Eosinophilic Granulomatosis With Polyangiitis
© 2025 HMP Global. All Rights Reserved.
Any views and opinions expressed are those of the author(s) and/or participants and do not necessarily reflect the views, policy, or position of the Dermatology Learning Network or HMP Global, their employees, and affiliates.
Eosinophilic granulomatosis with polyangiitis (EGPA), formerly known as Churg-Strauss syndrome, is a rare antineutrophil cytoplasmic antibody (ANCA)-associated vasculitis. A combination of high-dose corticosteroids and cyclophosphamide was traditionally implemented in the treatment of severe cases; however, the unfavorable side effects of prolonged steroid use and cyclophosphamide have prompted exploration of alternative therapies. There is now emerging evidence to support the utilization of rituximab for management of EGPA. We report a case of a 46-year-old man diagnosed with EGPA. His cutaneous and respiratory symptoms resolved within 1 week of initiating a prolonged oral prednisone taper alongside rituximab IV infusions. His peripheral neuropathy advanced to unilateral foot drop secondary to vasculitic complications but has since gradually improved. To date, cutaneous and pulmonary symptoms have resolved, and he remains symptom free 1 year after diagnosis.
Case Presentation
A 46-year-old man with a history of asthma, recurrent sinusitis, and recent community-acquired pneumonia was admitted for fevers, shortness of breath, and bilateral numbness and tingling of his distal lower extremities of several weeks’ duration. He was treated previously for pneumonia in the outpatient setting without resolution of his symptoms. A computed tomography scan of the chest revealed bilateral pulmonary infiltrates with hilar lymphadenopathy. He was diagnosed with multifocal pneumonia and started on vancomycin, cefepime, and azithromycin. The inpatient laboratory workup was notable for a significant leukocytosis of 25.4 K/mcL (4.0 to 10.0 K/mcL), absolute eosinophilia of 11.98 K/mcL (0 to 0.7 K/mcL), p-ANCA positivity with a titer of 1:320 (<1:20), and a positive antimyeloperoxidase antibody. Antinuclear antibodies were negative.
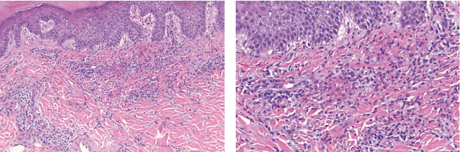
While hospitalized, the patient noted new-onset, asymptomatic, violaceous papules and petechiae on the bilateral lower extremities and left foot (Figure 1 and Figure 2). A punch biopsy of the left foot revealed leukocytoclastic vasculitis with eosinophilic predominance (Figure 3 and Figure 4). A sural nerve biopsy was significant for a decreased density of myelinated fibers, with background interstitial large arteriole granulomatous necrotizing vasculitis. A diagnosis of EGPA was made. The patient lacked ear, nose, and throat manifestations. Based on a Five-Factor Score of 1, the patient fell into the severe disease category, making him a compelling candidate for rituximab in addition to corticosteroids. The patient was started on a prolonged prednisone taper, initially at 60 mg then tapered down by 10 mg every month. He concomitantly began outpatient rituximab IV infusions at a dose of 1000 mg. He had 2 infusions that were 15 days apart, with repeat administrations planned at 6-month intervals. Following his first round of rituximab infusions, the patient had full cutaneous and pulmonary recovery, evidenced by a clearance of skin lesions and resolution of pulmonary symptoms; however, his distal neuropathy progressed to a unilateral foot drop. Electromyography confirmed that this development was due to vasculitic neuropathy. The patient continued a prednisone taper and had slow improvement in his distal dysesthesias. The foot drop was managed with an orthopedic boot. At the time of writing this case report, he is on low-dose prednisone 2.5 mg daily and continues on rituximab IV infusions every 6 months. His cutaneous and pulmonary remission persists.
Discussion
EGPA is a multisystemic, immune-mediated disease that impacts small and medium vessels.1-4 It is further characterized by delayed-onset asthma, as well as blood and tissue eosinophilia, distinguishing it from granulomatosis with polyangiitis (GPA) and microscopic polyangiitis (MPA).1,3,4 The annual incidence of EGPA is estimated between 0.5 and 4.2 cases per million, and the mean age at onset is roughly 38 to 54 years old.1,3 There is no distinct gender or ethnic predilection.3
Partly due to its relatively low incidence, the pathogenesis of EGPA is not completely characterized. It is hypothesized that an inflammatory cascade is triggered by the interaction of complex genetic and environmental factors, ultimately leading to tissue damage.2 Genetic determinants supported by strong evidence include HLA-DRB1*04, HLA-DRB1*07, HLA-DRB4, and the IL10.2 haplotype of the IL-10 promoter gene. Additionally, current research has implicated Th-2 pathway activation, humoral immune system involvement, eosinophil proliferation, and increased IgG4 levels in the development of EGPA. Allergens and antigens, such as infections, vaccinations, and medications, may induce these responses.2,3
Clinically, EGPA has a variety of manifestations, making it difficult to define. Approximately 30% to 70% of patients with EGPA are ANCA positive, which is less frequent than other forms of ANCA-associated vasculitides (AAV).3,4 Two central phenotypes are outlined based on the presence or absence of ANCA.1,5 Patients in the ANCA-positive subset often present with features of vasculitis, including palpable or retiform purpura, glomerulonephritis, and peripheral neuropathy (mononeuritis multiplex).1,3,5 In contrast, ANCA-negative patients tend to exhibit cardiomyopathy-associated heart failure, lung infiltrates, and gastrointestinal symptoms, such as nonspecific abdominal pain, diarrhea, and hematochezia, linked to hypereosinophilia.1,3
It is now widely recognized that EGPA progresses through 3 sequential, frequently overlapping stages, beginning with a prodromal (allergic) phase.2 This phase is differentiated by adult-onset asthma without expected seasonal changes, chronic recurrent rhinosinusitis, nasal polyps, and constitutional symptoms.1-3 An eosinophilic phase then follows, preceding a vasculitic phase; these latter phases might be absent depending on ANCA positivity.1 About 50% of patients will be impacted by skin changes, including hemorrhagic lesions, nodules, and papules that are classically on the scalp, trunk, or extensor surfaces bilaterally.3,6 Patients can also experience serous or purulent otitis media, unilateral facial palsy, gradual sensorineural hearing loss, urticaria, livedo reticularis, and erythematous macules.1,3
Histology of cutaneous lesions is variable and depends on clinical presentation and timing of biopsy. Skin punch or excisional biopsies should extend to subcutaneous tissue and be chosen from a site with a new (less than 48 hours old) erythematous or purpuric lesion that is symptomatic.6 Extravascular granulomas are a common feature. Early lesions demonstrate focal degeneration of collagen in association with a mixed inflammatory cell infiltrate of neutrophils, lymphocytes, and histiocytes. Eosinophils may be abundant or sparse, with or without leukocytoclasis. As the lesion progresses, granulomas become more mature in appearance, consisting of a central zone of collagen necrosis with a surrounding peripheral palisade of epithelioid giant cells. Fibrinoid necrosis of superficial small blood vessels can be observed.7
The differential includes other AAV, namely GPA and MPA, hypereosinophilic syndrome (HES), allergic bronchopulmonary aspergillosis (ABPA), and chronic eosinophilic pneumonia. No exclusive diagnostic biomarker for EGPA is available, making the diagnostic distinguishment among these entities important.4 EGPA is typically the only type of AAV with concomitant asthma and can aid in the diagnosis. Like EGPA, GPA may have minor eosinophilia, but proteinase-3 ANCA specificity, pulmonary cavitated nodules, nasal crusting, and paranasal sinus erosions are more specific to GPA. In contrast to EGPA, MPA will lack eosinophilia, affect older populations, and is associated with more critical renal involvement.2 HES is another consideration in a patient with peripheral eosinophilia, but typically does not have an association with asthma, vasculitis, or ANCA positivity.2,3 When respiratory symptoms and eosinophilia predominate, aspergillus fumigatus is a consideration; however, sputum cultures and bronchoalveolar lavage can help rule out ABPA.2,4 In contrast, chronic eosinophilic pneumonia would not be expected to alter organ function beyond the respiratory system and is ANCA negative.2
Before the use of systemic corticosteroids, EGPA was fatal for nearly all patients.5 Due to its rarity, heterogeneous manifestations, and multifaceted pathogenesis, EGPA is not well understood. Consequently, effective management options are presently limited.1 Corticosteroids alone or in combination with immunosuppressant medications such as cyclophosphamide have significantly augmented remission rates and decreased disease-related deaths. Corticosteroids in conjunction with cyclophosphamide have traditionally been considered the gold standard for treatment of severe EGPA.2,3,5 Unfortunately, the adverse events associated with extended courses of corticosteroids and potentially significant toxicity of cyclophosphamide, including hemorrhagic cystitis and risk of transitional cell carcinoma, pose significant challenges in maintaining remission in patients.1 Additionally, relapse rates of vasculitic complications in EGPA remain elevated at around 40% within 5 years. Thus, EGPA is considered a challenging chronic disease that requires maintenance therapy post remission.5
In recent years, studies have increasingly shown rituximab and mepolizumab to be efficacious alternatives to corticosteroids and cyclophosphamide.2,3,5 Rituximab is a chimeric monoclonal antibody directed against the CD20 antigen on the surface of Blymphocytes, resulting in B-cell depletion.1,2,4 Literature endorsing rituximab as an initial treatment for EGPA is limited as most published studies examine outcomes in instances of refractory or relapsing disease.7-9 Additionally, rituximab as a first-line agent appears to be most effective for those who test positive for ANCA due to greater remission rates in these patients.8 Once a week IV infusion of rituximab 375 mg/m2 for 4 weeks or 1000 mg infused twice 15 days apart is now considered a first-line treatment option for remission induction and maintenance in patients with AAV.5,8 Available data support high response rates (complete or partial remission) and an acceptable safety profile.8-10
A small number of case reports endorse omalizumab as an adjunct therapy for severe corticosteroid-resistant EGPA-associated asthma.3,5 Intravenous immunoglobulins and plasma exchanges are potential add-on therapies requiring further exploration.3-5 Other anti-interleukin (IL) 5 agents, as well as IL-4 and IL-13 inhibitors, continue to be investigated.5 Patient education regarding the appropriate administration of medications is crucial.
Conclusion
Our patient demonstrated a classic case of EGPA that responded to corticosteroids and first-line rituximab IV infusions. This case is an important demonstration of a first-line alternative with an acceptable safety profile compared to the prior gold standard treatment of corticosteroids and cyclophosphamide. Once a week IV infusion of rituximab 375 mg/m2 for 4 weeks or 1000 mg infused twice 15 days apart appears to be a safe and effective first-line therapy for treatment and maintenance in patients with EGPA.5,8 Notably, a better response to rituximab can likely be achieved in patients with ANCA-positive EGPA. Relapse of vasculitic complications in patients with EGPA is common, highlighting the importance of maintenance therapy with steroid-sparing immunosuppressive agents and further supporting the use of rituximab in these populations.
References
-
White J, Dubey S. Eosinophilic granulomatosis with polyangiitis: a review. Autoimmun Rev. 2023;22(1):103219. doi:10.1016/j.autrev.2022.103219
-
Gioffredi A, Maritati F, Oliva E, Buzio C. Eosinophilic granulomatosis with polyangiitis: an overview. Front Immunol. 2014;5:549. doi:10.3389/fimmu.2014.00549
-
Greco A, Rizzo MI, De Virgilio A, et al. Churg-Strauss syndrome. Autoimmun Rev. 2015;14(4):341-348. doi:10.1016/j.autrev.2014.12.004
-
Groh M, Pagnoux C, Baldini C, et al. Eosinophilic granulomatosis with polyangiitis (Churg-Strauss) (EGPA) Consensus Task Force recommendations for evaluation and management. Eur J Intern Med. 2015;26(7):545-553. doi:10.1016/j. ejim.2015.04.022
-
Raffray L, Guillevin L. Updates for the treatment of EGPA. Presse Med. 2020;49(3):104036. doi:10.1016/j.lpm.2020.104036
-
Tabb ES, Duncan LM, Nazarian RM. Eosinophilic granulomatosis with polyangiitis: cutaneous clinical and histopathologic differential diagnosis. J Cutan Pathol. 2021;48(11):1379-1386. doi:10.1111/cup.14065
-
Allergic granulomatosis with angiitis. In: McKee P, Calonje JE, Brenn T, Lazar AJ. McKee’s Pathology of the Skin. 4th ed. Elsevier Saunders; 2012:678.
-
Mohammad AJ, Hot A, Arndt F, et al. Rituximab for the treatment of eosinophilic granulomatosis with polyangiitis (Churg-Strauss). Ann Rheum Dis. 2016;75(2):396-401. doi:10.1136/annrheumdis-2014-206095
-
Thiel J, Hässler F, Salzer U, Voll RE, Venhoff N. Rituximab in the treatment of refractory or relapsing eosinophilic granulomatosis with polyangiitis (ChurgStrauss syndrome). Arthritis Res Ther. 2013;15(5):R133. doi:10.1186/ar4313
-
Emmi G, Rossi GM, Urban ML, et al. Scheduled rituximab maintenance reduces relapse rate in eosinophilic granulomatosis with polyangiitis. Ann Rheum Dis. 2018;77(6):952-954. doi:10.1136/annrheumdis-2017-211897


