Skip to main content

Volume 2 - Issue 2 - June 2022

Case/Review
06/24/2022
Vikrant Wadehra, DPM; Guy R. Pupp, DPM, FACFAS; Jihad A. Mustapha, MD, FACC, FSCAI
The following case report follows a 78-year-old male with CLI who underwent invasive total ankle joint replacement.
The following case report follows a 78-year-old male with CLI who underwent invasive total ankle joint replacement.
The following case report...
06/24/2022
Journal of Critical Limb Ischemia
Original Contribution
06/24/2022
Nikhil Patel, MD; Grace Pyon, BS; Bibhav Poudel, BS; Atharva Dhole, MD; Maria Litzendorf, MD; Scott Brannan, MD
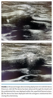
This article seeks to evaluate the effectiveness of the Celt ACD (Vasorum, Ltd) for the closure of antegrade superficial femoral artery access to treat ipsilateral lower-extremity arterial lesions.
This article seeks to evaluate the effectiveness of the Celt ACD (Vasorum, Ltd) for the closure of antegrade superficial femoral artery access to treat ipsilateral lower-extremity arterial lesions.
This article seeks to evaluate...
06/24/2022
Journal of Critical Limb Ischemia
Case/Review
06/24/2022
Ismail Dogu Kilic, MD; Deniz Mutlu, MD; Konstantinos Marmagkiolis, MD, FACC, FSCAI; Vasili Lendel, MD; Cezar A. Iliescu, MD, FACC, FSCAI; Mehmet Cilingiroglu, MD, FACC, FSCAI, FAHA, FESC, FACP
We present the successful treatment of critical hand ischemia in a young patient with end-stage renal disease using orbital atherectomy and balloon angioplasty.
We present the successful treatment of critical hand ischemia in a young patient with end-stage renal disease using orbital atherectomy and balloon angioplasty.
We present the successful...
06/24/2022
Journal of Critical Limb Ischemia
Editorial/Commentary
06/24/2022
Katherine L. Morrow, MD; Anahita Dua, MD, MS, MBA, FACS
Commentary on Khan A, Green DL, Santilli S, et al. Preoperative C-reactive protein levels predict readmission following elective vascular surgery. J Crit Limb Ischemia. 2022;2(2):E39-E44. 
Commentary on Khan A, Green DL, Santilli S, et al. Preoperative C-reactive protein levels predict readmission following elective vascular surgery. J Crit Limb Ischemia. 2022;2(2):E39-E44. 
Commentary on Khan A, Green DL,...
06/24/2022
Journal of Critical Limb Ischemia
Editorial/Commentary
06/24/2022
Thomas Zeller, MD, PhD
Commentary on Jammeh ML, Suggs J, Adams GL, et al. Outcomes of orbital atherectomy in patients with critical limb threatening ischemia and diabetes. J Crit Limb Isch. 2022;2(2):E29-E37. Epub 2022 Apr 12.
Commentary on Jammeh ML, Suggs J, Adams GL, et al. Outcomes of orbital atherectomy in patients with critical limb threatening ischemia and diabetes. J Crit Limb Isch. 2022;2(2):E29-E37. Epub 2022 Apr 12.
Commentary on Jammeh ML, Suggs...
06/24/2022
Journal of Critical Limb Ischemia
Original Contribution
05/17/2022
Asrar Khan, MD; Derrick L. Green, MD, MBA; Steve Santilli, MD, PhD, MBA; Debra K. Johnson, RN; Selma Carlson, MD; Mackenzie Mbai, MD; Rosemary Kelly, MD; Amy A. Gravely, MS; Brad Bart, MD; Selcuk Adabag, MD, MS, FHRS; Santiago Garcia, MD; Qun Chen, PhD; Ion S. Jovin, MD; Edward Lesnefsky, MD; Edward McFalls, MD
C-reactive protein levels may be reduced with long-term administration of ubiquinone (CoQ10) in patients with chronic ischemic heart disease, but the impact of a short-term period of administration in patients undergoing elective vascular...
C-reactive protein levels may be reduced with long-term administration of ubiquinone (CoQ10) in patients with chronic ischemic heart disease, but the impact of a short-term period of administration in patients undergoing elective vascular...
C-reactive protein levels may be...
05/17/2022
Journal of Critical Limb Ischemia
Original Contribution
04/12/2022
Momodou L. Jammeh, MD; Julia Suggs, MD; George L. Adams, MD, MHS, MBA, FACC, FSCAI; Ehrin J. Armstrong, MD, MSc, FACC; Jihad A. Mustapha, MD, FACC, FSCAI; Mohamed A. Zayed, MD, PhD
Patients with diabetes and critical limb threatening ischemia (CLTI) are at significantly higher risk of limb loss and death. We evaluate the outcomes of orbital atherectomy (OA) for the treatment of CLTI in patients with and without diabetes.
Patients with diabetes and critical limb threatening ischemia (CLTI) are at significantly higher risk of limb loss and death. We evaluate the outcomes of orbital atherectomy (OA) for the treatment of CLTI in patients with and without diabetes.
Patients with diabetes and...
04/12/2022
Journal of Critical Limb Ischemia