Ruptured Abdominal Aortic Aneurysm With Incidental Large Splenic Artery Aneurysm: An Unusual Case Report
Abstract
Visceral artery aneurysms are rare, and some have been reported that involve most major visceral arteries. The most common visceral artery aneurysm is splenic artery (SA) aneurysm, but aneurysms also occur in hepatic, superior and inferior mesenteric, renal, celiac, and other arteries. However, these are usually isolated and limited to one or, at most, two visceral vessels or are associated to specific systemic disorders such as vasculitis or collagen vascular diseases. We have identified a patient who presented with ruptured abdominal aortic aneurysms (rAAA), and later also was shown to have a 7 cm splenic artery aneurysm. To our knowledge review of the literature has not revealed a similar type of case of multiple aneurysmal degeneration of arteries as demonstrated here.
VASCULAR DISEASE MANAGEMENT 2020;17(6):E126-E130
Key words: Splenic artery, ruptured abdominal aortic aneurysm
Introduction
Ruptured abdominal aortic aneurysms (rAAA) represent the 13th leading cause of mortality in the US.1 Abdominal aortic aneurysm is a segmental, full-thickness dilatation of the abdominal aorta exceeding the normal vessel diameter by 50%, although an aneurysm diameter of 3.0 cm is commonly regarded as the threshold. The natural history is characterized by progressive expansion; however, the growth rate for individual aneurysms can vary considerably, with some remaining stable for years and others growing rapidly. The best-known predictor of rupture of abdominal aortic aneurysms is aneurysm size.2,3 Aneurysms are usually asymptomatic until they rupture. Rupture is often lethal; mortality is 85 to 90%. Of those persons who reach the hospital, only 50 to 70% survive.3,4 Thus, the goal is to identify and treat aneurysms before they rupture.
Visceral artery aneurysms (VAAs) are rare—reported incidence of visceral artery aneurysms is approximately 0.01 to 2%5 and typically are diagnosed incidentally during imaging for other conditions. VAAs involve the splenic artery in 60% to 80% of cases.6 Splenic artery aneurysms are the third most common abdominal aneurysms, behind infrarenal aorta and iliac artery aneurysms; however, the actual incidence of the disease ranges from 0.01 to 0.98%.7-9 Splenic artery aneurysm rupture is an even rarer event occurring in only 2 to 3% of all splenic artery aneurysms.7,8 These patients present with acute abdominal pain and bleeding that is associated with a high rate of morbidity and mortality.
Management of visceral artery aneurysms remains an extremely challenging clinical problem. Significant questions exist regarding the optimal therapeutic choice (surgery vs endovascular procedure), and the predictors of clinical outcome. Current recommendations are that SA aneurysms 2 cm or larger should be repaired.
To date the literature pointed to the presence of some risk factors correlating to the development of splenic artery aneurysm such as fibromuscular dysplasia, collagen vascular diseases, female gender, history of multiple pregnancies and portal hypertension.10
We describe a case of 68-year-old male that presented with a rAAA with no past history of or known AAA and later was also shown to have an incidental, large splenic artery aneurysm in the absence of a clear etiological factor.
Case Presentation
A 68-year-old male patient was transferred from another regional medical center who complained of a couple of days of back pain and abdominal and flank pain. The patient was also found to be hypotensive with blood pressure in the 60s and 70s. The emergency room doctor performed a quick ultrasound and noted that the patient had an abdominal aortic aneurysm greater than 6 to 7 cm in size, with a possible contained rAAA. No CT scan was adminstered. The patient was placed on an emergency flight to our center for further management and was immediately sent to surgery. His medical history included hypertension, stage 3 chronic renal insufficiency, and benign prostatic hyperplasia (BPH).
There was no history of diabetes mellitus, coronary heart disease, trauma, or previous intra-abdominal surgery. The patient quit smoking about 10 years ago and had no known or past medical history of aortic aneurysm.
Upon presentation, the patient’s blood pressure was in the 70s to 80s, pulse was 104/min, respiratory rate was 22/min, oxygen saturation was 93% on room air, temperature was 36.5°C, and body mass index was 27.4 kg/m2. He appeared to be in obvious discomfort. Physical examination revealed bilateral clear lungs, a regular heart rate and rhythm, and an abdomen that was soft and had mild distention. The patient had considerable discomfort on light palpation of the abdomen; no AAA or hepatosplenomegaly were palpated. Laboratory results produced a white blood cell count of 21 × 109/L, hemoglobin 10.3 and hematocrit of 31%, international normalized ratio of 1.3.
The patient was taken directly to surgery. An intraoperative aortogram revealed a nipple like projection at the distal part of the aorta and this was probably the area where he had ruptured (Figure 1). The patient underwent endoluminal graft placement under local anesthesia.
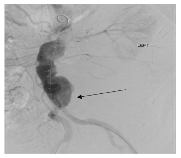
The postoperative course was uneventful. Since the patient did not get a preoperative CT scan, we decided to do a CT scan prior to his discharge. The CT scan revealed a left perinephric and retroperitoneal hematoma adjacent to prior AAA rupture and an incidental large 7 cm middle 1/3 splenic artery aneurysm (Figure 2), for which the patient underwent coil embolization of the splenic artery aneurysm. Postoperatively, the patient did very well and a repeat CT scan yielded no evidence of splenic infarction or other pathology.
Discussion
Reported mortality rates for patients with a ruptured AAA are as high as 90%.12 In contrast, mortality rates for patients undergoing elective AAA repair are typically less than 10%.13 Accordingly, it is imperative to diagnose AAA before rupture. The risk factors for AAA include male sex, age greater than 65 years, a history of tobacco use, and a family history of AAA in first-degree relatives.11 It is estimated that 4% to 8% of men and 0.5% to 2% of women older than age 60 years have AAA.1 If left untreated, the natural progression of AAA is to continue to enlarge. Larger aneurysms have an associated higher risk of rupture. In addition, larger aneurysms expand at a faster rate than smaller aneurysms.12 A 5-cm aneurysm has an estimated 20% annual risk of rupture, whereas a 6-cm aneurysm has an estimated 40% annual risk of rupture.12 Aneurysm repair is a relatively safe and effective way to minimize the risk of death associated with rupture.13-16 Along with ordering appropriate AAA screening, primary care physicians should be knowledgeable about when to refer a patient to a vascular surgeon, how to optimize a patient’s comorbid conditions before surgery, the potential complications, and the necessary post-repair surveillance.
Dedicated ultrasonography is the gold standard for AAA screening. However, AAA can also be detected by physical examination. According to the Society for Vascular Surgery, all men and women older than age 65 years who have smoked more than 100 cigarettes in their lifetime, as well as those with a family history of AAA in a first-degree relative should undergo 1-time abdominal aortic ultrasonography.11
Recent studies indicate a decreasing prevalence of abdominal aortic aneurysm (AAA) in the male Western population, mainly as a result of reduced smoking exposure.17,18 At the same time, screening programs for AAA targeting 65-year-old men have been introduced to enable timely detection of the aneurysm among those affected. Additionally, the broad introduction of endovascular aortic repair (EVAR) has resulted in an increasing intact AAA repair activity. Overall, these trends result in more people with AAA to be offered an elective preventive aortic repair before rupture occurs.18-20 The mortality due to rAAA is affected by several factors, including the incidence of rupture, rate of patients with rupture who arrive to the hospital alive, diagnostic accuracy, proportion of patients turned down for surgical repair, as well as peri-operative mortality. Over the past decades, changes in acute patient management, progress in surgical care, and the introduction of EVAR have drastically changed the landscape in rAAA management. While some studies indicate a lower number of ruptures and improved outcome for those who undergo repair over time, little is known regarding the development in overall outcome for ruptures when also including those who do not undergo an attempt at surgical repair.21
The clinical presentation of rAAA is classically described as a triad of abdominal and/or back pain, hypotension and an expansile abdominal mass.23 However, patients with rAAA may also present atypically with isolated symptoms commonly encountered in the Emergency Department (ED), for example, lower back pain or syncope.24 An expansile abdominal mass is frequently not detected, with one analysis of pooled datasets suggesting that the positive predictive value of clinical examination for identifying AAAs was only 43%.25 One study of 243 patients with known AAAs found that only 23% were palpable, even when the assessing clinician knew the diagnosis.26 AAAs are particularly less likely to be detected on clinical examination in obese patients.27 Atypical rAAA presentations reported in the published literature include transient lower limb paralysis28-29, unilateral leg swelling30, testicular ecchymosis31-32, iliofemoral venous thrombosis33, inguinoscrotal mass34, phlegmasia cerulea dolens (lower limb pain, swelling and cyanosis)35 and even obstructive jaundice36. The infrequent and varied presentation of rAAA may lead to misdiagnosis in anywhere between 16 and 62% of cases.37-42 Misdiagnosis of rAAA might contribute towards treatment delay or influence operative survival, and more research is required to describe the factors associated with accurate clinical diagnosis of this surgical emergency. Data from the AJAX Trial (Amsterdam Acute Aneurysm Trial) suggest that improvements in rAAA logistics, including centralization and preoperative planning, are key to optimizing outcomes.22
Splenic artery aneurysm (SAA) was first described by Beaussier in 1770.43 Their reported prevalence, however, varies considerably from 0.16% in an unselected autopsy series to 10.4% when SAAs were deliberately searched for in a population >60 years old.44
SAAs are more common in females, with a female-to-male ratio of 4:1.45 Although the pathogenesis is still not clear, many contributing factors have been described, which were found to play a role in the development of splenic artery aneurysm including medial fibrodysplasia, pregnancy, portal hypertension, splenomegaly, liver cirrhosis, orthotropic liver transplantation, degenerative atherosclerosis, pancreatic pseudocyst, polyarteritis nodosa, vasculitis and congenital anomalies affecting the arteries of the foregut.46-48 None of these factors was identified in our case.
Splenic artery aneurysms are being diagnosed more commonly than in the past, mainly because of increased availability of CT and angiography.49
Detection of splenic artery aneurysms is usually incidental, and the rarity of the event precludes any recommendations for routine screening, even in pregnancy.8,50 Most splenic artery aneurysms are asymptomatic, while others usually present with vague symptoms such as nausea, vomiting, and abdominal pain.8 When splenic artery aneurysms are suspected, angiography is the gold standard for diagnosis.51 CT and MRI scans are useful for 3D evaluation of aneurysms, and even X-ray can detect splenic artery aneurysms with calcifications. In pregnancy, however, ultrasound is the preferred diagnostic modality.52
Distribution
Multiple aneurysms are present in approximately one-third of the cases.6 The distribution among visceral arteries is53:
• splenic artery aneurysm: ~70% (range 60-80%)
• hepatic artery aneurysm: ~20%
• superior mesenteric artery aneurysm: ~5%
• gastroduodenal artery and pancreatic branches: ~6%
• celiac artery aneurysm: ~4%
• gastric and gastroepiploic artery aneurysm: ~4%
• jejunal and ileocolic arteries: ~3%
• inferior mesenteric artery aneurysm: <1%
Management of splenic artery aneurysms depends on their size, location, and presenting symptoms. In nonpregnant patients, splenic artery aneurysms larger than 2 cm, regardless of symptoms, should be treated. Techniques for treating splenic artery aneurysms in nonpregnant patients include laparoscopic ligation or resection, transcatheter embolization, and percutaneous angiographic embolization.7 In pregnant patients, splenic artery aneurysms of any size should be treated operatively.7 Minimally invasive operative techniques such as operative occlusion, resection, and arterial bypass can be safely performed in stable pregnant patients.7 The mortality rate of nonemergent treatment of splenic artery aneurysms ranges from 0.5% to 1.3%, which is statistically superior to the 75% mortality rate of emergently managed splenic artery aneurysms in pregnant women.
Since variations in hormonal milieu contribute to extracellular matrix degeneration, SAAs are more common in women.57 Most aneurysms are small (2 to 4 cm), saccular, asymptomatic and located in the mid to distal third of the splenic artery.53 Rarely noted, is aneurysmal degeneration of the entire artery (cirsoid aneurysm). Although there are multiple causes of SAAs, most are degenerative. Association with portal hypertension and pregnancy are well documented. Estrogen and progesterone receptors in the arterial wall and additive effects of relaxin, as well as the high-flow state associated with pregnancy further contribute to the deleterious effects.53 Pseudoaneurysms associated with pancreatitis and pancreatic pseudocysts are a frequent cause of SAAs. With regard to splenic artery pseudoaneurysms, the size of the aneurysm sac is a poor predictor of rupture. Rates of rupture in a SAA is 2%, with a mortality rate of 36%.49 Rupture of an SAA during pregnancy, most often in the third trimester, is a catastrophic event, with reported maternal and fetal mortality rates of 70% and 90%, respectively.53
Patients with SAA rupture usually present with left upper quadrant pain radiating to the subcapsular region, often resulting in hypotension. Initial rupture is contained within the lesser sac, followed by penetration of the lesser sac and free rupture into the peritoneal cavity—often known as the “double rupture phenomenon.” Therefore, open surgery is justified for treatment of symptomatic as well as aneurysms associated with pregnancy.53
Surgical treatment for splenic artery aneurysms includes splenectomy and aneurysmectomy. Distal pancreatectomy may be performed when the aneurysm is deeply embedded in the pancreatic tissue. Splenic preservation without vascular reconstruction carries a risk of splenic infarction or abscess formation.
Aneurysms of the proximal vessel may be treated with aneurysmectomy and end-to-end anastomosis or simple ligation/exclusion without arterial reconstruction. Splenectomy must be performed when aneurysms are located at the splenic hilus. When possible, arterial reconstruction is preferred to ligation/ exclusion.55 When splenectomy is performed, heterotopic splenic auto transplantation into the omentum may be performed to prevent the risk of postsplenectomy infection.54
Occasional reports of stent graft placement in the SA have been reported. Favorable situations for stent graft placement include a wide neck aneurysm and proximal location of the aneurysm. This offers the benefit of maintaining splenic perfusion, while excluding the aneurysm, thereby eliminating the risk of aneurysm rupture.56 In addition, treatment with stent grafts allows future access into the splenic artery if selective embolization of the spleen is required for hypersplenism. The natural history of true splenic artery aneurysms involves elongation and increasing tortuosity of the vessel, thereby limiting the delivery of a covered stent to the mid or distal aspect of the splenic artery, due to the existing device limitations.57 In such cases, coil embolization of the aneurysm may be performed.
A concern for splenic insufficiency exists after main splenic artery embolization. Infarcts and splenic atrophy are noted in as much as 40% of cases after distal or hilar splenic artery ablation, however with minimal clinical sequelae.57
Conclusions
Our above case highlights the significance of appropriate screening for AAA. Unfortunately, in the case reported above, the patient’s AAA remained undiagnosed until he presented to the emergency department with a rupture of his AAA. A screening ultrasonogram would likely have identified his AAA before rupture and allowed him to be evaluated for surgical management. This case stresses the potential role for screening programs. Limitations to screening are many, including limited time in each clinic visit and patient hesitancy to screening. We suggest dedicated clinic visits to address preventive care recommendations and patient education, which would increase compliance and allow adequate discussion surrounding the patient’s goals and preferences.
Splenic artery aneurysm is uncommon, typically asymptomatic, and the rarity of the event precludes any recommendations for routine screening. SAA is a challenging diagnosis that needs to be considered in patients presenting with other visceral artery aneurysms as well as abdominal aortic aneurysm regardless of the presence of any identifiable risk factors. Prompt treatment is detrimental to patient survival because of rupture risk.
Disclosure: The authors have completed and returned the ICMJE Form for Disclosure of Potential Conflicts of Interest. They report no conflicts of interest regarding the content herein.
Manuscript submitted May 17, 2020, final version accepted May 22, 2020.
Address for correspondence:
Dinesh Kumar, MD, HonorHealth, Scottsdale, Arizona, USA
Email: drdinesh17@gmail.com
REFERENCES
1. Calero A, Illig KA. Overview of aortic aneurysm management in the endovascular era. Semin Vasc Surg. 2016;29(1-2):3-17.
2. Szilagyi DE, Smith RF, DeRusso FJ, Elliott JP, Sherrin FW. Contribution of abdominal aortic aneurysmectomy to prolongation of life. Ann Surg. 1966;164(4):678-699.
3. Powell JT, Greenhalgh RM. Small abdominal aortic aneurysms. N Engl J Med. 2003;348:1895-1901.
4. Brown LC, Powell JT. Risk factors for aneurysm rupture in patients kept under ultrasound surveillance. Ann Surg. 1999;230(3):289-296.
5. Belli AM, Markose G, Morgan R. The role of interventional radiology in the management of abdominal visceral artery aneurysms. Cardiovasc Intervent Radiol. 2012;35(2):234-243.
6. Pasha SF, Gloviczki P, Stanson AW, Kamath PS. Splanchnic artery aneurysms. Mayo Clin Proc. 2007;82(4):472-479.
7. Selo-Ojeme DO, Welch CC. Review: spontaneous rupture of splenic artery aneurysm in pregnancy. Eur J Obstet Gynecol Reprod Biol. 2003;109(2):124-127.
8. Garey ML, Greenberger S, Werman HA. Ruptured splenic artery aneurysm in pregnancy: a case series. Air Med J. 2014;33(5):214-217.
9. Arepally A, Dagli M, Hofmann LV, Kim HS, Cooper M, Klein A. Treatment of splenic artery aneurysm with use of a stent-graft. J Vasc Interv Radiol. 2002;13(6):631-633.
10. Mees B, Robinson D, Verhagen H, Chuen J. Non-aortic aneurysms—natural history and recommendations for referral and treatment. Aust Fam Physician. 2013;42(6):370-374.
11. Chaikof EL, Dalman RL, Eskandari MK, et al. The society for vascular surgery practice guidelines on the care of patients with an abdominal aortic aneurysm. J Vasc Surg. 2018;67(1):2-77.e2.
12. Keisler B, Carter C. Abdominal aortic aneurysm. Am Fam Physician. 2015;91(8):538-543.
13. The United Kingdom EVAR Trial Investigators; Greenhalgh RM, Brown LC, Powell JT, Thompson SG, Epstein D, Sculpher MJ. Endovascular versus open repair of abdominal aortic aneurysm. N Engl J Med. 2010;362(20):1863-1871.
14. United Kingdom EVAR Trial Investigators; Greenhalgh RM, Brown LC, Powell JT, Thompson SG, Epstein D. Endovascular repair of aortic aneurysm in patients physically ineligible for open repair. N Engl J Med. 2010;362(20):1872-1880.
15. Bush RL, Johnson ML, Collins TC, et al. Open versus endovascular abdominal aortic aneurysm repair in VA hospitals. J Am Coll Surg. 2006;202(4):577-587.
16. van Schaik TG, Yeung KK, Verhagen HJ, et al. Long-term survival and secondary procedures after open or endovascular repair of abdominal aortic aneurysms. J Vasc Surg. 2017;66(5):1379-1389.
17. Svensjö S, Björck M, Gürtelschmid M, et al. Low prevalence of abdominal aortic aneurysm among 65-year-old Swedish men indicates a change in the epidemiology of the disease. Circulation. 2011;124(10):1118-1123.
18. Jacomelli J, Summers L, Stevenson A, Lees T, Earnshaw JJ. Impact of the first 5 years of a national abdominal aortic aneurysm screening programme. Br J Surg. 2016;103(9):1125-1131.
19. Wanhainen A, Hultgren R, Linné A, et al. Outcome of the Swedish Nationwide Abdominal Aortic Aneurysm Screening Program. Circulation. 2016;134(16):1141-1148.
20. Lilja F, Mani K, Wanhainen A. Editor’s choice—trend-break in abdominal aortic aneurysm repair with decreasing surgical workload. Eur J Vasc Endovasc Surg. 2017;53(6):811-819.
21. Gunnarsson K, Wanhainen A, Djavani Gidlund K, Björck M, Mani K. Endovascular versus open repair as primary strategy for ruptured abdominal aortic aneurysm: a national population-based study. Eur J Vasc Endovasc Surg. 2016;51(1):22-28.
22. Reimerink JJ, Hoornweg LL, Vahl AC, et al. Endovascular repair versus open repair of ruptured abdominal aortic aneurysms: a multicenter randomized controlled trial. Ann Surg. 2013;258(2):248-256.
23. Sayers R. Bailey & Love's short practice of surgery, 26th ed. Boca Raton, FL: CRC Press; 2013.
24. Metcalfe D, Holt PJ, Thompson MM. The management of abdominal aortic aneurysms. BMJ. 2011;342:d1384.
25. Lederle FA, Simel DL. The rational clinical examination. Does this patient have abdominal aortic aneurysm? JAMA. 1999;281(1):77-82.
26. Chervu A, Clagett GP, Valentine RJ, Myers SI, Rossi PJ. Role of physical examination in detection of abdominal aortic aneurysms. Surgery. 1995;117(4):454-457.
27. Lederle FA, Walker JM, Reinke DB. Selective screening for abdominal aortic aneurysms with physical examination and ultrasound. Arch Intern Med. 1988;148(8):1753-1756.
28. Kamano S, Yonezawa I, Arai Y, Iizuka Y, Kurosawa H. Acute abdominal aortic aneurysm rupture presenting as transient paralysis of the lower legs: a case report. J Emerg Med. 2005;29(1):53-55.
29. Whitwell GS, Vowden P. An unusual presentation of a ruptured abdominal aortic aneurysm. Eur J Vasc Endovasc Surg. 2002;23(5):465-466.
30. Talbot R, Andrews J, Munns J. Ruptured abdominal aortic aneurysm presenting as acute unilateral leg swelling—not all swelling below the knee is DVT. BMJ Case Rep. 2012;pii:bcr0220125897.
31. Ratzan RM, Donaldson MC, Foster JH, Walzak MP. The blue scrotum sign of Bryant: a diagnostic clue to ruptured abdominal aortic aneurysm. J Emerg Med. 1987;5(4):323-329.
32. Dargin JM, Lowenstein RA. Ruptured abdominal aortic aneurysm presenting as painless testicular ecchymosis: the scrotal sign of Bryant revisited. J Emerg Med. 2011;40(3):e45-e48.
33. Eimany A, Roberts AK. Bilateral iliofemoral venous thrombosis: a rare presentation of ruptured aortic aneurysm. Aust N Z J Surg. 1998;68(9):681-683.
34. Moissinac K, Boon Chong Se To, Liew NC, Yunus Gul. Abdominal aortic aneurysm rupture masquerading as strangulated inguinal hernia. Am J Emerg Med. 2001;19(7):604-605.
35. Myers PO, Kalangos A, Terraz S. Ruptured aortic aneurysm masquerading as phlegmasia cerulea. Am J Emerg Med. 2008;26(9):1067.e1-2.
36. Dorrucci V, Dusi R, Rombolà G, Cordiano C. Contained rupture of an abdominal aortic aneurysm presenting as obstructive jaundice: report of a case. Surg Today. 2001;31(4):331-332.
37. Gaughan M, McIntosh D, Brown A, Laws D. Emergency abdominal aortic aneurysm presenting without haemodynamic shock is associated with misdiagnosis and delay in appropriate clinical management. Emerg Med J. 2009;26(5):334-339.
38. Marston WA, Ahlquist R, Johnson G Jr, Meyer AA. Misdiagnosis of ruptured abdominal aortic aneurysms. J Vasc Surg.1992;16(1):17-22.
39. Johansson G, Swedenborg J. Ruptured abdominal aortic aneurysms: a study of incidence and mortality. Br J Surg. 1986;73(2):101-103.
40. Akkersdijk GJ, van Bockel JH. Ruptured abdominal aortic aneurysm: initial misdiagnosis and the effect on treatment. Eur J Surg. 1998;164(1):29-34.
41. Acheson AG, Graham AN, Weir C, Lee B. Prospective study on factors delaying surgery in ruptured abdominal aortic aneurysms. J R Coll Surg Edinb. 1998;43(3):182-184.
42. Rose J, Civil I, Koelmeyer T, Haydock D, Adams D. Ruptured abdominal aortic aneurysms: clinical presentation in Auckland 1993-1997. ANZ J Surg. 2001;71(6):341-344.
43. Lynch MJ, Woodford NW. Rupture of a splenic artery aneurysm during pregnancy with maternal and foetal death: a case report. Med Sci Law. 2008;48(4):342-345.
44. Trastek VF, Pairolero PC, Bernatz PE. Splenic artery aneurysms. World J Surg. 1985;9(3):378-383.
45. Dave SP, Reis ED, Hossain A, Taub PJ, Kerstein MD, Hollier LH. Splenic artery aneurysm in the 1990s. Ann Vasc Surg. 2000;14(3):223-229.
46. Kim Y, Johna S. Laparoscopic excision of splenic artery aneurysm. JSLS. 2013;17(1):132-134.
47. Annicchiarico BE, Avolio AW, Caracciolo G, et al. Late development of splenic artery aneurysm after orthotopic liver transplantation: a case report. Transplant Proc. 2009;41(4):1383-1385.
48. Ailawadi G, Cowles RA, Stanley JC, et al. Common celiacomesenteric trunk: aneurysmal and occlusive disease. J Vasc Surg. 2004;40(5):1040-1043.
49. Carr SC, Mahvi DM, Hoch JR, Archer CW, Turnipseed WD. Visceral artery aneurysm rupture. J Vasc Surg. 2001;33(4):806-811.
50. Nanez L, Knowles M, Modrall JG, Valentine RJ. Ruptured splenic artery aneurysms are exceedingly rare in pregnant women. J Vasc Surg. 2014;60(6):1520-1523.
51. Jacobson J., Gorbatkin C., Good S., Sullivan S. Splenic artery aneurysm rupture in pregnancy. Am J Emerg Med. 2017;35(6):935-935.e8.
52. Sadat U, Dar O, Walsh S, Varty K. Splenic artery aneurysms in pregnancy—a systematic review. Int J Surg. 2008;6(3):261-265.
53. Nosher JL, Chung J, Brevetti LS, Graham AM, Siegel RL. Visceral and renal artery aneurysms: a pictorial essay on endovascular therapy. Radiographics. 2006;26(6):1687-1704.
54. Chiesa R, Astore D, Guzzo G, et al. Visceral artery aneurysms. Ann Vasc Surg. 2005;19(1):42-48.
55. Huang YK, Hsieh HC, Tsai FC, Chang SH, Lu MS, Ko PJ. Visceral artery aneurysm: risk factor analysis and therapeutic opinion. Eur J Vasc Endovasc Surg. 2007;33(3):293-301.
56. Boudghène F, L'Herminé C, Bigot JM. Arterial complications of pancreatitis: diagnostic and therapeutic aspects in 104 cases. J Vasc Interv Radiol. 1993;4(4):551-558.
57. Pulli R, Dorigo W, Troisi N, Pratesi G, Innocenti AA, Pratesi C. Surgical treatment of visceral artery aneurysms: a 25-year experience. J Vasc Surg. 2008;48(2):334-342.


