Neurological Damage Secondary to Retained Acupuncture Needles
Acupuncture needles have long been used to treat maladies ranging from nausea and vomiting to musculoskeletal conditions and osteoarthritis.1 Little literature on adverse effects from this modality exists, especially in the foot and ankle. Here the authors report on a case in which a patient presented with numerous acupuncture needles broken in his body some years prior, leading to various injuries, including nerve damage along the patient’s left ankle.
Notes on the Literature Review
The body of literature on retained acupuncture is notably sparse. There is documentation of Hari acupuncture, a historical method of leaving gold needles in the body, although the practice is very uncommon in the West.2
A 2013 systematic review of 117 reports of adverse events after using acupuncture needles revealed mostly infectious complications, and mostly through in geographic areas of infectious outbreaks. The review found only 1 death due to acute injury, and some instances of organ or tissue injuries. including pneumothorax.3
Sato and colleagues reported on drop foot and numbness following a broken needle left near the common peroneal nerve, which was removed without difficulty. The patient did have return of muscle function and gait after this removal; however, they did experience permanent hyperesthesia.4
Lazarow and team reported on the incidental finding of dozens of acupuncture needles found on computed tomography (CT) scans of the abdomen/pelvis, which had been retained for 5 years. This was not a clinically significant finding to the patient’s chief concern and the patient underwent conservative treatment for her lower back pain.5
When a Patient Presents with Recurring Ankle Pain and Numbness
A 41-year-old male with no chronic medical conditions presented with recurrent 9/10 left ankle pain and numbness. The patient had acupuncture about 10 years prior from an unlicensed provider in which the needles were broken and left in the body, leading to numerous ramifications. Most significantly one such needle migrated, leading to a pneumothorax that required emergent surgical intervention. The patient stated he is a retail worker and would like his pain addressed due to its impact on his activities. He stated he had tried over-the-counter and prescription pain medications and muscle relaxers. He did have previous surgery for removal of foreign bodies in his left knee. His left lower extremity was previously assessed without any surgical intervention.
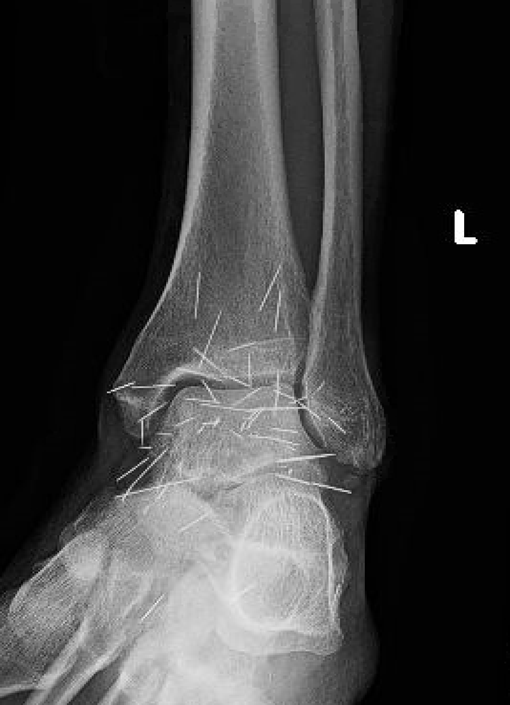
On physical exam, one could note small scars and palpable foreign bodies along the anterior, lateral, and medial aspects of the ankle joint with decreased range of motion and decreased sensation along lateral leg and foot. Of note, Tinel’s and Valleix’s signs were negative at the ankle, which we feel was likely secondary to neuropraxia at a more proximal level.
X-ray imaging revealed numerous needle-like metallic foreign bodies. We prescribed gabapentin and ordered electromyography/nerve conduction velocity (EMG/NCV) studies. These studies revealed evidence of left peroneal neuropathy, most commonly seen at the fibular head. The study also noted increased duration, increased amplitude, and decreased recruitment in the left posterior tibial, peroneus longus and extensor hallucis longus muscles. The patient found little relief with conservative measures.
We then advised the patient that removal of the more prominent and painful needles would be an option. He also underwent counseling that there was no way to remove all the needles, that symptoms may persist and that nerve damage may be irreversible. He then agreed and consented to surgical removal after comprehensive discussion.
The patient underwent fluoroscopy-guided complex foreign body removal of the most painful needles. One anterior and one lateral incision provided access. Specimens to pathology were identified as cylindrical metallic shards surrounded by inflamed muscle. The patient was allowed to bear weight as tolerated postoperatively. There remains some remnant paresthesia to the peroneal nerve distribution, and the patient was advised this may be permanent in nature considering the significant delay in treatment. More surgery has been discussed for further painful needle removal, although the patient has opted against that at this time considering his overall improvement in pain.
Concluding Thoughts
The authors present a unique case in which retained acupuncture needles led to chronic pain and nerve damage. Conservative treatment was unsuccessful, leading ultimately to surgical intervention with moderate success. The literature is sparse on the subject, but similar cases have revealed treatment options limited by the sheer number of needles. Imaging modalities are also limited considering the metallic nature of the foreign bodies. While effects may be reversible if needles are removed in a timely manner, the few reported cases reveal delays in seeking medical attention. One must have a thorough discussion of risks, benefits, and expectations with the patient prior to any intervention.
Dr. Araghiniknam is a first-year Podiatric Medicine and Surgery Resident at Ascension Providence Hospital.
Dr. Aljumail is a third-year Podiatric Medicine and Surgery Resident at Ascension Providence Hospital.
Dr. Ward is a Fellow of the American College of Foot and Ankle Surgeons and is Podiatric Medicine and Surgery Faculty at Ascension Providence Hospital.
References
1. Van Hal M, Dydyk AM, Green MS. Acupuncture. In: StatPearls. Treasure Island (FL): StatPearls Publishing; July 24, 2023.
2. Imray TJ, Hiramatsu Y. Radiographic manifestations of Japanese acupuncture. Radiology. 1975;115(3):625-6. doi: 10.1148/15.3.625. PMID: 1129474.
3. Xu S, Wang L, Cooper E, et al. Adverse events of acupuncture: a systematic review of case reports. Evid Based Complement Alternat Med. 2013;2013:581203. doi: 10.1155/2013/581203. Epub 2013 Mar 20. PMID: 23573135; PMCID: PMC3616356.
4. Sato M, Katsumoto H, Kawamura K,nSugiyama H, Takahashi T. Peroneal nerve palsy following acupuncture treatment: a case report. J Bone Joint Surg. 2003;85(5):916-918.
5. Lazarow F, Andrews RH, Revels J, Shaves S. Migration of innumerable chronically retained acupuncture needles. Radiol Case Rep. 2017;12(3):546-548. doi:10.1016/j.radcr.2017.04.008. PMID: 28828123; PMCID: PMC5551984


