The Key Reason Why Pulsed Field Ablation Will be Embraced: Fear of an Atrio-Esophageal Fistula After Thermal Ablation
© 2024 HMP Global. All Rights Reserved.
Any views and opinions expressed are those of the author(s) and/or participants and do not necessarily reflect the views, policy, or position of EP Lab Digest or HMP Global, their employees, and affiliates.
EP LAB DIGEST. 2024;24(4):6
Dear Readers,
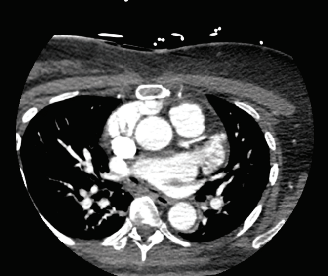
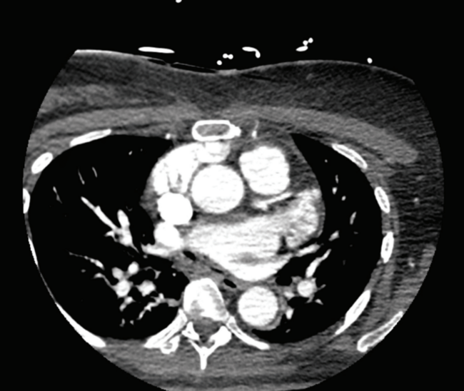
A 57-year-old woman is admitted to the hospital with a fever 2 weeks after a redo-redo atrial fibrillation (AF) ablation using radiofrequency (RF). Her procedure involved focal re-isolation of 2 pulmonary veins (PVs), a left atrial roof line, and posterior wall ablation. Computed tomography (CT) imaging excluded an atrio-esophageal fistula (AEF) and she was treated for post-ablation pericarditis. After a few more weeks of various symptoms, she developed recurrent strokes and sepsis. At that time, she was found to have mediastinal air on a CT scan (Figure) and referred for surgery. In the operating room, a fistula between the esophagus and left main bronchus was taken down and repaired.
AEFs are an uncommon but potentially lethal complication associated with left atrial ablation for AF. In the modern era, AEFs are rare but unfortunately still happen. As this recent case illustrates, AEFs are notoriously difficult to diagnose, often leading to delays in definitive therapy, and usually result in catastrophic outcomes. Fistulas have been dreaded since the first reported cases in 2004, early in the AF ablation experience.1 Therefore, many strategies have been employed to minimize esophageal injury during AF ablation. These include use of esophageal luminal temperature monitoring, esophageal deviation, and limiting the power and duration of energy delivery at left atrial sites when close to the esophagus.2 Another popular strategy as more posterior wall ablation is being performed is use of a protective esophageal cooling device. Despite these strategies, though, avoiding an AEF remains a concern during AF ablation procedures.
Pulsed field ablation (PFA) is a new, nearly nonthermal energy source developed for catheter ablation that causes irreversible electroporation of cardiac tissue.3 The results of the pivotal trial have shown PFA to be at least as effective in preventing recurrent AF compared to thermal approaches with RF and cryoballoon ablation. Based on experimental evidence and the large clinical experience with the Farapulse (Boston Scientific) system in Europe, the hope is that PFA will be relatively selective for cardiac tissue allowing for highly efficient ablation, with minimal if any risk of collateral injury to the phrenic nerve or esophagus.4 The MANIFEST-17K Registry included 17,000 patients who underwent catheter ablation using the Farapulse PFA system at 106 centers by 413 electrophysiologists between March 2021 and March 2023.5 The major adverse event rate was 0.98%, with the most common complication being pericardial tamponade (0.36%). There were no reports of an esophageal fistula, pulmonary vein stenosis, or persistent phrenic nerve injury.
There are now 2 commercially available PFA systems in the United States: the PulseSelect (Medtronic) and Farapulse (Boston Scientific) PFA systems. It will take time before these technologies are widely adopted, as hospitals need to justify the additional costs and free up capital for the new PFA generators. However, even if PFA is not shown to provide a major benefit compared to RF and cryoballoon ablation in terms of efficacy, if it can avoid the rarest but most dreaded complication of thermal ablation—AEF—I believe it will eventually take over as the primary mode of catheter ablation for AF.
Disclosures: Dr Knight has served as a paid consultant to Medtronic and was an investigator in the PULSED AF trial. In addition, he has served as a consultant, speaker, investigator, and/or has received EP fellowship grant support from Abbott, AltaThera, AtriCure, Baylis Medical, Biosense Webster, Biotronik, Boston Scientific, CVRx, Philips, and Sanofi; he has no equity or ownership in any of these companies.
References
1. Pappone C, Oral H, Santinelli V, et al. Atrio-esophageal fistula as a complication of percutaneous transcatheter ablation of atrial fibrillation. Circulation. 2004;109(22):2724-2726. doi:10.1161/01.CIR.0000131866.44650.46
2. Knight BP. Grilling a burger in the winter. EP Lab Digest. 2020;20(6):6.
3. Verma A, Haines DE, Boersma LV, et al, on behalf of the PULSED AF Investigators. Pulsed field ablation for the treatment of atrial fibrillation: PULSED AF pivotal trial. Circulation. 2023;147(19):1422-1432. doi:10.1161/CIRCULATIONAHA.123.063988
4. Knight BP. Pulsed field ablation: stunning or just stunning? EP Lab Digest. 2023;23(9):6.
5. Reddy VY. Multinational survey on the safety of the postapproval clinical use of pulsed field ablation in 17,000+ patients (MANIFEST-17K). Presented at: AHA 2023. November 11, 2023. Philadelphia, PA.


