What Caused These Papules on the Ears?
© 2025 HMP Global. All Rights Reserved.
Any views and opinions expressed are those of the author(s) and/or participants and do not necessarily reflect the views, policy, or position of the Dermatology Learning Network or HMP Global, their employees, and affiliates.
Case Report
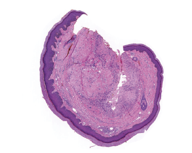
A 56-year-old Asian American man with a history of well-controlled type 2 diabetes presented to dermatology with bumps on his bilateral ears. The lesions have been present for many years and are often tender, especially to palpation. His only medication is metformin. A previous dermatologist treated the lesions with cryotherapy, but this did not improve the symptoms. Examination revealed 2- to 4-mm, firm, crusted, pink-orange papules located on the bilateral ears, with chalky material present below the skin surface. A shave biopsy of the lesion on the left ear was performed.
What is your diagnosis?
Check your answer below
Diagnosis
Nodular Tophaceous Gout
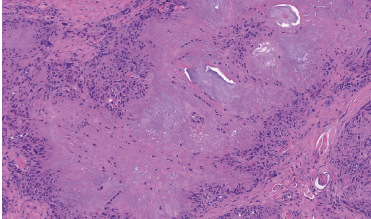
Histologic analysis revealed pink, feathery-appearing amphophilic-staining material, within which needle-shaped clefts were visualized. The diagnosis of gout was confirmed.
Clinical Presentation
Gout is a metabolic disease characterized by hyperuricemia due to increased uric acid production and/or underexcretion (plasma urate > 6.8 mg/dL).1,2 Uric acid is produced as the end product of purine catabolism and excreted renally.3 The worldwide prevalence of gout ranges from 1% to 4% and the incidence is approximately 0.2%, with gout more commonly impacting older men than women.2,3 Dermatologic manifestations of gout resulting from deposits of monosodium urate in the skin include nodular tophi (as in this patient case), draining tophi, and chronic ulcers. Rarer manifestations include disseminated cutaneous gout, marked by widespread tophi at extra-articular body sites; gouty nodulosis, a rare occurrence in individuals without previous acute gouty arthritis and often with normal uric acid levels; miliarial gout, presenting as tiny papules with tophaceous material; panniculitis, featuring indurated subcutaneous nodules in non-joint areas with or without ulcerations; and perforating gout, involving the transepidermal elimination of urate deposits.3
Tophi occur when large deposits of monosodium urate crystals surrounded by foreign-body giant cells accumulate around joints, cartilage, ligaments, or less commonly on soft tissues like the earlobe or fingertips.3 While the majority of gouty tophi cases present in the first metatarsophalangeal joint of the big toe (a manifestation referred to as podagra), gouty tophi in the head and neck region are most commonly found on the ears, specifically the helical rims.3,4 These lesions typically present as hard, chalk-like, yellow-white colored papules.4 Superficial tophi can ulcerate through the dermal and epidermal layers of the skin. Gouty tophi lesions of the ear are typically well circumscribed without surrounding erythema, and patients may or may not experience tenderness.4 While most patients with gout experience gouty arthritis, it is possible for patients to present with gouty tophi of the ear and/or soft tissues without any previous symptoms of gouty arthritis, making this diagnosis easily missed.
Histology
Histologic findings of gouty tophi include aggregates of needle-shaped monosodium urate crystals that are surrounded by reactive fibroblasts, giant cells, and inflammatory mononuclear cells.3 The correct selection of fixative and staining technique can aid in the histopathologic diagnosis of gouty auricular tophi. Formalin can dissolve urate crystals making them harder to visualize, whereas an ethanol-based fixative preserves the needle-shaped urate crystals and surrounding granulomatous infiltration that are characteristic of a gout diagnosis.4,5 A nonaqueous alcohol staining method that avoids hematoxylin preserves the crystals. Representative histology is shown in Figure 3 and Figure 4.
Additionally, it is important to distinguish gout from pseudogout. Clinically, cutaneous tophi are more commonly seen in patients with gout. Polarizing microscopy is helpful in differentiating gout from pseudogout. The monosodium urate crystals in gout are negatively birefringent under polarizing microscopy, whereas the calcium pyrophosphate crystals seen in pseudogout are positively birefringent.4 Additionally, the urate crystals appear yellow when they are aligned parallel to the axis of the compensator, and they are blue when they are aligned perpendicular.4 These distinctions can aid in the diagnosis of gout.
Differential Diagnosis
In addition to gout, the differential diagnosis for papules on the ear includes actinic keratosis (AK), squamous cell carcinoma (SCC), elastotic nodules, weathering nodules, calcinosis cutis (CC), and chondrodermatitis nodularis helicis (CNH) (Table).
Management and Treatment
Gout can be managed through both pharmacologic interventions and lifestyle modifications. Weight loss, dietary changes to reduce meat and seafood consumption, reduced alcohol consumption, and increased exercise can all be helpful for patients with gout.3 Monitoring the patient’s uric acid levels is crucial. Pharmacologic interventions include nonsteroidal anti-inflammatory drugs, colchicine, corticosteroids, xanthine oxidase inhibitors (allopurinol), and uricosuric drugs (probenecid).3,12
One published case report showed successful removal of bilateral gouty auricular tophi using a 3-mm disposable curette until no chalky deposition remained visible.13 At the 1.5 year checkup, the patient had not experienced recurrent tophi lesions despite uncontrolled serum uric acid levels, showing that curettage is an acceptable treatment method for tophaceous gout.13 If cosmetic deformity is of concern or the patient is experiencing hearing impairment, surgical excision under local anesthesia has also been shown to be an effective treatment.14,15 Hemodialysis may also be a useful intervention by reducing serum uric acid levels.14
Tophi usually resolve with urate-lowering therapies but may take up to 30 months for visible size reduction.4 However, one study reported with moderate-certainty evidence that biweekly or monthly treatment with pegloticase for 6 months can lead to resolution of tophi lesions.14
Gout is typically not life-threatening, but can significantly impact quality of life, especially for patients who experience painful cutaneous gouty tophi. All patients should be evaluated for symptoms of undiagnosed gouty arthritis and/or urate nephropathy, which would prompt more aggressive management to prevent long-term consequences.
Our Patient
Dermoscopy revealed light pink nodules, with multiple white-yellow globules perforating through the epidermis. The diagnosis of nodular gouty tophus was made based on clinical presentation, and biopsy was performed for histopathologic confirmation. Shave removal of the lesion also provided significant symptomatic relief. The patient declined further treatment but was referred to a primary care physician for uric acid evaluation and gout management as needed.
Conclusion
Gout is a metabolic disease characterized by hyperuricemia. It most commonly presents as acute arthritis or gouty tophi lesions of the big toe but can also occasionally present as chalk-like tophi on the ear. Not all patients with gout present with arthritis symptoms, which can make cutaneous gout an easily misdiagnosed condition. Diagnosis relies heavily on histologic findings, which consist of negatively birefringent, needle-shaped monosodium urate crystals. While SCC is important to include on the differential as a must-rule-out diagnosis, the presence of bilateral and nearly symmetric lesions likely indicates a systemic process or depositional disorder like gout or CC instead. Treatment of cutaneous gout consists of urate-lowering medications. Procedures, such as curettage and surgical excision, have also shown to be effective in some cases. Although gouty tophi are not typically life-threatening, these lesions can have a significant impact on patients’ self-confidence and quality of life, making it imperative that they receive appropriate medical diagnosis and treatment.
Reference
1. Bell D. Ear: external, middle, and temporal bone. In: Gnepp DR, Bishop JA, eds. Gnepp’s Diagnostic Surgical Pathology of the Head and Neck. 3rd ed. Elsevier; 2020:927-972.
2. Pradhan S, Sinha R, Sharma P, Sinha U. Atypical cutaneous presentation of chronic tophaceous gout: a case report. Indian Dermatol Online J. 2020;11(2): 235-238. doi:10.4103/idoj.IDOJ_205_19
3. Kumar V, Abbas AK, Aster JC. Robbins and Cotran Pathologic Basis of Disease. 10th ed. Elsevier; 2021:1146-1148,1204-1206.
4. Chabra I, Singh R. Gouty tophi on the ear: a review. Cutis. 2013;92(4):190-192.
5. Maize JC, Maize JC Jr, Metcalf J. Metabolic diseases of the skin. In: Elder DE, Elenitsas R, Johnson BL Jr, Murphy GF, Xu G, eds. Lever’s Histopathology of the Skin. 10th ed. Lippincott Williams & Wilkins; 2008:425-458.
6. Yanofsky VR, Mercer SE, Phelps RG. Histopathological variants of cutaneous squamous cell carcinoma: a review. J Skin Cancer. 2011;2011:210813. doi:10.1155/2011/210813
7. Kelly HR, Curtin HD. Chapter 2 squamous cell carcinoma of the head and neck—imaging evaluation of regional lymph nodes and implications for management. Semin Ultrasound CT MR. 2017;38(5):466-478. doi:10.1053/j. sult.2017.05.003
8. Weedon D. Elastotic nodules of the ear. J Cutan Pathol. 1981;8(6):429-433. doi:10.1111/j.1600-0560.1981.tb01032.x
9. Udkoff J, Cohen PR. A report of 10 Individuals with weathering nodules and review of the literature. Indian J Dermatol. 2016;61(4):433-436. doi:10.4103/0019-5154.185715
10. Le C, Bedocs PM. Calcinosis cutis. In: StatPearls (Internet). StatPearls Publishing; 2023.
11. Kasitinon SY, Vandergriff T. Chondrodermatitis nodularis nasi. J Cutan Pathol. 2020;47(11):1046-1049. doi:10.1111/cup.13786
12. Chang HJ, Wang PC, Hsu YC, Huang SH. Gout with auricular tophi following anti-tuberculosis treatment: a case report. BMC Res Notes. 2013;6:480. doi:10.1186/1756-0500-6-480
13. Elam A, McCleskey PE. Curettage as an acceptable treatment for gouty tophi on the ear. JAMA Dermatol. 2013;149(2):245-246. doi:10.1001/jamadermatol.2013.804
14. Sriranganathan MK, Vinik O, Bombardier C, Edwards CJ. Interventions for tophi in gout. Cochrane Database Syst Rev. 2014;(10):CD010069. doi:10.1002/14651858.CD010069.pub2
15. Kasper IR, Juriga MD, Giurini JM, Shmerling RH. Treatment of tophaceous gout: when medication is not enough. Semin Arthritis Rheum. 2016;45(6): 669-674. doi:10.1016/j.semarthrit.2016.01.005


