Skip to main content

Volume 18, Issue 5 - May 2021

Case Report
09/13/2021
Guillermo Salinas, MD
The author reports use of the CorPath GRX Robotic System for revascularization of right leg critical limb ischemia using a left transradial approach.
The author reports use of the CorPath GRX Robotic System for revascularization of right leg critical limb ischemia using a left transradial approach.
The author reports use of the...
09/13/2021
Vascular Disease Management
Editor's Corner
05/04/2021
Craig M. Walker, MD, FACC, FACP, FSCAI, FCCP
Dr. Walker comments on Dr. Sandra Vincente and colleagues' article “Descriptive Study of Ulcers Treated in a Diabetic Foot Unit” from Hospital de Alcorcon in Madrid.
Dr. Walker comments on Dr. Sandra Vincente and colleagues' article “Descriptive Study of Ulcers Treated in a Diabetic Foot Unit” from Hospital de Alcorcon in Madrid.
Dr. Walker comments on Dr....
05/04/2021
Vascular Disease Management
Original Research
05/03/2021
Sandra Vicente, MD, PhD; Jesús Alfayate, MD; Susana Cáncer; Luis De Benito, MD, PhD; Juan Pedro Sanchez; Giuseppe Corte
This is a descriptive study of a cohort of patients treated at the DFU of the Vascular Department of the Hospital Universitario Fundación Alcorcón between November 2009 and September 2012.
This is a descriptive study of a cohort of patients treated at the DFU of the Vascular Department of the Hospital Universitario Fundación Alcorcón between November 2009 and September 2012.
This is a descriptive study of a...
05/03/2021
Vascular Disease Management
Case Report
05/03/2021
Prabha Nini Gupta, MD, DM, FCSI, FSCAI, FACC; Arif Mohammed, MD; Dhanus Sadasivan Nair, MD; Jineesh V., MD; Krishna Kumar Prabhakharan, MD, DM
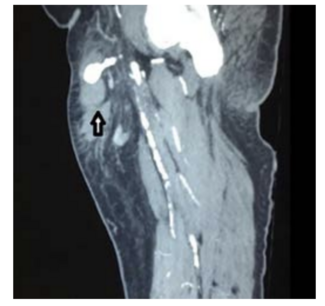
The authors describe a pseudoaneurysm in 2013 that was managed by compression of the neck of the pseudoaneurysm.
The authors describe a pseudoaneurysm in 2013 that was managed by compression of the neck of the pseudoaneurysm.
The authors describe a...
05/03/2021
Vascular Disease Management