Endovascular Treatment of Superior Vena Cava Syndrome
VASCULAR DISEASE MANAGEMENT 2021;18(2):E21-E31
Abstract
Superior vena cava syndrome (SVCS) is a medical emergency that requires an immediate evaluation and therapy as it can be fatal. Nowadays, SVCS is mostly caused by lung or mediastinal malignant tumors. We would like to emphasize the crucial role of superior vena cava stenting by reporting 5 cases that were treated in our institution as well as providing a review of the literature.
Introduction
Superior vena cava syndrome (SVCS) represents a partial or total obstruction of the superior vena cava (SVC). The obstruction may be acute or chronic. Various etiologies of SVCS have been reported. It includes an extrinsic compression, an infiltration of the venous wall by a tumor or, more rarely, a thrombosis.1-3 The syndrome was first described by William Hunter in 1757. The cause of SVCS in the reported case was syphilitic aortic aneurysm compressing the SVC.4 Nowadays, malignant causes comprise the majority of SVCS, led by non-small cell lung cancer etiology.2,3
The diagnosis of SVCS is straightforward; it can be based on clinical findings. The chest CT scan is considered the main imaging tool to establish diagnosis, map, and evaluate the SVCS.5,6
Throughout this paper, we would like to emphasize the crucial role of an endovascular-stenting approach in the treatment of SVCS.
Materials and Methods
Five male patients who ranged in age from 44 to 66 years (mean age: 53.2 years old) have been hospitalized; between February 2017 and February 2019; in thoracic surgery department for the management of SVCS . As a common history, alcohol and tobacco consumption has been noted. One patient was followed in internal medicine for a thrombosis of the SVC due to undetermined cause. Another patient was treated for psychosis.
The installation of the symptoms was insidious with the notion of a recent aggravation. It dates back to a few months before the patients’ admission. The physical examination revealed an obvious SVCS in all cases. One patient presented serious symptoms including hoarse voice, headache, and confusion.
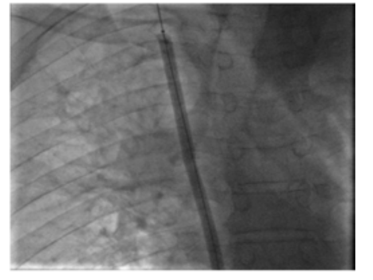
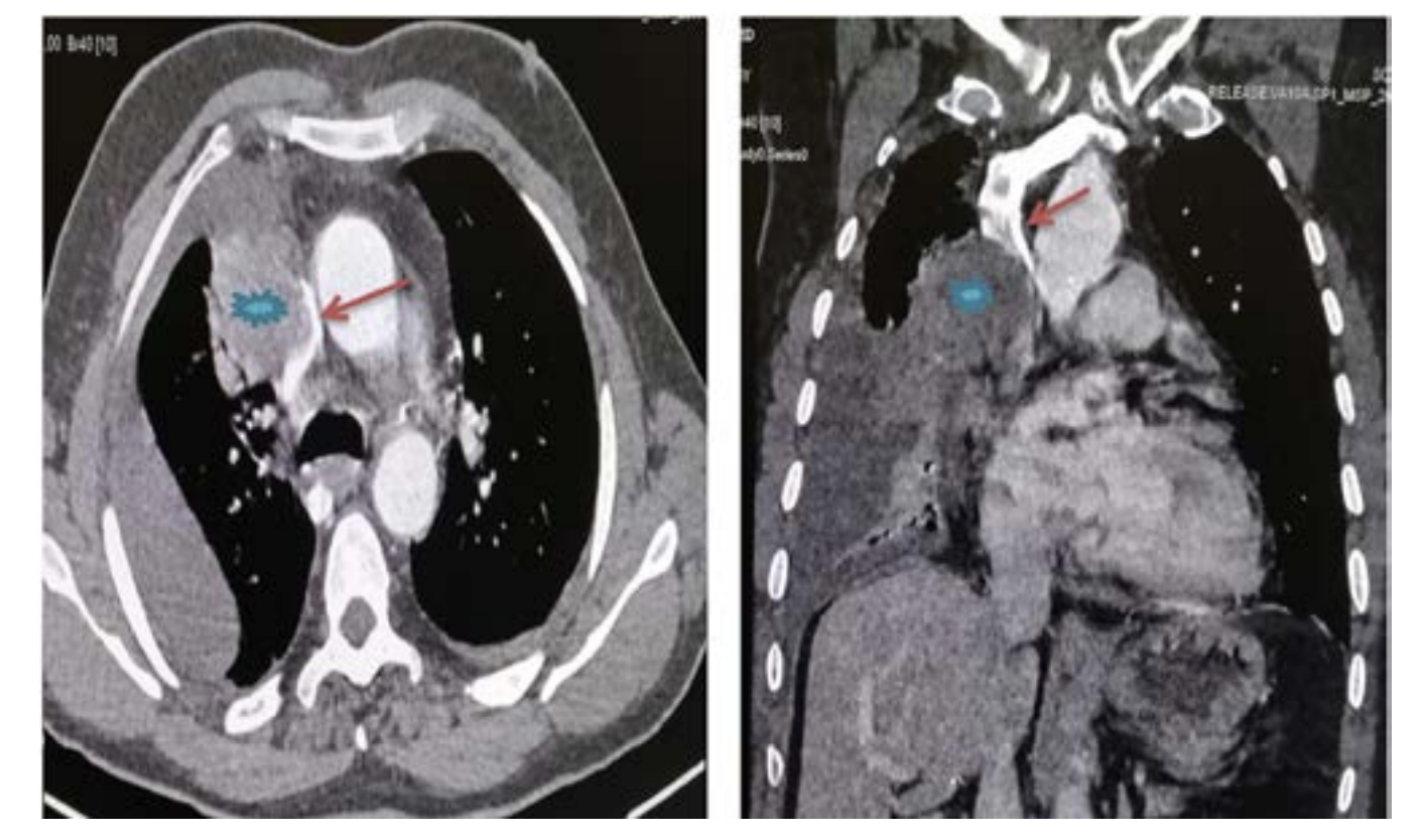
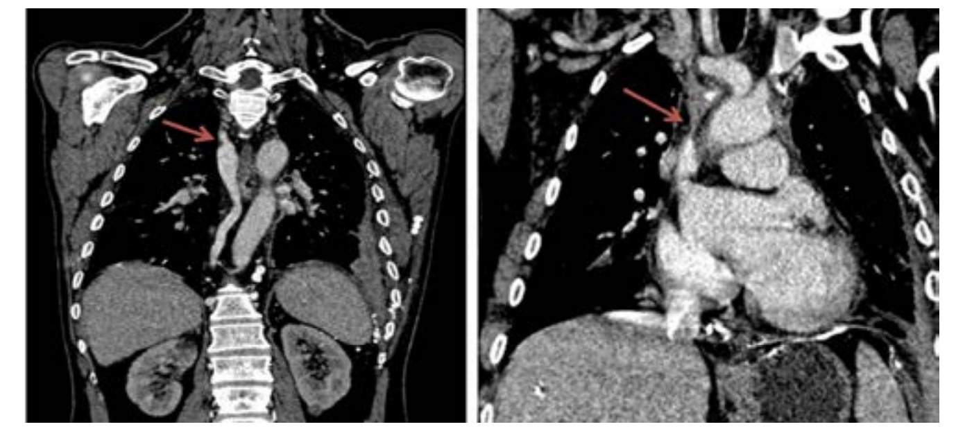
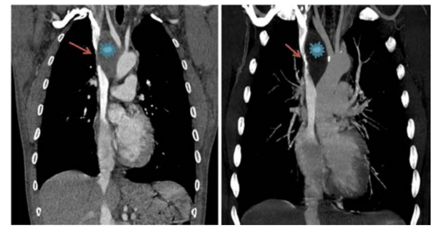
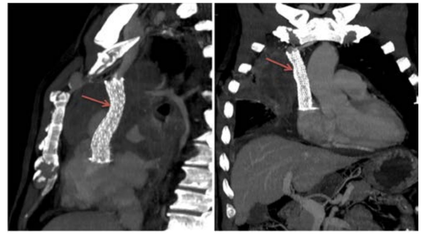
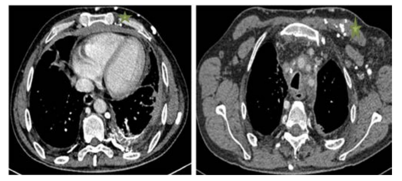
The caval stenosis, in the series, was diagnosed by means of an angio CT scan of the chest, followed by confirmation using the venacavogram.
Three cases of SVCS have been treated using the endovascular option. The treatment was performed before obtaining the histological result of the mediastinal tumor compressing the SVCS. It included the patient with severe respiratory symptoms that had required urgent management.
Results
The venacavogram confirmed the absence of thrombus and revealed a stenosis in 3 cases and an occlusion in 2 cases. The stenosis/occlusion localization was the SVC in 3 cases and both SVC and the innominate venous trunk (IVT) in 2 cases.
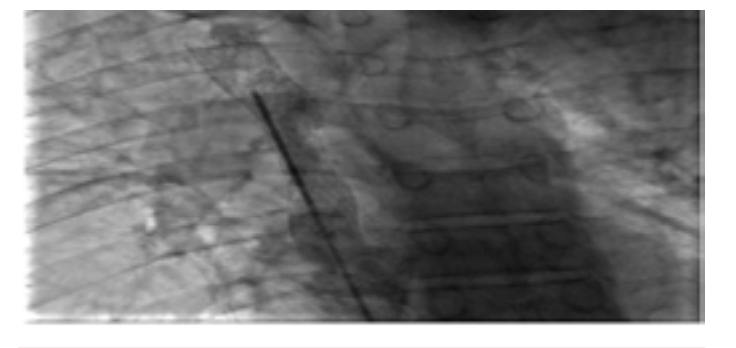
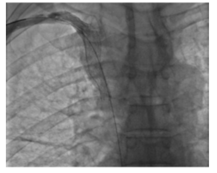
From a therapeutic point of view, endovascular treatment of SVCS had been performed under local anesthesia. Percutaneous vena femoral approach was carried out in 2 cases. Three patients also required the use of the basilica pathway. Before stenting, the caval stenosis was dilated two or three times for almost 10 minutes by means of balloon inflation to the estimated diameter in three cases. We also routinely performed post-stent dilatation. In all procedures, a self-expanding stent had been deployed. The details regarding the stent deployed are summarized in Table 1. As an immediate follow-up, the patients experienced a quick relief of symptoms between 48-72 hours.
All patients were put on corticosteroid, strong painkillers and a curative dose of heparin, secondly replaced by oral anticoagulation therapy.
The anatompathological results of the mediastinal tumor compressing the SVC were variable:
* Chronic nonspecific pleuritis,
* Large cell neuroendocrine carcinoma,
* Lymph node localization of poorly differentiated carcinoma proliferation CK7 +
* Small cell bronchoangenic carcinoma
* Moderately differentiated and invasive squamous cell carcinoma.
At one month of follow-up, a chest CT scan of control was performed. No complications occurred except in one patient: thrombosis of the stent at the first week following the treatment. According to the medical imaging, the stent was well positioned and fitted perfectly in the venous wall. The anamnesis revealed that this patient, with known psychosis, didn’t take his oral anticoagulation after being discharged. The rest of patients who underwent successful stent therapy were relieved of SVCS and their mean survival was 10 months.
Discussion
Generalities
Before the 1950s, benign etiologies were the leading cause of SVCS.1 Syphilis and mediastinal tuberculosis were the two most common causes, together accounting for 40% of cases.7,8 Indeed, until 1949, there were a few cases of malignant etiologies reported in the literature.1,8 In their review, Mac Intyre, Sykes et al. reported that 67% of SVCS cases were due to benign causes, with a preponderance of aortic aneurysms (30%) and inflammatory diseases of the mediastinum (15%) while 33% of SCVS cases were caused by malignant etiologies.9
Since the 1950s, there has been a huge modification in the distribution of SVCS etiologies with a decrease in benign etiologies and an increase in malignant etiologies.
The SVCS diagnosis is clinical. Yale has described 5 classes depending on the severity of symptoms (Table 2).10 According to papers published in the literature; approaching the subject of SVCS endovascular treatment; this clinical classification was rarely used by authors. However, we believe that knowing this classification and eventually using it may allow an easy description of clinical symptoms especially in series with large number of cases. Indeed, it really helps the readers to understand and compare cases in different publications. Otherwise, the classification role lies also in:
- determining severe SVCS cases which require an urgent treatment;
- being an interesting tool for symptoms surveillance (evolution) thus determining the effectiveness of the treatment.
As stated by Yale SVCS grading system, 4 patients, from our series, were in class 2 while one patient was admitted in the 3rd class (Table 2).
In what concerns the place of imaging exploration, the majority of authors believe that CT-scan with its high-quality multiplanar reconstructions is a crucial imaging tool. In fact, angio-CT scan confirms the diagnosis, determines the exact extent of obstruction, the nature and the degree of vena cava obstruction as well as it orients the placement of the endoprosthesis and the presence of associated pathologies.6 A venographic classification according to Stanford and Doty was set. Four Patterns of venous collateral return have been described.5 The 4th one matches with the most severe in terms of clinical symptoms (Schema 1).
Endovascular management of SVCS
Different therapeutic modalities were described for the management of SVCS. Recently, endovascular treatment of SVCS was considered; by the majority of authors; as the treatment of choice.10 It is introduced as a simple, a safe and an effective method.
SVCS stenting has the benefit of offering rapid relief of symptoms and improving the patient’s quality of life.11-13 A good long-term patency was noted especially in patients with benign causes.14 SVCS stenting does not interfere with subsequent antitumor treatments. It eliminates the protracted waiting time of 3-4 weeks needed to assess effectiveness when the radiotherapy or the chemotherapy is the 1st choice of treatment. Additionally, it facilitates the biopsy procedure. Indeed, endovascular procedure induces an immediate disappearance of the collateral venous circulation preventing important bleeding.
Self-expanding stents are currently chosen by most interventionists for its characteristics. They are flexible and easy to manipulate while crossing the SVC stenosis. Variable diameters and lengths are available. From these self-expanding stents, Wallstent is the most used. As a rule, a slightly longer stent than the lesion should be used. It is recommended that the lesion should be exceeded by the sent one centimeter from upstream and downstream.3,15-17
As for the use of other types of stent in SVCS pathology, balloon-expandable stents are not recommended since they are characterized by their short length and the presence of vein diameter differences between their extremities. The place of covered stents remains to be determined. They should be used with caution due to stent migration and covering venous collaterals risks. Nevertheless, it has been reported that covered stents showed a superior patency rates by contribution to bare-metal stents after 12 months in malignant SVC obstructions.18
Here is a focus of the place of anticoagulation in the endovascular management of SVCS. According to reports published, the administration of anticoagulation is controversial; there is no consensus about it due to bleeding risk. Some recent results suggest that there is no difference between patients who received anticoagulation therapy and/or aspirin and patients who did not receive anticoagulation in term of stent thrombosis.19 An intravenous bolus of Heparin is systematically set (50 IU/kg) during all our procedures; we actually do it with the intention to reduce possibility for per-procedural and early stent thrombosis.
Despite technical diversity implemented, we believe that SVCS endovascular treatment should be performed, according to the recommendations of the French Society of CardioVascular Imaging (SFICV).20 In fact, it had to be carried out, firstly, with an undersized caliber balloon, 2 mm smaller than the diameter of the SVC measured. After the deployment of self-expanding stents, inflation should be carried out at low pressure. Many reasons are behind this logic. Firstly, the stent complete expansion will occur spontaneously in the hours or days that follow the procedure, it will avoid hemorrhagic complications due to dissection of the venous wall, rupture or tamponade. In addition to that, the post-inflation corrects the eccentric character and accelerates the self-expansion of the Wallstent. At last, this technique helps to press the thrombus against the endoprosthesis, preventing emboli migration.
Only scanty cases of SVCS endovascular treatment complications have been reported in the literature.21-25 It includes infection, pulmonary embolism, stent migration or fracture, hematoma at the insertion site or fistulae, bleeding, and very rarely perforation.
Conclusion
Thanks to its numerous benefits, stenting may be used as the first-line therapeutic measure in the majority of SVCS cases. Indeed, it is introduced as a simple, a safe and an effective method. It provides urgently needed relief of symptoms within 24-72 hours and eliminates the protracted waiting time of 3-4 weeks needed to assess effectiveness when the radiotherapy or chemotherapy is the first choice of treatment.
Disclosure: The authors have completed and returned the ICMJE Form for Disclosure of Potential Conflicts of Interest. The authors report no financial relationships or conflicts of interest regarding the content herein.
Correspondence: Sara Mokhtari Email: saramokhtari1904@gmail.com.Phone: +21 263 966 6566
REFERENCES
1. Abner A. Approach to the patient who presents with superior vena cava obstruction. Chest. 1993;103(4 Suppl):394S-397S.
2. Chen JC, Bongard F, Klein SR. A contemporary perspective on superior vena cava syndrome. Am J Surg. 1990;160(2):207-211.
3. Stock KW, Jacob AL, Proske M, Rochlitz C, Steinbrich W. Treatment of malignant obstruction of the superior vena cava with the self-expanding Wallstent. Thorax. 1995;50(11):1151-1156.
4. Hunter W, Johnston W. The history of an aneurysm of the aorta with some remarks on aneurysms in general. Medical observations and inquiries (1757-1784). Med Übstet Soc Phys.London.
5. Bechtold RE, Wolfman NT, Karstaedt N, Choplin RH. Superior vena caval obstruction: detection using CT. Radiology. 1985;157(2):485-487.
6. Coulomb M, Moro D, Le Rumeur Y, et al. The role of new medical imaging techniques (TDM and MRI) in the diagnostic strategies of superior vena cava syndrome. Rev Mal Resp. 1991;8(1):45-57.
7. Gray BH, Olin JW, Graor RA, Young JR, Bartholomew JR, Ruschhaupt WF. Safety and efficacity of thrombolytic therapy for superior vena cava syndrome. Chest. 1991;99(1):54-59.
8. Boumghar M. Superior vena cava syndrome. Analysis of 3 cases of surgical decompression. Ann Chir. 1985;39(7):507-511.
9. McIntire FT, Sykes Jr EM. Obstruction of the superior vena cava; a review of the literature and report of two personal cases. Ann Intern Med. 1949;30(5):925-960.
10. Yu JB, Wilson LD, Detterbeck FC. Superior vena cava syndrome—a proposed classification system and algorithm for management. J Thorac Oncol. 2008;3(8):811-814.
11. Rizvi AZ, Kalra M, Bjarnason H, Bower TC, Schleck C, Gloviczki P. Benign superior vena cava syndrome: stenting is now the first line of treatment. J Vasc Surg. 2008;47(2):372-380.
12. Qanadli SD, Hajjam ME, Mignon F, et al. Subacute and chronic benign superior vena cava obstructions: endovascular treatment with self-expanding metallic stents. AJR Am J Roentgenol. 1999;173(1):159-164.
13. Kuo TT, Chen PL, Shih CC, Chen IM. Endovascular stenting for end-stage lung cancer patients with superior vena cava syndrome post first-line treatments—a single-center experience and literature review. J Chin Med Assoc. 2017;80(8):482-486.
14. Breault S, Doenz F, Jouannic AM, Qanadli SD. Percutaneous endovascular management of chronic superior vena cava syndrome of benign causes: long-term follow-up. Eur Radiol. 2017;27(1):97-104.
15. De Gregorio Ariza MA, Gamboa P, Gimeno MJ, et al. Percutaneous treatment of superior vena cava syndrome using metallic stents. Eur Radiol. 2003;13(4):853-862.
16. Mónaco RG, Bertoni H, Pallota G, et al. Use of self-expanding vascular endoprostheses in superior vena cava syndrome. Eur J Cardiothorac Surg. 2003;24(2):208-211.
17. Urruticoechea A, Mesia R, Dominguez J, et al. Treatment of malignant superior vena cava syndrome by endovascular stent insertion. Experience on 52 patients with lung cancer. Lung Cancer. 2004;43(2):209-214.
18. Gwon DI, Ko GY, Kim JH, Shin JH, Yoon HK, Sung KB. Malignant superior vena cava syndrome: a comparative cohort study of treatment with covered stents versus uncovered stents. Radiology. 2013;266(3):979-987.
19. Fagedet D, Thony F, Timsit JF, et al. Endovascular treatment of malignant superior vena cava syndrome: results and predictive factors of clinical efficacy. Cardiovasc Intervent Radiol. 2013;36(1):140-149.
20. Chabert V, De Baere T. Recommandations concernant l’angioplastie des veines centrales thoraciques et de la veine cave supérieure. Société Française d’Imagerie Cardio Vasculaire. Juin 2007.
21. Kvale PA, Selecky PA, Prakash UB, et al. Palliative care in lung cancer: ACCP evidence-based clinical practice guidelines (2nd edition). Chest. 2007;132(3 Suppl):368S-403S.
22. Boardman P, Ettles DF. Cardiac tamponade: A rare complication of attempted stenting in malignant superior vena caval obstruction. Clin Radiol. 2000;55(8):645-647.
23. Brown KT, Getrajdman GI. Balloon dilation of the superior vena cava (SVC) resulting in SVC rupture and pericardial tamponade: a case report and brief review. Cardiovasc Intervent Radiol. 2005;28(3):372-376.
24. Samuels LE, Nyzio JB, Entwistle JW. Superior vena cava rupture during balloon angioplasty and stent placement to relieve superior vena cava syndrome: a case report. Heart Surg Forum. 2007;10(1):E78-E80.
25. Smith SL, Manhire AR, Clark DM. Delayed spontaneous superior vena cava perforation associated with a SVC wallstent. Cardiovasc Intervent Radiol. 2001;24(4):286-287.
26. Redrawn from Alimi YS, et al: Reconstruction of the superior vena cava: the benefits of postoperative surveillance and secondary endovascular interventions. J Vasc Surg. 1998;27(2):287-299.


