Hydrogel Enriched With Sodium Alginate and Vitamins A and E for Diabetic Foot Ulcer: A Randomized Controlled Trial
Abstract
Introduction. Diabetic foot ulcers usually are hard to heal, and amputation is sometimes necessary. Wound bed preparation helps promote the normal healing process, and debridement is fundamental to improving the wound microenvironment. Hydrogel enriched with sodium alginate and vitamins A and E is a new treatment that can aid in debridement and WBP. Objective. This study evaluates the efficacy of the autolytic debridement promoted by hydrogel in the healing of DFU. Materials and Methods. This was a single-blind randomized controlled trial with a 12-week follow-up period. Twenty-six patients were randomized into either the control group (cleaning and a simple dressing) or the experimental group (hydrogel treatment). Nineteen patients completed the trial. The wound area, healing, and wound severity classification based on PUSH were evaluated, and microscopic evaluation of the presence of inflammatory infiltrate and collagen production was performed. Results. The average patient age, duration of the open wound, and presence of diabetes were similar between the groups. The initial wound area was larger in the experimental group than in the control group, however. No statistically significant differences were found in any of the outcomes (lesion area and PUSH subscores) between the groups. Histological analysis demonstrated a reduction in the inflammatory infiltrate in the experimental group; however, there was no increase in collagen production. Conclusions. The use of enriched hydrogel was found to be of no benefit compared with conventional dressings in the management of DFU.
Abbreviations
CONSORT, Consolidated Standards of Reporting Trials; DFU, diabetic foot ulcer; PSR, picrosirius red; PUSH, Pressure Ulcer Scale for Healing; WBP, wound bed preparation.
Introduction
Diabetic foot ulcers are full-thickness lesions that extend from the distal skin to the malleolus, and they are a significant complication of diabetes.1 Up to 25% of patients with diabetes experience a DFU.2 Diabetic neuropathy increases the risk of uncontrolled recurring lesions in the lower limbs and is a risk factor for foot and leg ulceration that may necessitate amputation.3 With an average healing time of 1 year, such ulcers are associated with poor clinical outcomes, increased morbidity and mortality, and worsening of quality of life.4,5
Cutaneous traumas cause physiological cellular and tissue responses in the healing process; these include infiltration of inflammatory cells, epithelialization, granular tissue formation, extracellular matrix deposition, wound contraction, and tissue maturation. In diabetic wounds, this repair response cycle is altered, with inadequate secretion of extracellular matrix proteins and the deregulation of macrophage activity. Additionally, there is an increase in fibroblast apoptosis, impaired angiogenesis, and reepithelialization.6 Diabetes increases oxidative stress, causing chronic inflammation that damages cells that undergo senescence conversion, and as a result, become pro-inflammatory and perpetuate this phenotype in all tissues. Such cellular senescence may contribute to the chronification of ulcers, local ischemia, and an increase in bacterial load and necrotic tissue.7
Adequate WBP aids progression of the normal repair process in these situations.8 Debridement is essential to WBP and allows for the removal of necrotic tissue, thus reducing the number of microorganisms, toxins, and other substances that prevent healing.9,10 The autolytic debridement method consists of keeping the wound wet so that the cells and endogenous enzymes remove the necrotic tissue. Hydrogels are a widely used type of autolytic debridement dressing. They consist of compounds of hydrophilic polymers inside an interdimensional matrix that can create a wet environment on the wound bed, thus facilitating endogenous enzymes in the autolysis of necrotic and apoptotic tissue.11,12
A product that combines hydrogel with calcium alginate, oily acids, and vitamins A and E (Dersani Hidrogel; Laboratório Daudt Oliveira LTDA) is a new therapeutic option for treating a DFU. The hydrogel promotes autolytic debridement, and alginate stimulates new granulation tissue on the wound bed. Oily acids (capric acid triglycerides, lecithin, retinol palmitate, α-tocopherol) and vitamins A and E facilitate the reepithelialization process.13 In a recent case series, amorphous hydrogel enriched with oily acids and vitamins A and E was used to treat ulcers on the lower limbs of patients with diabetes. Of the 7 patients, 2 had achieved complete healing and 5 had experienced reductions in lesion area and PUSH score.14
Based on those promising results, the current clinical trial was designed to evaluate the efficacy of autolytic debridement promoted by hydrogel with sodium alginate enriched with oily acid and vitamins A and E to stimulate wound bed healing in DFUs. The microscopic effects of the hydrogel in promoting collagen production and reducing inflammatory infiltrates in the wound bed were qualitatively evaluated.
Materials and Methods
Study design
This was a single-blinded randomized controlled trial with a 12-week follow-up period. The main aim of the study was to assess the use of amorphous hydrogel enriched with oily acids and vitamins A and E in the treatment of DFU. The study was conducted in a specialty clinic that is considered a reference unit for the eastern region of São Paulo State, Brazil. The research was conducted over a 9-month period (April 2017 through December 2017). The study was performed according to the ethical requirements determined by Resolution no. 466, of December 12, 2012, of the Brazilian National Health Council and other regulations. The study was analyzed by the Ethics Committee in Research of the Santa Marcelina Hospital, São Paulo, Brazil with the consolidated report of approval no. 2.214.977, CAAE 65256817.0.0000.0066. Participation was voluntary, and none of the subjects received financial rewards as a result of their participation. The trial follows CONSORT.15
Participants
The inclusion criteria were patients aged 18 years or older with a medical diagnosis of type 2 diabetes, with at least 1 neuropathic wound larger than 1 cm2 located on the dorsum or plantar region of the foot, with no clinical signs of infection (no cellulitis or purulent secretion) in the ulcer or periwound tissue, with pedis pulse, with a standard ankle-brachial index (0.9–1.30), with no sign of ischemia or indication of revascularization of lower limbs, with wound duration of at least 3 months before the study, with albumin above 3.5 mg/dL and hemoglobin A1c less than 7%, and with no allergy to a hydrogel. Participants were required to adhere to the study procedures and freely sign an informed consent form. Exclusion criteria were as follows: corticosteroid dose greater than 5 mg daily, surgical debridement 3 days or fewer before the onset of the study, previous use of hydrogel, venous disease (venous ulcers), end-stage renal disease, HIV, pregnant or breastfeeding status, and participation in other studies evaluating dressings less than 30 days before recruitment for the current study.
Randomization
An open-source online software tool was used to perform the randomized distribution of participants into either a control group (group C) or an experimental group (group E) (http://www.randomization.com). The generator attributes treatments with randomized block sizes, while the user specifies only the number of individuals per block and the number of each type of block desired.
Masking
The researchers were blinded to patient history and follow-up care. The researcher in charge (a nurse) was responsible for preparing the participants for photographic evaluation by the 2 blinded researchers (a plastic surgeon and a wound enterostomal nurse). These researchers did not have access to any clinical or histological data for the participants, and they were not allowed to question participants about treatment follow-up.
The plastic surgeon performed the biopsy after wound cleansing to ensure that the researcher did not know the type of treatment and group to which the participant belonged.
Treatment protocol
Initially, 26 participants were included in the study, but only 19 reached study completion. The patients were randomly allocated into either group C or group E. All participants and their caretakers received instructions on how to change dressings per the randomized study group.
For group E, dressings were changed daily following the standard procedure of cleansing with 0.9% saline solution and application of amorphous hydrogel enriched with oily acids and vitamins A and E only in the area of the wound—thus avoiding contact with the surrounding skin—followed by placement of nonadherent cellulose acetate dressing and cotton gauze. For group C, wounds were cleansed with 0.9% saline solution, followed by application of nonadherent cellulose acetate dressing and cotton gauze. Dressings were changed daily, and all necessary material to perform dressing changes at home was provided at no extra cost to the participants.
Participants and caretakers agreed to follow the daily schedule for dressing changes. Every 4 weeks, the participants in both groups visited the outpatient unit for follow-up appointments and wound measurements. Treatment was continued for 12 weeks or until the wound was healed. All participants used therapeutic shoes explicitly designed for offloading.
Data collection and outcomes
measurement
At the initial assessment, the clinical history of each participant was obtained. In addition, the wound was photographed and the dimensions were measured using a planimeter to calculate the area of the lesion, the wound was classified using the Portuguese language version of the PUSH scale, biopsies of 3 mm from a central point of the wound bed were taken using the punch technique, and dressings were changed according to the protocol for the specific group (group C or group E). At 12-week follow-up, all participants were reevaluated; wounds were photographed, measured using a planimeter, and classified according to the PUSH scale; biopsy was performed; and dressing performance was evaluated.
Data on patient age, sex, previous diseases, comorbidities, life habits, duration of the open wound, and previous treatments were collected during the initial clinical evaluation. The photographic register was used to aid in calculating total wound area. At both the initial assessment and at 12-week follow-up, lesions were photographed using a digital camera (Coolpix L820; Nikon) at a median distance of 15 cm. A ruler was used for scale, but the ruler did not come in contact with the wound. The images were analyzed using the open-source software program Image J (version 1.36b; Wayne Rasband, National Institutes of Health, United States) (http://rsbweb.nih.gov/ij/index.html).
The PUSH instrument was initially created and validated by the PUSH Task Force of the National Pressure Ulcer Advisory Panel (now the National Pressure Injury Advisory Panel) for evaluating pressure ulcer healing.16 However, it was later validated for the evaluation of other types of wounds of diabetic origin17 and venous origin.18,19 The PUSH tool uses 3 parameters in evaluating the wound healing process and intervention results: area of the wound, exudate amount, and type of wound tissue. These parameters are numerically classified as follows: area (0–10, with 0 being the smallest and 10 the largest wound size), exudate (none, 0; light, 1; moderate, 2; heavy, 3), and type of tissue (none, 0; epithelial, 1; granulation, 2; slough, 3; necrotic, 4). The higher the point tally, the more severe the wound. A wound enterostomal nurse and a plastic surgeon, neither of whom had contact with the participants, used the photographs to classify the wounds using the PUSH instrument.
Biopsied material removed from the wound bed was used for histological preparations and stained with hematoxylin and eosin and PSR. These biopsy specimens were used to evaluate the histological conditions of the wound bed in terms of changes in the inflammatory infiltrates and the deposition of new collagen fibers.
Statistical analysis
A descriptive analysis of the sample characteristics was carried out according to the study groups, showing the mean ± standard deviation and median (interquartile interval) for all variables evaluated at the onset of the study and at 12-week follow-up.
The Mann-Whitney nonparametric test was used to compare differences between the groups over the 12-week study period as well as between the groups at initial assessment and 12-week follow-up. The specific parameters studied included percent reduction in wound area, as well as changes in length × width, quantity of exudate, tissue type, and total PUSH score. Analyses were carried out with the aid of R software (version 3.4.1; The R Project for Statistical Computing).20 For the hypothesis tests, a significance level of 5% was used.
Results
A total of 35 individuals were selected for the current study, 9 of whom were ineligible for randomization. In total, 26 individuals were randomized into either group E (16 participants) or group C (10 participants). Four participants in group E were excluded from the study, 3 for missing appointments and 1 as a result of an adverse event that required the amputation of a limb owing to infection and sepsis. Two participants in group C were excluded from the study for missing appointments, and 1 was excluded as a result of an adverse event that required amputation owing to infection followed by sepsis. After these exclusions, 19 individuals were included in the analysis (Figure 1).

Due to the loss of participants, the authors had calculated the sample size power for all outcomes analyses (PUSH, wound area, exudate amount, and tissue type) using G*Power software (version 3.1.9.4; Apponic). Effect sizes below 0.80 were observed for 3 outcomes: wound area, amount of exudate, and tissue type, with estimated values of 0.49, 0.19, and 0.69, respectively. The sample power values for the relative difference in the outcomes of wound area, exudate amount, and tissue type were 0.99, 0.95, and 0.99, respectively. These results demonstrate that the sample size presents adequate statistical power to detect differences in these 3 outcomes.

The demographic and clinical characteristics of the sample (26 participants) are shown in Table 1. Comparison of the descriptive statistics of the evaluated variables at the initial assessment (26 participants) and at 12 weeks (19 participants) is shown in Table 2; values were calculated using the Mann-Whitney nonparametric test. No statistically significant differences were identified. The distribution of the wound area observed at the initial assessment and at 12-week follow-up by group is shown in Figure 2. Wound area was larger in group E at the initial assessment and remained so at 12-week follow-up.


Because of this visual difference in the initial instance, Table 3 proposes an evaluation of the differences for total areas in cm2 and percentage of area reduction. No statistical significance for any variable was found. The box plot of the relative differences is shown in Figure 1C.

Figure 3 demonstrates the change in PUSH score over time. The κ statistic was used to calculate interobserver reliability, resulting in a value of 0.83. Both groups had PUSH score reduction after 12 weeks. eFigure 4 shows the change in wound area over time in a patient treated with enriched hydrogel.


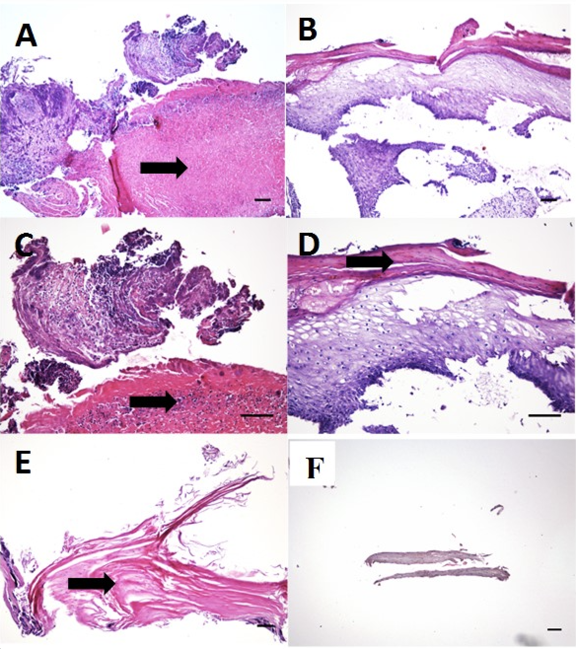
Comparative images used in qualitative microscopic analysis of 2 patients—1 from group E and 1 from group C—are shown in eFigure 5. Inflammatory infiltrate was present at pretreatment in both groups; after 12 weeks, there was a reduction of the infiltrates in both groups. Polarization microscopy with PSR stain showed low or absent collagen production in both groups (eFigure 6).


Discussion
Several new treatments have been developed to promote the wound healing process in diabetic ulcers. These include dressings that influence the wound microenvironment, allowing for the generation of conditions favorable to the tissue repair process. One such treatment alternative is a hydrogel enriched with alginate and vitamins A and E, composed of hydrophilic polymers that help remove nonviable tissues and create a moist environment, thereby allowing the body’s native enzymes to eliminate necrotic tissue.14
In the current clinical trial, the duration of treatment was 12 weeks, and the clinical and histologic aspects of the wound were evaluated. Of the 26 participants included, 2 required lower limb amputation owing to complications of local infection followed by sepsis. In a retrospective cohort study, 113 of the 192 participants who completed follow-up required amputation (58.9%).21 In that study, infection combined with bone or joint involvement was significantly associated with an increased risk of amputation (P =.035).
Homogeneity of clinical characteristics was demonstrated, with a mean age of 63.8 years in group E and 61.9 years in group C, and a mean long-term open ulcer duration of 586.6 days in group E and 687 days in group C. Aging is a systemic factor that may negatively affect the healing process.22 In the current study, the inclusion of only participants with normal albumin levels and hemoglobin A1c was an attempt to avoid possible confounding factors, because malnutrition and hyperglycemia can negatively affect healing.
Patients in group E had larger lesions compared with patients in group C at the initial assessment. Although care was taken in the randomization and allocation of patients, this difference may have resulted in a bias in the results of this study, which may have negatively affected the evaluation of the results. It is known that the larger the initial area of a wound, the more difficult it is to achieve wound closure.23
No significant difference between group C and group E was noted for any of the parameters studied (wound area, PUSH total score, PUSH subscores). Therefore, it was not possible to identify a positive effect of treatment with the hydrogel. The large difference between the initial median area of wounds between the groups may be the reason for this, because larger wounds have a lower chance of healing; thus, the PUSH result will be worse because the lesion dimensions are weighted heavily in the overall score.
Microscopic analysis revealed a decrease in inflammatory infiltrates in group E after 12 weeks of treatment. This is likely owing to the change in the wound bed by the action of the hydrogel, which promotes wound debridement. No significant increase in collagen production after hydrogel use was observed on quantitative analysis of the collagen fibers by PSR stain, however. This finding is consistent with the PUSH subscore for the type of wound tissue, which showed that the hydrogel treatment did not produce an apparent increase in granulation tissue. The increase in collagen production is essential for granulation tissue formation because the fibroblasts interact with this protein, causing wound contraction.24
The authors of a systematic review conducted in 2013 indicated that hydrogel dressings were useful in the management of DFU compared with basic wound contact dressings, but the evidence was of lower quality owing to the large number of biases in the available studies.25 Unfortunately, the current study could not be conclusive about the greater effectiveness of enriched hydrogel dressings to manage ulcers in patients with diabetes.
Limitations
The difficulties and limitations of the current study may explain the limited results obtained. For example, the small sample size and the proportionately large number of patients lost from the study drastically affected the analysis of the outcomes, thus preventing the achievement of more robust results. Furthermore, the severe financial crisis in Brazil may be the reason a large number of participants dropped out of this study, because patients reported lacking the financial means to pay for follow-up laboratory studies and reported concerns about missing a day of work and the resulting risk of possible dismissal.
Conclusions
No evidence of benefit was found in this clinical study regarding the use of enriched hydrogel for the management of DFU compared with conventional dressings. Future studies with reduced patient absenteeism and increased sample size may offer more significant and robust results.
Acknowledgments
Authors: Murilo Gustinelli Barbosa, MSN; Viviane Fernandes Carvalho, PhD; and Andre Oliveira Paggiaro, PhD
Affiliations: Guarulhos University, Nursing Post Graduation, Gurarulhos, São Paulo, Brazil
Disclosure: The authors disclose no financial or other conflicts of interest.
Correspondence: Andre Oliveira Paggiaro, PhD, Praça Teresa Cristina, 229 Centro, Guarulhos-SP, Brazil, 07023-070; andrepaggiaro@yahoo.com.br
References
1. Bus SA, van Netten JJ, Lavery LA, et al; International Working Group on the Diabetic Foot. IWGDF guidance on the prevention of foot ulcers in at-risk patients with diabetes. Diabetes Metab Res Rev. 2016;32(Suppl 1):16–24. doi:10.1002/dmrr.2696
2. Singh N, Armstrong DG, Lipsky BA. Preventing foot ulcers in patients with diabetes. JAMA. 2005;293:217-228
3. Forbes JM, Cooper ME. Mechanisms of diabetic complications. Physiol Rev. 2013;93(1):137–188. doi:10.1152/physrev.00045.2011
4. Tindong M, Palle JN, Nebongo D, et al. Prevalence, clinical presentation, and factors associated with diabetic foot ulcer in two regional hospitals in Cameroon. Int J Low Extrem Wounds. 2018;17(1):42–47. doi:10.1177/1534734618764252
5. Hicks CW, Canner JK, Mathioudakis N, et al. The Society for Vascular Surgery Wound, Ischemia, and foot Infection (WIfI) classification independently predicts wound healing in diabetic foot ulcers. J Vasc Surg. 2018;68(4):1096–1103. doi:10.1016/j.jvs.2017.12.079
6. García-Honduvilla N, Cifuentes A, Ortega MA, et al. Immuno-modulatory effect of local rhEGF treatment during tissue repair in diabetic ulcers. Endocr Connect. 2018;7(4):584–594. doi:10.1530/EC-18-0117
7. Regulski M. Understanding diabetic induction of cellular senescence: a concise review. Wounds. 2018;30(4):96–101.
8. Ferrer-Sola M, Sureda-Vidal H, Altimiras-Roset J, et al. Hydrosurgery as a safe and efficient debridement method in a clinical wound unit. J Wound Care. 2017;26(10):593–599. doi:10.12968/jowc.2017.26.10.593
9. Panuncialman J, Falanga V. The science of wound bed preparation. Surg Clin North Am. 2009;89(3):611–626. doi:10.1016/j.suc.2009.03.009
10. Falanga V, Brem H, Ennis WJ, Wolcott R, Gould LJ, Ayello EA. Maintenance debridement in the treatment of difficult-to-heal chronic wounds. Recommendations of an expert panel. Ostomy Wound Manage. 2008;Suppl:2–15.
11. Mulder GD. Cost-effective managed care: gel versus wet-to-dry for debridement. Ostomy Wound Manage. 1995;41(2):68–70.
12. Mosher BA, Cuddigan J, Thomas DR, Boudreau DM. Outcomes of 4 methods of debridement using a decision analysis methodology. Adv Wound Care. 1999;12(2):81–88.
13. Li M, Li H, Li X, et al. A bioinspired alginate-gum arabic hydrogel with micro-/nanoscale structures for controlled drug release in chronic wound healing. ACS Appl Mater Interfaces. 2017;9(27):22160–22175. doi:10.1021/acsami.7b04428
14. Gustinelli Barbosa MA, Paggiaro AO, de Carvalho VF, Isaac C, Gemperli R. Effects of hydrogel with enriched sodium alginate in wounds of diabetic patients. Plast Surg Nurs. 2018;38(3):133–138. doi:10.1097/PSN.0000000000000228
15. Rennie D. CONSORT revised--improving the reporting of randomized trials. JAMA. 2001;285(15):2006-2007. doi:10.1001/jama.285.15.2006
16. Thomas DR, Rodeheaver GT, Bartolucci AA, et al. Pressure ulcer scale for healing: derivation and validation of the PUSH tool. The PUSH Task Force. Adv Wound Care. 1997;10(5):96–101.
17. Gardner SE, Hillis SL, Frantz RA. A prospective study of the PUSH tool in diabetic foot ulcers. J Wound Ostomy Cont Nurs. 2011;8(4):385–393. doi:10.1097/WON.0b013e31821e4dbd
18. Choi EPH, Chin WY, Wan EYF, Lam CLK. Evaluation of the internal and external responsiveness of the Pressure Ulcer Scale for Healing (PUSH) tool for assessing acute and chronic wounds. J Adv Nurs. 2016;72(5):1134–1143. doi:10.1111/jan.12898
19. Ratliff CR, Rodeheaver GT. Use of the PUSH tool to measure venous ulcer healing. Ostomy Wound Manage. 2005;51(5):58–63.
20. The R Foundation. R: The R Project for Statistical Computing. Accessed October 3, 2018. https://www.r-project.org/
21. Jeong E-G, Cho SS, Lee S-H, et al. Depth and combined infection is important predictor of lower extremity amputations in hospitalized diabetic foot ulcer patients. Korean J Intern Med. 2018;33(5):952–960. doi:10.3904/kjim.2016.165
22. White R, McIntosh C. A review of the literature on topical therapies for diabetic foot ulcers. Part 2: advanced treatments. J Wound Care. 2009;18(8):335–341. doi:10.12968/jowc.2009.18.8.43633
23. Takahashi PY, Kiemele LJ, Chandra A, Cha SS, Targonski PV. A retrospective cohort study of factors that affect healing in long-term care residents with chronic wounds. Ostomy Wound Manage. 2009;55(1):32–37.
24. Isaac C, Mathor MB, Bariani G, et al. Pentoxifylline modifies three-dimensional collagen lattice model contraction and expression of collagen types I and III by human fibroblasts derived from post-burn hypertrophic scars and from normal skin. Burns. 2009;35(5):701–706. doi:10.1016/j.burns.2008.11.017
25. Dumville JC, O’Meara S, Deshpande S, Speak K. Hydrogel dressings for healing diabetic foot ulcers. Cochrane Database Syst Rev. 2013;2013(7):CD009101. doi:10.1002/14651858.CD009101.pub3



