Stage II Hodgkin Lymphoma and Bleomycin-Induced Flagellate Rash
A 20-year-old Caucasian woman presented to the clinic with an 8-month history of progressive, worsening pruritus. She was previously diagnosed with atopic dermatitis and treated with dupilumab, triamcinolone 0.025%, and antihistamines with no relief. Review of systems revealed heat intolerance, extreme fatigue, recent unexplained weight loss of 25 lbs, wheezing, and coughing. Her only other medication was oral contraceptive medication. Physical examination revealed no primary lesions but many excoriations. Initial differential diagnoses included Hodgkin disease vs thyroid disease vs other causes for occult pruritus. We ordered a comprehensive metabolic panel, complete blood cell count, erythrocyte sedimentation rate, thyroid stimulating hormone, antinuclear antibody panel, urinalysis, and a chest X-ray. We added gabapentin 300 to 600 mg by mouth once daily at bedtime to help relieve some of the pruritus while the tests were pending, although she reported not getting much relief.
Laboratory evaluation revealed low vitamin D, but otherwise was within normal limits. The chest X-ray was significant for enlarged mediastinal lymph nodes, revealing a 13-cm mass. Later scans also revealed enlarged lymph nodes in the neck. She was referred to oncology who ordered a positron emission tomography (PET) scan, pulmonary function test, echocardiogram, and lymph node biopsy. Based on the lymph node biopsy, she was diagnosed with stage II Hodgkin lymphoma. She was treated with 4 rounds of ABVD (adriamycin, bleomycin, vinblastine, dacarbazine) chemotherapy. With a repeat PET scan showing improvement, her oncologist opted to remove bleomycin from the regimen for her remaining 4 treatments due to concern for common cardiac adverse reactions. Due to the location of the mass being substernal anatomically, there was concern for using a localized radiation therapy in the area and potential development of breast cancer.
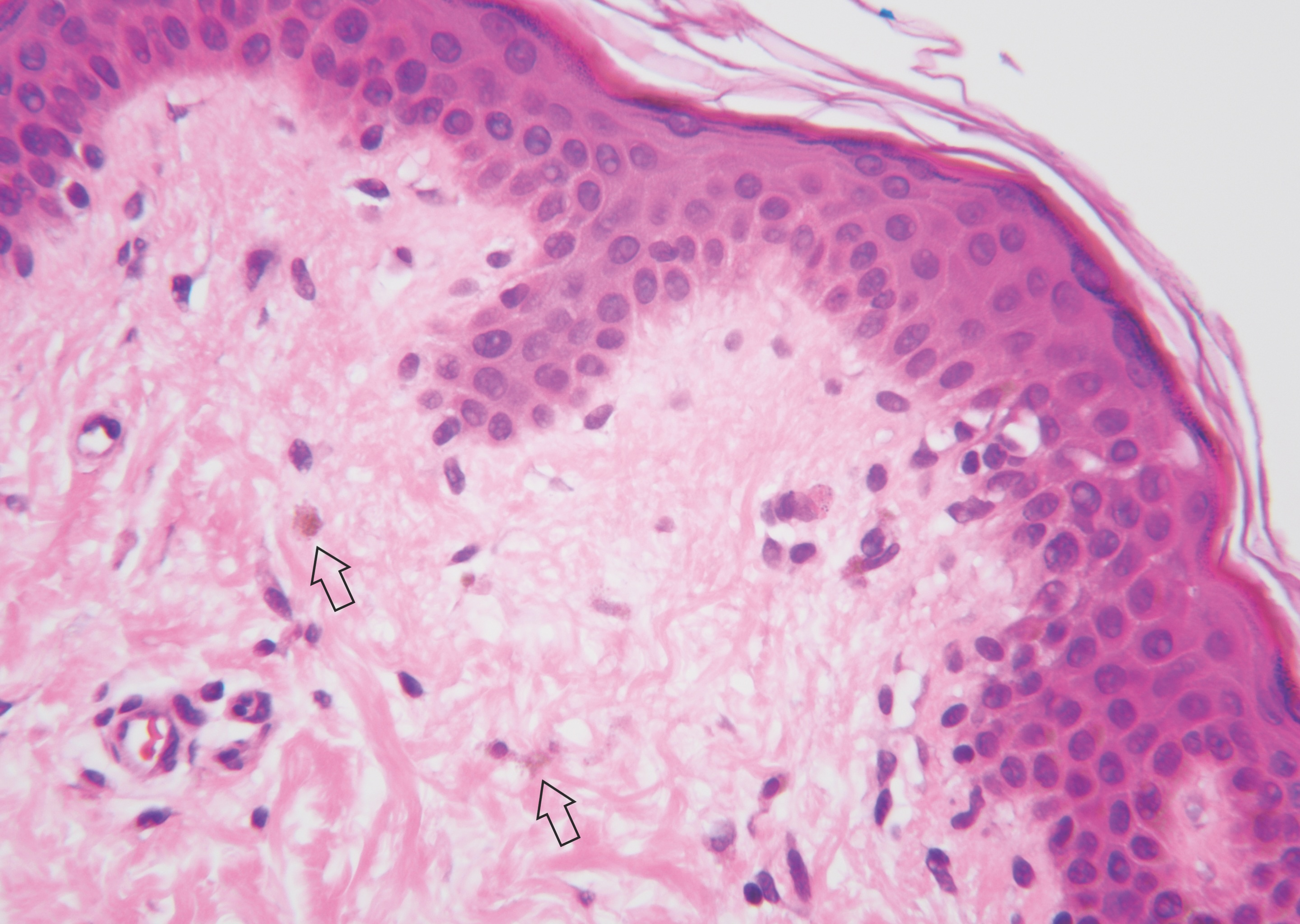
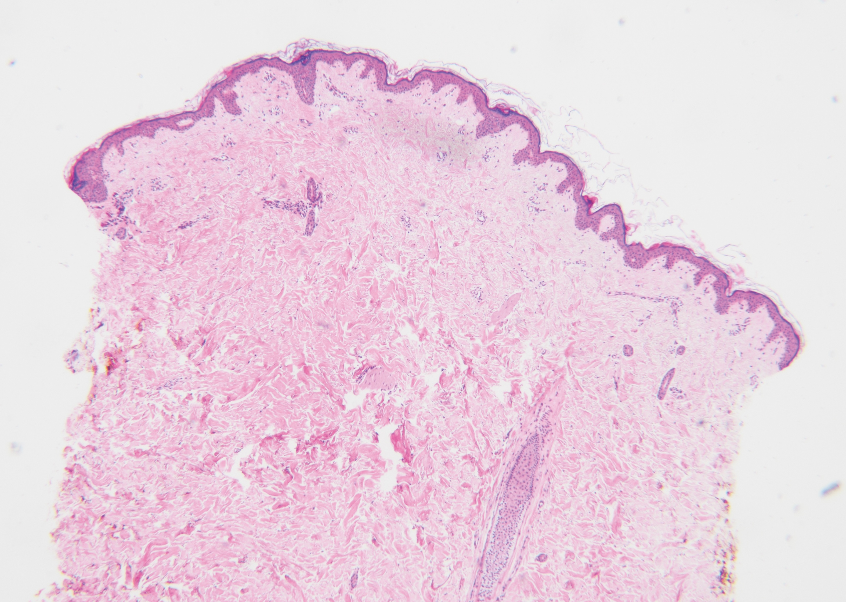
Approximately 1 year later, the patient returned to the clinic with a “new brown rash” on her body (Figures 1–3). Physical examination revealed flagellate hyperpigmentation generalized on her body, including along the bilateral anterior surface of the upper extremities, the bilateral surfaces of the lower extremities, and markedly on the abdomen. It appeared accentuated in areas of UV exposure. We performed a 3-mm punch biopsy. Pathology reflected pigmentation alterations, which we attributed to drug-induced changes resulting from the administered bleomycin (Figure 4 and Figure 5). We prescribed a topical agent containing hydroquinone 8% to attempt to lighten the affected areas of skin, encouraged the use of sunscreen, and referred her to a pigment specialist.
Discussion
This case highlights that new onset of pruritus and weight loss in a healthy young person should prompt us to look for underlying causes of itch. While Hodgkin lymphoma has a relatively high cure rate of 80%1 and has been in the literature since the 1940s, its presentation with pruritus can be confused with numerous other conditions, such as the initial diagnosis of atopic dermatitis, as was the case for our patient. Often, pruritus is the only presenting symptom,2 making diagnosis a challenge without appropriate awareness.
In reviewing the literature, we find that Hodgkin disease often occurs in young people, those in immunocompromised states, or those with previous Epstein-Barr virus infections. A peripheral smear often demonstrates both multinuclear Hodgkin Reed-Sternberg cells and typical leukocytes.3 Thirty percent of people affected with Hodgkin disease will experience bothersome generalized paraneoplastic pruritus, possibly due to increased neurokinin 1 receptors (NK-1R) within keratinocytes.3 The main ligand of the receptor is substance P, which is thought to mediate the pruritic aspect of the pathophysiology. Theoretically, the use of a NK-1R antagonist, such as aprepitant, could be valuable. Aprepitant has been used for other cases of paraneoplastic pruritus and chemotherapy-related nausea and vomiting.4,5
Although the literature does not mention the use of gabapentin for the itching commonly seen in Hodgkin lymphoma specifically, studies have shown that dosing gabapentin from 900 to 2400 mg daily can be effective in treating pruritus in cutaneous T-cell lymphoma.6 Some patients may need mirtazapine substitution doses of 7.5 to 15 mg, a medication that is typically used as an antidepressant.6 Our patient responded somewhat to gabapentin 300 to 600 mg at bedtime throughout the diagnosis process. Effectively managing pruritus throughout the course of the condition can improve the patient’s quality of life.
The presentation of unexplained pruritus and lack of improvement on dupilumab, alongside associated symptoms of weight loss, wheezing, coughing, and fatigue, proved to be concerning for lymphoma, and the chest X-ray and subsequent biopsy confirmed suspicions. Standard treatment of Hodgkin lymphoma includes 8 rounds of ABVD and radiation, which provide a high cure rate.7
Our patient presented a year after her last treatment with a flagellate rash on her trunk and extremities. Biopsy revealed a drug-induced pigmentation alteration. The literature has shown bleomycin-induced flagellate erythema in 8% to 22% of patients at administration to 9 weeks post administration (some data link the cumulative dose of 150 to 200 U as the trigger). This is likely due to the lack of bleomycin hydrolase, a cytosolic cysteine proteinase enzyme needed to remove the bleomycin in the skin and lungs, leaving behind a characteristic intermingled, lacy-appearing eruption with some degree of dermatographia, which our patient did not experience.8,9
While treating a mixed germ cell tumor with bleomycin in a 10-year-old patient, one study noticed a similar flagellate rash as described here, and started her on antihistamines and topical steroids.8 Symptoms improved to an extent, but the associated erythema subsided to leave postinflammatory hyperpigmentation and worsening of the rash during bleomycin administration.8 Heat-induced recall was also shown to cause recurrence, so the team cooled their patient before bleomycin administration and did not have any subsequent exacerbations of the rash at the time of the publication.8
Our patient reported the rash being worse with UV exposure, suggesting a possible heat-induced recall phenomenon. We encouraged sun protection to lessen UV exposure. We also chose to attempt a lightening regimen to the skin using 8% solution of hydroquinone, to which our patient did not respond. Some other reported bleomycin-associated skin changes include peeling, hyperkeratosis, nail bed changes, Raynaud phenomenon, and palmoplantar desquamation, with resolution after stopping bleomycin and using topical steroids.9 Our patient was spared these presentations, possibly due to limited administration of bleomycin. The pigmentation in our patient continued to worsen even after discontinuing the bleomycin. The referred skin pigmentation specialist advised that only time would bring complete resolution.
Conclusion
Generalized pruritus and weight loss are highly concerning in young patients. We present this case of an 8-month worsening itch that ultimately led us to a chest X-ray and an oncologist’s diagnosis of Hodgkin lymphoma. Misdiagnosis and invalidation of symptoms in young people can have detrimental effects, including depression and suicidal thoughts, which can be easily avoided with awareness and attention. Health care providers should be aware of these presenting factors, treatment options during their time treating these patients, and potential adverse skin eruptions in response to chemotherapy agents. Being cognizant of this will allow for the most effective interdisciplinary treatment regimen and a better quality of life for the patient during and following this potentially vulnerable time.
Danielle Randolph is a second-year medical student at the Arkansas College of Osteopathic Medicine in Fort Smith, AR. Dr Johnson is in private practice in Fort Smith, AR. Dr Janda is an AP/CP pathology resident at the University of Arkansas for Medical Sciences College of Medicine in Little Rock, AR.
Disclosure: Dr Johnson has received grants/research funding, fees, or honoraria from AbbVie, Amgen, Arcutis, Arkansas College of Osteopathic Medicine, BioMetrix, Bristol-Myers Squibb, Cara Therapeutics, Castle Biosciences, Concert, Dermavant Sciences, Galderma Research & Development, Incyte Corporation, Innovaderm Research, Janssen Pharmaceuticals, Kansas Foundation, LEO Pharma, Lilly, National Psorasis Foundation, Nielsen Biosciences, Novartis, Regeneron, Sanofi, Takeda Pharmaceuticals, TARGET Pharma, Type IV Technologies, and University of Arkansas for Medical Services. Danielle Randolph and Dr Janda report no relevant financial relationships.
References
1. Kaseb H, Babiker HM. Hodgkin lymphoma. In: StatPearls [Internet]. StatPearls Publishing; 2022.
2. Amy de la Bretèque M, Bilan P, Galesowski A, et al. Prurit sévère révélant un lymphome de Hodgkin chez l’enfant : deux observations [Two cases of severe pruritus revealing Hodgkin’s disease in children]. Ann Dermatol Venereol. 2014;141(12):765-768. doi:10.1016/j.annder.2014.09.004
3. Flerlage JE, Hiniker SM, Armenian S, et al. Pediatric Hodgkin lymphoma, version 3.2021. J Natl Compr Canc Netw. 2021;19(6):733-754. doi:10.6004/jnccn.2021.0027
4. Villafranca JJ, Siles MG, Casanova M, Goitia BT, Domínguez AR. Paraneoplastic pruritus presenting with Hodgkin’s lymphoma: a case report. J Med Case Rep. 2014;8:300. doi:10.1186/1752-1947-8-300
5. He A, Alhariri JM, Sweren RJ, Kwatra MM, Kwatra SG. Aprepitant for the treatment of chronic refractory pruritus. Biomed Res Int. 2017;2017:4790810. doi:10.1155/2017/4790810
6. Demierre MF, Taverna J. Mirtazapine and gabapentin for reducing pruritus in cutaneous T-cell lymphoma. J Am Acad Dermatol. 2006;55(3):543-544. doi:10.1016/j.jaad.2006.04.025
7. Engert A, Franklin J, Eich HT, et al. Two cycles of doxorubicin, bleomycin, vinblastine, and dacarbazine plus extended-field radiotherapy is superior to radiotherapy alone in early favorable Hodgkin’s lymphoma: final results of the GHSG HD7 trial. J Clin Oncol. 2007;25(23):3495-3502. doi:10.1200/JCO.2006.07.0482
8. Changal KH, Raina H, Changal QH, Raina M. Bleomycin-induced flagellate erythema: a rare and unique drug rash. West Indian Med J. 2014;63(7):807-809. doi:10.7727/wimj.2014.060
9. Agrawal C, Talwar V, Saini R, Babu P. Flagellate rash: an unusual complication of bleomycin therapy—a case report with brief review of literature. Indian J Med Paediatr Oncol. 2017;38(4):548-551. doi:10.4103/ijmpo.ijmpo_147_16


