Phrenic Nerve Injury After Combined Ablation for Atrial Fibrillation and Atrial Flutter
© 2024 HMP Global. All Rights Reserved.
Any views and opinions expressed are those of the author(s) and/or participants and do not necessarily reflect the views, policy, or position of EP Lab Digest or HMP Global, their employees, and affiliates.
EP LAB DIGEST. 2024;24(4):23
Phrenic nerve injury (PNI) is a complication of all types of atrial fibrillation (AF) ablation. While transient PNI is seen in 8%-11% of cases, persistent PNI accounts for 4.7%, and 0.37% of patients have permanent PNI lasting more than a year.
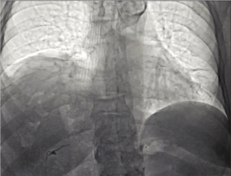
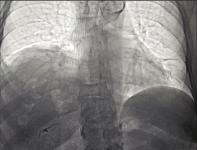
A 73-year-old female presented with typical atrial flutter and paroxysmal AF, requiring repeated cardioversions. She underwent cryoablation of the right atrium and pulmonary veins. No phrenic pacing was conducted during the ablation. At 2-week follow-up, she reported shortness of breath; physical examination revealed decreased breath sounds on the right side. Diagnostic fluoroscopy showed right hemidiaphragmatic elevation (Figure). A nerve conduction study confirmed PNI, showing no right phrenic/diaphragm compound motor action potential. The patient was managed conservatively, and her symptoms improved over the course of 6 months.
PNI is diagnosed based on symptoms and physical examination shortly after an electrophysiologic ablation. The right phrenic nerve runs close to the superior vena cava and right superior pulmonary vein; hence, this patient was more likely to suffer from PNI.
PNI recovery is unpredictable, but often occurs within 7 months. Management is conservative, although prevention is possible with phrenic nerve pacing before ablation. Prompt diagnosis can prevent unnecessary diagnostic testing of respiratory symptoms.
Disclosure: The authors have completed and returned the ICMJE Form for Disclosure of Potential Conflicts of Interest, and report no conflicts of interest regarding the content herein.


