Skip to main content

Volume 18 - Issue 9 - September 2021

Editor's Corner
10/18/2021
Craig M. Walker, MD, FACC, FACP, FSCAI, FCCP
Dr. Walker discusses the role of office-based interventional suites during the second wave of COVID-19.
Dr. Walker discusses the role of office-based interventional suites during the second wave of COVID-19.
Dr. Walker discusses the role of...
10/18/2021
Vascular Disease Management
Video
10/18/2021
Craig M. Walker, MD, FACC, FACP, FSCAI, FCCP
In this video, Editor-in-Chief Craig Walker discusses the role of office-based interventional suites in during the second wave of the COVID-19 pandemic.
In this video, Editor-in-Chief Craig Walker discusses the role of office-based interventional suites in during the second wave of the COVID-19 pandemic.
In this video, Editor-in-Chief...
10/18/2021
Vascular Disease Management
OBL Corner
09/20/2021
Walter Kim; Sam Ahn, MD, FACS, MBA
Good supply management is critical to both the clinical and financial success of the OEC.
Good supply management is critical to both the clinical and financial success of the OEC.
Good supply management is...
09/20/2021
Vascular Disease Management
Case Report
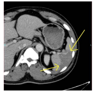
09/17/2021
James L. Thomas, MD; Delton Farquharson, MBBS
The authors present a case of spontaneous dissection of the splenic and hepatic arteries, which was treated nonoperatively.
The authors present a case of spontaneous dissection of the splenic and hepatic arteries, which was treated nonoperatively.
The authors present a case of...
09/17/2021
Vascular Disease Management
Original Research
09/16/2021
Avaneesh Jakkoju, MD, FACC; Craig M. Walker, MD, FACC, FACP, FSCAI, FCCP; Naga Sai Shravan Turaga, MD; Ankur Lodha, MD
In this descriptive study, the authors sought to determine the feasibility of the transradial approach for peripheral intervention using the R2P Destination Slender Guiding Sheath.
In this descriptive study, the authors sought to determine the feasibility of the transradial approach for peripheral intervention using the R2P Destination Slender Guiding Sheath.
In this descriptive study, the...
09/16/2021
Vascular Disease Management
Scientific Abstracts
09/09/2021
Abstracts from the Amputation Prevention Symposium (AMP), which took place August 11-14, 2021 in Orlando, Florida.
Abstracts from the Amputation Prevention Symposium (AMP), which took place August 11-14, 2021 in Orlando, Florida.
Abstracts from the Amputation...
09/09/2021
Vascular Disease Management
Case Report
09/09/2021
B. Vivek Joseph, FRCSI, MCh; Tufail Patankar, MBBS, DMRD, DMRE, DNBE, FRCR, PhD; Santhosh Babu Bharathy, MD, MBBS; Vinu Moses, MD, DNB, MBBS; Shyamkumar Nidugala Keshava, MBBS, DMRD, DNB, FRCR, FRANZCR
This case report presents the details of a patient with a wide-necked basilar top aneurysm, ruptured 1 month earlier, which was managed using a new endosaccular device, Neqstent.
This case report presents the details of a patient with a wide-necked basilar top aneurysm, ruptured 1 month earlier, which was managed using a new endosaccular device, Neqstent.
This case report presents the...
09/09/2021
Vascular Disease Management