Treating a Rare Fibroma of Tendon Sheath at the Anterior Ankle
© 2024 HMP Global. All Rights Reserved.
Any views and opinions expressed are those of the author(s) and/or participants and do not necessarily reflect the views, policy, or position of Podiatry Today or HMP Global, their employees, and affiliates.
Fibroma of the tendon sheath (FTS) is a benign neoplasm, most commonly presenting in the upper extremities. Scant literature and rare reports are available on this tumor pathology in the foot and ankle since its first description in 1936 by Gechikter and Copeland.1 It is a rare, slow growing, benign neoplasm arising from the synovium of a tendon sheath.2 There is a predominance in young, adult males.3 As mentioned, FTS is most common in the upper extremities including the fingers (48%), hands (25%), and wrists (10%).4
In the largest case series in the literature, Chung and Enzinger5 reported that in 138 patients, 98% occurred in the fingers, hands, or wrist. Less than 5% of cases have been reported in large joints.4 Of these, the most commonly reported large joint is the knee (74.4%), whereas FTS is rarely reported in the ankle (9.3%).6 The majority of cases in large joints are intra-articular, originating from the joint capsule.6 Ciatti and colleagues7 reported a case of FTS arising from the anteromedial ankle joint capsule. Other reports within the foot and ankle have included locations at the Achilles tendon,8 plantar fascia,9 interdigitally,10 and the flexor hallucis longus tendon.11
Insights on FTS Diagnosis and Treatment
Diagnosis of FTS is based on multiple factors including patient history, clinical findings, advanced imaging, and histopathological findings. Typically, FTS presents between the second and fifth decades in the upper extremities of men, with a male-to-female ratio of 3:1.3,5 Clinically, descriptions of tendon sheath fibroma often characterize it as a slow-growing mass over a period of years that closely adheres to nearby tendons or tendon sheaths.2,3 In large joints specifically, 62.5% of patients will have related pain, 54.2% will have a palpable mass, and 50% will complain of decreased range of motion at the involved joint.6 The size of the mass typically ranges between 0.5–5.5cm, with no reported cases over 7cm. The majority of patients present with an insidious onset of symptoms, with 90% of patients present reporting no history of trauma.3
Imaging studies can assist in the diagnosis and differentiating from other similar masses. Plain film radiographs are usually benign, although there are rare descriptions of bony erosive changes.12 Magnetic resonance imaging (MRI) is useful to differentiate FTS from other soft tissue masses. Typical findings in large joints on T1-weighted images include a well-defined lesion which is hypointense or isointense to muscle.6 T2-weighted images are often more variable in their signal intensity, but most commonly the mass will be hypointense to muscle.6 Ciatti and colleagues7 described a mass within the anterior ankle capsule that displayed a nonuniform low intensity on both T1- and T2-weighted scans. In their case series of 6 patients, Fox and colleagues13 described an isointense or hypointense signal on T1-weighted images in 83% of cases, and 50% of cases showing hypointensity on T2-weighted images.
Macroscopically, FTS appears as a solid, gray-white, well-circumscribed, and lobulated mass. Histopathologic examination can assist with differentiating from similar pathologies and confirm the diagnosis of FTS. Common findings include a predominantly fibrous mass with spindle or stellate-shaped cells similar to fibroblasts in a dense collagenous stroma with slit-like vascular spaces. Giant cells, foam cells, and hemosiderin are rarely present.14
Primary differential diagnoses for FTS at large joints include giant cell tumor of tendon sheath (GCTTS) and nodular fasciitis.6 GCTTS is a localized manifestation of pigmented villonodular synovitis, and has multiple similarities with FTS in size, location and gross appearance. Both arise from tendon or tendon sheaths and may be difficult to grossly differentiate. Additionally, GCTTS often affects a similar population with similar clinical manifestations as FTS. Histopathological examination is an important distinction between the two entities. In contrast to FTS, GCTTS contains histiocytes, synoviocytes, multinucleated giant cells, foam cells, hemosiderin-laden macrophages, collagen and siderophages.14 Interestingly, due to their similarities, Satti and colleagues14 postulated that FTS may represent the end stage of a transitional period for GCTTS. Nodular fasciitis is represented clinically by a rapidly growing, painful mass. Nodular fasciitis originates from the fascia and extends as deep as muscle, with rare intra-articular extension. Both entities have similar histological features, making the diagnosis difficult. However, histological differences include absence of the characteristic vascular pattern visible in FTS, less orderly tissue culture-like growth pattern, more prominent myxoid stroma, and foci of extravasated red blood cells.15
Marginal resection of the mass is usually sufficient for treatment. It is surgeon preference whether to perform the resection open or endoscopically. Suzuki and colleagues6 reviewed 43 cases of FTS in large joints, 23 of which underwent surgical resection. They found no cases of recurrence after surgery. Additionally, they reported performing open resections of tumors larger than 3cm with marginal margins. Ciatti and Mariani7 reported on a case of FTS within the ankle joint capsule excised through an open approach and reported tumor no recurrence. Lui10 reported a case of FTS in the third webspace treated with endoscopic resection. There was no recurrence at 3-year follow-up.
Case Report
We present a case of a patient with a large fibroma of tendon sheath at the anterior ankle, which is a rare occurrence in the literature. There are several unique findings from our case report that could contribute valuable information to clinicians.
A 90-year-old male patient presented to our clinic with a chief complaint of a soft tissue mass at the right anterior ankle that had slowly increased in size over the past year. He denied pain to the lesion and denied neurological changes to the surrounding soft tissues. His past medical history was significant for lung cancer as well as basal cell carcinoma to the forearm. Physical exam revealed a 7 x 7 cm firm, well-adhered soft tissue mass protruding from the right anterior ankle (Figures 1-2).
On physical exam, he was neurovascularly intact. There was no tenderness to palpation of the mass, and ankle joint range of motion was unrestricted with full function and strength of the tibialis anterior and long extensor tendons. The patient only complained of difficulty donning shoe gear. Core biopsies of the mass, taken at an outside facility, revealed a predominantly fibrous, fibrillary hypocellular, low-grade spindle cell lesion with no signs of atypia or mitotic activity. Plain films revealed arterial calcifications but were unremarkable for any osseous erosions.
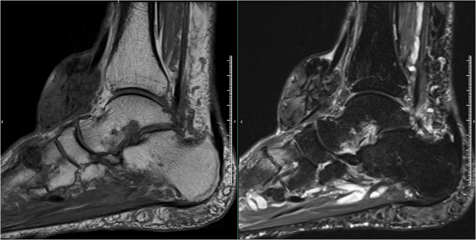
The patient received a referral to our clinic for consideration of soft tissue mass excision. An MRI revealed a 6.0 x 5.8 x 3.1 cm mass at the anterior ankle in close relation to the tibialis anterior and extensor hallucis longus tendons. The soft tissue mass was predominantly hypointense on T1- and T2-weighted images with no postcontrast enhancement (Figures 3-4).
The patient underwent right ankle soft tissue mass removal. We performed a linear incision directly over the mass. Immediately within the subcutaneous tissues we identified a tan-white, rubbery, lobulated 5.6 x 5.5 x 3.2 cm mass (Figure 5).
This mass was firmly adhered to the tibialis anterior tendon sheath, which we had to open for excision of the mass (Figure 6). We excised the mass in full without damage to the tibialis anterior (TA) tendon, extensor hallucis longus tendon, or surrounding neurovascular structures (Figure 7).
Histological examination of the specimen demonstrated a hypocellular, multilobulated benign spindle cell neoplasm consistent with fibroma of tendon sheath (Figure 8).
The patient was non-weight-bearing in a posterior splint for protection until suture removal at 2 weeks postoperatively. The patient’s postoperative course has been uneventful with no recurrence to date at 12-month follow-up.
What You Should Know About Fibroma of Tendon Sheath
Fibroma of tendon sheath most commonly affects the upper extremities, rarely affecting the lower extremity. Case reports in foot and ankle literature have reported on FTS at the Achilles tendon,8 plantar fascia,9 interdigitally,10 flexor hallucis longus tendon,11 and the anterior ankle joint capsule.7 Most cases in large joints originate intra-articular from the joint capsule.6 Our case is unique in that the FTS was located extra-articular at the anterior ankle joint, adhered to the TA tendon sheath. There was no intra-articular extension in our case. No study to the authors knowledge has reported on FTS closely adhered to the TA tendon sheath.
Patient age and gender can be a determining factor when diagnosing soft tissue masses. FTS typically occurs between the second and fifth decades of life.3,5 Authors have reported FTS to occur at a higher rate in men, with a male to female ratio of 3:1.3,5 Although the patient in our case was male, it was unique to make the diagnosis of FTS in a patient in their 10th decade of life. The authors have not noted any reports in the foot and ankle literature with patients of this age being diagnosed with FTS.
Advanced imaging studies are beneficial when differentiating FTS from other soft tissue masses. MRI findings typically include a hypointense, well-defined lesion on T1- and T2-weighted images.6 The soft tissue mass in our case was similar to previously described FTS, with hypointensity on both T1- and T2-weighted images and no postcontrast enhancement. Our findings are similar to those of Ciatti and colleagues7 who described hypointensity on T1- and T2-weighted images for a mass at the anterior ankle capsule.
Macroscopic and histopathologic findings of FTS help to confirm the diagnosis. Typically, FTS will appear as a gray-white, solid, well-circumscribed and lobulated mass.14 In our study, the mass had a solid, tan-white lobulated appearance. Classic histopathologic findings include a fibrous mass with spindle or stellate-shaped cells in a collagenous stroma with slit-like vascular spaces.14 Pathologic samples from the specimen in our case revealed benign spindle cells, which were hypocellular and had a multilobulated architecture without cytologic atypia. Both the macroscopic and histopathological findings in our case were consistent with previous reports in the literature.
Treatment for FTS typically includes resection through either an open or endoscopic approach. Multiple reports in the literature have described marginal resection of the mass.6,7 Tumors larger than 3cm should be resected through an open approach. Our case supports the findings of Suzuki and colleagues6 as the tumor in this case was larger than 3cm and was successfully resected with marginal margins with no recurrence to date.
In Conclusion
FTS is a benign neoplasm that commonly affects the upper extremities. It is rarely present in large joints and is especially rare around the ankle joint. Our case is unique in that the mass was located extra-articular at the ankle joint in a 90-year-old male. Magnetic resonance imaging (MRI) and histopathologic examination are useful for diagnosing FTS. Marginal resection of the mass is sufficient for treatment. Our study contributes to the literature by presenting a unique case of FTS at the anterior ankle, stemming from the TA tendon sheath in an elderly male patient. One should include FTS in the differential diagnosis in cases with similar presentations.
Dr. Brown is the Chief Foot and Ankle Surgery Resident at OhioHealth Grant Medical Center in Columbus, OH.
Dr. Joseph is a second-year foot and ankle surgery resident at OhioHealth Grant Medical Center in Columbus, OH.
Dr. Quisno is an attending physician at OhioHealth Grant Medical Center in Columbus, OH.
References
1. Geshickter CF, Copeland MM. Tumors of the Bone, 3rd ed. JB Lippincott, Philadelphia, 1949.
2. Sciot R, Dal CP. Fibroma of tendon sheath. In: CDM F, Bridge JA, PCW H, Mertens F, eds. WHO Classification of Tumours of Soft Tissue and Bone. Lyon: IARC; 2013, pp. 59–60.
3. Pulitzer DR, Martin PC, Reed RJ. Fibroma of tendon sheath: a clinicopathologic study of 32 cases. Am J Surg Pathol. 1985;13(6):472–9.
4. Weiss SW, Goldblum JR. Fibroma of tendon sheath. In: Enzinger Weiss SW, Goldblum JR, editors. Enzinger and Weiss’s Soft Tissue Tumors. 5th ed. St. Louis: Mosby Inc.; 2008, pp. 203–6.
5. Chung EB, Enzinger FM. Fibroma of tendon sheath. Cancer. 1979 Nov;44(5):1945-54.
6. Suzuki K, Yasuda T, Suzawa S, Watanabe K, Kanamori M, Kimura T. Fibroma of tendon sheath around large joints: clinical characteristics and literature review. BMC Musculoskelet Disord. 2017 Aug 30;18(1):376.
7. Ciatti R, Mariani PP. Fibroma of tendon sheath located within the ankle joint capsule. J Orthop Traumatol. 2009 Sep;10(3):147-50.
8. Jacobs E, Witlox MA, Hermus JP. Fibroma of tendon sheath located within Kager's triangle. J Foot Ankle Surg. 2014 Mar-Apr;53(2):208-11.
9. Yamamoto T, Marui T, Mizuno K. Fibroma of a tendon-sheath presenting as toe deformity. Foot Ankle Int. 2001 Jan;22(1):59-61.
10. Lui TH. Endoscopic resection of a toe web fibroma that was mimicking a Morton's neuroma. J Foot Ankle Surg. 2021 Jul-Aug;60(4):866-869.
11. Kim SW, Lee SY, Jung SN, Sohn WI, Kwon H. Fibroma of the flexor hallucis longus tendon sheath. J Foot Ankle Surg. 2012 May-Jun;51(3):342-4.
12. Lourie JA, Lwin KY, Woods CG. Case report 734. Fibroma of tendon sheath eroding 3rd metatarsal bone. Skeletal Radiol. 1992;21(4):273-5.
13. Fox MG, Kransdorf MJ, Bancroft LW, Peterson JJ, Flemming DJ. MR imaging of fibroma of the tendon sheath. AJR Am J Roentgenol. 2003 May;180(5):1449-53.
14. Satti MB. Tendon sheath tumours: a pathological study of the relationship between giant cell tumour and fibroma of tendon sheath. Histopathology. 1992 Mar;20(3):213-20.
15. Hornick JL, Fletcher CD. Intraarticular nodular fasciitis--a rare lesion: clinicopathologic analysis of a series. Am J Surg Pathol. 2006 Feb;30(2):237-4.


