Frontal Plane Rotation in MIS Bunion Surgery: A Practical Approach to Triplanar Correction
Hallux abducto valgus (HAV) is a triplanar deformity of the foot. Bunion correction surgeries mostly emphasize transverse plane correction. The senior author (LAD) began utilizing frontal plane correction in the late 1990s with the Lapidus bunionectomy. In more recent years, surgeons have begun to better understand and utilize frontal plane correction for HAV deformity in a triplanar context. We find that the frontal plane is often the last plane most surgeons evaluate when performing their bunion correction. Historically, the major focus has been on transverse plan correction, with the frontal plane being an afterthought.
As minimally invasive surgical (MIS) bunion procedures become more popular, it is the senior author’s opinion that the MIS bunion procedures correct the deformity in all 3 planes and not just correcting the transverse plane. This article aims to look at the importance of the frontal plane in MIS bunion surgery and how to correct in the frontal plane with an easy manipulation similar to the maneuver employed in Lapidus frontal plane correction.1,2 Additionally, this maneuver can help save operating room time, decrease risk for neurovascular injury, and create a smaller incision. This approach may also result in better cosmesis, reduce liability for the surgeon, and decrease risk for the patient.
Background on the Frontal Plane in Bunion Surgery
In our observation, frontal plane rotation of the first metatarsal is often overlooked when evaluating a bunion deformity. However, correction in the frontal plane is important for anatomic reduction when performing corrective bunion surgery.
Saltzman and colleagues described how to radiographically evaluate the frontal plane rotation of the first metatarsal with use of a sesamoid axial X-ray.3 They define a line connecting the most inferior aspect of the medial edge of the medial sesamoid sulcus and the most inferior aspect of the lateral edge of the lateral sesamoid sulcus. The angle subtended by this “tangent” line and one parallel to the weightbearing platform determined the degree of metatarsal rotation.3
When performing a bunion correction surgery, surgeons often strive for frontal plane correction with physical rotation of the bone.1,2 One technique includes using a Kirschner wire (K-wire) as a joystick to rotate the direction of the osteotomy in the frontal plane out of valgus or eversion. In the senior author’s experience, when performing the minimally invasive technique for HAV, the frontal plane correction is a vitally important step.
An MIS Technique Approach to Frontal Plane Correction
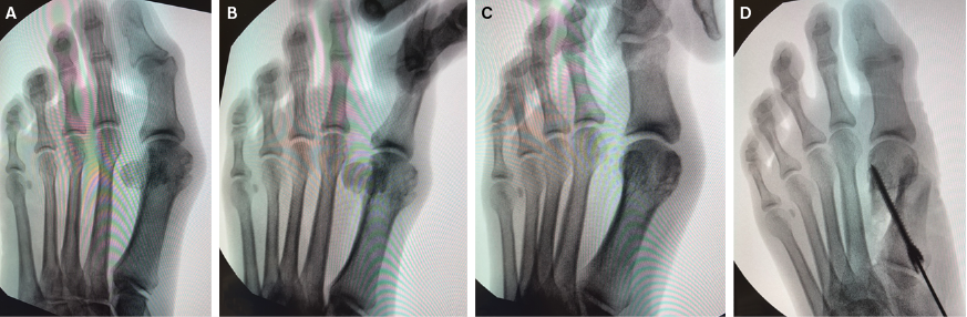
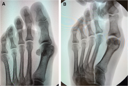
Below we describe the senior author’s preferred technique for incorporating the frontal plane into correction for MIS HAV procedures. Following a standard prep of the lower extremity, the surgeon makes a stab incision at the medial aspect of the first metatarsal neck, specifically, at the metaphyseal-diaphyseal junction. Next, one uses a periosteal elevator to create a pathway within the soft tissue envelope medially, superiorly, and inferiorly to create a safe working corridor for the burr. Insertion of the burr takes place perpendicular to the long axis of the metatarsal. This then allows to surgeon to use that burr to create a osteotomy through the metatarsal neck. The surgeon then proceeds to complete the minimally invasive osteotomy by creating their desired type of osteotomy.
Once the osteotomy is complete, one can use a curved hemostat or industry device to stabilize and to adduct the proximal portion of the metatarsal at the osteotomy site, with a goal of adducting the first metatarsal shaft. The surgeon can distract, shift, and/or rotate several structures out of valgus, including the head of the first metatarsal, the sesamoid complex, and the great toe. In this one motion, one can also translate these structures in the transverse plane into a more neutral anatomic alignment. The head of the metatarsal is pushed laterally and possibly into slight adduction in order to correct the transverse plane deformity.
When manipulating the hallux in the frontal plane, the surgeon can manually grasp and rotate the hallux and/or the distal first metatarsal (distal phalanx, proximal phalanx, distal metatarsal head and 2 seasmoids) as one unit/complex. By not performing a lateral release or performing any kind of dissection about the first metatarsophalangeal joint, one keeps the natural anatomy presented in valgus in malalignment intact, allows the entire complex (distal and proximal phalanges, sesamoids, and metatarsal head) to function as one unit, and avoids destabilizing the soft tissue attachments. Fluoroscopy can help one to observe the desired frontal plane rotation. Once obtaining the desired reduction in all planes, a K-wire can provide temporary fixation. Next, a screw may be inserted from proximal-medial to distal-lateral for permanent fixation.
Discussing Pros and Cons of the Lateral Release in MIS Bunion Correction
The debate about the merits and drawbacks of a lateral release are not new in the world of bunion surgery. However, viewing this debate through an MIS lens is somewhat more novel. However, it is worth introducing into the discussion the “whys” or “why nots” when specifically considering frontal plane rotation.
In other types of bunion procedures, historically, a lateral soft tissue release can assist in frontal plane derotation and to bring the sesamoid apparatus into position under the first metatarsal head. In 2020, Del Vecchio and Dalmau-Pastor contended that soft tissue lateral release can be beneficial to reduce severe HAV bunion deformity.4 They stated that the adductor hallucis tendon release is the most powerful procedure within the lateral release to assist in deformity reduction.
However, Izzo and colleagues found that performing a lateral soft tissue release had no effect over a 4-year follow up on recurrence of HAV deformity.5 Woo and team performed a study on 90 feet that showed no significant difference between reduction of HAV deformity in patients who underwent a lateral release and those that did not.6 This suggests that, long-term, there is not compelling evidence as to the benefit for performing a soft tissue lateral release.
Historically, there has been literature supporting a risk of avascular necrosis of the first metatarsal head following a soft tissue lateral release. In 1985, Meier and colleagues performed a study on 60 patients and found osteonecrosis of the first metatarsal head as a significant complication.7 Conversely, Peterson and team performed a study on 82 patients who underwent distal first metatarsal head osteotomies combined with a lateral release for reduction of HAV deformity. They found that only 1 patient experienced avascular necrosis in a 4-year follow up.8 In our experience, however, utilizing a manual manipulation of frontal plane reduction over a soft tissue lateral release reduces the risk of osteonecrosis of the first metatarsal head by mitigating the risk of disruption of the arterial supply.
Woo and colleagues also demonstrated no significant differences in the amount and direction of movement of the fibular sesamoid between two groups undergoing bunion correction. One group had a lateral soft tissue release and the other group did not have a lateral soft tissue release.6
Concluding Thoughts
While not frequently discussed, MIS bunion techniques may be utilized or slightly modified to obtain frontal plane correction of HAV deformities. During the procedure, the surgeon can manually manipulate the distal aspect of the first ray to obtain the desired derotation of the metatarsal head. In the senior author’s experience, it is a much easier decision to not perform a lateral release when performing a MIS bunionectomy. Similar to the benefits of emphasizing frontal plane correction with the modified Lapidus arthrodesis, we find that this approach to MIS frontal plane correction provides an array of benefits, as it does in open bunion surgery. These benefits can include restoration of a more normal or near-normal anatomic alignment with improved metatarsophalangeal range of motion and a reduced risk of complications, by specifically not pursuing a lateral release.9 When making this choice to avoid the lateral release, the surgeon can be more efficient with time in the operating room, they can avoid additional incisions and the related cosmesis concerns, work to minimize the chance of causing an avascular necrosis and avoid creating a hallux varus.
Overall, we feel that surgeons should not neglect correction in the frontal plane when undertaking MIS procedures for HAV. In the senior author’s experience, this goal is achievable through manual reduction of the appropriate aspects of the distal first metatarsal after completing the MIS osteotomy. Fluoroscopy is valuable in evaluating and verifying correction, and the benefits of not performing a lateral release outweigh the risks.
Dr. DiDomenico is the Fellowship Director at Northern Ohio Medical Specialist (NOMS) Ankle and Foot Care Centers and an Adjunct Professor at Kent State University College of Podiatric Medicine.
Dr. Anain is a Fellow at NOMS Ankle and Foot Care Centers.
References
1. DiDomenico LA, Fahim R, Rollandini J, Thomas ZM. Correction of frontal plane rotation of sesamoid apparatus during the Lapidus procedure: a novel approach. J Foot Ankle Surg. 2014;53(2):248-51. doi: 10.1053/j.jfas.2013.12.002. PMID: 24556491.
2. DiDomenico LA, Fahim R, Rollandini J, Thomas ZM. Correction of frontal plane rotation of sesamoid apparatus during the Lapidus procedure: a novel approach. J Foot Ankle Surg. 2014;53(2):248-51. doi: 10.1053/j.jfas.2013.12.002. PMID: 24556491.
3. Saltzman CL, Brandser EA, Anderson CM, Berbaum KS, Brown TD. Coronal plane rotation of the first metatarsal. Foot Ankle Int. 1996;17(3):157-61. doi: 10.1177/107110079601700307. PMID: 8919620.
4. Del Vecchio JJ, Dalmau-Pastor M. Percutaneous Lateral Release in Hallux Valgus: Anatomic Basis and Indications. Foot Ankle Clin. 2020;25(3):373-383. doi: 10.1016/j.fcl.2020.05.003.
5. Izzo A, Vallefuoco S, Basso MA, et al. Role of lateral soft tissue release in percutaneous hallux valgus surgery: a systematic review and meta-analysis of the literature. Arch Orthop Trauma Surg. 2023;143(7):3997-4007. doi: 10.1007/s00402-022-04693-x. Epub 2022 Nov 10. PMID: 36352268; PMCID: PMC10293432.
6. Woo K, Yu IS, Kim JH, Sung KS. Effect of Lateral Soft Tissue Release on Sesamoid Position in Hallux Valgus Surgery. Foot Ankle Int. 2015;36(12):1463-8. doi: 10.1177/1071100715595502. Epub 2015 Jul 24. PMID: 26208509.
7. Meier PJ, Kenzora JE. The risks and benefits of distal first metatarsal osteotomies. Foot Ankle. 1985;6(1):7-17. doi: 10.1177/107110078500600103.
8. Peterson DA, Zilberfarb JL, Greene MA, Colgrove RC. Avascular necrosis of the first metatarsal head: Incidence in distal osteotomy combined with lateral soft tissue release. Foot Ankle Int. 1994;15(2):59-63. https://doi.org/10.1177/107110079401500201.
9. DiDomenico LA, Luckino FA. Addressing the Impact of the Frontal Plane Rotation on Bunion Repair. Podiatry Today. 2015;28(4). Published April 2015. Accessed December 9, 2025. Available at: https://www.hmpgloballearningnetwork.com/site/podiatry/addressing-impact-frontal-plane-rotation-bunion-repair


