Campylobacter Fetus-Associated Infrarenal Abdominal Aortic Aneurysm
VASCULAR DISEASE MANAGEMENT 2023;20(2):E28-E35
Abstract
Infected abdominal aortic aneurysms are usually associated with poor outcomes. The management of this rare entity is demanding and requires a devoted joint multidisciplinary team. The aim of this article is to discuss diagnosis and management features of abdominal aortic aneurysms due to Campylobacter fetus bacteremia.
Introduction
It has been demonstrated that Campylobacter fetus bacteria has an affinity for vascular endothelium.1 Although rare, different vascular pathologies related to C. fetus include thrombophlebitis,2,3 endocarditis,4,5 and mycotic aneurysms.4-10 The aorta remains the main location of C. fetus-associated aneurysms. Given the increased risk of rupture in mycotic aneurysms, early diagnosis and rapid therapeutic management remain vital. Here, we report a case of abdominal aortic aneurysm (AAA) in a patient with C. fetus infection. Urgent surgical treatment was chosen following a large increase of the aneurysm diameter within 1 month of follow-up.
Case Report
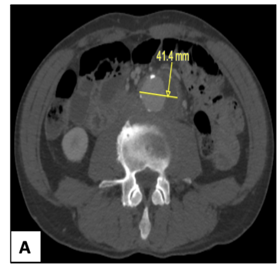
A 61-year-old man with a history of cerebral stroke, hypertension, dyslipidemia, appendectomy, sinusitis, hiatal hernia, smoking, and alcohol abuse was admitted to the internal medicine department for investigation of a digestive disorder. Anamnesis revealed chronic intermittent abdominal pain associated with diarrhea and nausea. A loss of 12 kg over 6 months was reported. At his first admission, physical examination identified a thin, febrile patient (temperature: 39° C [102° F;] body mass index, 18.3 kg/m2) with a normal heart rate. The abdomen was slightly tender and painful at palpation without any other anomalies. Samples of blood, stool, and urine were obtained for culture. All of the cultures were negative except for the blood culture that grew C. fetus. Additional laboratory tests showed hemoglobin count, 14.2 g/dL; platelets, 242 G/L; leukocytes, 8 G/L; creatinine clearance, 98 mL/min; potassium, 3.9 mmol/L; calcium, 2.6 mg/dL; and albumin, 41.6 g/L. C-reactive protein (CRP) and natremia were abnormal at 174 mg/L and 127 mmol/L, respectively. A positron emission tomography scan showed esophagitis with an intense fixation at the stomach, and a fixation at the left colic angle as well. Fibroscopy and a thoraco-abdomino-pelvic computed tomography (CT) scan revealed no particularities. However, an infrarenal AAA was seen, measuring 42 mm x 33 mm (Figure 1).
Total colposcopy with resection of 3 polyps at the left colon showed tubular adenoma with low-grade dysplasia. Bronchoscopy with bronchoalveolar lavage as well as serology of human immunodeficiency virus, hepatitis B and C, Lyme disease, Epstein-Barr virus, prostate-specific antigen, and lactate dehydrogenase were negative. The patient was diagnosed with C. fetus colitis and was given IV amoxicillin clavulanate (1 g 3 times/day for 10 days). One month later, he was readmitted for recurrence of the same symptoms. This time, testing showed a patent biologic inflammatory syndrome (anemia, 9.4 g/dL; thrombocytosis, 1038 G/L; and CRP, 229 mg/L). An abdomino-pelvic CT scan identified left pyelocaliceal dilation without a detected obstacle and an empyema measured at 35 mm plus abscessed collections measuring at most 25 mm. The aortic aneurysm had increased in diameter, reaching 65 mm x 40 mm and 79 mm at its greatest axis (Figure 1). Ureterohydronephrosis of the left kidney was also identified. Findings on transthoracic echocardiogram were normal. A transesophageal echocardiogram ruled out endocarditis. Blood culture grew C. fetus, and urine and feces cultures were sterile. Ultimately, strong IV antibiotic therapy was immediately initiated based on a consult from infectious disease specialists (amoxicillin clavulanate 2 g/4 hours and gentamicin 180 mg/24 hours). Given the high risk of rupture, an urgent surgical repair of the AAA was considered, preceded by the placement of a double J stent to treat ureterohydronephrosis. Through a midline laparotomy, an excision of the mycotic aneurysm and establishment of vascular continuity using allograft bypass in the infrarenal aortic bilateral common iliac arteries were performed (Figure 2). Pre- and post-operative courses were uneventful except for a blood transfusion.
After 48 hours of surveillance in the intensive care unit, the patient was transferred to the internal medicine and infectious disease departments for management of undernutrition and close monitoring of antibiotic response. As cultures of all surgical specimens yielded C. fetus, the antibiotic regimen was continued for 6 weeks after surgery. Gentamycin was suspended after 2 weeks of treatment. The patient was discharged home on his 16th postoperative day. Findings of clinical and biological systemic inflammatory syndrome were completely regressed at the first follow-up (first month). The angio-CT scan showed no anomalies (Figure 3). The patient later benefited from removal of the double J stent.
Discussion
There are limited cases documenting aneurysms in patients with C. fetus.11 The first case of AAA associated with C. fetus bacteremia was reported by Dolev in 1971.12 Our review of the literature revealed that these aneurysms were seen in the abdominal aorta exclusively. However, different arteries may be involved as well (Table). Among the mechanisms implicated in mycotic aneurysms are septic emboli (endocarditis), local injury in cases of IV drug abuse, local extension of infection to the adjacent arteries, and bacteremia in the context of sepsis.13 These mechanisms can intertwine and result in a multifactorial disease.14 We assume that the reported case of aortic aneurysm was due to C. fetus bacteremia in a fragile predisposed patient. It was recorded that atherosclerosis appears to be a favoring factor for contamination of the arterial wall.15 Other prerequisite situations weakening the vessel have been identified, including advanced age, malignant diseases, immunosuppressive treatment, diabetes, and liver cirrhosis.16-21 C. fetus infections are seen in patients with iatrogenic risk, including infections due to endovascular manipulations or implanted medical devices.21
The patient in question had multiple risk factors that predisposed him to C. fetus bacteremia. He had numerous cardiovascular risk factors (dyslipidemia, hypertension, cerebral stroke, and chronic tobacco abuse) and probably an atheromatous aortic aneurysm that predated the bacteremia. We believe that C. fetus bacteremia had a tremendous impact on the rupture of atherosclerosis in the wall of the abdominal aorta, eventually causing a rapid enlargement of the aneurysm within 1 month.
|
Table. Characteristics of Campylobacter fetus-associated arterial aneurysms (reported cases). |
||||
|
Reported case |
Age/gender |
Location of aneurysm |
Therapeutic management (besides antibiotics) |
Outcomes |
|
Loeb H et al 19664 |
49/M |
FA |
Conservative treatment |
Cured |
|
Doley et al 197112 |
68/M |
AA |
Dacron Y graft after rupture |
Died |
|
File et al 197937 |
63/M |
AA |
ND |
Died before surgery |
|
Taylor et al 197938 |
67/M |
AA |
ND |
Died before surgery |
|
Marty et al 1998339 |
54/M |
AA |
Aorta replaced with polyester graft |
Cured |
|
Blabey et al 198340 |
68/M |
AA |
Aneurysm excision, ABF bypass |
Cured |
|
Anolik et 198341 |
73/M |
AA |
Aneurysm excision, ABF bypass |
Cured |
|
Perry 198542 |
70/M |
AA |
Woven Dacron bifurcation graft |
Cured |
|
Righter et al 198543 |
56/F |
AA |
Tube graft |
Cured |
|
Rutherford et al 19896 |
59/M |
AA |
Tube graft of knitted Dacron |
Cured |
|
Jacobs et al 19897 |
64/M |
AA |
Aneurysm excision, ABF bypass |
Died |
|
Kato et al 19908 |
61/M |
AA |
Aneurysm excision, ABF bypass |
Cured |
|
Allerberger et al 19915 |
84/F |
AA |
ND |
Died before surgery |
|
Grollier et al 19939 |
56/M |
AA |
Replaced with polyester graft |
ND |
|
Abassade et al 199410 |
64/M |
As A |
Excision of aneurysm (ND) |
Died |
|
Kuzniec et al 199544 |
70/M |
AA |
Interposition of a Dacron prosthetic graft |
Cured |
|
Montero et al 199745 |
69/M |
PA |
Femoropopliteal bypass |
Cured |
|
Sessa et al 199746 |
63/M |
AA |
Extra-anatomic bypass |
Cured |
|
La Scola et al 199847 |
64/M |
AA |
Bifurcated Dacron woven graft aorto-bi-common iliac arteries |
Cured |
|
Mii et al 199848 |
45/M |
AA |
Replaced with polyester |
Cured |
|
Lozano et al 199849 |
65/M |
PA |
Aneurysm resection through a posterior popliteal approach (ND) |
Cured |
|
Baty et al 199850 |
91/M |
PA |
Aneurysm resection (ND) |
– |
|
Tran et al 200751 |
78/M |
AA |
Replaced with polyester graft |
Cured |
|
Cochennec et al 200834 |
76/M |
AA |
Dacron tube graft |
Cured |
|
Cochennec et al 200834 |
76/M |
AA |
Zenith bifurcated stent graft |
Died |
|
Cochennec et al 200834 |
79/M |
AA |
Zenith aortomonoiliac stent graft |
Cured |
|
Cochennec et al 200834 |
79/M |
AA |
Aortoaortic bypass grafting with arterial cryopreserved allograft |
Cured |
|
Onoda et al 200852 |
67/M |
Bilateral DFA |
Resection of infected aneurysm and bilaterial obturator bypass |
Cured |
|
Shiferson et al 200953 |
69/M |
Bilateral IIA |
Excision of aneurysm (ND) |
Cured |
|
Brossier et al 201035 |
69/M |
AA |
Replaced with polyester graft (Dacron graft) |
Cured |
|
Brossier et al 201035 |
69/M |
AA |
Replaced with polyester graft alone (Silver graft) |
Cured |
|
Brossier et al 201035 |
76/M |
AA |
Replaced with polyester graft (Dacron graft) |
Cured |
|
Brossier et al 201035 |
76/M |
AA |
EVAR (Zenith bifurcated stent graft) |
Died |
|
Brossier et al 201035 |
78/M |
AA |
Replaced with polyester graft (allograft) |
Cured |
|
Maeda et al 201154 |
76/M |
AA |
Replaced with polyester graft |
Cured |
|
Maeda et al 201154 |
57/M |
AA |
Replaced with polyester graft |
Cured |
|
Noda et al 201155 |
72/M |
AA |
Replaced with polyester graft |
Cured |
|
Melendez et al 201456 |
85/M |
PA |
Excision of the aneurysm via a posterior approach with reconstruction through a medial approach using autologous saphenous vein bypass |
Cured |
|
Hagiya et al 201457 |
65/M |
AA |
Rifampicin (RFP) bonded J-graft |
Cured |
|
Dimitrief et al 201536 |
73/M |
AA |
EVAR (Endurant II stent graft) |
Cured |
|
Hannah et al 201611 |
41/M |
CA |
Coiling the common and external carotid arteries after 1 year of follow-up |
ND |
|
Ono et al 202058 |
76/F |
SFA |
Self-expandable covered stent |
Cured |
|
Eke et al 202159 |
36/M |
AA |
Resection of the inferior AA and neo-aorto-iliac replacement with femoral vein |
Cured |
|
Milanesio et al 202160 |
76/M |
AA |
Conservative treatment |
Cured |
|
Present case |
61/M |
AA |
Bifurcated allograft aorto-bi-common iliac arteries |
Cured |
M = male; F = female; FA = femoral artery; AA = abdominal aorta; As A = ascending aorta, PA = popliteal artery; DFA = deep femoral artery; CA = carotid artery; IIA = internal iliac artery; SFA = superficial femoral artery; PA = popliteal aneurysm; ABF = axillobifemoral; ND = not described
It is important to emphasize that infected aneurysms correspond only to 2% to 3% of all aneurysms.22,23 The fact that this pathology is rare makes its management challenging. The diagnosis of an infectious cause of AAA was highly suspected by aspects of the patient’s clinical course and confirmed by imaging and microbiological findings. Given the well-described association between AAA and endocarditis in patients with C. fetus bacteremia, it seems reasonable to perform cardiac workups.
C. fetus AAA management requires a multidisciplinary, medical-surgical team approach:
Medical component: It corresponds to early initiation of an adequate antibiotic regimen, antipyretics, and analgesics to relieve the patient’s symptoms.
Surgical component: Various surgical options of mycotic AAA were described. It is represented essentially by in situ reconstruction; using usually cryopreserved allografts, rarely autografts; or extra-anatomical revascularization bypass. Thanks to advances in antibiotics, resection of mycotic aneurysms and immediate revascularization using allografts was the method of choice adopted by many authors.24-27 Extra-anatomic reconstruction, widely advocated in the 1970s,28-32 seems to be a perfect feedback option in case of unavailability of the appropriate graft, immediate limb-threatening ischemia, or in cases of patients with instability.14
The management of mycotic peripheral arterial aneurysms and AAA has been revolutionized by the development of endovascular grafts. The arrival of these devices has had a tremendous impact on surgeons' decisions. Nowadays, a trend toward endovascular repair has been seen. According to a European study,33 endovascular aneurysm repair can be a durable treatment option for mycotic aortic aneurysms. However, literature on this approach outcome is still scarce.33-36 More studies comparing these therapeutic options are required.
Conclusions
C. fetus-associated AAA is a rare vascular disease but is an emergent condition associated with high mortality and morbidity. The therapeutic use of antibiotic irrigation and surgical management of the mycotic aneurysm have shown good outcomes. Results of the operation can be improved by prolonged monitoring. n
The authors have completed and returned the ICMJE Form for Disclosure of Potential Conflicts of Interest. The authors report no financial relationships or conflicts of interest regarding the content herein.
Manuscript accepted December 19, 2022.
Address for correspondence: Sara Mokhtari, MD, Universite Mohammed Premier Oujda, Oujda, Morocco. Email: saramokhtari1904@gmail.com
REFERENCES
1. Morrison VA, Lloyd BK, Chia JKS, Tuazon CD. Cardiovascular and bacteremic manifestations of Campylobacter fetus infection: case report and review. Rev Infect Dis 1990;12(3):387-392. doi:10.1093/clinids/12.3.387
2. Carbone KM, Heinrich MC, and Quinn TC. Thrombophlebitis and cellulitis due to Campylobacter fetus ssp. fetus: report of four cases and a review of the literature. Medicine (Baltimore). 1985;64(4):244-250.
3. Geffen DB, Gill VJ, Chabner BA. Campylobacter thrombophlebitis. Ann Intern Med. 1983;99(1):126. doi:10.7326/0003-4819-99-1-126_2
4. Loeb H, Bettag JL, Yung NK, King S, Bronsky D. Vibrio fetus endocarditis. Report of 2 cases. Am Heart J. 1966;71(3):381-386. doi:10.1016/0002-8703(66)90479-0
5. Allerberger F, Kasten MJ, Anhalt JP. Campylobacter fetus subspecies fetus infection. Klin Wochenschr. 1991;69(17):813-816. doi:10.1007/BF01744276
6. Rutherford EJ, Eakins JW, Maxwell JG, Tackett AD. Abdominal aortic aneurysm infected with Campylobacter fetus subspecies fetus. J Vasc Surg. 1989;10(2):193-197.
7. Jacobs J, Van Lierde J, Nevelsteen A, Vermylen J, Verbist L. Campylobacter fetus subspecies fetus infection of an abdominal aneurysm. Acta Clin Belg. 1989;44(2):123-128. doi:10.1080/17843286.1989.11717999
8. Kato R, Ohta T, Kazui H, Kondo M, Naiki K, Tsuchioka H. Campylobacter fetus infection of abdominal aortic aneurysm. J Cardiovasc Surg (Torino). 1990;31(6):756-759.
9. Grollier G, Burucoa C, Ricco JB, Pezennec L, Fauchère JL. Isolation and immunogenicity of Campylobacter fetus subsp. fetus from an abdominal aortic aneurysm. Eur J Clin Microbiol Infect Dis. 1993;12(11):847-849. doi:10.1007/BF02000405
10. Abassade P, Cremieux O, Korach JM, et al. Campylobacter fetus subspecies fetus endoaortitis on a Bentall tube prosthesis. Apropos of a case. Arch Mal Coeur Vaiss. 1994;87(11):1483-1487.
11. Hannah WB, Rali AS, Etesami M, Salata RA. Carotid artery mycotic pseudoaneurysm associated with Campylobacter fetus bacteremia in an immunocompromised host. Infect Dis Clin Pract. 2016;24(6):e83-e85. doi:10.1097/IPC.0000000000000448
12. Dolev E, Altmann G, Padeh B. Vibrio fetus septicemia. A case report. Isr J Med Sci. 1971;7(10):1188-1191.
13. Majeed H, Ahmad F. Mycotic aneurysm. StatPearls [Internet]. 2021. Accessed April 23, 2021. http://www.ncbi.nlm.nih.gov/books/NBK560736
14. Mokhtari S, Besancenot A, Beaumont M, et al. Acute aorta occlusion and other vascular complications due to fungal endocarditis. Ann Vasc Surg Brief Rep Innov. 2022;2(1):10060. doi:10.1016/j.avsurg.2022.100060
15. Nakata Y, Shionoya S, Kamiya K. Pathogenesis of mycotic aneurysm. Angiology. 1968;19(10):593-601. doi:10.1177/000331976801901003
16. Farah I, Guidicelli H, Voirin L, et al. Aortite à salmonelles, compliquée de rupture: problèmes diagnostiques et thérapeutiques. Chirurgie 1993;119(4):196-199.
17. Ewart JM, Burke ML, Bunt TJ. Spontaneous abdominal aortic infections. Essentials of diagnosis and management. Am Surg. 1983;49)1):37-50.
18. Gauto AR, Cone LA, Woodard DR, Mahler RJ, Lynch RD, Stoltzman DH. Arterial infections due to Listeria monocytogenes: report of four cases and review of world literature. Clin Infect Dis. 1992;14(1):23-28. doi:10.1093/clinids/14.1.23
19. Mendelowitz DS, Ramstedt R, Yao JS, Bergan JJ. Abdominal aortic salmonellosis. Surgery 1979;85(5):514-519.
20. Woods JM 4th, Schellack J, Stewart MT, Murray DR, Schwartzman SW. Mycotic abdominal aortic aneurysm induced by immunotherapy with bacilli Calmette-Guérin vaccine for malignancy. J Vasc Surg. 1988;7(6):808-810. doi:10.1067/mva.1988.avs0070808
21. Pacanowski J, Lalande V, Lacombe K, et al. Campylobacter bacteremia: clinical features and factors associated with fatal outcome. Clin Infect Dis. 2008;47(6):790-796. doi:10.1086/591530
22. Cormier JM, Fichelle JM, Farkas JC. Anévrysmes infectieux de l’aorte abdominale sous- rénale. In Kieffer E, ed. Les Anévrysmes de l’Aorte Abdominale Sous-rénale. Paris: AERCV, 1990, pp 413-419.
23. Farah I, Guinard D, Magne JL, et al. Anévrysmes aorto-iliaques infectieux primaires. World Report National Sections 1991, CV Vol 4.
24. Fichelle JM, Tabet G, Cormier JM, et al. Infected infrarenal aortic aneurysms: when is in situ reconstruction safe? J Vasc Surg. 1993;17(4):635-645. doi:10.1067/mva.1993.38670
25. Chan FY, Crawford ES, Coselli JS, et al. In situ prosthetic graft replacement for mycotic aneurysm of the aorta. Ann Thorac Surg. 1989;47(2):193-203. doi:10.1016/0003-4975(89)90268-3
26. Petru MA, Richman DD. Arizona hinshawii infection of an atherosclerotic abdominal aorta. Arch Intern Med. 1981;141(4):537-538.
27. Robinson AJ, Johansen K. Aortic sepsis: Is there a role for in situ graft reconstruction? J Vasc Surg. 1991;13(5):677-682. doi:10.1067/mva.1991.28074
28. Jarret F, Darling RC, Mundth ED, Austen WG. Experience with infected aneurysms of the abdominal aorta. Arch Surg. 1975;110(11):1281-1286. doi: 10.1001/archsurg.1975.01360170021002
29. Finseth B, Abbott WM. One-stage operative therapy for salmonella mycotic abdominal aortic aneurysm. Ann Surg. 1974;179(1):8-11. doi:10.1097/00000658-197401000-00002
30. Mundth ED, Darling RC, Alvarado RH, Buckley MJ, Linton RR, Austen WG. Surgical management of mycotic aneurysms and the complications of infection in vascular reconstructive surgery. Am J Surg. 1969;117(4):460-470. doi:10.1016/0002-9610(69)90004-x
31. Reichle FA, Tyson RR, Soloff LA, Lautsch EV, Rosemond GP. Salmonellosis and aneurysm of the distal abdominal aorta: case report with a review. Ann Surg. 1970;171(2):219-228. doi:10.1097/00000658-197002000-00009
32. Davies OG Jr, Thorburn JD, Powell P. Cryptic mycotic abdominal aortic aneurysms: Diagnosis and management. Am J Surg. 1978;136(1):96-101. doi: 10.1016/0002-9610(78)90207-6
33. Sörelius K, Mani K, Björck M, et al. Endovascular treatment of mycotic aortic aneurysms: a European multicenter study. Circulation. 2014;130(24):2136-2142. doi:10.1161/CIRCULATIONAHA.114.009481
34. Cochennec F, Gazaigne L, Lesprit P, Desgranges P, Allaire E, Becquemin J-P. Aortoiliac aneurysms infected by Campylobacter fetus. J Vasc Surg. 2008;48(4):815-820. doi:10.1016/j.jvs.2008.05.076
35. Brossier J, Lesprit P, Marzelle J, Allaire E, Becquemin J-P, Desgranges P. New bacteriological patterns in primary infected aorto-iliac aneurysms: a single-centre experience. Eur J Vasc Endovasc Surg. 2010;40(5):582-588. doi:10.1016/j.ejvs.2010.07.020
36. Dimitrief M, Cherbanyk F, Déglise S, Pezzetta E. Contained rupture of a mycotic infrarenal aortic aneurysm infected with Campylobacter fetus. BMJ Case Rep. 2016;2016:bcr2016215582. doi:10.1136/bcr-2016-215582
37. File TM Jr, Barnishan J, Fass RJ. Campylobacter fetus sepsis with mycotic aortic aneurysm. Arch Pathol Lab Med. 1979;103(3):143-145.
38. Taylor PR, Weinstein WM, Bryner JH. Campylobacter fetus infection in human subjects: association with raw milk. Am J Med. 1979;66(5):779-783. doi:10.1016/0002-9343(79)91116-1
39. Marty AT, Webb TA, Stubbs KG, Penkava RR. Inflammatory abdominal aortic aneurysm infected by Campylobacter fetus. JAMA. 1983;249(9):1190-11902.
40. Blabey RG Jr, Parry MF, Bull SM, Weed CB. Mycotic aneurysm of the abdominal aorta: successful management of Campylobacter fetus aortitis. Conn Med. 1983;47(3):129-130.
41. Anolik JR, Mildvan D, Winter JW, Puttlitz D, Rubenstein S, Lozman H. Mycotic aortic aneurysm. A complication of Campylobacter fetus septicemia. Arch Intern Med. 1983;143(3):609-610. doi:10.1001/archinte.143.3.609
42. Perry MO. Infected aortic aneurysms. J Vasc Surg. 1985;2(4):597-599. doi:10.1067/mva.1985.avs0020597
43. Righter J, Woods JM. Campylobacter and endovascular lesions. Can J Surg. 1985;28(2):451-452.
44. Kuzniec S, Estenssoro AE, de P Lima M, Mendes CM, Puech-Leão P. Abdominal aortic aneurysm infected with Campylobacter fetus spp fetus. Report of a case and review of the literature. Rev Hosp Clin Fac Med Sao Paulo. 1995;50(5):284-288.
45. Montero A, CorbeIla X, López JA, Santín M, Ballón IH. Campylobacter fetus-associated aneurysms: report of a case involving the popliteal artery and review of the literature. Clin Infect Dis. 1997;24(5):1019-1021. doi:10.1093/clinids/24.5.1019
46. Sessa C, Farah I, Voirin L, Magne JL, Brion JP, Guidicelli H. Infected aneurysms of the infrarenal abdominal aorta: diagnostic criteria and therapeutic strategy. Ann Vasc Surg.1997;11(5):452-463. doi:10.1007/s100169900075
47. La Scola B, Chambourlier S, Mercier C, JP Casalta. Abdominal aortic aneurysm infected by Campylobacter fetus subsp. fetus. Clin Microbiol Infect. 1998;4(9):527-529. doi:10.1111/j.1469-0691.1998.tb00409.x
48. Mii S, Tanaka K, Furugaki K, Sakata H, Katoh H, Mori A. Infected abdominal aortic aneurysm caused by Campylobacter fetus subspecies fetus: report of a case. Surg Today. 1998;28(6):661-664. doi:10.1007/s005950050204
49. Lozano P, Rimbau EM, Martinez S, Ribas MA, Gómez FT. Campylobacter fetus infection of a previously excluded popliteal aneurysm. Eur J Vasc Endovasc Surg. 1999;18(1):86-88. doi:10.1053/ejvs.1998.0755
50. Baty V, Hoen B, Selton-Suty C, Schuhmacher H, et al. Campylobacter fetus endocarditis manifested by a popliteal mycotic aneurysm. Presse Med. 1998;27(8):357-358.
51. Tran JK, de Virgilio C. Management of an abdominal aortic aneurysm infected with Campylobacter fetus: a case report. Ann Vasc Surg. 2007;21(2):137-142. doi:10.1016/j.avsg.2007.01.002
52. Onoda M, Furutani A, Akiyama N, Morikage N, Yoshimura K, Hamano K. Infected aneurysms of bilateral deep femoral arteries due to Campylobacter fetus subspecies fetus. Ann Vasc Surg. 2008;22(3):476-480. doi:10.1016/j.avsg.2007.12.015
53. Shiferson A, Ascher E, Hingorani A, et al. Bilateral internal iliac artery aneurysm infected with Campylobacter fetus. Vascular. 2009;17(4) 226-229. doi:10.2310/6670.2008.00067
54. Maeda H, Umezawa H, Goshima M, et al. Primary infected abdominal aortic aneurysm: surgical procedures, early mortality rates, and a survey of the prevalence of infectious organisms over a 30- year period. Surg Today. 2011;41(3):346-351. doi:10.1007/s00595-010-4279-z
55. Noda Y, Sawada KI, Yoshida SH, et al. Mycotic abdominal aneurysm caused by Campylobacter fetus: a case report for surgical management. Ann Vasc Dis. 2011;4(1):56-59. doi:10.3400/avd.cr.10.01028
56. Melendez BA, Hollis HW Jr, Rehring TF. Mycotic popliteal aneurysm rupture secondary to Campylobacter fetus. Ann Vasc Surg. 2015;29(1):122.e9-122.e11. doi:10.1016/j.avsg.2014.05.021
57. Hagiya H, Matsumoto M, Furukawa H, Murase T, Otsuka F. Mycotic abdominal aortic aneurysm caused by Campylobacter fetus: a case report and literature review. Ann Vasc Surg. 2014;28(8):1933.e7-e1933.e14. doi:10.1016/j.avsg.2014.06.072
58. Ono S, Shimogawara T, Hasegawa H. Endovascularly treated superficial femoral artery aneurysm rupture secondary to Campylobacter fetus bacteremia: a case report. Ann Vasc Surg. 2021;72:664.e1–664.e6. doi:10.1016/j.avsg.2020.10.014
59. Eke UA, Doub JB, Chua JV. Campylobacter fetus aortitis in a patient with HIV. IDCases. 2021;25:e01169. doi:10.1016/j.idcr.2021.e0116
60. Milanesio M, Alonso R, Cornavaca MT, Lipari FG, Zanuzzi MG. Abdominal aortic aneurysm infected with Campylobacter fetus. Case report and medical literature review. Rev Chilena Infectol. 2021;38(3):440-445. doi:10.4067/S0716-1018202100030044


