TCAR for Vasculitis: A Unique Case of Carotid Revascularization
© 2024 HMP Global. All Rights Reserved.
Any views and opinions expressed are those of the author(s) and/or participants and do not necessarily reflect the views, policy, or position of Vascular Disease Management or HMP Global, their employees, and affiliates.
VASCULAR DISEASE MANAGEMENT 2024;21(2):E8-E11
Abstract
Takayasu arteritis (TA) is an inflammatory condition involving the aorta and its principal branches that leads to vessel stenosis and occlusion. The clinical manifestations of this condition can vary from asymptomatic to severe morbidity and even mortality. Stroke is an unusual initial manifestation of TA, and the incidence is estimated between 10% to 20%. Carotid revascularization by open surgical bypass and transfemoral carotid artery stenting has been well described for patients with chronic symptomatic TA. To our knowledge, this is the first case of TA treated with transcarotid artery revascularization.
Case Report
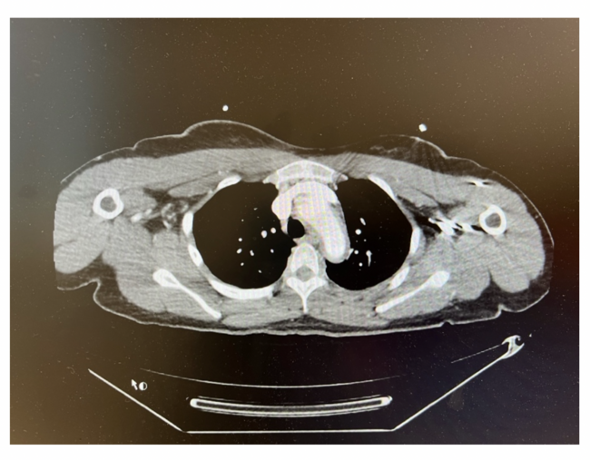
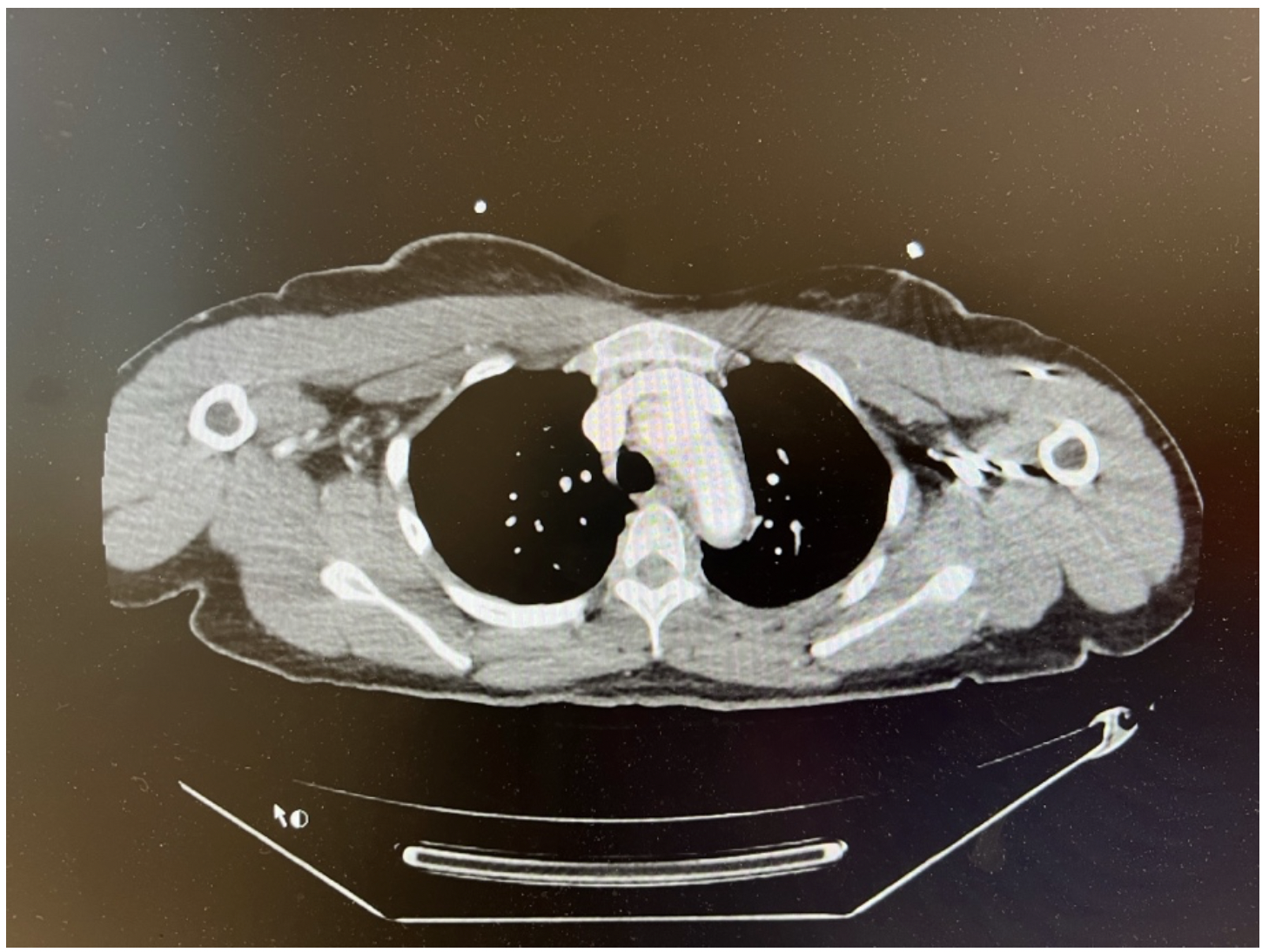
A 28-year-old right-handed woman with no significant medical history presented with aphasia and right arm weakness of 3-day duration. Noncontrast head computed tomography (CT) showed a subacute left parietal infarct without hemorrhage. The aortic wall had a 0.4-cm thickening. Figure 1 depicts the underlying inflammatory condition/edema.
As shown in Figure 2, a neck CT with contrast showed abnormal wall thickening and hyperenhancement of the aortic arch, left common carotid artery (CCA), and right carotid bifurcation. Vertebral arteries were patent and the Circle of Willis intact. The left CCA was totally occluded, as was the left internal carotid artery (ICA) through its distal cervical and proximal intracranial segments, with eventual reconstitution at the terminus and paraclinoid segments. The external carotid artery (ECA) was also occluded, so the procedure was stopped before the ECA, which would usually have been involved in cases of no occlusion. High-grade stenosis of the origin of the right ICA was noted. Of note, a Streptococcus A rapid test was positive. Inflammatory markers were marginally elevated. The patient was transferred to our tertiary medical center for further management.
The patient received 1 g intravenous methylprednisolone every day for 3 days and was discharged on 60 mg prednisone by mouth every day per recommendation from the Rheumatology service. Over the next week, the patient had a stable hospital course with significant improvement in right arm weakness but persistent expressive aphasia. The discharge diagnosis was Takayasu arteritis (TA) based on CT imaging of the arch, head, and neck vessels.
Three months later, after confirming that inflammatory markers were normal, the patient was offered transcarotid artery revascularization (TCAR) for revascularization of the right ICA. One week prior to the procedure, the patient was started on dual antiplatelet therapy (BI mg acetylsalicylic acid every day and 75 mg clopidogrel every day) and 80 mg high-dose statin/atorvastatin every day.
The procedure was done under general anesthesia under flow reversal using the Enroute system (Silk Road Medical). Noninvasive cerebral oximetry was used for neuromonitoring during the case. A cut-down to expose the proximal right CCA at the base of the neck between the 2 heads of the right sternocleidomastoid muscle was made. The patient was systemically anticoagulated. The right CCA was accessed with a micropuncture system, and the sheath of the micropuncture system placed in the CCA was used to perform angiography of the carotid bifurcation vessels. The ECA was occluded and high-grade stenosis of the ICA was seen. Stopping short of the lesion, the 8F Enroute arterial sheath was placed over the provided 0.038-in stiff wire and a stable platform was achieved. The arterial sheath was connected to the 8F venous sheath placed in the contralateral common femoral vein and flow reversal was confirmed. The systolic BP was raised to 160 mm Hg and the right CCA was clamped. There was no change in cerebral oximetry on either side with carotid clamping. The .014-in guidewire was advanced across the lesion into the petrous part of the ICA, and a 7 x 30-mm Enroute stent was placed across the stenosis in the ICA and proximal CCA and deployed. The stent was post-ballooned using a 4 x 30-mm balloon with excellent stent expansion on the completion angiogram. In Figure 3, the image of the implanted stent is shown on the right, with preprocedural imaging depicted on the left.
The remainder of the procedure was completed in the usual manner. There were no adverse events. No changes were made to the procedure given this patient had inflammatory disease. We ensured that the inflammatory response was quiescent at the time of the intervention by following the inflammatory markers, which had returned to the normal range. The patient was discharged home the next day on dual antiplatelet therapy of 81 mg aspirin and 75 mg clopidogrel every day, as well as a high-dose statin.
The patient returned to normal motor function of all extremities and normal speech function 3 months after the TCAR procedure. A duplex ultrasound exam confirmed a widely patent stented right CCA and ICA with no residual stenoses. Rheumatology service suggested no immune suppression treatment. The level of inflammatory markers was normal. Figure 4 depicts the stent in the right image with the peak systolic velocity and end-diastolic velocity measurements included.
Conclusion
The case described above met the criteria for intervention in a young patient who had made a good recovery from a left middle cerebral artery stroke from occlusion of the left ICA and had critical stenosis of the right ICA. All conditions were met and considered normal during the time of intervention. She was not in the acute inflammatory stage of TA, as evidenced by no elevation of inflammatory markers at the time of the intervention. Open repair as an option was presented to the patient; however, she declined and chose stenting as the preferred method of treatment. Right transfemoral carotid artery stenting (TFCAS) was an option, but recent reports suggest that the results of TCAR are superior to TFCAS.5 The procedure was accomplished under flow reversal without any complications. Prior to the procedure, the patient was started on dual antiplatelet therapy, aspirin, and a statin. The dual antiplatelet therapy may be discontinued after 6 months; the aspirin and statin will be continued for life. The patient's postoperative course was smooth, and she regained normal neurologic function with no obvious deficit related to the previous stroke. There were no anticoagulants or combinations with antiplatelets used. Duplex ultrasound examination of the carotid stent at 3 months following placement demonstrates that the stent is widely patent with no evidence of restenosis. To the best of our knowledge, there has been no prior use of TCAR reported to treat a case of TA. We remain hopeful that aggressive ongoing medical management of arteritis with dual antiplatelet therapy and statins will change the high incidence of restenosis reported with carotid stenting in vasculitis.4 n
Consent: IRB approval for case reports is not required by INOVA. Consent was verbal and was documented on the patient’s chart. Informed consent has been obtained from the patient for publication of the case report and accompanying images.
Funding: This research received no specific grant from any funding agency in the public, commercial, or not-for-profit sectors.
The authors have completed and returned the ICMJE Form for Disclosure of Potential Conflicts of Interest. The authors report no financial relationships or conflicts of interest regarding the content herein.
Manuscript accepted January 17, 2024.
Address for Correspondence: Ved Ritvik Kumar, Inova Fairfax Hospital, 3300 Gallows Rd., Falls Church, VA 22042. Email: kumarvr@vcu.edu
Related Articles
Exploring the Role of Transcarotid Artery Revascularization in Treating Carotid Stenosis
Transcarotid Artery Revascularization (TCAR): Reversing Flow to Move Carotid Surgery Forward
REFERENCES
1. Perera AH, Youngstein T, Gibbs RGJ, Jackson J, Wolfe JH, Mason JC. Optimizing the outcome of vascular intervention for Takayasu arteritis. Br J Surg. 2014;101(2):43-50. doi:10.1002/bjs.9372
2. Dedushi K, Hysen F, Musa J, et al. MRI diagnosis of Takayasu arteritis in a young woman. Radiol Case Rep. 2021;16(12)3915-3919. doi:10.1016/j.radcr.2021.09.030
3. Dai Y, Zhong Y, Banghao J, et al. Bridging therapy for acute stroke as the initial manifestation of Takayasu arteritis: a case report and review of literature. Front Immunol. 2021;12:630619. doi:10.3389/fimmu.2021.630619
4. Joseph G, Thomson VS, Attumalil TV, et al. Outcomes of percutaneous intervention in patients with Takayasu arteritis. J Am Coll Cardiol. 2023;81(1):49-64. doi:10.1016/j.jacc.2022.10.024
5. Malas MB, Dakour-Aridi H, Wang GJ, et al. Transcarotid artery revascularization versus transfemoral carotid artery stenting in the Society for Vascular Surgery Vascular Quality Initiative. J Vasc Surg. 2018;69(1):92-103.e2. doi:10.1016/j.jvs.2018.05.011


