Feature
JCLI's Top 5 Most Popular Articles of 2025
01/20/2026
© 2026 HMP Global. All Rights Reserved.
Any views and opinions expressed are those of the author(s) and/or participants and do not necessarily reflect the views, policy, or position of The Journal of Critical Limb Ischemia or HMP Global, their employees, and affiliates.
Which articles were most read by the JCLI community in 2025? Here, The Journal of Critical Limb Ischemia looks back at the most popular articles of the year—spotlighting innovative limb-salvage techniques, practical wound care guidance, and emerging perspectives on evidence and alleviation in chronic limb-threatening ischemia (CLTI) care.
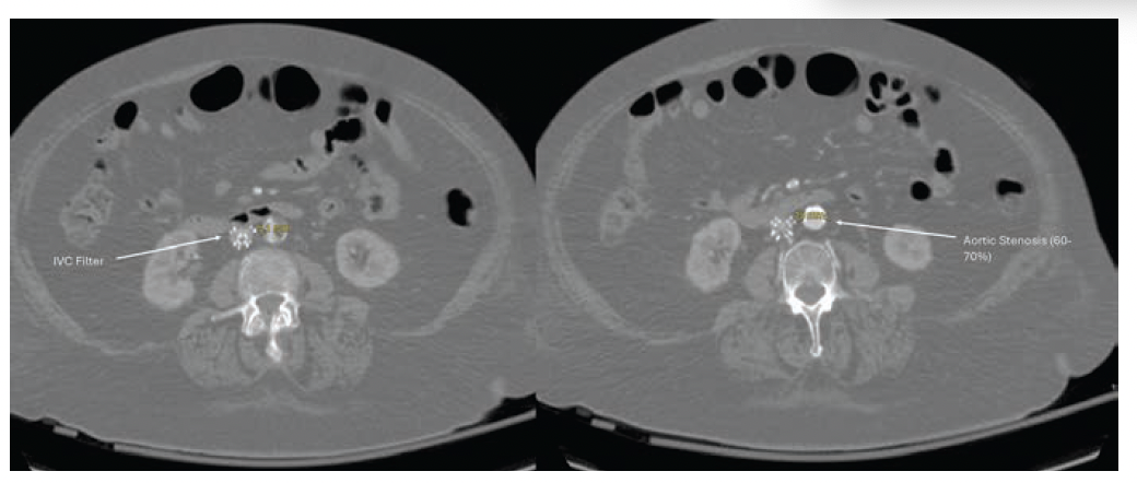
- Percutaneous Deep Vein Arterialization Using Zero Iodinated Contrast Technique for Limb Salvage in a Patient With Kidney Transplant and Impaired Renal Function
When contrast use isn’t an option, limb salvage may still be possible. This case highlights successful deep venous arterialization performed with zero iodinated contrast
in a patient with no-option CLTI and advanced renal disease—resulting in durable wound healing at 2 years. A compelling example of how CO₂ angiography and intravascular imaging can expand options for the highest-risk CLTI patients.
- Chronic Wound Care of the Lower Extremities: What Every Vascular Specialist Needs to Know
Chronic wound care is core to vascular medicine—but success depends on getting the basics right. This practical review walks through a structured approach to
evaluating wounds, identifying the underlying vascular cause, and tailoring treatment across arterial, venous, and diabetic ulcers. Packed with real-world guidance, it shows how early optimization and smart wound strategies can shorten healing time and prevent limb loss.
- Predictors of Long-Term Mortality in Patients Undergoing Major or Minor Lower-Extremity Amputations
Major and even “minor” lower-extremity amputations still carry a sobering long-term prognosis. In this original contribution, 7-year mortality reached 65% after major amputation and 51% after minor—driven largely by the first year, with coronary artery disease and chronic kidney disease emerging as the strongest independent predictors. This paper highlights risk stratification and underscores why aggressive cardiovascular and renal optimization must accompany every limb-loss decision.
- A Systematic Review of Clinical Trials in Patients With Critical Limb-Threatening Ischemia
Clinical trials shape CLTI care—but do they reflect the patients you treat? This review highlights the growing gap between randomized trial populations and real-world CLTI patients, where disease complexity, long lesions, and comorbidities are the norm. A timely call to rethink how we apply evidence and build pathways that truly fit everyday vascular practice.
- CT-Guided Lumbar Sympathectomy: A Palliative Approach for Intractable Ischemic Rest Pain in Chronic Limb-Threatening Ischemia
When revascularization isn’t an option, pain control becomes the priority in advanced CLTI. This article highlights computed tomography (CT)-guided lumbar
sympathectomy as a fast, minimally invasive palliative strategy that can dramatically relieve ischemic rest pain—even in frail, high-risk patients. A valuable reminder that symptom relief and quality of life still matter when limb salvage is no longer possible.


