Skip to main content

Volume 19 - Issue 7 - July 2022

Original Research
07/19/2022
Betul Balaban Kocas, MD; Gokhan Cetinkal, MD; Suleyman Sezai Yildiz, MD; Kadriye Kilickesmez, MD
This study evaluated the association of atherosclerotic risk factors and inflammatory biomarkers with isolated coronary artery ectasia.
This study evaluated the association of atherosclerotic risk factors and inflammatory biomarkers with isolated coronary artery ectasia.
This study evaluated the...
07/19/2022
Vascular Disease Management
Case Report
07/15/2022
Christopher G. DuCoin, MD; Islam M. Ibrahim, MD; Abdul-Rhaman F. Diab, MD; Ali Lattouf, MD; Sharique Nazir, MD; Joseph A. Sujka, MD
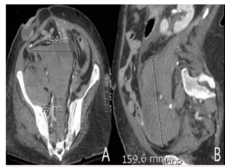
A case of lumbar and internal iliac artery pseudoaneurysms following cecal perforation.
A case of lumbar and internal iliac artery pseudoaneurysms following cecal perforation.
A case of lumbar and internal...
07/15/2022
Vascular Disease Management
Video
07/06/2022
Ross Milner, MD
Dr. Ross Milner looks at the outcomes of the Gore Excluder Iliac Branch IBE clinical trial and GREAT Registry in combination.
Dr. Ross Milner looks at the outcomes of the Gore Excluder Iliac Branch IBE clinical trial and GREAT Registry in combination.
Dr. Ross Milner looks at the...
07/06/2022
Vascular Disease Management
Interview and Case Report
07/06/2022
Halim Yammine, MD
VDM speaks with vascular surgeon Halim Yammine, MD, about treating calcified PAD with the Shockwave M5+ IVL catheter.
VDM speaks with vascular surgeon Halim Yammine, MD, about treating calcified PAD with the Shockwave M5+ IVL catheter.
VDM speaks with vascular surgeon...
07/06/2022
Vascular Disease Management