues; Juliana Sansao Pala
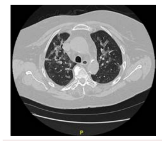
The authors present a case of COVID-19 associated with aortic thrombus in a 62-year-old female patient with comorbidities.
The authors present a case of COVID-19 associated with aortic thrombus in a 62-year-old female patient with comorbidities.
The authors present a case of...
02/16/2021
Vascular Disease Management
Editor's Corner
02/16/2021
Craig M. Walker, MD, FACC, FACP, FSCAI, FCCP
Dr. Walker comments on Dr. Osama Shoeib and colleagues’ article “Transradial Carotid Artery Stenting Complicated With Neck Hematoma: Conservative is a Valid Option!”
Dr. Walker comments on Dr. Osama Shoeib and colleagues’ article “Transradial Carotid Artery Stenting Complicated With Neck Hematoma: Conservative is a Valid Option!”
Dr. Walker comments on Dr. Osama...
02/16/2021
Vascular Disease Management