Splenic Artery and Hepatic Artery Dissection: A Case Report From The Bahamas
VASCULAR DISEASE MANAGEMENT 2021;18(9):E166-E168. Epub 2021 September 17
Abstract
Spontaneous dissection of visceral arteries is rare. When dissection does occur, the superior mesenteric artery accounts for most cases. Optimal consensus on management and treatment has not been established due to the rarity of this condition. This manuscript presents a case report of a spontaneous dissection of the splenic and hepatic arteries, occurring in a 50-year-old Bahamian man that was successfully treated non-operatively with analgesia, blood pressure control, and anticoagulation. This is the first such case in The Bahamas and one of few that exists in the reported literature.
Spontaneous dissection of visceral arteries is rare. The visceral arteries include the celiac, superior and inferior mesenteric, and renal arteries. When dissection occurs, the superior mesenteric artery accounts for the majority of cases. Optimal consensus on management and treatment has not been established due to the rarity of this condition. This is a case report of a spontaneous dissection of the splenic and hepatic arteries occurring in a young Bahamian male that was successfully treated non-operatively. This is the first case in The Bahamas and one of few that exists in the reported literature.
Case Report
A 50-year-old man of African descent, presented to the emergency room with sudden onset of epigastric pain while playing a board game. He described the pain as acute in onset, sharp and sticking in nature, and rated it 10/10 on an adult numerical pain scale. The pain radiated to the right upper quadrant and was aggravated by movement and palpation. The pain was moderately relieved by rest. The pain was associated with nausea, vomiting, and abdominal distension.
Physical examination revealed a young male not distressed. His initial blood pressure was elevated at 157/101 mm Hg. Except for a distended abdomen, the remainder of his examination was unremarkable. Initial laboratory investigations were normal, except for an isolated postprandial glucose level of 174 mg/dL and a lactate dehydrogenase level of 271mg/dL.
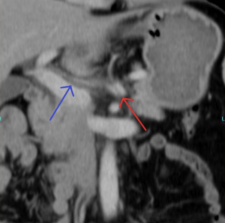
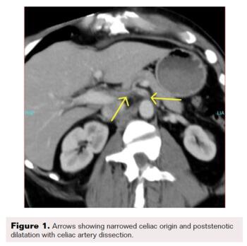
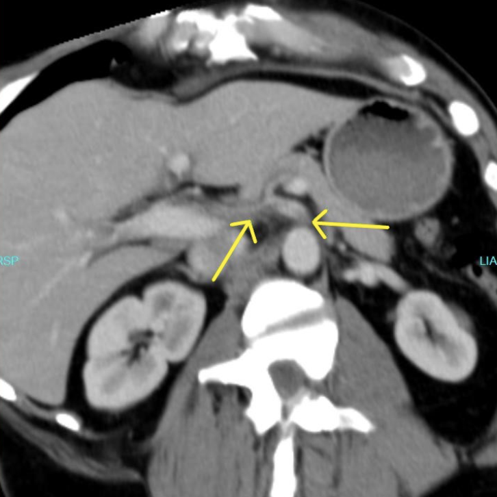
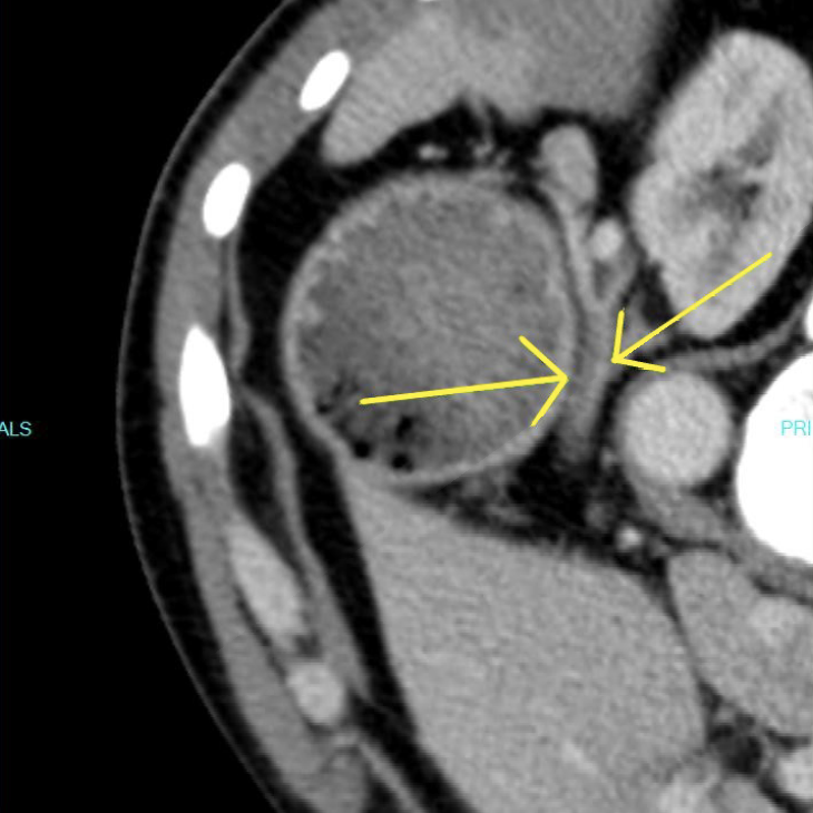
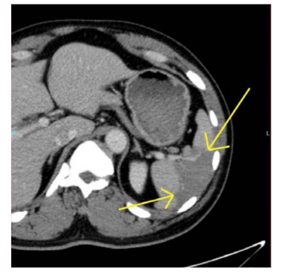
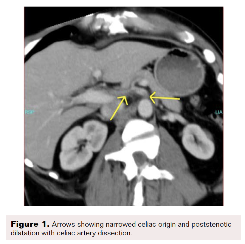
A contrast-enhanced CT scan was completed and revealed stenosis of the celiac trunk and mild bulbous dilatation of the post-stenotic celiac trunk (Figure 1). There was the appearance of a dissection flap that developed into an eccentric hypodense non-enhancing false lumen. This appeared to extend into the common hepatic arterial trunk and the splenic arterial branch, then continued to the splenic hilum (Figure 2 and Figure 3). In addition, there was a large splenic hypo-density involving almost one-third of the central spleen (Figure 4). The findings were consistent with an acute dissection of the splenic and hepatic arteries, along with splenic infarction of the central one-third of the spleen. A differential diagnosis of arcuate ligament syndrome was also considered, given the significant scoliosis seen on scout film of the CT scan (Figure 5).
The patient was treated conservatively with analgesia, blood pressure control, and anticoagulation. A follow-up CT scan 3 days later, confirmed the arterial dissections. He was discharged after 3 days of hospitalization, with a follow-up abdominal duplex ultrasound planned for 1 month. The arterial duplex scan at 1 month revealed a celiac artery peak systolic velocity > 3.5 and good intraluminal color filling without obvious evidence of a dissection or false lumen. The spleen demonstrated findings suggestive of an evolving infarction.
Discussion
Arterial dissection is an abrupt abnormal separation in the layers of the arterial wall. This is common in large vessels such as the aorta and may extend to its branches. Isolated spontaneous dissection of visceral arteries may occur, but is very uncommon. The visceral arteries include the celiac, superior and inferior mesenteric, and renal arteries. The causes cited in the literature include atherosclerosis, hypertension, smoking, trauma, iatrogenic (usually interventional or surgical), fibromuscular dysplasia, connective tissue diseases, pregnancy, vasculitis, and malignancy. The main symptoms are pain (acute and sometimes postprandial) and associated nausea, vomiting, and abdominal distension.
Richard Bauersfeld described and reported on spontaneous dissection of visceral arteries in Annals of Internal Medicine in 1947.1 The most common visceral artery dissections occur in the superior mesenteric artery (SMA) followed by the celiac artery (CA). Takayama et al, in a retrospective analysis of cases in Japan in 2008, showed that SMA and CA dissections occurred 57.9% and 36.8% of the time, respectively. In the same series, the hepatic artery (HA) and splenic artery (SA) dissections occurred 10.3% and 5.3% of the time, respectively.2 Splenic artery dissections were usually diagnosed postmortem and despite improvements in diagnostic imaging, this remains a significant challenge and remains underdiagnosed.3
The main causes of visceral artery dissection are atherosclerosis, trauma, iatrogenic pregnancy, syphilis, polyarteritis nodosa, fibromuscular dysplasia, cystic medial degeneration (Marfan’s syndrome), and other congenital disorders of the vascular wall (Ehlers-Danlos syndrome) as described by Naganuma et al.4 The patient presented, did not have any of the above conditions or any risk factors associated with the above conditions. He did not have a previous diagnosis of hypertension but was noted to have elevated blood pressure at presentation. Whether this was related to the acute insult or to a chronic condition has to be elucidated. Naganuma et al., also suggested that hypertension and smoking may be associated with dissection of the abdominal aortic branches.4
Although most of the literature reviewed were small series or case reports, the majority of patients presenting with splanchnic artery dissection were asymptomatic. Naganuma, DiMusto, Lee, and others demonstrated this phenomenon.4-6 The patient in this report was symptomatic, presenting with acute abdominal pain and associated symptoms. DiMusto et al., reported that 63% of his cases were asymptomatic and found incidentally, while 37% were symptomatic.5
For diagnosis, the CT scan remains the modality of choice in the literature; however, conventional angiogram, ultrasound, and MRI have been utilized. CT findings for this patient were consistent with what is demonstrated in the literature. The differential diagnoses as well as complications can also be easily identified with these imaging modalities. Management and treatment strategies have all been on an individual basis as there are no optimal studies that can direct management in any definitive way. Most patients are treated conservatively, and open or endovascular options remain for symptomatic extreme patient circumstances.
The patient in this report fits the common description of patients in previous reports. He is male, symptomatic, in his fifth decade, and without comorbidities. He was treated conservatively. His findings of hepatic and splenic artery dissections with questionable involvement of the celiac trunk were unique. Most reports of such occurrence suggest extension of the celiac trunk dissection to these vessels.7,8 He had isolated HA and SA dissection but a stenosis of the distal celiac trunk with a mild poststenotic dilatation. In most cases, an etiology is never elucidated. This patient had no untoward sequelae, and follow-up imaging suggests resolution of the dissection. This is in keeping with what was described in other reports.
Conclusion
Splanchnic artery dissections are rare entities, and selective dissections of the branches are even more rare. Even though the clinical presentations may require a high index of suspicion, advances in imaging have led to an increase in diagnoses over time. Management and treatment strategies remain individualized as there have been no studies with enough data to influence and guide care of these patients. Therefore, the operator should devise the optimal treatment for each patient based upon their particular symptoms and circumstances.
Disclosure: The authors have completed and returned the ICMJE Form for Disclosure of Potential Conflicts of Interest. The authors report no conflicts of interest regarding the content herein.
The authors report that patient consent was provided for publication of the images used herein.
Manuscript accepted July 22, 2021.
Address for correspondence: Dr. Delton Farquharson, Department of Surgery, Princess Margaret Hospital, Shirley St., Nassau, Bahamas. Email: deltonfarquharson@yahoo.com
REFERENCES
1. Bauersfeld S. Dissecting aneurysm of the aorta: a presentation of fifteen cases and a review of the recent literature. Ann Int Med. 1947;26:873-889.
2. Takayama T, Miyata T, Shirakawa M, Nagawa H. Isolated spontaneous dissection of the splanchnic arteries. J Vasc Surg. 2008;48:329-333.
3. Merrell SW, Gloviczki P. Splenic artery dissection: a case report and review of the literature. J Vasc Surg. 1992;15:221-225.
4. Naganuma M, Matsui H, Fushimi K, Yasunaga H. Clinical features of isolated dissections of abdominal aortic branches. Heart Vessels. 2014;1006-1009.
5. DiMusto PD, Oberdoerster MM, Criado E. Isolated celiac artery dissection. J Vasc Surg. 2015;61:972-976.
6. Lee SI, Kim JJ, Yang HJ, Lee K. Spontaneous dissection of celiac trunk with concurrent splenic artery dissection. Clin Exp Emerg Med. 2015;28;2:256-259.
7. D’Ambrosio N, Friedman B, Siegel D, Katz D, Newatia A, Hines J. Spontaneous isolated dissection of the celiac artery: CT findings in adults. Am J Roent. 2007;188:506-511.
8. Glehen O, Feugier P, Aleksic Y, Delannoy P, Chevalier JM. Spontaneous dissection of the celiac artery. Ann Vasc Surg. 2001;15:687-692.


