Skip to main content

Volume 24 - Issue 4 - April 2024

Letter from the Editor
04/14/2024
Bradley P. Knight, MD, FACC, FHRS
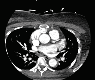
Avoiding an atrio-esophageal fistula remains a concern during atrial fibrillation ablation procedures.
Avoiding an atrio-esophageal fistula remains a concern during atrial fibrillation ablation procedures.
Avoiding an atrio-esophageal...
04/14/2024
EP Lab Digest
Clinical Images
04/10/2024


 

 
Phrenic nerve injury is a complication of all types of atrial fibrillation ablation. It is diagnosed based on symptoms and physical examination shortly after an electrophysiologic ablation.
Phrenic nerve injury is a complication of all types of atrial fibrillation ablation. It is diagnosed based on symptoms and physical examination shortly after an electrophysiologic ablation.
Phrenic nerve injury is a...
04/10/2024
EP Lab Digest
EP 101
03/25/2024
Kriegh P. Moulton, MD
Included is an overview of the principles of electrode recordings, including unipolar and bipolar recordings, interelectrode distance, and more.
Included is an overview of the principles of electrode recordings, including unipolar and bipolar recordings, interelectrode distance, and more.
Included is an overview of the...
03/25/2024
EP Lab Digest
Spotlight Interview
03/25/2024
Evy Nitzany, MS, RCES
In this issue, we highlight this cardiac electrophysiology program in Mountain View, California.
In this issue, we highlight this cardiac electrophysiology program in Mountain View, California.
In this issue, we highlight this...
03/25/2024
EP Lab Digest
Feature Interview
03/25/2024

Interview by Jodie Elrod

Interview by Jodie Elrod
Featured is a podcast discussion with William Cho, PA-C, and Monique Young, ACNP, on the benefits of advanced practice clinician-led clinical care for atrial fibrillation.
Featured is a podcast discussion with William Cho, PA-C, and Monique Young, ACNP, on the benefits of advanced practice clinician-led clinical care for atrial fibrillation.
Featured is a podcast discussion...
03/25/2024
EP Lab Digest
Feature Story
03/25/2024
Elizabeth A Moore, BSN, RN, MBA, and colleagues from University of Iowa Health Care discuss how their design and clinical teams overcame challenges to achieve a state-of-the-art procedural suite that delivers a modern, high-quality design.
Elizabeth A Moore, BSN, RN, MBA, and colleagues from University of Iowa Health Care discuss how their design and clinical teams overcame challenges to achieve a state-of-the-art procedural suite that delivers a modern, high-quality design.
Elizabeth A Moore, BSN, RN, MBA,...
03/25/2024
EP Lab Digest