Another Femoral Pseudoaneurysm With Newer Lessons
Abstract
Femoral pseudoaneurysms usually develop when the femoral artery puncture site is too low and the needle insertion is in the profunda femoris artery. We describe here a pseudoaneurysm that developed in the common femoral artery, due to inadequate manual compression and immobilization of the limb. This was dealt with by intra-aneurysm instillation of coils and finally thrombin treatment.
VASCULAR DISEASE MANAGEMENT 2021;18(5):E68-E72
Key words: pseudoaneurysm, coil embolization, thrombin injection, femoral route angioplasty
We described a pseudoaneurysm in 2013 that was managed by compression of the neck of the pseudoaneurysm.1 Femoral pseudoaneurysms occur when punctures in the femoral artery are inadvertently made in the profunda femoris branch or in areas unsupported by the femoral neck.
The external iliac artery becomes the common femoral artery just below the inguinal ligament. This artery forms a very small segment in some patients. Puncture below this segment either in the superficial femoral artery or the profunda femoris artery leads to pseudoaneurysms, while punctures above the inguinal ligament cause retroperitoneal hematomas. The area for an ideal puncture is very small.
The gold standard for arterial haemostasis is manual compression, but this technique has a learning curve. Relatively new residents can fail to compress the femoral artery effectively due to inexperience.
This case is unique in that the pseudoaneurysm occurred in the common femoral artery and was probably due to inadequate immobilization of the patient. This is a very rare site for a pseudoaneurysm.
History of Presenting Complaints
Our patient was a 60-year-old woman who presented with chest pain on 01/16/2019 and was diagnosed with coronary artery disease and non-ST-elevation myocardial infarction. An angiogram showed a lesion in her proximal left anterior descending coronary artery that was stented with a 3 x 18 mm Rapstrom DES on 01/26/2019. Her access was right radial artery converted to right femoral artery access. The femoral access sheath was removed 6 hours later and the puncture site was manually compressed. Her local puncture site was inspected and she was discharged on 01/27/2019. She reported in distress to the outpatient department on 01/30/2019 (5 days after the angioplasty) with progressive swelling, local discoloration, and pain at the femoral access site. She was admitted for further management.
Past History
She was a diabetic and a hypertensive.

Physical Examination
She had a 10 x 5 cm pulsatile, tender, swelling with bluish discoloration on the dorsum of her right thigh. All her peripheral pulses and pulse oximetry readings were recorded bilaterally and were normal and equal.
Investigations
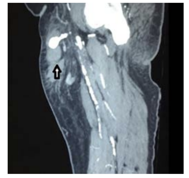
On the ultrasound arterial doppler a heterogeneously hyperechoic area was found at the upper part of the right thigh, with skin discoloration suggestive of a hematoma. This had a well-defined echogenic area with a Ying and Yang color flow, and swirling suggestive of a pseudoaneurysm. This appeared to arise from the common femoral artery (Figure 1). Since the swelling was very large, to enable further treatment decisions we sent the patient for a CT angiography of the thigh (Figures 2-5).
CT Angiogram Findings
A pseudoaneurysm arising from anterior aspect of the right common femoral artery (CFA) just above bifurcation was observed with a sac noted in the subcutaneous space that measured 1.9 x 1.4 cm. A tract from this sac had a length of 2.6 cm and arose from the CFA. A hematoma was noted in the anterior and medial aspect of the thigh in the subcutaneous space adjacent to the pseudoaneurysm (Figures 2-5).
Early Management
Vascular surgeons advised conservative management as there was no compromise to distal limb. The neck of the sac was localized and marked with an ultrasound machine and multiple episodes of manual femoral compression lasting an average of 30-60 minutes were performed for the following 5 days. The patient was given antibiotics. Since the patient had a haemoglobin drop the patient was given 1 pint of packed red cells. Serial monitoring of the distal pulses and oximetry was performed to check the saturation of the toes.
On Day 6, the USG Doppler Study was repeated. The pseudoaneurysm persisted with color uptake, in fact it had increased in size to reach a size of 2.6 x 1.4 cm.
We were reluctant to use a surgical procedure as this would entail stopping of the dual antiplatelets that might cause stent thrombosis as 30 days were not over since the LAD angioplasty had been performed. So we consulted our neighbouring center for help. The Interventional Radiology Department at SCTIMST was consulted and our patient was scheduled for an out-patient appointment for embolization of the pseudoaneurysm sac.
The Procedure
At SCTIMST, ultrasonic guided manual compression was performed for 60 minutes. However, flow into the pseudoaneurysm continued. The patient was then taken for percutaneous coil insertion under fluoroscopic guidance (Cook Nestor; coils 0.035). A left femoral puncture was taken and a check angiogram was performed (Figure 6). This revealed a bilobed pseudoaneurysm arising from the right common femoral artery. Through a guide catheter, Cook coils were instilled using a guidewire (Figure 7). However the check angiogram showed continued blood flow into the aneurysm (Figure 8). Hence it was decided that the sac would be closed by instillation of thrombin percutaneously.
Thrombin Embolization
The sac was embolized percutaneously. [Thrombin (Reliseal Fibrin Sealant)(Reliance Life Sciences) or (Relistat kit containing 1 vial of lyophilized Human thrombin (0.500 mg or 1 mg, a sterile gelatin sponge, 5 mL water for injection, some kits have calcium chloride solution, and a 5 mL syringe for injection].
Using an ultrasound to localize the aneurysm sac, the distal most sac was localized. A peripheral balloon was positioned in the right femoral artery at the neck of the pseudoaneurysm. The aneurysm was punctured with a 21 gauge needle. The needle also served as a marker. The thrombin was reconstituted in a 2 mL syringe and this was instilled into the sac. The peripheral balloon was inflated to prevent spillage of thrombin into the right femoral artery. The thrombin solution was introduced into the sac in small incremental doses until obliteration of the sac was noted. The balloon was kept inflated for 2-3 more minutes after confirming the obliteration of the flow.
The final angiogram showed obliteration of the pseudoaneurysm (Figure 9). The patient was advised to be on bed rest and compression bandaging for the next 12 hours.
Course in the Hospital
A repeat Duplex USG on Day 3 showed a pseudoaneurysm sac of 1.6 x 1.3 cm completely filled with echogenic material with no color uptake suggestive of a thrombosed pseudoaneurysm. The patient was ambulated from day 3 of the procedure. Her hematoma progressively resolved. She was discharged. She comes in for regular follow-up. She had one episode of pulmonary edema and recovered. No other complications have presented.
Discussion
What is Rupp’s rule? This describes the relationship of the inguinal ligament to the pelvic radiographic landmarks.2 We have found that palpating the femoral artery with three fingers, the first being on the plane of the inguinal ligament, the second the site where we plan to puncture and the third finger, the area not to be punctured, similar to what Grossman describes, is the simplest method to avoid too high or too low punctures. However when this method does not work, looking at the femoral head and aiming for the lower portion of the femoral head, near the neck of the femur easily helps a successful puncture in cardiogenic shock even where the pulses are not well felt or, in obese individuals. But in thin individuals this does not work and these individuals are more prone to femoral pseudoaneurysm formation after femoral puncture than obese persons.
Toggweiler et al have suggested 3 methods to make sure the common femoral artery is punctured: (1) the middle of the medial part of the femoral head can be marked by an external object like an artery forceps (2) ultrasound guided puncture (3) using a guidewire from the opposite femoral artery to mark the position of the common femoral artery.3
As is generally known, the external iliac artery becomes the common femoral artery when it crosses the inguinal ligament. Mistakes in puncture occur as the position of the inguinal ligament varies especially in obese patients. If the puncture is made above the inguinal ligament or above the origin of the inferior epigastric artery, a large retroperitoneal hematoma may form immediately and the patient can go into shock.
Lower punctures can go into either the superficial femoral artery or the profunda femoris artery. Both of these arteries are unsupported by a bony prominence, this fact can lead to pseudoaneurysm formation. However, this pseudoaneurysm has formed in the common femoral artery so it may be due to inadequate compression or inadequate immobilization leading to dislodgement of the clot and bleeding.
Manual compression for femoral artery closure3-6
Authors have described the steps in manual compression. Briefly, Dr. Deepak Bhatt and Sripal Bangalore have described two techniques for manual compression. The first one is the three finger technique where 3 fingers are applied by turn from the incision downwards. Pressure is then applied to the femoral artery. The second technique is a roll of gauze/cotton pad is used to compress the artery continuously. The time needed to compress the artery is calculated using the French size of the sheath. The calculation is five minutes of compression per 1 French size. The pressure should be reduced to 25% of the previous pressure towards the end of compression to maintain distal flow to the lower limb. Once the bleeding stops another 5 minutes of compression should be performed to reduce the chance of femoral pseudoaneurysm.
During puncture always remember the Rupp ‘s rule.2 These authors studied cadavers and then recommended that femoral punctures should be performed in the mid portion of the femoral head as determined by fluoroscopy as the palpated inguinal ligament is 7.8 mm superior to its true position. Management guidelines for femoral pseudoaneurysms have followed the same steps.7
Messages from this paper:
1. Femoral pseudoaneurysms can form either because of lower punctures or higher punctures.
2. Even a single correct puncture can lead to a pseudoaneurysm if the patient is not adequately kept immobile or the compression to the site is inadequate.
3. Very large pseudo aneurysms should be treated with either surgery or embolization with thrombin or coils.
4. If the neck of the pseudoaneurysm is large, only surgery or embolization will suffice.
Disclosure
The authors have completed and returned the ICMJE Form for Disclosure of Potential Conflicts of Interest. The authors report no financial relationships or conflicts of interest regarding the content herein.
Address for Correspondence: Prabha Nini Gupta, MD, T/C 5/2091, Srikrishna Temple Cheruvekkal, Srikaryam, Trivandrum 695017, Kerala, India. Email: ninigupta@gmail.com
REFERENCES
1. Gupta PN, Basheer AS, Sukumaran GS, et al. Femoral artery pseudoaneurysm as a complication of angioplasty. How can it be prevented? Heart Asia. 2013;5(1):144-147.
2. Rupp SB, Vogelzang RL, Nemcek AA Jr, Yungbluth MM. Relationship of the inguinal ligament to pelvic radiographic landmarks: anatomic correlation and its role in femoral arteriography. J Vasc Interv Radiol. 1993:4(3):409-413.
3. Toggweiler S, Leipsic J, Binder RK, et al. Management of vascular access in transcatheter aortic valve replacement: part 1: basic anatomy, imaging, sheaths, and access routes. JACCCardiovac Interv. 2013;6(7):643-653.
4. Gewalt SM, Helde SM, Ibrahim T, et al. Comparison of vascular closure devices versus manual compression after femoral artery puncture in women. Circ Cardiovasc Interv. 2018:11(8):e006074.
5. Morten K. Back to basics: femoral artery access and haemostasis. Cath Lab Digest. 2013;21(10).
6. Bangalore S, Bhatt DL. Femoral arterial access and closure. Circulation. 2011;124:e147-e156.
7. Madia C. Management trends for post-catheterization femoral artery pseudoaneurysms. JAAPA. 2019;32(6):15-18.


