Free Abdominopelvic Pus-Induced Mycotic Arterial False Aneurysms
Abstract
Mycotic pseudoaneurysm (infected pseudoaneurysm) is an infectious arteritis that leads to the destruction of the arterial wall. To our knowledge, no case of lumbar artery mycotic pseudoaneurysm following bowel perforation has been reported in the literature. Only 2 cases of internal iliac artery mycotic pseudoaneurysm following bowel perforation have been reported in the literature. We report a case of lumbar and internal iliac artery pseudoaneurysms following cecal perforation complicating a neglected cecal volvulus. A 46-year-old woman with a history of pulmonary embolism (on enoxaparin) and cecal perforation 5 months prior to admission presented to the emergency department with shortness of breath, altered mental status, and right lower quadrant abdominal pain of 2 days duration. She was hypotensive, with abdominal skin bruises and abdominal distension. Labs revealed azotemia, lactic acidosis, severe anemia, and coagulopathy. A computed tomography scan of the abdomen and pelvis with contrast showed massive retroperitoneal hemorrhage. An abdominopelvic angiography revealed bleeding pseudoaneurysms of the right and left internal iliac arteries and the right 4th lumbar artery. Gelfoam (Pfizer) embolization was successfully performed with cessation of bleeding. The patient’s medical history was significant for hospital admission 5 months earlier for bowel obstruction secondary to cecal volvulus, complicated by cecal perforation. Laparotomy revealed a copious amount of pus in the abdominopelvic area; abdominal wash of the purulent fluid, diverting ileostomy, and cecal repair were performed.
VASCULAR DISEASE MANAGEMENT 2022;19(7):E118-E120
Key Words: bowel perforation, hemorrhage, iliac aneurysm, lumbar aneurysm, mycotic pseudoaneurysm
Introduction
Mycotic pseudoaneurysm (infected pseudoaneurysm) is an infectious arteritis that leads to the destruction of the arterial wall. To our knowledge, no case of lumbar artery mycotic pseudoaneurysm following bowel perforation has been reported in the literature. Only 2 cases of internal iliac artery mycotic pseudoaneurysm following bowel perforation have been reported in the literature. We report a case of lumbar and internal iliac artery pseudoaneurysms following cecal perforation complicating a neglected cecal volvulus.
Case Report
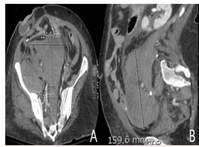
A 46-year-old woman with history of pulmonary embolism (PE), cecal perforation, and ostomy 5 months earlier presented to the emergency department with dyspnea, paleness, and hypotension. She started experiencing right lower quadrant pain 2 days earlier, which radiated to the right leg. She did not have cough, fever, blood in stool, or increased output from the ostomy. Vitals were remarkable for hypotension and tachycardia. Physical examination was remarkable for poor communication, distended abdomen without fluid wave, a subcutaneous firm area in the left lower quadrant, and bruising skin on the abdomen. Ostomy was clean without any bleeding. Labs were remarkable for creatinine, 1.33 (baseline 0.4); lactate, 24.1; white blood cells, 44,900; hemoglobin, 5; hematocrit, 16.3; mean corpuscular volume, 95.3; red cell distribution width, 18.8; platelets, 418; prothrombin time, 21.7; and partial thromboplastin time, 50. The patient was given fluids, norepinephrine, and vasopressin. Due to potential sepsis, she was given vancomycin and piperacillin/tazobactam, and several cultures were obtained. Culture results were negative. Chest X-ray was normal, and computed tomography scans of the abdomen and pelvis (Figure 1) showed findings consistent with massive retroperitoneal hemorrhage, including:
1. large retroperitoneal hematoma (Figure 1A and Figure 1B);
2. small blush of contrast within the hematoma on the left (Figure 1C);
3. perihepatic hemorrhage (Figure 1D);
4. perisplenic hemorrhage (Figure 1D);
5. retroperitoneal hemorrhage along the pericolic gutters bilaterally;
6. hemorrhage-induced occlusion of the inferior vena cava;
7. hemorrhage-induced occlusion of the iliac veins bilaterally;
8. anterior displacement of multiple bowel loops; and
9. retroperitoneal hemorrhage extension into the right iliacus (Figure 1C) and right psoas muscles to the level of the lesser trochanter of the femur.
The patient was immediately given packed red blood cells, fresh frozen plasma, cryptoprecipitate, vitamin K, and protamine. Significant improvement of the patient’s parameters and clinical status was seen. An interventional radiologist performed an abdominopelvic angiography, which showed multiple areas of small arterial irregularity and blush, representing pseudoaneurysms within the right and left internal iliac arteries, the fourth right lumbar (L4) (Figure 2), and the right fifth lumbar (L5) arteries. Gelfoam (Pfizer) embolization was performed at both internal iliac arteries and the right L4 and L5 arteries. Completion angiography showed successful embolization. The rheumatology team was consulted for concern of vasculitis; after thorough evaluation, vasculitis was not diagnosed.
After a detailed evaluation looking for the etiology of these pseudoaneurysms, we found that the patient was admitted 5 months earlier for bowel obstruction of 10 days duration due to cecal volvulus. A nasogastric tube insertion attempt back then was complicated with aspiration and subsequent development of pneumonia and PE. This event was followed by pneumothorax, respiratory failure, shock, and pulseless electrical activity and arrest. Due to these events, the patient became encephalopathic and unresponsive. Cecal volvulus was monitored through serial abdominal X-rays as a transition until the patient recovered and stabilized. Later, perforation occurred with a long delay in diagnosis. Perforation was not clinically evident because the patient was encephalopathic and unresponsive. It was incidentally diagnosed by finding air under the diaphragm in a chest X-ray. The interval time between the normal abdominal X-ray and the abnormal chest X-ray was 19 hours. Perforation occurred at a point during these 19 hours, and surgical intervention was done 10 hours after the abnormal chest X-ray. Upon surgical intervention, a copious amount of purulent fluid was found in the abdominopelvic area, mainly on the right. Surgical intervention consisted of an abdominal wash of a copious amount of free purulent fluid, diverting ileostomy, and cecal repair. Later, the patient improved and was downgraded to the hospital medicine service after 19 days in the ICU, then was discharged a few days later with long-term enoxaparin therapy for PE.
Because a copious amount of free abdominal and pelvic purulent fluid with a huge number of bacteria remained around the vessels for approximately 10 hours (minimum) to 29 hours (maximum), we concluded that this was the cause of the aneurysmal vascular damage, which was triggered to bleed after completing only 5 months of long-term enoxaparin therapy for PE. Another supporting point for our conclusion is that 3 out of the 4 bleeding vessels lie in the right lower abdomen and right pelvis closest to the perforated cecum and to the point of expulsion of purulent fluid and bacteria.
Discussion
Similar cases of lumbar artery false aneurysm have been reported in the literature: The first was in a patient 5 days after purulent rectal diverticular perforation1; the second in a patient with L2-L3 discitis caused by coagulase-negative Staphylococcus2; the third in a patient with T12-L1 discitis caused by methicillin-sensitive Staphylococcus aureus2; and the last in a patient with vertebral osteomyelitis, destruction, and abscess caused by Group B Streptococcus.3 Similar cases of internal iliac artery false aneurysm have been reported in the literature: The first was in a patient with posterior rectal tumor perforation into the mesorectal fascia with an associated pelvic abscess4; the second in a patient after perforation of sigmoid diverticular disease5; the third in an immunocompromised kidney transplant patient with Aspergillus retroperitoneal soft tissue infection and intraabdominal abscess6; and the last due to septic sacroiliitis by S.aureus.7 No case in the literature demonstrated synchronous internal iliac artery and lumbar artery pseudoaneurysms, as in our case. In addition, no case in the literature demonstrated synchronous bilateral internal iliac arteries pseudoaneurysms, as in our case.
Conclusion
Neglected cecal perforation with free pus in the abdominopelvic cavity can lead to vascular wall infection of the nearby arteries, producing pseudoaneurysms that can be complicated by massive hemorrhage. In this case, in addition to the iliac arteries, the lumbar artery was also involved, which was not described before in the literature in the setting of bowel perforation.
The authors have completed and returned the ICMJE Form for Disclosure of Potential Conflicts of Interest. The authors report no conflicts of interest regarding the content herein.
Manuscript accepted June 17, 2022.
Address for correspondence: Abdul-Rahman F. Diab, University of South Florida Morsani College of Medicine, 5 Tampa General Circle, Tampa, FL 33606. Email: a.diab94@hotmail.com
Related Articles
REFERENCES
1. Miyata T, Fujiwara Y, Nishijima K, et al. Retroperitoneal hematoma from lumbar artery as an unusual complication after rectal perforation with massive retroperitoneal emphysema. J Surg Case Rep. 2018(12):rjy332. doi:10.1093/jscr/rjy332
2. Dausse F, Chevallier P, Motamedi J-P, Amoretti N, Cua E, Bruneton J-N. Lumbar false aneurysms following image-guided interventive procedures for spondylodiskitic abscesses. Skeletal Radiol. 2006;35(12):949-952. doi:10.1007/s00256-005-0064-2
3. Tomescot A, Dallaudiere B, Zurlinden O, Manelfe J. Lumbar artery pseudoaneurysm as a late complication of osteomyelitis with vertebral body destruction. J Vasc Surg. 2013;58(4):1084-1087. doi:10.1016/j.jvs.2012.12.070
4. Rottoli M, Sabharwal T, Schizas AMP, George ML. Bleeding pseudoaneurysm of the internal iliac artery after extended resection for advanced rectal cancer: report of two cases. Int J Colorectal Dis. 2014;29(12):1585-1586. doi:10.1007/s00384-014-1953-4
5. Arthur TI, Gillespie CJ, Butcher W, Lu CT. Pseudoaneurysm of the internal iliac artery resulting in massive per-rectal bleeding. J Surg Case Rep. 2013;2013(10):rjt069. doi:10.1093/jscr/rjt06
6. Liu K-Y, Tsai P-J, King K-L, Chen T-H, Shyr Y-M, Su C-H. Pseudoaneurysm of the iliac artery secondary to Aspergillus infection after kidney transplantation. J Chin Med Assoc. 2009;72(12):654-656. doi:10.1016/S1726-4901(09)70450-2
7. Salášek M, Pavelka T. [Septic sacroiliitis complicated by a pseudoaneurysm of the internal iliac artery. A case report]. Acta Chir Orthop Traumatol Cech. 2016;83(1):50-54.


