COVID-19 and Aortic Thrombus: An Unusual and Dangerous Combination
Abstract
Coronavirus disease 2019 (COVID-19) is associated with endothelial inflammation and a hypercoagulable state resulting in both venous and arterial thromboembolic complications. Even though aortic clots are rare, the procoagulant nature of COVID-19 is associated with thrombosis in atypical locations and should be considered in patients with severe abnormalities in coagulation parameters. We present a case of COVID-19 associated with aortic thrombus in a 62-year-old female patient with comorbidities.
VASCULAR DISEASE MANAGEMENT 2021;18(2):E17-E20
Key words: COVID-19, aortic thrombus, hypercoagulable state
Introduction
Severe acute respiratory distress syndrome in association with coronavirus 2 (SARS-CoV-2) is a human coronavirus infection (COVID-19). At the time of this research more than 43 million cases have been reported around the world since the first hospitalization in China on December 12, 2019 and more than 1 million deaths have occurred. More than 5 million cases have been confirmed in Brazil and more than one 1 million in São Paulo, the epicenter of the infection in the country.1
SARS-CoV-2 is known to have high morbidity and mortality rates and its severe symptoms include dyspnea, tachypnea, hypoxia, respiratory failure, septic shock or multiple organ dysfunction (MOD). Evidence of abnormal coagulation parameters associated with COVID-19 appeared in early reports from China.2 The mechanisms of SARS-CoV-2 that activate coagulation in infection are still unclear, but appear to have more correlation with inflammatory reactions than with specific viral properties.3
The main thrombotic complications are deep vein thrombosis, microvascular thrombosis, and pulmonary embolism.3-4 Data suggest the existence of hypercoagulable state in patients diagnosed with COVID-19.5 This hypercoagulability, induced by COVID-19, seems to cause venous thromboembolic events and arterial complications. Aortic thrombus cases are rare, although they are slowly being reported in association with COVID-19, which shows that its occurrence has been underestimated, because these cases were secondarily diagnosed in CT pulmonary embolism screening.
In the present case, we report a COVID-19 induced refractory shock secondary to sepsis in association with aortic thrombus and heart failure.
Case Report
A 62-year-old female patient, obese grade 1, with previous diabetes and systemic arterial hypertension (SAH), was presented to the emergency room (ER) with complaints of myalgia, runny nose, lack of appetite, and dry cough which started 9 days ago. Even though the patient experienced watery diarrhea (about 4-5 episodes/day), that lasted for 3 days, she was discharged with general orientations.
The patient returned to the clinic 48 hours after the first attendance and presented persistent cough, lack of appetite, and subfebrile temperature (37.5° C). Physical examination was unremarkable. A chest CT, without contrast, conveyed bilateral ground glass pulmonary opacities, more evident in the peripheral pulmonary segments, with less than 50% involvement (Figure 1). The diagnosis of COVID-19 was confirmed by RT-PCR. The patient was hospitalized and intravenous antibiotic therapy with Ceftriaxone (1g IV) and Azithromycin (500mg PO) was performed. In the midst of the hospitalization, the patient developed persistent fever, worsening of the breathing pattern (Sat O2 90% and respiratory rate 30 breaths per minute), and had axillary temperature of 37.9°C, a heart rate of 90 bpm, which led to a nasal catheter at 4L/min. Through a physical pulmonary examination, it was possible to assess that she had muffled breath sounds at the bases, with crackling rales. Blood tests showed elevated inflammatory markers (Table 1).
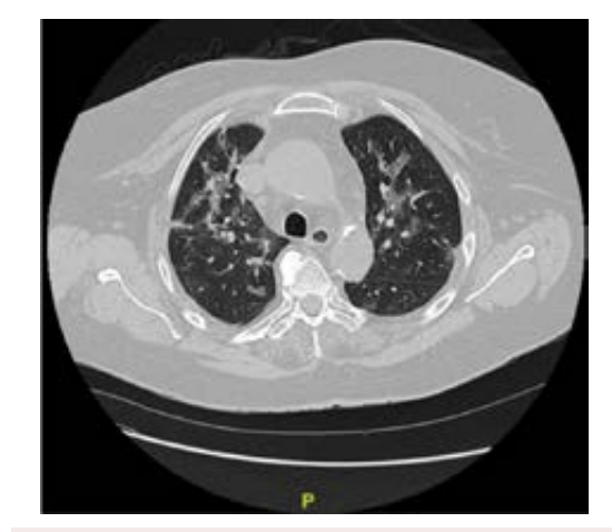
The clinical state worsened (Sa O2 90% - 88%, RR 28 breaths per minute), and the new CT (Figure 2) pointed to bilateral laminar pleural effusion and to marked increase in diffuse and symmetrical ground-glass pulmonary opacities. The extent of pulmonary involvement was estimated to be greater than 75%. Therefore, she was transferred to the ICU due to the worsening of the respiratory condition and received supplementary oxygen, through a high-flow mask (10L/min, Sa O2 89% and RR 44 breaths per minute).
Despite the treatment implemented, the patient deteriorated by the worsening breathing pattern (Sat O2 = 80%) and respiratory failure, metabolic acidosis (ph=7, PCO2 62 mmhg and arterial lactic acid 104 mg/dL) and acute kidney injury (KDIGO3), with an elevation in creatinine level (1.40 mg/dL) and a decrease in the glomerular filtration rate (40 mL/min/1.73). She underwent mechanical ventilation with the following parameters: VC 420 mL, PEEP 12cmH20, FiO2 80%, RR 30bpm and Sat O2=95%.
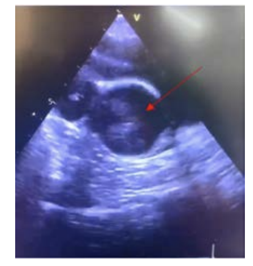
After intubation, the patient was diagnosed with refractory hypoxemia and succumbed to shock. Consequently, prone position was performed due to hypoxemia and the hypothesis of cor pulmonale was suggested due to the respiratory condition. Echocardiograms point of care (only apical window possible) showed enlargement of the right chambers with dysfunction of the right ventricle. It was decided to perform transesophageal echocardiography and it demonstrated a significant increase in the right chambers, without visualization of the proximal thrombus in the pulmonary artery; hyperdynamic left ventricular function and aorta without signs of ulcer or dissection, but large thrombus in ascending aorta (Figure 3).
The next decision was a treatment that included anticoagulant with low weight molecular heparin (LMWH) and increased dosages of intravenous diuretic. The patient, however, deteriorated with hemodynamic instability and shock (arterial lactic acid 105 mg/dL), and hemodynamic support was administered with vasoactive drugs (noradrenaline 0.85 mcg/kg/min and vasopressin 0.04UI/min). Despite the clinical measures adopted, the patient died in her second day of admission in the ICU. It was not possible to identify the relationship between thromboembolic events in the arterial system and the patient's death. Notwithstanding that there was a relationship, it wasn’t possible to verify it, since there were no exam images (eg, tomography).
Discussion
Complications related to COVID-19 are mainly caused by the extent of lung damage. On the other hand, coagulation disorders in association with the virus have been reported since the first cases and have become frequent.6 Such disorders are related to thromboembolic phenomena as a consequence of the inflammatory response, which gave rise to the term immuno-thrombosis (immune cells and thrombo-specific mediator induce a type of physiological microvascular thrombosis).7 Severely ill patients have been reported to have elevated levels of pro-inflammatory cytokines (interleukins 1 and 6, tumor necrosis factor and interferon-g) in the blood, a condition known as "cytokine storm”. The causes that activate coagulation in Covid-19 infection are still unclear, but they seem to have higher correlation with inflammatory reaction rather than to specific viral properties.3 SARS-CoV-2 might directly infect endothelial cells and leads to apoptosis and endothelial inflammation. These changes provide the enrollment of macrophages and granulocytes synthesizing pro-inflammatory cytokines. Since the infection is not controlled, the inflammation grows and induces a procoagulant state, characterized by massive thrombin production. The hypercoagulable state may be further enhanced by hypoxemia. Hypoxia-inducible transcription factors (HIFs) may directly activate platelets and coagulation factors, increasing TF and PAI-1 expression, and inhibiting the endogenous anticoagulant protein contributing to worsening hypercoagulability.8 Acute respiratory distress syndrome (ARDS) itself is a procoagulant state.8 The diffuse pulmonary endothelial damage associated with platelet activation could predispose the formation of micro- and macro-thrombi.
SARS-CoV-2 infection, in its most severe presentation, is marked by MOD that meets the diagnostic criteria for sepsis. Recent observational studies correlate a state of hypercoagulability with the severe form of COVID-19, where “sepsis-induced coagulopathy” (SIC) and/or “disseminated intravascular coagulation” (DIC) appear to be present in most fatal cases. The reduction of arterial oxygen pressure in critically ill patients provides the occurrence of ischemic syndrome and MOD.9
Due to the replication of the virus, we observed infiltration of inflammatory cells, apoptosis of endothelial cells and microvascular prothrombotic effects.10 In addition to this microangiopathy, the endothelial damage may also explain cerebrovascular complications, myocardial ischemia and thromboembolic complications in the macrocirculation (as in the present report). While ordinarily programmed to combat blood clotting and thrombus accumulation, the endothelium—when activated by inflammatory or infectious signals—can exert an opposite battery of functions. While critically important in staunching hemorrhage or other injuries, during disease the endothelial surface can promote clotting of arteries, microvessels and veins, contributing critically to thromboembolism. According to a publication by Petter Libby et al “COVID-19 is, in the end, an endothelial disease”.11
It is estimated that 50% of patients infected with COVID-19 have increased D-dimer levels during disease progression, which is directly associated with the risk of thrombosis and poor disease prognosis.12 It is known that all critically ill patients benefit from prophylactic anticoagulation, but the possibility of a full dose parenteral anticoagulation has been raised by some physicians, even before the evidence of thrombosis and despite the risk of bleeding.13 As of now, it is not possible to evaluate the safety/efficacy profile of such unusual strategies. The optimal dosage of patients diagnosed with severe COVID-19 remains unknown and warrants proper randomized clinical trials. A retrospective study conducted at the Tongji hospital (Wuhan, China) with 449 patients described the occurrence of a lower mortality rate in patients with severe COVID-19 that were treated with anticoagulants, unfractionated heparin or LMWH, and had a very high SIC score ≥4 and/or D-dimer (>6 times the upper limit of normal).14 A curious finding in this study is that mortality was higher in other subgroups, supposedly less severe, that used prophylaxis with heparin when compared to that didn’t. According to these authors, this is due to the fact that the activation of coagulation can be beneficial and because it compartmentalizes pathogens and reduces their invasion.
Other cases of thromboembolic events have been reported, (eg, a mural aortic thrombus, in which case the patient also received anticoagulation).15,16 It is understood, that in hypercoagulable states, such as that found with COVID-19, patients should be screened for thromboembolism and, if confirmed, patients would need effective anticoagulation.
Conclusion
All patients with COVID-19 have to undergo risk stratification and be considered high risk patients (with validated risk-scores such as the Caprini, IMPROVE, and Padua models) and receive in-hospital thrombo-prophylaxis. Standard doses should be used until further data emerge from ongoing randomized clinical trials. The duration of anticoagulation should be defined in a case-by-case basis but given the severity of COVID-19 in association with thrombotic events it is reasonable to consider prolonged anticoagulation therapies.16
Disclosure: The authors have completed and returned the ICMJE Form for Disclosure of Potential Conflicts of Interest. The authors report no financial relationships or conflicts of interest regarding the content herein.
Address for Correspondence: Carolina Magalhães Britto Rodrigues, email: carolinamagalhaesbritto@gmail.com
REFERENCES
1. Situation Report: 167 Data as received by the WHO from national authorities by 10:00 CEST, 5 July 2020.
2. Chen N, Zhou M, Dong X, et al. Epidemiological and clinical characteristics of 99 cases of 2019 novel coronavirus pneumonia in Wuhan, China: a descriptive study. Lancet. 2020;395(10223):507-513.
3. Connors JM, Levy JH. COVID-19 and its implications for thrombosis and anticoagulation. Blood. 2020; 135(23):2033-2040.
4. Fabre O, Rebet O, Carjaliu I, Radutoiu M, Gautier L, Hysi I. Severe acute proximal pulmonary embolism and COVID-19: a word of caution. Ann Thorac Surg. 2020;110(5):e409-e411.
5. Orsi FA, Paula EV, Santos FO, et al. Guidance on diagnosis, prevention and treatment of thromboembolic complications in COVID-19: a position paper of the Brazilian Society of Thrombosis and Hemostasis and the Thrombosis and Hemostasis Committee of the Brazilian Association of Hematology, Hemotherapy and Cellular Therapy. Hematol Transfus Cell Ther. 2020;42(4):300-308.
6. Bikdeli B, Madhavan MV, Jimenez D, et al. COVID-19 and thrombotic or thromboembolic disease: implications for prevention, antithrombotic therapy, and follow-up. J Am Coll Cardiol. 2020;75(23):2950-2973.
7. Engelmann B, Massberg S. Thrombosis as an intravascular effector of innate immunity. Nat Rev Immunol. 2013;13(1):34-45.
8. Carranza M, Salazar DE, Troya J, et al. Aortic thrombus in patients with severe COVID 19: review of three cases. J Thromb Thrombolysis. 2020;1-6. doi:10.1007/s11239-020-02219-z.
9. Nascimento JHP, Gomes BFO, Júnior PRC, et al. COVID-19 hypercoagulable state: a new therapeutic perspective. Arq Bras Cardiol. 2020;114(5):829-833.
10. Bikdeli B, Madhavan MV, Jimenez D, et al. COVID-19 and thrombotic or thromboembolic disease: implications for prevention, antithrombotic therapy, and follow-up. J Am Coll Cardiol. 2020;75(23): 2950-2973.
11. Libby P, Lüscher T. COVID-19 is, in the end, an endothelial disease. Eur Heart J. 2020;41(32):3038-3044.
12. Ullah W, Saeed R, Sarwar U, Patel R, Fischman DL. COVID-19 complicated by acute pulmonary embolism and right-sided heart failure. JACC Case Rep. 2020;2(9):1379-1382.
13. Klok FA, Kruip MJHA, Meer NJM, et al. Incidence of thrombotic complications in critically ill ICU patients with COVID-19. Thromb Res. 2020;191:145-147.
14. Tang N, Bai H, Chen X, Gong J, Li D, Sun Z. Anticoagulant treatment is associated with decreased mortality in severe coronavirus disease 2019 patients with coagulopathy. J Thromb Haemost. 2020;18(5):1094-1099.
15. Gandotra P, Supariwala A, Selim S, Garra G, Gruberg L. Aortic arch thrombus and pulmonary embolism in a COVID-19 patient. J Emerg Med. 2020;S0736-4679(20):30851-30859.
16. Arbelaez DG, Sanchez GI, Gutierrez AG, et al. COVID-19–related aortic thrombosis: a report of four cases. Ann Vasc Surg. 2020;67:10-13.


