Skip to main content

Volume 17, Issue 6 - June 2020

Case Report
06/23/2020
Venkatesh G. Ramaiah, MD; Dinesh Kumar, MD
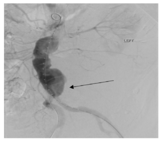
Ruptured abdominal aortic aneurysms (rAAA) represent the 13th leading cause of mortality in the United States.
Ruptured abdominal aortic aneurysms (rAAA) represent the 13th leading cause of mortality in the United States.
Ruptured abdominal aortic...
06/23/2020
Vascular Disease Management
Case Report
06/08/2020
Daniel Raskin, MD; Boris Khaitovich, MD; Shmuel Balan, RT; Daniel Silverberg, MD; Moshe Halak, MD; Uri Rimon, MD
This study reports technical success and short-term outcome following recanalization of native infrainguinal arteries after bypass graft failure in patients with CLI.
This study reports technical success and short-term outcome following recanalization of native infrainguinal arteries after bypass graft failure in patients with CLI.
This study reports technical...
06/08/2020
Vascular Disease Management
Case Report
06/08/2020
Caroline E. Fife, MD, FAAFP, CWS, FUHM; Michael Hust, MD, FACC, FSCAI; Oscar R. Rosales, MD
The authors present the case of an 82-year-old woman with a history of hypertension who presented as a referral for a non-healing ulcer of the left Achilles area.
The authors present the case of an 82-year-old woman with a history of hypertension who presented as a referral for a non-healing ulcer of the left Achilles area.
The authors present the case of...
06/08/2020
Vascular Disease Management
Clinical Review
06/05/2020
Cynthia K. Shortell, MD, FACS; Jovan N. Markovic, MD
The authors developed and evaluated a novel hybrid approach to retrograde SMA revascularization via jejunal arterial access that requires a mini-laparotomy.
The authors developed and evaluated a novel hybrid approach to retrograde SMA revascularization via jejunal arterial access that requires a mini-laparotomy.
The authors developed and...
06/05/2020
Vascular Disease Management
Editor's Corner
06/05/2020
Craig M. Walker, MD, FACC, FACP, FSCAI, FCCP
Dr. Walker comments on the article authored by Drs Jovan Markovic and Cynthia Shortell titled: “Hybrid Approach to Chronic and Acute-on-Chronic Mesenteric Ischemia With Retrograde Stenting of the Superior Mesenteric Artery via Jejunal...
Dr. Walker comments on the article authored by Drs Jovan Markovic and Cynthia Shortell titled: “Hybrid Approach to Chronic and Acute-on-Chronic Mesenteric Ischemia With Retrograde Stenting of the Superior Mesenteric Artery via Jejunal...
Dr. Walker comments on the...
06/05/2020
Vascular Disease Management