Medial Arterial Calcification: An Underappreciated Factor in Diabetic Foot Ulcer Treatment and Management
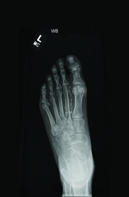
Medial arterial calcification (MAC) is a chronic vascular condition commonly observed in individuals with diabetes mellitus.1 Although once thought to have little clinical implication, MAC is now known an independent contributor to peripheral artery disease, imparting significant morbidity and mortality.2,3 Deposits of calcium and phosphate in the medial layer of the arterial wall are hallmark characteristics of MAC.4 Distinct from intimal calcification, which is associated with atherosclerosis and tends to affect the larger arteries, MAC is most frequently observed in the small- and medium-sized peripheral arteries.3 Specifically found in the smooth muscle of the vessel, MAC contributes to disruption of the elastin layer with subsequent calcification, ultimately leading to arterial stiffness as calcifications progress.3,5 In contrast, intimal calcifications are linked to inflammation and bone-like formation within the atherosclerotic plaque.3 Whereas intimal calcifications typically appear as patchy areas of calcification within the lumina of the internal elastic lamina, MAC manifests as continuous areas of calcification, often visualized as parallel lines or “railroad tracks” on plain film radiographs.2,3
In individuals with diabetes mellitus, several factors contribute to MAC development.6 Patients with diabetes and hyperglycemia exhibit increased production of reactive oxygen species and advanced glycation end-products. This leads to activation of pro-inflammatory cytokines, inciting vascular inflammation, and on a cellular level, triggering osteogenic-signaling pathways.6 Oxidative stress is also believed to directly affect arterial calcification through activating other cellular pathways instrumental in vascular smooth muscle cell calcification. Suggestion also exists that insulin resistance contributes to MAC through dysregulation of fetuin-A, a serum glycoprotein that typically functions as an inhibitor of vascular calcification.6 Hyperphosphatemia, frequently observed in diabetes mellitus, is also thought to be an associated risk factor, as elevated phosphate levels in vascular smooth muscle cells can induce osteoblastic differentiation factors.6
The Relationship Between MAC and PAD
Although the literature supports an association between MAC and peripheral artery disease (PAD), the mechanism by which MAC causes PAD is not well-understood.7 One hypothesis is that the calcified vascular smooth muscle cells may directly or indirectly stimulate atherosclerotic plaque progression and rupture.7 Others suggest that diminished elasticity and arterial wall compliance may contribute to atherosclerosis and decreased perfusion, even in the absence of luminal obstruction.4 Standardly, noninvasive testing such as ankle-brachial index (ABI) serves as first-line testing of PAD. However, in patients with MAC, ABI is frequently falsely elevated due to vessel incompressibility, thus limiting its accuracy and reliability in detecting PAD in those with MAC.8,9 The International Working Group on the Diabetic Foot and others have recommended using toe pressure measurements in those with diabetic foot ulcers (DFU) and MAC due to such accuracy concerns with ABI alone.10,11 In patients with MAC and toe pressures lower than 30 mmHg, those toe pressures are historically predictive of outcomes including ulcer healing, major amputation, and mortality.10 However, in those with intermediate toe pressure values from 30 mmHg to 80 mmHg, there is no clear association established in outcomes.10
MAC not only poses challenges in PAD diagnosis, but also in PAD treatment. MAC poses several technical challenges when attempting revascularization in the setting of severe calcification and for this reason testing of most endovascular devices often excludes patients with severe calcifications.4 The presence of calcification may create challenges when directing guidewires or passing balloon catheters or other lesion-crossing devices.4 Studies also demonstrate decreased patency of drug-eluting balloon technology in the presence of more severe calcifications.4
What Does the Literature Reveal About MAC and Limb Preservation?
Research notes that outcomes after infrageniculate revascularizations are worse in those with vascular calcifications.12,13 In a study of patients with tibial arterial calcification, as determined on computed tomography angiography, the presence of more severe calcification showed an association with lower technical success rates after infrapopliteal angioplasty as well as an increased rate of unplanned amputation.12 Other studies support these findings for individuals undergoing infrageniculate endovascular interventions for treatment of diabetic foot ulcers, suggesting an increased risk of major adverse limb events, including vascular re-intervention or major amputation, with increased severity of MAC.13
Several studies demonstrate an elevated risk of morbidity and mortality in association with the presence of MAC.2,14-16 In a 20-year study of 4,553 Pima Indians, Everhart and colleagues determined that patients with diabetes and MAC, as compared to those without MAC, had a 1.5-fold increased mortality rate as well as a 5.5-fold increased rate of amputation.2 Other studies corroborate these findings. Niskanen and team determined that MAC is an independent predictor of cardiovascular mortality in their 10-year study of patients with insulin-dependent diabetes mellitus, with MAC noted to impart a 4.2-fold risk of mortality as compared with a 1.6-fold risk in those with intimal calcifications.14 The presence of more severe MAC on plain film radiographs has also shown a link to adverse pedal outcomes including increased risk of foot ulcerations, osteomyelitis, minor amputation, Charcot neuroarthropathy, and foot fracture.16
In a subset of patients with DFU complicated by osteomyelitis requiring surgical interventions, those with MAC had a statistically significant increased risk of ulcer recurrence, slower time to healing, and quicker time to recurrence or re-ulceration as compared to those with a foot ulcer and without radiographic evidence of MAC.17 Several additional studies, in alignment with those previously mentioned, noted a correlation between MAC and risk for major amputation.2,13,18-26 Of particular note, pedal calcifications have exhibited a link to increased risk of amputation and mortality, even after adjusting for other patient factors, with a 2-fold increased risk of amputation in individuals with PAD and MAC as compared to those with PAD without MAC.20
Understanding MAC Assessment Methods
Several described methods assess the presence and severity of lower limb calcifications, including using plain film radiographs and computed tomography scanning. Guzman and colleagues evaluated and scored the extent of tibial artery calcification on computed tomography scans in 229 patients. Of those studied, they found that those with critical limb ischemia had the greatest tibial artery calcification scores and those with a high tibial artery calcification score were at increased risk for major amputation, with calcification scoring predicting amputation better than ankle-brachial index.19 In 2020, Ferraresi and team published on a novel scoring system for assessing medial arterial calcification on plain film radiographs. The scoring system entails measurement of calcification at 5 sites in the foot:
- the dorsalis pedis artery from the ankle joint to the metatarsals;
- the lateral plantar artery from its bifurcation of the posterior tibial artery to the distal plantar arch;
- the first metatarsal artery from its proximal origin to the metatarsophalangeal joint;
- the first toe artery medial or lateral; and
- other toe arteries from the metatarsophalangeal joint to the distal toe.
They assessed each site for the presence of MAC and scored them as 0 or 1 point, with a total possible score of 5 points.23 The authors validated their scoring system through comparison to angiographic findings, noting a high sensitivity and specificity of the MAC score, and finding MAC score to be an independent predictor of major adverse limb events, including major amputation or re-intervention, defined as both revisional revascularization as well as unplanned podiatric surgical re-interventions, in patients with chronic limb-threatening ischemia.23
Several follow-up studies validate these findings, suggesting that a severe MAC score is an independent predictor of major amputation, with severe MAC demonstrating a nearly 5-fold increased risk of major amputation in prior study.18,25-27 A trend toward increased rates of technical failure in inframalleolar interventions for chronic limb-threatening ischemia also exists when there is an increased severity of the pedal MAC score, resulting in an overall decreased amputation-free survival at 5 years.28 Individuals with severe MAC, as determined by pedal MAC scoring, have demonstrated more persistent ischemia after endovascular interventions for treatment of limb-threatening ischemia and higher rates of subsequent major amputation despite technically successful revascularizations.26
What Does This All Mean For Patient Care?
One postulation is that the poor hemodynamic response to endovascular revascularization and persistent occlusive pedal small artery outflow disease are key factors leading to amputation.26 Impaired wound healing, the need for multiple pedal surgical interventions, and higher readmission rates were also evident in other studies in addition to increased rates of amputation and mortality.29,30
Although the exact prevalence of MAC amongst those with diabetes mellitus is unknown, studies suggest rates from 17% to 68%.1,31 Nearly 12% of individuals in the United States have diabetes mellitus, of which approximately one-quarter to one-third are at risk to develop a foot ulceration during their lifetime. Thus, it is imperative to understand contributing factors to diabetic foot disease and impaired healing.32-34 Ordering plain film radiographs is standard practice when assessing diabetic foot ulcerations. Through simple assessment of a pedal calcification score on these X-rays, one can gain valuable prognostic insight, perhaps arguably greater than that of ABIs in those with vascular calcifications.
Final Thoughts
While the etiology of DFU is complex and multifactorial, MAC in those with DFU demonstrates itself a significant predictor of outcomes, associated with slower wound healing, higher likelihood for multiple podiatric surgical interventions, poorer outcomes after endovascular revascularization procedures, increased likelihood of persistent ischemia, and increased rates of major amputation and death. Observation of MAC on plain film radiographs offers significant prognostic information that one should not overlook. Calculation of a pedal MAC score may serve as a reliable measure of judging calcification severity, which one can correlate to predict outcomes. For the best chance at limb salvage, a multidisciplinary team approach is imperative, with consideration for early vascular referral to optimize wound healing in this complicated patient population.
Dr. Skolnik is a podiatrist at Massachusetts General Hospital in Boston. She is an Instructor in Orthopedic Surgery at Harvard Medical School and a Diplomate of the American Board of Podiatric Medicine.
For further reading, see “Updates in PAD Diagnosis and Treatment” at https://shorturl.at/x883W, “A Closer Look At The Complexity Of PAD Screening In Patients With Diabetes” at https://shorturl.at/yegkS, or “Where Are We With Point-Of-Care Testing For PAD In Patients With Diabetes?” at https://shorturl.at/evJQY. Get insights into diabetic foot ulcers and more at Podiatry Today’s Wound Care and Limb Preservation Specialty Channel at https://shorturl.at/fubkY.
References
1. Lanzer P, Hannan FM, Lanzer JD, et al. Medial arterial calcification: JACC state-of-the-art review. J Am Coll Cardiol. 2021;78(11):1145-1165. doi:10.1016/j.jacc.2021.07.027
2. Everhart JE, Pettitt DJ, Knowler WC, Rose FA, Bennett PH. Medial arterial calcification and its association with mortality and complications of diabetes. Diabetologia. 1988;31:16-23. doi:10.1007/BF00276894
3. Kim TI, Guzman RJ. Medial artery calcification in peripheral artery disease. Front Cardiovasc Med. 2023;10:1093355. doi:10.3389/fcvm.2023.1093355
4. Rocha-Singh KJ, Zeller T, Jaff MR. Peripheral arterial calcification: prevalence, mechanism, detection, and clinical implications. Catheter Cardiovasc Interv. 2014;83(6):E212-E220. doi:10.1002/ccd.25287
5. St. Hilaire C. Medial arterial calcification: a significant and independent contributor of peripheral artery disease. Arterioscler Thromb Vasc Biol. 2022;42(3):253-260. doi:10.1161/ATVBAHA.121.316093
6. Chistiakov DA, Sobenin IA, Orekhov AN, Bobryshev YV. Mechanisms of medial arterial calcification in diabetes. Curr Pharm Des. 2014;20(37):5870-5883. doi:10.2174/1381612820666140116202305
7. Ho CY, Shanahan CM. Medial arterial calcification: an overlooked player in peripheral arterial disease. Arterioscler Thromb Vasc Biol. 2016;36(8):1475-1482. doi:10.1161/ATVBAHA.116.307206
8. Brouwers JJ, Willems SA, Goncalves LN, Hamming JF, Schepers A. Reliability of bedside tests for diagnosing peripheral arterial disease in patients prone to medial arterial calcification: a systematic review. EClinicalMedicine. 2022;50:101519. doi:10.1016/j.eclinm.2022.101519
9. Álvaro-Afonso FJ, Lázaro-Martínez JL, Aragón-Sánchez J, et al. What is the clinical utility of the ankle-brachial index in patients with diabetic foot ulcers and radiographic arterial calcification? Int J Low Extrem Wounds. 2015;14(4):372-376. doi:10.1177/1534734614561689
10. Willems SA, Broekman SJ, Smeets MJ, Brouwers JJ, van Eps RGS. Prognostic value of toe pressure measurements in patients with diabetic foot ulcers and medial arterial calcification. Ann Vasc Surg. 2025;112:306-314. doi:10.1016/j.avsg.2024.11.024
11. Young MJ, Adams JE, Anderson GF, Boulton AJM, Cavanagh PR. Medial arterial calcification in the feet of diabetic patients and matched non-diabetic control subjects. Diabetologia. 1993;36:615-621. doi:10.1007/BF00400271
12. Kang IS, Lee W, Choi BW, et al. Semiquantitative assessment of tibial artery calcification by computed tomography angiography and its ability to predict infrapopliteal angioplasty outcomes. J Vasc Surg. 2016;64(5):1335-1343. doi:10.1016/j.jvs.2016.04.011
13. Skolnik J, Weiss R, Meyr AJ, et al. Evaluating the impact of medial arterial calcification on outcomes of infrageniculate endovascular interventions for treatment of diabetic foot ulcers. Vasc Endovascular Surg. 2021;55(4):
382-388. doi:10.1177/1538574420977605
14. Niskanen L, Siitonen O, Suhonen M, Uusitupa MI. Medial artery calcification predicts cardiovascular mortality in patients with NIDDM. Diabetes Care. 1994;17(11):1252-1256. doi:10.2337/diacare.17.11.1252
15. Erlandsson H, Qureshi AR, Ripsweden J, et al. Scoring of medial arterial calcification predicts cardiovascular events and mortality after kidney transplantation. J Intern Med. 2022;291(6):813-823. doi:10.1111/joim.13469
16. Jones MA, Bullock GS, Crowfoot MM, Sinacore DR. Pedal vessel calcification and risk of major adverse foot events in the diabetic neuropathic, nephropathic foot. J Am Podiatr Med Assoc. 2024;114(5). doi:10.7547/21-204
17. Carmena-Pantoja M, Álvaro-Afonso FJ, García-Morales E, et al. The influence of arterial calcification on clinical outcomes in patients with diabetic foot ulcer complicated by osteomyelitis treated by surgery. Int J Low Extrem Wounds. 2023;22(3):480-488. doi:10.1177/15347346231172220
18. So JM, Park JH, Kim JG, et al. Medial arterial calcification and the risk of amputation of diabetic foot ulcer in patients with diabetic kidney disease. J Korean Med Sci. 2023;38(21):e179. doi:10.3346/jkms.2023.38.e179
19. Guzman RJ, Brinkley DM, Schumacher PM, et al. Tibial artery calcification as a marker of amputation risk in patients with peripheral arterial disease. J Am Coll Cardiol. 2008;51(20):1967-1974. doi:10.1016/j.jacc.2007.11.076
20. Chen L, Chen D, Gong H, et al. Pedal medial arterial calcification in diabetic foot ulcers: a significant risk factor of amputation and mortality. J Diabetes. 2024;16(4):e13527. doi:10.1111/1753-0407.13527
21. Losurdo F, Ferraresi R, Ucci A, et al. Association of infrapopliteal medial arterial calcification with lower-limb amputations in high-risk patients: a systematic review and meta-analysis. Vasc Med. 2021;26(2):164-173. doi:10.1177/1358863X20983413
22. Sadek YK, El Emam SES, Mohamed AK. Tibial scoring as a predictor for amputation-free survival in critical limb ischemic patients. J Arab Soc Med Res. 2024;19(2):194-199. doi:10.4103/jasmr.jasmr_24_24
23. Ferraresi R, Ucci A, Pizzuto A, et al. A novel scoring system for small artery disease and medial arterial calcification is strongly associated with major adverse limb events in patients with chronic limb-threatening ischemia. J Endovasc Ther. 2021;28(2):194-207. doi:10.1177/1526602820983443
24. Lee S, Kalra K, Kashikar A, et al. Evaluation of lower extremity calcium score as a measure of peripheral arterial disease burden and amputation risk. Ann Vasc Surg. 2023;95:154-161. doi:10.1016/j.avsg.2022.08.006
25. Liu IH, Wu B, Krepkiy V, et al. Pedal arterial calcification score is associated with the risk of major amputation in chronic limb-threatening ischemia. J Vasc Surg. 2022;75(1):270-278. doi:10.1016/j.jvs.2021.07.067
26. Liu IH, Wu B, Krepkiy V, et al. Pedal arterial calcification score is associated with hemodynamic change and major amputation after revascularization in chronic limb-threatening ischemia. J Vasc Surg. 2021;74(4):e401-e402. doi:10.1016/j.jvs.2021.07.001
27. DiBartolomeo AD, Browder SE, Bazikian S, et al. Medial arterial calcification score is associated with increased risk of major limb amputation. J Vasc Surg. 2023;78(5):1286-1291. doi:10.1016/j.jvs.2023.04.038
28. Cheun TJ, Hart JP, Davies MG. Pedal medial arterial calcification influences the outcomes of isolated infra-malleolar interventions for chronic limb-threatening ischemia. J Vasc Surg. 2024;80(3):800-810. doi:10.1016/j.jvs.2024.03.034
29. Sundaram S, Barksdale C, Rodriguez S, Wooster MD. The impact of small artery disease (SAD) and medial arterial calcification (MAC) scores on chronic wound and amputation healing: can it tell us more? Ann Vasc Surg. 2025;110:260-275. doi:10.1016/j.avsg.2024.10.007
30. Collins T, Hickman D, Amarasena DK, Pillai A. Pedal medial artery calcification score as a prognostic marker for the success of surgical intervention in diabetic foot disease. Pract Diabetes. 2024;41(4):22-26. doi:10.1002/pdi.2514
31. Cardenas V, Seo K, Sheth S, Meyr AJ. Prevalence of lower-extremity arterial calcification in patients with diabetes mellitus complicated by foot disease at an urban US tertiary-care center. J Am Podiatr Med Assoc. 2018;108(4):267-271. doi:10.7547/16-160
32. Centers for Disease Control and Prevention. National Diabetes Statistics Report. https://www.cdc.gov/diabetes/php/data-research/index.html. Published 2023. Accessed May 29, 2025.
33. Singh N, Armstrong DG, Lipsky BA. Preventing foot ulcers in patients with diabetes. JAMA. 2005;293(2):217-228. doi:10.1001/jama.293.2.217
34. Armstrong DG, Boulton AJ, Bus SA. Diabetic foot ulcers and their recurrence. N Engl J Med. 2017;376(24):2367-2375. doi:10.1056/NEJMra1615439


