What Is the Scaly Erythematous Plaque on the Left Upper Cheek?
© 2024 HMP Global. All Rights Reserved.
Any views and opinions expressed are those of the author(s) and/or participants and do not necessarily reflect the views, policy, or position of the Dermatology Learning Network or HMP Global, their employees, and affiliates.
Case Report
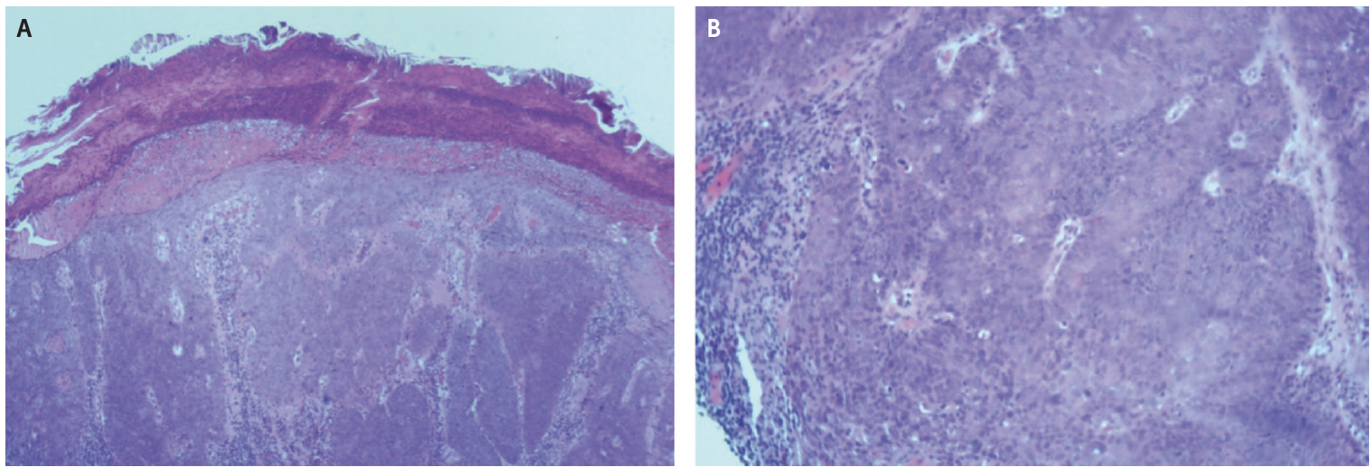
A 96-year-old woman presented to the dermatology clinic with a scaly plaque on her left cheek that had been there for many years. The lesion was not painful or pruritic, however, it became slightly tender after the patient hit her face against a cabinet door. On examination, the patient had a 1.8-cm x 1-cm nodule with central ulceration and a scaly crust erythematous base on the left upper cheek (Figure 1). A deep shave biopsy was performed.
What is your diagnosis?
Check your answer below
Diagnosis:
Porocarcinoma
Histology revealed proliferation of cohesive basaloid epithelial cells in the intraepidermal spiral duct of the eccrine apparatus, characteristic of porocarcinoma (Figure 2). Porocarcinoma, also known as eccrine porocarcinoma or malignant eccrine poroma, is an aggressive malignancy of the cutaneous intraepidermal ducts of the sweat glands. Porocarcinoma is extremely rare, with an incidence rate of 0.02 to 0.2 per 100,000.1 Incidence rates increase with age and are more common in the seventh and eighth decades of life.2 Prognosis is generally poor; if metastasis has occurred, the mortality rate ranges from 60% to 70%.1
Clinical Presentation
Porocarcinoma can have varied clinical presentations, but often begins as an indolent, erythematous, shiny nodule. A recent meta-analysis showed that nodules are the most common morphology (71% of cases), followed by 18.3% as ulcers, and 9.8% as plaques.3 Wart-like and polypoid presentations have also been described.4 The tumor can be skin-colored, erythematous, or violaceous.1 Lesions may present with pruritus, pain, ulceration, or purulent discharge, although they may also remain asymptomatic. Size of tumor at diagnosis typically ranges from 0.4 to 20 cm, with 2 cm representing the average size.5
The lower extremities are the most common sites, representing approximately 33% of cases, although lesions have been reported on the head and neck, upper extremities, trunk, and genitalia.3,4 If metastasis occurs, the most common locations are the lymph nodes (57.7%), followed by the lungs (12.8%), liver (9%), and brain (9%).3
Dermoscopic Examination
The dermoscopic features of porocarcinoma closely resemble its benign counterpart, poroma. Both are characterized by thin vascular patterns, although porocarcinoma displays a more irregular pattern in vasculature.6 Atypical vascular patterns may be seen in myriad other lesions, such as actinic keratosis, basal cell carcinoma (BCC), and amelanotic melanoma; however, the combination of atypical vascular patterns with milky-red globules, appearing white on a brown background, is more specific for porocarcinoma.6 Dermoscopic studies regarding porocarcinoma are limited and further research is needed to characterize additional specific features.
Pathophysiology
Porocarcinoma arises from the acrosyringium, the intraepidermal spiral duct of the eccrine apparatus.7 It is made up of cohesive basaloid epithelial cells, with different morphologic appearances in different cases.8 These appearances can include:
• Squamous cells
• Mucous cell metaplasia
• Clear cells
• Pagetoid spread phenomenon
• Spindle cell differentiation
• Colonization by melanocytes
Malignancy can arise de novo, or from a pre-existing benign tumor such as poroma.7 Up to 18% of porocarcinoma cases arise from pre-existing poroma neoplasms.9 Although the pathophysiology is poorly understood, UV exposure and immunosuppression have been posited as 2 risk factors for tumorigenesis. Cases of porocarcinoma have also been associated with mutations in oncogenes (Rb1) and various tumor suppressor proteins (TP53, KN2A, HRAS, EGFR).5,10
Differential Diagnosis
Several entities can be considered in the clinical and histologic differential diagnosis of porocarcinoma, including keratoacanthoma type squamous cell carcinoma (SCC), poroma (eccrine poroma, hidroacanthoma simplex, and dermal duct tumor), amelanotic melanoma, BCC, and Merkel cell carcinoma (Table).11-23
Workup
Given the wide variety in clinical presentations, histopathologic analysis is needed to confirm the diagnosis. Porocarcinomas may have features resembling those of poroma on hematoxylin-eosin (H&E) stain; however, the presence of numerous mitotic figures and other features of malignant neoplasms raises suspicion for porocarcinoma. Immunohistochemical (IHC) analysis may be a diagnostic adjunct in certain cases. Carcinoembryonic antigen (CEA) and epithelial membrane antigen (EMA) are used to identify ductal structures, with EMA proving more sensitive.1 Other studies highlight the use of CD117 (KIT) staining in helping to distinguish between SCC and porocarcinoma, with CD117 being more sensitive for porocarcinoma.12 IHC has also been utilized for genetic distinction between porocarcinoma and poroma through expressions of p53, Rb, and p16, distinguishing malignant markers in porocarcinoma.24
Treatment
Porocarcinoma treatment options range from surgical resection in the early stages to radiotherapy and chemotherapy in later stages. Surgical resection is performed in over 90% of cases, although the local recurrence rate is around 25%.25 Wide local excision accounts for most of the procedures, followed by Mohs micrographic surgery (76.7% vs 15.8%, respectively).26
There are no clear criteria for the use of radiation, chemotherapy, and immunotherapy, as there are limited studies detailing their use for inoperable tumors.27,28 Nonsurgical treatments are usually utilized as an adjunct to surgical excision. Barone et al. reported a case of metastatic porocarcinoma in the crus of the left helix with cutaneous and regional nodal metastasis treated with Mohs surgery and adjunct radiation therapy.29 McGuire et al. reported a case where chemotherapy (carboplatin, paclitaxel, and IL-2 injections) was used to successfully eradicate porocarcinoma and Singh et al. reported a case of a patient with recurrent porocarcinoma successfully treated with pembrolizumab immunotherapy in adjunct to excision.30,31
Our Patient
After diagnosis was confirmed, the patient was offered Mohs micrographic surgery. Due to her age and functional status, the patient declined additional treatment.
Conclusion
Porocarcinoma is a very rare and aggressive malignancy of the intraepidermal ducts of the sweat glands. Differential diagnosis includes poroma, hidracanthoma simplex, SCC, BCC, and amelanotic melanoma. Dermoscopic features are nonspecific. However, the combination of milky-red globules and atypical vascular patterns may raise clinical suspicion for this diagnosis. IHC markers of CEA and EMA may help confirm the diagnosis on histology.
Wide local excision and Mohs surgery are both reasonable treatment options, although recurrence rates are as high as 25% and prognosis is poor.
Tebyan Khalfalla is a medical student at the University of Rochester School of Medicine and Dentistry in Rochester, NY. Dr Hussain is a dermatologist at Galaria Plastic Surgery & Dermatology in Chantilly, VA. Dr Khachemoune is the Derm DX section editor and a dermatologist affiliated with SUNY Downstate and VA New York Harbor Care- Brooklyn in Brooklyn, NY.
Disclosure: The authors report no relevant financial relationships.
References
1. Miyamoto K, Yanagi T, Maeda T, Ujiie H. Diagnosis and management of porocarcinoma. Cancers (Basel). 2022;14(21):5232. doi:10.3390/cancers14215232
2. Blake PW, Bradford PT, Devesa SS, Toro JR. Cutaneous appendageal carcinoma incidence and survival patterns in the United States: a population-based study. Arch Dermatol. 2010;146(6):625-632. doi:10.1001/archdermatol.2010.105
3. Salih AM, Kakamad FH, Baba HO, et al. Porocarcinoma; presentation and management, a meta-analysis of 453 cases. Ann Med Surg (Lond). 2017;20:74-79. doi:10.1016/j.amsu.2017.06.027 7
4. Signorelli C, Zanella-Cavallero L, Ranucci V, Pellicciotti A, Ruggeri EM. Porocarcinoma of the left arm: a report of a rare skin cancer case and literature review. Clin Case Rep. 2022;10(4):e05721. doi:10.1002/ccr3.5721
5. Robson A, Greene J, Ansari N, et al. Eccrine porocarcinoma (malignant eccrine poroma): a clinicopathologic study of 69 cases. Am J Surg Pathol. 2001;25(6): 710-720. doi:10.1097/00000478-200106000-00002
6. Suzaki R, Shioda T, Konohana I, Ishizaki S, Sawada M, Tanaka M. Dermoscopic features of eccrine porocarcinoma arising from hidroacanthoma simplex. Dermatol Res Pract. 2010;2010:192371. doi:10.1155/2010/192371
7. Puttonen M, Isola J, Ylinen O, Böhling T, Koljonen V, Sihto H. UV-induced local immunosuppression in the tumour microenvironment of eccrine porocarcinoma and poroma. Sci Rep. 2022;12(1):5529. doi:10.1038/s41598-022-09490-5
8. Fionda B, Di Stefani A, Lancellotta V, et al. The role of postoperative radiotherapy in eccrine porocarcinoma: a multidisciplinary systematic review. Eur Rev Med Pharmacol Sci. 2022;26(5):1695-1700. doi:10.26355/eurrev_202203_28238
9. Sawaya JL, Khachemoune A. Poroma: a review of eccrine, apocrine, and malignant forms. Int J Dermatol. 2014;53(9):1053-1061. doi:10.1111/ijd.12448
10. Bosic M, Kirchner M, Brasanac D, et al. Targeted molecular profiling reveals genetic heterogeneity of poromas and porocarcinomas. Pathology. 2018;50(3):327- 332. doi:10.1016/j.pathol.2017.10.011
11. Ludmann P. Skin cancer types: squamous cell carcinoma symptoms. American Academy of Dermatology. April 28, 2023. Accessed August 28, 2024. https://www. aad.org/public/diseases/skin-cancer/types/common/scc/symptoms
12. Goto K, Takai T, Fukumoto T, et al. CD117 (KIT) is a useful immunohistochemical marker for differentiating porocarcinoma from squamous cell carcinoma. J Cutan Pathol. 2016;43(3):219-226. doi:10.1111/cup.12632
13. Marchetti MA, Marino ML, Virmani P, et al. Dermoscopic features and patterns of poromas: a multicentre observational case-control study conducted by the International Dermoscopy Society. J Eur Acad Dermatol Venereol. 2018;32(8):1263-1271. doi:10.1111/jdv.14729
14. Furlan KC, Kakizaki P, Chartuni JCN, Sittart JA, Valente NYS. Hidroacanthoma simplex: dermoscopy and cryosurgery treatment. An Bras Dermatol. 2017;92(2):253-255. doi:10.1590/abd1806-4841.20174883
15. Miller AC, Adjei S, Temiz LA, Gill P, Siller A Jr, Tyring SK. Dermal duct tumor: a diagnostic dilemma. Dermatopathology (Basel). 2022;9(1):36-47. doi:10.3390/ dermatopathology9010007
16. Wollina U, Castelli E, Rülke D. Immunohistochemistry of eccrine poroma and porocarcinoma—more than acrosyringeal tumors? Recent Results Cancer Res. 1995;139:303-316. doi:10.1007/978-3-642-78771-3_23
17. Regmi A, Speiser J. Poroma. PathologyOutlines.com. January 24, 2023. Accessed August 28, 2024. https://www.pathologyoutlines.com/topic/skintumornonmelanocyticeccrineporoma.html
18. A l-Ani A. Amelanotic melanoma. DermNet. January 2018. Accessed August 28,
2024. https://dermnetnz.org/topics/amelanotic-melanoma
19. Shetty A, Kumar SA, Geethamani V, Rehan M. Amelanotic melanoma masquerading as a superficial small round cell tumor: a diagnostic challenge. Indian J Dermatol. 2014;59(6):631. doi:10.4103/0019-5154.143569
20. Basal cell carcinoma. Mayo Clinic. October 1, 2021. Accessed August 28, 2024. https://www.mayoclinic.org/diseases-conditions/basal-cell-carcinoma/ symptoms-causes/syc-20354187
21. Ramezani M, Mohamadzaheri E, Khazaei S, et al. Comparison of EMA, CEA, CD10 and Bcl-2 biomarkers by immunohistochemistry in squamous cell carcinoma and basal cell carcinoma of the skin. Asian Pac J Cancer Prev. 2016;17(3):1379-1383. doi:10.7314/apjcp.2016.17.3.1379
22. Merkel cell carcinoma treatment. National Cancer Institute. June 25, 2021. Accessed August 28, 2024. https://www.cancer.gov/types/skin/patient/merkel-cell-treatment-pdq
23. Ly TY, Walsh NM. Merkel cell carcinoma. PathologyOutlines.com. April 11, 2024. Accessed August 28, 2024. https://www.pathologyoutlines.com/topic/skintumornonmelanocyticmerkelcell.html
24. Zahn J, Chan MP, Wang G, et al. Altered Rb, p16, and p53 expression is specific for porocarcinoma relative to poroma. J Cutan Pathol. 2019;46(9):659-664. doi:10.1111/cup.13480
25. Ritter AM, Graham RS, Amaker B, Broaddus WC, Young HF. Intracranial extension of an eccrine porocarcinoma. Case report and review of the literature. J Neurosurg. 1999;90(1):138-140. doi:10.3171/jns.1999.90.1.0138
26. Le NS, Janik S, Liu DT, et al. Eccrine porocarcinoma of the head and neck: meta-analysis of 120 cases. Head Neck. 2020;42(9):2644-2659. doi:10.1002/hed.26178
27. Wang LS, Handorf EA, Wu H, Liu JC, Perlis CS, Galloway TJ. Surgery and adjuvant radiation for high-risk skin adnexal carcinoma of the head and neck. Am J Clin Oncol. 2017;40(4):429-432. doi:10.1097/COC.0000000000000178
28. Fionda B, Di Stefani A, Lancellotta V, et al. The role of postoperative radiotherapy in eccrine porocarcinoma: a multidisciplinary systematic review. Eur Rev Med Pharmacol Sci. 2022;26(5):1695-1700. doi:10.26355/eurrev_202203_28238
29. Barone H, O’Connor DM, Nathan NR, Sowerby L. Porocarcinoma of the ear found to have cutaneous in-transit and regional nodal metastasis: implications for management and importance of clinical examination. Dermatol Surg. 2024;50(1):107-108. doi:10.1097/DSS.0000000000003949
30. McGuire C, Fadel Z, Samargandi O, Williams J. Primary eccrine porocarcinoma of the thumb with multiple metastases: a case report and review of the literature. Case Reports Plast Surg Hand Surg. 2019;6(1):88-91. doi:10.1080/233208 85.2019.1647108
31. Singh A, Nguyen L, Everest S, Vinogradov M. Metastatic porocarcinoma effectively managed by pembrolizumab. Cureus. 2021;13(11):e20004. doi:10.7759/cureus.20004


