A Single-Center, Single-Operator Experience With the Celt ACD Vascular Closure Device in Antegrade Superficial Femoral Artery Punctures: An Office-Based Lab Experience
Abstract
Purpose. This article seeks to evaluate the effectiveness of the Celt ACD (Vasorum, Ltd) for the closure of antegrade superficial femoral artery access to treat ipsilateral lower-extremity arterial lesions. Currently, there is no evidence evaluating the use of this device in this fashion. Methods. A retrospective review of 367 patients who underwent antegrade superficial femoral artery access closure with the Celt ACD after ipsilateral lower-extremity arteriography and intervention was performed. Patients were followed with a phone call the day after their procedure and with a clinic visit approximately 2 weeks after their procedure. Patient demographics and access-site complications (and their treatments) were recorded and reported after statistical analysis. Results. Three of 367 patients (0.8%) had access-site complications immediately after the deployment of the Celt ACD. All were minor complications that were effectively treated with noninvasive measures. Zero patients had new or residual access-site complications at their 2-week follow-up clinic visit. Conclusion. The Celt ACD vascular closure device is a safe and effective tool for closing antegrade superficial femoral artery arteriotomies measuring up to a 7-Fr sheath in an outpatient setting.
J CRIT LIMB ISCHEM 2022;2(2):E49-E54.
Key words: access approach, superficial femoral artery, vascular closure
Introduction
Vascular closure devices were introduced in the mid-1990s as an alternative to manual compression to achieve arteriotomy hemostasis.1 They were reported to promote earlier hemostasis and ambulation; however, initial experiences with these devices seemed to result in mixed results, with some reporting higher complication rates relative to the “gold standard” of manual compression.2 As these devices have evolved and users have become more facile with them, evidence suggested that these devices may result in earlier hemostasis and ambulation, with similar complications rates to manual compression.3 These conflicting data, along with concerns of extra cost and possible infection, have limited the universal adoption of these devices.
Current vascular closure devices on the market today work in a variety of forms: sealant based, suture based, and staple/clip based. The Celt ACD (Vasorum, Ltd) is a novel vascular closure device that has been evaluate for its safety and efficacy in antegrade and retrograde percutaneous access of the common femoral artery.4,5 The device is a single-piece, magnetic resonance (MR)-conditional, stainless-steel implant that is deployed at the arteriotomy site with footplates on either side of the arterial wall. The device can close a 5-Fr, 6-Fr, or 7 Fr sheath arteriotomy and is deployed in a few simple steps (Figure 1).
Like most vascular closure devices, the Celt ACD has predominately been studied for retrograde common femoral artery access. To the best of our knowledge, there have been no studies exploring this device’s efficacy in antegrade superficial femoral artery access. We present our experience utilizing the Celt ACD for the closure of antegrade superficial femoral artery access for the treatment of peripheral artery disease in an office-based lab.

Methods
We performed a retrospective review of 367 patients who underwent lower-extremity angiography with either balloon and/or atherectomy-based interventions via a superficial femoral artery antegrade access between January 2020 and January 2021 performed in an outpatient-based lab. We recorded patient age, sex, ethnicity, presence of diabetes, hypertension, hyperlipidemia, history of smoking, body mass index, sheath size, and total heparin dose. We also recorded time to hemostasis (which was available for 156 patients) and technical success rate, which was defined as the proportion of patients with successful hemostasis following the immediate deployment of the Celt ACD. Complications recorded include ruptures, dissection, aneurysm/pseudoaneurysm, and hematoma. Follow-up was performed with a phone call 1 day after the procedure and a clinic visit 2 weeks after the procedure to evaluate for access-site complications.
Technique
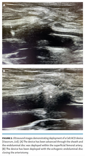
The location of the lesser trochanter was marked with fluoroscopy prior to arterial puncture. All antegrade superficial femoral artery access attempts were performed under real-time ultrasound guidance with a modified Seldinger technique approximately at the level of the lesser trochanter. All patients were administered heparin immediately after access was obtained. Activated clotting times were not routinely monitored throughout cases and no patients had their heparinization reversed. Intravascular ultrasound was utilized for all cases. After ultrasound was used to evaluate the lesion being treated, the catheter was withdrawn and used to measure the superficial femoral artery lumen size at the level of the distal tip of the sheath. At the end of each case, the Celt ACD was deployed per the company’s instructions for use. The device was placed through the pre-existing sheath and the device handle was turned clockwise to deploy the endoluminal disc. The device and sheath were retracted until gentle resistance was met, signaling that the endoluminal disc was apposed to the arterial wall. Good apposition between the endoluminal disc and the arterial wall was then confirmed with ultrasound. The device was then oriented perpendicular to the skin and the device handle was turned counter-clockwise, deploying the second disc on the exterior of the artery. The device lever was then pulled, which detaches the arteriotomy closure clip from the device, and the device was removed. The access site was then inspected for bleeding and palpated to evaluate for hematoma. Examples of intraprocedural ultrasound and fluoroscopy images are shown in Figure 2 and Figure 3.


Results
We identified 367 patients over a 12-month period who underwent ipsilateral antegrade superficial femoral artery angiography and subsequent ballooning and/or atherectomy in an office-based lab. The studied population comprised 252 males (68%) and 115 females (32%) with a median patient age of 68 ± 11 years (range, 32-89). Most patients were Caucasian (31%) and Hispanic (31%), with a high prevalence of hypertension, diabetes, and hyperlipidemia (Table 1).
The technical success rate for device deployment was 99.2% (364/367). The average time to hemostasis for the 156 patients for which data were available was 82.2 seconds. Correlations between initial sheath size and same-day complications are presented in Table 2. Since the Celt ACD only fits through either a 5-Fr, 6-Fr, or 7-Fr sheath, patients with a 4-Fr sheath inserted into the access site had their sheaths upsized to a 5-Fr sheath.
Three patients (0.8%) experienced same-day access-site complications. One involved a 66-year-old female who developed a quarter-sized hematoma at the access site requiring prolonged pressure (8.1 minutes) for hemostasis. The hematoma had resolved by the time the patient returned for her 2-week follow-up. Another involved a 62-year-old male who experience arterial access-site bleeding immediately after the Celt ACD was deployed. Ultrasound revealed a small access-site pseudoaneurysm. Pressure was held until hemostasis was achieved. Repeat ultrasound revealed that the access-site pseudoaneurysm had thrombosed. The third access-site complication involved an 88-year-old male who experienced leaking and oozing from the access site after the deployment of the Celt ACD, presumably due to incomplete sealing of the arterial wall. Pressure was held until the leaking stopped (17.5 minutes) and the site was evaluated with ultrasound. This revealed a small access-site pseudoaneurysm, which thrombosed after 10 minutes of ultrasound-guided compression. The pseudoaneurysm remained thrombosed at the time of the patient’s 2-week follow-up and he noted continued mild tenderness to palpation at the access site.
Eleven patients (3%) experienced dressing saturation on the postprocedure day 1 follow-up phone call, which we attribute to venous oozing and anticoagulation. Zero patients had any complications at their follow-up clinic visit 2 weeks after the procedure.

Discussion
Antegrade superficial femoral artery access is a well-known technique for ipsilateral diagnostic angiography and interventions.6 It confers improved mechanical advantage, and therefore catheter and wire control, relative to the “up and over” technique of contralateral access. Additionally, it is slightly easier than antegrade common femoral artery access in obese patients with a large pannus. However, despite these advantages, this access approach is often avoided due to reported increased access-site complication rates with early experiences.6,7 The possible increased complication rate is thought to be due to a lack of subjacent bone to compress the artery; however, this has not been well evaluated. In our study, we attempted to access the superficial femoral artery at the level of the lesser trochanter to provide additional support for manual compression if it was needed. Additionally, the risk of access-site complications can likely be mitigated by a reliable vascular closure device.
Currently, there are no United States Food and Drug Administration (FDA)-approved vascular closure devices for use in the superficial femoral artery; however, several studies have demonstrated their efficacy for this application.6,8 The Celt ACD has been shown to be safe and effective in closing antegrade and retrograde common femoral artery access.5 However, to our knowledge, there is no literature to support its use in the superficial femoral artery. In our study, 99.2% of patients had safe and effective closure of their access site at the end of their procedure. The 3 patients who had access-site complications were recognized prior to the patient leaving the angiography suite and managed with compression and conservative treatment. No patients had new or residual access-site complications at their 2-week follow-up clinic visit.
Study limitation. Our study is limited by its retrospective nature and lack of a control group. Additionally, the study is limited to a single operator who is relatively familiar with deployment of the Celt ACD. Thus, there may be an early learning curve for new operators who are less familiar with the device.
Conclusion
Antegrade superficial femoral artery access is a well-described technique that offers several advantages for treating ipsilateral lower-extremity arterial lesions; however, widespread adoption has been limited due to concerns for access-site complications that cannot be controlled with noninvasive techniques. Based on our experience, the Celt ACD is a safe and effective tool for closing antegrade superficial femoral artery arteriotomies, measuring up to a 7-Fr sheath, and does not require the reversal of anticoagulation. Additionally, our studies suggests that these procedures can be safely performed in an outpatient setting.
References
1. Henry M, Amor M, Allaoui M, Tricoche O. A new access site management tool: the Angio-Seal hemostatic puncture closure device. J Endovasc Surg. 1995;2(3):289-296. doi:10.1583/1074-6218(1995)002<0289:ANASMT>2.0.CO;2
2. Dangas G, Mehran R, Kokolis S, et al. Vascular complications after percutaneous coronary interventions following hemostasis with manual compression versus arteriotomy closure devices. J Am Coll Cardiol. 2001;38(3):638-641. doi:10.1016/s0735-1097(01)01449-8
3. Robertson L, Andras A, Colgan F, Jackson R. Vascular closure devices for femoral arterial puncture site haemostasis. Cochrane Database Syst Rev. 2016;3:CD009541. doi:10.1002/14651858.CD009541.pub2
4. Wong SC, Laule M, Turi Z, et al. A multicenter randomized trial comparing the effectiveness and safety of a novel vascular closure device to manual compression in anticoagulated patients undergoing percutaneous transfemoral procedures: the CELT ACD trial. Catheter Cardiovasc Interv. 2017;90(5):756-765. Epub 2017 Mar 15. doi:10.1002/ccd.26991
5. Thurner A, Heuer A, Augustin AM, Gietzen C, Bley TA, Kickuth R. A novel double clip-based vascular closure device in antegrade and retrograde femoral punctures: a single-center experience in peripheral non-cardiac procedures. J Vasc Access. 2021:11297298211012829. doi:10.1177/11297298211012829
6. Gutzeit A, Schoch E, Sautter T, Jenelten R, Graf N, Binkert CA. Antegrade access to the superficial femoral artery with ultrasound guidance: feasibility and safety. J Vasc Interv Radiol. 2010;21(10):1495-1500. doi:10.1016/j.jvir.2010.03.021
7. Gutzeit A, Graf N, Schoch E, Sautter T, Jenelten R, Binkert CA. Ultrasound-guided antegrade femoral access: comparison between the common femoral artery and the superficial femoral artery. Eur Radiol. 2011;21(6):1323-1328. Epub 2010 Dec 28. doi:10.1007/s00330-010-2032-z
8. Adlan T, Shahin Y, Kember P, Isaacs J, Seymour R. Retrospective cohort study on Angio-Seal closure device safety and effectiveness in antegrade superficial femoral artery punctures: a comparison with antegrade common femoral artery punctures. Int J Surg. 2017;48:225-227. Epub 2017 Nov 13. doi:10.1016/j.ijsu.2017.11.003
References
Disclosures
From 1AVA Vascular, Chino Hills, California; 2Mayo Clinic Arizona, Scottsdale, Arizona, 3the University of Minnesota, Minneapolis, Minnesota; 4The Vascular Experts, Manchester, Connecticut; and 5Modern Vascular, Mesa, Arizona.
Disclosure: The authors have completed and returned the ICMJE Form for Disclosure of Potential Conflicts of Interest. The authors report no conflicts of interest regarding the content herein.
Manuscript accepted June 17, 2022.
The authors report that patient consent was provided for publication of the images used herein.
Address for correspondence: Nikhil C. Patel, MD, AVA Vascular, 5441 Gateway Drive, Chino Hills, CA 91709. Emails: nick_ir@me.com
References
1. Henry M, Amor M, Allaoui M, Tricoche O. A new access site management tool: the Angio-Seal hemostatic puncture closure device. J Endovasc Surg. 1995;2(3):289-296. doi:10.1583/1074-6218(1995)002<0289:ANASMT>2.0.CO;2
2. Dangas G, Mehran R, Kokolis S, et al. Vascular complications after percutaneous coronary interventions following hemostasis with manual compression versus arteriotomy closure devices. J Am Coll Cardiol. 2001;38(3):638-641. doi:10.1016/s0735-1097(01)01449-8
3. Robertson L, Andras A, Colgan F, Jackson R. Vascular closure devices for femoral arterial puncture site haemostasis. Cochrane Database Syst Rev. 2016;3:CD009541. doi:10.1002/14651858.CD009541.pub2
4. Wong SC, Laule M, Turi Z, et al. A multicenter randomized trial comparing the effectiveness and safety of a novel vascular closure device to manual compression in anticoagulated patients undergoing percutaneous transfemoral procedures: the CELT ACD trial. Catheter Cardiovasc Interv. 2017;90(5):756-765. Epub 2017 Mar 15. doi:10.1002/ccd.26991
5. Thurner A, Heuer A, Augustin AM, Gietzen C, Bley TA, Kickuth R. A novel double clip-based vascular closure device in antegrade and retrograde femoral punctures: a single-center experience in peripheral non-cardiac procedures. J Vasc Access. 2021:11297298211012829. doi:10.1177/11297298211012829
6. Gutzeit A, Schoch E, Sautter T, Jenelten R, Graf N, Binkert CA. Antegrade access to the superficial femoral artery with ultrasound guidance: feasibility and safety. J Vasc Interv Radiol. 2010;21(10):1495-1500. doi:10.1016/j.jvir.2010.03.021
7. Gutzeit A, Graf N, Schoch E, Sautter T, Jenelten R, Binkert CA. Ultrasound-guided antegrade femoral access: comparison between the common femoral artery and the superficial femoral artery. Eur Radiol. 2011;21(6):1323-1328. Epub 2010 Dec 28. doi:10.1007/s00330-010-2032-z
8. Adlan T, Shahin Y, Kember P, Isaacs J, Seymour R. Retrospective cohort study on Angio-Seal closure device safety and effectiveness in antegrade superficial femoral artery punctures: a comparison with antegrade common femoral artery punctures. Int J Surg. 2017;48:225-227. Epub 2017 Nov 13. doi:10.1016/j.ijsu.2017.11.003


