Skip to main content

Volume 21 - Issue 2 - February 2024

Interview
02/21/2024
Barry T. Katzen, MD, FACC, FACR, FSIR
Vascular Disease Management spoke with Dr. Katzen about his ISET 2024 session on accrediting carotid stent programs, why it’s important, and the steps that physicians, administration, and accrediting bodies can take to make it a reality.
Vascular Disease Management spoke with Dr. Katzen about his ISET 2024 session on accrediting carotid stent programs, why it’s important, and the steps that physicians, administration, and accrediting bodies can take to make it a reality.
Vascular Disease Management...
02/21/2024
Vascular Disease Management
Interview
02/07/2024
Ramon L. Varcoe, MBBS, MS, PhD
VDM spoke with Ramon L. Varcoe, MBBS, MS, PhD, MMed (ClinEpi), about these 2 trials and what the current results mean for patients with PAD.
VDM spoke with Ramon L. Varcoe, MBBS, MS, PhD, MMed (ClinEpi), about these 2 trials and what the current results mean for patients with PAD.
VDM spoke with Ramon L. Varcoe,...
02/07/2024
Vascular Disease Management
Case Report
02/06/2024
Dipankar Mukherjee, MD, FACS; Ved Ritvik Kumar
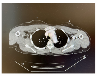
Takayasu arteritis (TA) is an inflammatory condition involving the aorta and its principal branches that leads to vessel stenosis and occlusion. To the authors' knowledge, this is the first case of TA treated with TCAR.
Takayasu arteritis (TA) is an inflammatory condition involving the aorta and its principal branches that leads to vessel stenosis and occlusion. To the authors' knowledge, this is the first case of TA treated with TCAR.
Takayasu arteritis (TA) is an...
02/06/2024
Vascular Disease Management