Skip to main content

Volume 20 - Issue 2 - February 2023

Video
02/22/2023
Dr. Bret Wiechmann and Dr. Fadi Saab talk about the Outpatient Endovascular and Interventional Society (OEIS) and the important role it plays in improving outpatient practice.
Dr. Bret Wiechmann and Dr. Fadi Saab talk about the Outpatient Endovascular and Interventional Society (OEIS) and the important role it plays in improving outpatient practice.
Dr. Bret Wiechmann and Dr. Fadi...
02/22/2023
Vascular Disease Management
Original Research
02/16/2023
Katherine Sward, PhD, RN; Richard J. Butler, PhD; Jennifer Lemoine, DNP, PhD, APRN; Barbara L. Wilson, PhD, FAAN
Exploring the relationship between sex and determinants of PAD and symptom severity, treatments offered, and outcomes.
Exploring the relationship between sex and determinants of PAD and symptom severity, treatments offered, and outcomes.
Exploring the relationship...
02/16/2023
Vascular Disease Management
Case Report with Review
02/16/2023
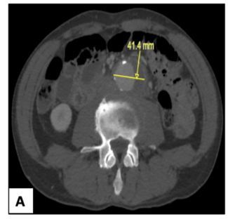
Sara Mokhtari; Jacques Besancenot, MD; François Leroux, MD
The case study discusses diagnosis and management features of abdominal aortic aneurysms due to Campylobacter fetus bacteremia.
The case study discusses diagnosis and management features of abdominal aortic aneurysms due to Campylobacter fetus bacteremia.
The case study discusses...
02/16/2023
Vascular Disease Management
Interview
02/16/2023
Paul Gagne, MD, FACS, RVT
At the 2022 VEITH Symposium, Paul Gagne, MD, presented an update on the IGuideU trial, a multi-center, randomized controlled trial to determine if the use of IVUS as an adjunctive imaging modality and as an interventional treatment guide will...
At the 2022 VEITH Symposium, Paul Gagne, MD, presented an update on the IGuideU trial, a multi-center, randomized controlled trial to determine if the use of IVUS as an adjunctive imaging modality and as an interventional treatment guide will...
At the 2022 VEITH Symposium,...
02/16/2023
Vascular Disease Management
Video
02/01/2023
This video takes a look at device changes from Gore over the past 25 years of AAA treatment.
This video takes a look at device changes from Gore over the past 25 years of AAA treatment.
This video takes a look at...
02/01/2023
Vascular Disease Management