What Is This Pink Papule on the Right Knee?
© 2025 HMP Global. All Rights Reserved.
Any views and opinions expressed are those of the author(s) and/or participants and do not necessarily reflect the views, policy, or position of the Dermatology Learning Network or HMP Global, their employees, and affiliates.
Case Report
A 27-year-old woman with a past medical history of hypothyroidism presented to the clinic for concerns of a lesion on her right knee at the site of a previous scar. The lesion recently became painful and began bleeding and oozing. On examination, she was noted to have a 10-mm x 8-mm pink to brown papule on her right knee (Figure 1). No other suspicious lesions were noticed on examination. A skin biopsy was performed.
What is your diagnosis?
Check your answer below
Diagnosis
Hemosiderotic Dermatofibroma
Histologic evaluation was consistent with a diagnosis of hemosiderotic type dermatofibroma. Dermatofibromas, or fibrous histiocytomas, are common benign cutaneous skin lesions that usually develop on the lower extremities.1 Some variants of fibrous histiocytomas include cellular, fibrous, hemosiderotic, aneurysmal, atrophic, lipidized, clear cell, and palisading, potentially making diagnosis a histopathologic challenge.2 Dermatofibromas have the tendency to mimic more aggressive tumors, such as melanomas or dermatofibrosarcomas, so it critical to avoid misdiagnosis.
Clinical Presentation and Histology
Dermatofibromas typically appear as solitary slow-growing, wellcircumscribed dermal nodules less than 1 cm in diameter. They have a distinct reddish, pink, or brown tone; however, they can vary in color and appearance. Dermatofibromas often have a characteristic central depression (“dimple sign”) on lateral pressure, which is helpful in making a clinical diagnosis.3 Lesions are usually asymptomatic, but they have the tendency to itch or become tender and discolored.4 Hemosiderotic fibrous histiocytomas, as seen in our patient, often appear similar to aneurysmal fibrous histiocytomas since they both present as blue-brown discoloration. In comparison, aneurysmal fibrous histiocytomas make up less than 2% of fibrous histiocytomas and can appear to grow rapidly, with increased recurrence rates of up to 19% following incomplete excision.5 Hemosiderotic fibrous histiocytomas will present with increased vascularity and hemosiderin content, which is also representative of an early stage of aneurysmal fibrous histiocytomas. Due to their appearance, aneurysmal and hemosiderotic fibrous histiocytomas are commonly mistaken for melanocytic or vascular tumors and melanoma, respectively.
Dermatofibromas have a predilection to appear on localized trauma sites such as insect bites or vaccine injection sites. Lesions can occur temporarily, with a risk of recurrence, or last a lifetime.6 They are reported to account for 3% of all dermatopathology laboratory specimens and are most common in adults aged 20 to 40 years, with a predominance in women.1 Although dermatofibromas usually appear as singular lesions, the appearance of 15 or more is considered a diagnosis of multiple dermatofibromas. This is often seen among people with autoimmune conditions, such as sarcoidosis or systemic lupus erythematosus.7
Histopathologic Evaluation
Dermatofibromas are often categorized by their histopathologic characteristics. Common subtypes include cellular, aneurysmal, epithelioid, atypical, clear, and palisading. Subcutaneous involvement varies depending on the histologic pattern. For instance, hyperkeratosis and basal layer pigmentation typically occur in the cellular and lipidized variations.2 However, different architectural patterns can co-exist within a singular lesion.8 On histology, fibrous histiocytomas will appear as interlacing fascicles of spindled cells, with varying degrees of fibroblasts, macrophages, and lymphocytic infiltrate. The spindle cells may also take on a “storiform” pattern, appearing as a multicentric swirl with elongated nuclei.6
Some forms can appear sclerotic and have grenz zone, which is an area of papillary dermis that separates healthy cells from tumor pathology.9 Other histologic variants like lipidized dermatofibromas contain foamy macrophages with peripheral sclerotic collagen bundles. Comparably, epithelioid histiocytomas feature a superficial reticular dermis encompassed by epidermal collarette, often mimicking a pyogenic granuloma on histology.10 Atrophic subtypes are notable for the presence of dermal atrophy with low cellularity.2
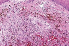
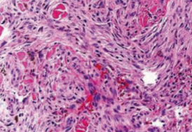
Distinguishing the hemosiderotic type of dermatofibromas from the aneurysmal type can be a challenge and some authors consider these entities to be a spectrum of the same variant (Figure 2 and Figure 3). Hemosiderotic dermatofibromas lack large blood-filled spaces but they also contain hemosiderin and giant cells and are associated with amphophilic cytoplasm, oval nuclei, and collagen trapping.11 Histologically, aneurysmal variants of fibrous histiocytomas will appear as fibroblastic, histiocytic cells with blood-filled spaces. Multinucleated giant cells, foamy cells, and hemosiderin-laden macrophages may also appear on histology.12 As previously mentioned, it is essential to be able to distinguish benign dermatofibromas from more concerning pathologies like dermatofibrosarcomas, which are malignant tumors that contain uniform, bland spindle cells on histology.13
Differential Diagnosis
Differential diagnosis for dermatofibromas includes other benign conditions, such as hemangiomas and keloids (Table). Hemangiomas are benign tumors produced from endothelial cell proliferation that are predominantly seen in infancy. Histologically, they have a multinodular pattern proliferation of endothelial cells and a notable basement membrane.14 Keloids and hypertrophic scars are abnormally thick, firm lesions caused by the overproduction of collagen and extracellular matrix that are distinguished from dermatofibromas by their histologic findings. Keloids appear as random collagen fibers, whereas hypertrophic scars demonstrate more organized collagen fibers.15 More serious pathologies that closely resemble dermatofibromas are dermatofibrosarcoma protuberans and cutaneous melanomas. Aneurysmal fibrous histiocytomas can be confused with angiomatoid fibrous histiocytomas, a benign, subcutaneous neoplasm associated with the EWSR1-CREB1 gene mutation.16 Patients with the latter unrelated condition will have systemic symptoms and prominent lymphoplasmacytic infiltration.
Treatment
Dermatofibromas have an excellent prognosis, with some lesions even regressing on their own.6 For more bothersome nodules, surgical excision is considered the gold standard for treatment. There is a small potential for recurrence after removal of the original dermatofibroma; however, there is also an extremely low risk of the lesion metastasizing. The recent use of lasers for treating dermatofibromas has provided patients with effective nonsurgical alternatives to surgery. Patients are also more likely to prefer lasers for cosmetic preservation of the area.17 Other options that may be used to treat symptomatic dermatofibromas include liquid nitrogen cryotherapy and intralesional triamcinolone acetonide injections.18 Side effects of these treatments include hyperpigmentation, atrophy, and patient cosmetic dissatisfaction.
Our Patient
The biopsy obtained from our patient was superficial; however, a portion of the lesion remained after the procedure. An additional follow-up appointment was made to excise the lesion entirely to decrease chances of bleeding and minimize risk of recurrence. The final pathology result was consistent with hemosiderotic type dermatofibroma.
Conclusion
Dermatofibromas are benign cutaneous tumors that have an excellent prognosis. They commonly appear on the extremities of young women and have a predilection to occur in the setting of recent insect bites or trauma. There are many histologic variants for clinicians to be aware of in order to exclude more serious malignancies. Surgical excision is the standard for treatment.
References
- Han TY, Chang HS, Lee JHK, Lee WM, Son SJ. A clinical and histopathological study of 122 cases of dermatofibroma (benign fibrous histiocytoma). Ann Dermatol. 2011;23(2):185-192. doi:10.5021/ad.2011.23.2.185
- Alves JVP, Matos DM, Barreiros HF, Bártolo EAFLF. Variants of dermatofibroma—a histopathological study. An Bras Dermatol. 2014;89(3):472-477. doi:10.1590/ abd1806-4841.20142629
- Requena L, Fariña MC, Fuente C, et al. Giant dermatofibroma: a little-known clinical variant of dermatofibroma. J Am Acad Dermatol. 1994;30(5, Part 1):714- 718. doi:10.1016/S0190-9622(08)81500-9
- Milliken M, Smart D, Stolman K. Efficacy of a fractionated 1540-nm erbium glass laser in the treatment of dermatofibromas. J Drugs Dermatol. 2022;21(11):1201-1205. doi:10.36849/JDD.6287
- Gao M, Lin X. Clinic pathological study of aneurysmal fibrous histiocytoma. J Biosci Med. 2019;7(5):1-5. doi:10.4236/jbm.2019.75001
- Myers DJ, Fillman EP. Dermatofibroma. In: StatPearls [Internet]. StatPearls Publishing; 2024.
- Bhabha FK, Magee J, Ng SY, Grills CE, Su J, Orchard D. Multiple clustered dermatofibroma presenting in a segmental distribution. Australas J Dermatol. 2016;57(1):e20-e22. doi:10.1111/ajd.12257
- Zelger BG, Sidoroff A, Zelger B. Combined dermatofibroma: co-existence of two or more variant patterns in a single lesion. Histopathology. 2000;36(6):529-539. doi:10.1046/j.1365-2559.2000.00901.x
- Abbas O, Mahalingam M. The grenz zone. Am J Dermatopathol. 2013;35(1):83-91. doi:10.1097/DAD.0b013e31824feb4e
- Gomez CS, Calonje E, Fletcher CD. Epithelioid benign fibrous histiocytoma of skin: clinico-pathological analysis of 20 cases of a poorly known variant. Histopathology. 1994;24(2):123-129. doi:10.1111/j.1365-2559.1994.tb01290.x
- Lagziel T, Sylvester S, Hultman CS, Asif M. Hemosiderotic dermatofibroma: a rare and atypical variant capable of clinically resembling melanoma. Cureus. 12(1):e6736. doi:10.7759/cureus.6736
- Antony A, Kiran CM, Phansalkar M, Jothi C, Jayakar J. Aneurysmal variant of fibrous histiocytoma—a rare entity known for recurrence. J Clin Diagn Res. 2017;11(6):ED08-ED09. doi:10.7860/JCDR/2017/26524.10080
- Thway K, Noujaim J, Jones RL, Fisher C. Dermatofibrosarcoma protuberans: pathology, genetics, and potential therapeutic strategies. Ann Diagn Pathol. 2016;25:64-71. doi:10.1016/j.anndiagpath.2016.09.013
- Chamli A, Aggarwal P, Jamil RT, Litaiem N. Hemangioma. In: StatPearls [Internet]. StatPearls Publishing; 2024.
- Betarbet U, Blalock TW. Keloids: a review of etiology, prevention, and treatment. J Clin Aesthet Dermatol. 2020;13(2):33-43.
- Bauer A, Jackson B, Marner E, Gilbertson-Dahdal D. Angiomatoid fibrous histiocytoma: a case report and review of the literature. J Radiol Case Rep. 2012;6(11): 8-15. doi:10.3941/jrcr.v6i11.932
- Wang SQ, Lee PK. Treatment of dermatofibroma with a 600 nm pulsed dye laser. Dermatol Surg. 2006;32(4):532-535. doi:10.1111/j.1524-4725.2006.32107.x
- Lamgan SW, Robinson TW. Cryotherapy for dermatofibromas. Clin Exp Dermatol. 1987;12(2):121-123. doi:10.1111/j.1365-2230.1987.tb01878.x


