Approach to Percutaneous Coronary Revascularization in Anomalous Right Coronary Artery Originating From Left Sinus of Valsalva
© 2025 HMP Global. All Rights Reserved.
Any views and opinions expressed are those of the author(s) and/or participants and do not necessarily reflect the views, policy, or position of Cath Lab Digest or HMP Global, their employees, and affiliates.
Pradnya Brijmohan Bhattad, MD1,3; Basel Humos, MD2; Wael Al-Husami, MD1,2
1Interventional Cardiology, Lahey Clinic, Massachusetts; 2Cardiology, Lahey Clinic, Massachusetts; 3Internal Medicine, Brijmohan Bhattad Hospital, Maharashtra, India
Disclosure: The authors report no conflicts of interest regarding the content herein.
Informed consent has been obtained from the patient for their anonymized information to be presented in this study.
The authors can be contacted via Pradnya Brijmohan Bhattad, MD, at pradnyabhattad20@gmail.com.
Percutaneous coronary intervention (PCI) of anomalous origin of the right coronary artery (RCA) from the left sinus of Valsalva poses a technical challenge, and often leads to excessive radiation time and usage of contrast, given the difficult guide catheter engagement. The uncommon location and course of this coronary anomaly present a technical challenge to a successful PCI outcome. Appropriate guide catheter selection is of the utmost importance for successful angiography and percutaneous revascularization, and to facilitate successful delivery of appropriate devices.1,2
We describe herein the case of 67-year-old female with no known prior cardiac disease history who presented with chest pain and had a non-ST segment elevation myocardial infarction presentation.
Procedure
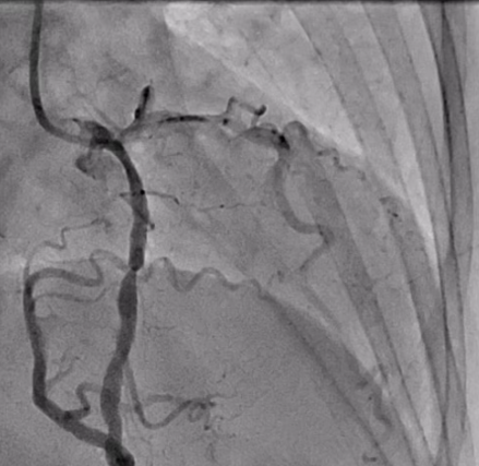
Via transradial access, diagnostic coronary angiography was performed and a 6 French Judkins left (JL) 3.5 diagnostic catheter was used to selectively engage the left coronary artery. A 6 French 3D right curve (3DRC) diagnostic catheter was used to selectively engage the anomalous RCA originating from the left sinus. Diagnostic coronary angiography demonstrated a severe lesion in the proximal RCA that was the culprit of the patient’s presentation. A 6 French JL 3.5 guiding catheter was used to engage the anomalous RCA. We were able to successfully perform PCI with deployment of a 4.0 mm drug-eluting stent in the proximal RCA with excellent angiographic results, minimizing usage of contrast, radiation time, and avoiding excessive catheter exchanges (Videos 1-5).
Conclusion
Selective angiography of anomalous coronaries can be challenging and time-consuming. The acute angle take-off of the origin of an anomalous RCA may pose further challenges to selective engagement and coaxial guide seating, and may not provide the adequate guide catheter support required for a successful PCI. Based on a current review of the literature, a variety of different guiding catheters have been used for PCI to an anomalous RCA.3 We used a JL3.5 guide catheter as it was able to selectively cannulate the ostium of the anomalous RCA from the left cusp. It is important to be aware of the usage of different techniques and guiding catheters to adequately engage the uncommon anomalous coronary for a successful PCI, especially during myocardial infarction (MI) presentations, given that in an acute MI, if an anomalous vessel is the culprit, such technical challenges can potentially delay the door-to-balloon time.
References
1. Uthayakumaran K, Subban V, Lakshmanan A, et al. Coronary intervention in anomalous origin of the right coronary artery (ARCA) from the left sinus of valsalva (LSOV): a single center experience. Indian Heart J. 2014 Jul-Aug;66(4):430-434. doi:10.1016/j.ihj.2014.05.029
2. Sun D, Bogart D. A technique to perform PCI and stenting in an anomalous RCA from the left sinus of Valsalva. Case Rep Cardiol. 2012;2012:801423. doi:10.1155/2012/801423
3. Ben-Dor I, Weissman G, Rogers T, et al. Catheter selection and angiographic views for anomalous coronary arteries: a practical guide. JACC Cardiovasc Interv. 2021 May 10; 14(9): 995-1008. doi:10.1016/j.jcin.2021.01.054


