Topical Timolol for Calciphylaxis: A Case Report
© 2025 HMP Global. All Rights Reserved.
Any views and opinions expressed are those of the author(s) and/or participants and do not necessarily reflect the views, policy, or position of Wounds or HMP Global, their employees, and affiliates.
Abstract
Background. Calciphylaxis is a rare multifactorial skin disease characterized by thrombosis and calcification of skin subcutaneous vessels, leading to chronic and painful ulcers with skin necrosis. Despite its high morbidity and mortality rates, effective treatments are lacking. Case report. A 65-year-old female with chronic kidney disease who developed painful bilateral ulcers was successfully treated with topical timolol. Clinical examination and imaging confirmed the diagnosis of calciphylaxis. Treatment with topical timolol resulted in rapid wound healing and pain relief. Conclusion. This case highlights the potential of topical timolol in promoting wound healing in calciphylaxis ulcers, a novel therapeutic approach not previously reported. Further studies are warranted to validate the efficacy of topical timolol and explore its role in managing calciphylaxis. Despite the challenges in diagnosis and management of calciphylaxis, topical timolol appears promising for improving outcomes in affected patients.
Background
Calciphylaxis is a rare disease characterized by chronic, painful ulcers with skin necrosis secondary to microvascular calcification of skin and subcutaneous tissue vessels, subintimal fibrosis, and thrombosis, often linked to local or systemic hypercoagulability that initiates the transformation of vascular smooth muscle cells into an osteoblast-like phenotype, particularly in patients on dialysis.1,2 Calciphylaxis is a multifactorial vascular skin disease with high mortality.1 There is no validated treatment.1
Topical timolol is a nonselective β-adrenergic blocker that is approved for the treatment of glaucoma. Its efficacy has been reported for many dermatological conditions, particularly chronic wounds, where it has been reported to stimulate keratinocyte and fibroblast migration.3–5
β-blockers antagonize circulating catecholamines on β-adrenoceptors located on the keratinocytes and fibroblasts of the skin.3 They also promote wound angiogenesis, myofibroblast density, and collagen deposition, thereby accelerating wound healing.3 However, the mechanism of angiogenesis stimulation in wound healing appears contradictory to the mechanism of vasoconstriction and angiogenesis reduction through inhibition of vascular endothelial growth factor, which has been reported in infantile hemangiomas as well as in Kaposi sarcoma.6–8
The present article reports good evolution of calciphylaxis treated with topical timolol in a single case.
Case Report
A 65-year-old female was admitted to the emergency room for very painful bilateral ulcers that appeared 1 month prior to her admission. She had a history of chronic kidney disease, for which she had been receiving hemodialysis treatment 3 times a week for 10 years. The patient had no history of high blood pressure, diabetes mellitus, arteriopathy, or venous insufficiency. Additionally, she did not report any symptoms of claudication.
Clinical examination revealed multiple bilateral ulcers with black eschars surrounded by retiform purpura associated with hemorrhagic bullae (Figure 1A). Subcutaneous painful nodules were noted on palpation. Peripheral pulses were present, with a normal ankle-brachial index.

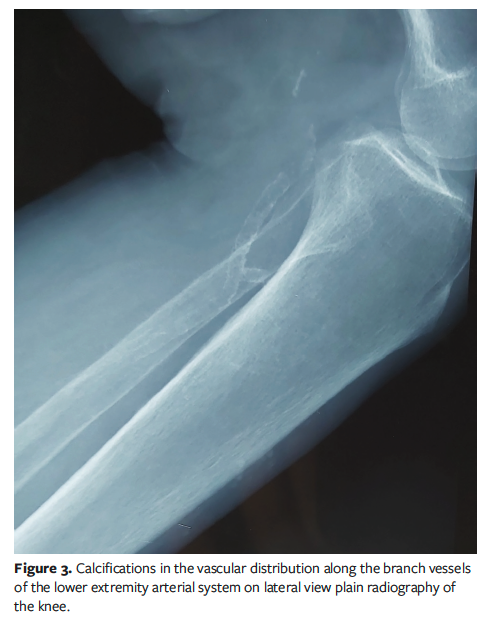
Laboratory tests revealed normal plasma phosphorus, calcium, C-reactive protein, and parathyroid hormone levels. Plain radiography showed calcifications distributed along the arterial system of the lower limbs and in the subcutaneous soft tissues (Figure 2) associated with small-vessel calcification (Figure 3). Venous and arterial Doppler ultrasonography did not show signs of arteriopathy or venous insufficiency. The histopathological findings on skin biopsy were inconclusive (there was no medial calcification, extravascular calcification, or intimal fibroplasia) and ruled out the diagnosis of vasculitis. The patient was diagnosed with calciphylaxis; the differential diagnosis included hypertensive leg ulcer, arterial ulcer, vasculitis, and necrotizing fasciitis, but these diagnoses were ruled out based on the patient’s history and the laboratory results.


The patient received codeine for pain management, but that was quickly switched to morphine due to the ineffectiveness of codeine. Wound management included surgical debridement to keep the wound bed free of necrosed devitalized tissue and hydrogel dressings to rehydrate nonviable dry tissue, thereby facilitating the natural autolysis process. Increased frequency of hemodialysis treatment was recommended and conducted by the authors of this case report. The patient also received antitetanus serum and vaccine. The patient did not receive sodium thiosulfate, because plasma calcium and phosphorus levels were normal. After total debridement of necrotic tissue (Figure 1B), the patient received topical timolol 0.5% on the ulcer (3 drops once daily at the ulcer periphery) and hydrocolloid dressing.
Wound healing assessment was based on ulcer epithelialization and disappearance of pain. The evolution of wound healing was good, with total cicatrization of all ulcers and pain relief after 2 weeks of treatment with topical timolol (Figure 1C). The patient did not experience any recurrence of the ulcer or pain after 1 year of follow-up.
Discussion
Calciphylaxis, or calcific uremic arteriolopathy, is a multifactorial skin disease that primarily affects patients with chronic kidney disease.2 Calciphylaxis pathogenesis is incompletely understood.1 It involves vascular calcification, subintimal fibrosis, and thrombosis, and is often linked to local or systemic hypercoagulability.1 In calciphylaxis, an imbalance between calcification promoters and inhibitors promotes vascular calcification and initiates the transformation of vascular smooth muscle cells into an osteoblast-like or chondrocyte phenotype.1,2 Patients on dialysis are particularly vulnerable due to low vitamin K levels, chronic inflammation, imbalance in calcium-phosphorus levels, vitamin D deficiency, and hyperparathyroidism.1,2 Obesity, warfarin use, and other factors, such as adipocyte involvement, may further contribute to the development of vascular calcification.1 However, calciphylaxis can also occur in patients with normal renal function.1
Calciphylaxis is a rare condition that carries high morbidity and mortality.2 One-year and 5-year recurrence rates of 5.1% and 17.5%, respectively, have been reported.9 One-year mortality varies between 45% and 80%.10 The main cause of mortality is sepsis secondary to infected skin ulcers, but the increased mortality is also attributable to the elevated risks associated with end-stage renal disease itself.2,10 Clinical symptoms are characterized by painful skin lesions.11 The pain is quite intense, is accompanied by tactile hyperesthesia, and may precede the appearance of skin lesions.11 The initial skin manifestations include plaques, nodules, livedo, purpura, and multiple bilateral ulcers with black eschars.11 The significant morbidity of the disease is primarily due to long-term disability, chronic pain, bacterial infection, cardiovascular issues secondary to calcium deposition in blood vessels, and underlying conditions, such as dialysis-related complications.1,2,11
The diagnosis of calciphylaxis is mainly clinical.1 Skin biopsy is not always essential, because histopathological findings are not pathognomonic.1 The histopathological findings are characterized by vascular calcification and thrombosis affecting small vessels of the dermis and the subcutaneous tissue.12 When histopathological results are equivocal, imaging may be necessary.12 A netlike pattern of calcification and vascular calcification are found on plain radiographs.12 It has been demonstrated that vascular calcification had the highest sensitivity for calciphylaxis, and the netlike pattern of calcification had the highest specificity, which is the case in the patient discussed in the present case report, who exhibited scattered foci of calcifications in the vascular and subcutaneous tissues on plain radiography.12 The serum markers calcium, phosphate, and parathyroid hormone could be used to guide hemodialysis strategies.12 However, some patients with calciphylaxis have normal calcium-phosphorus levels, as with the patient in the present report, which is why she did not receive treatments to correct calcium and phosphorus abnormalities.12
Based on expert opinion, the authors of the current case report advocate for a multidisciplinary approach, including specialists in dermatology, nephrology, pain and palliative care, plastic surgery, and wound management.11 Wound care is the cornerstone of calciphylaxis management.11 It aims to remove necrotic and devitalized tissue and prevent infection.11 Calciphylaxis wounds are especially challenging due to the poor healing of the ischemic tissue bed.11 Additionally, the lesions are very painful, which complicates the process of debridement.11 Moreover, there is no consensus on the best approach for wound care.11
Both oral and topical β-blockers are used in dermatology.3,4 Systemic propranolol is approved for management of infantile hemangioma; it is safe and effective.3,4 The topical β-blocker used is timolol. Topical timolol is a nonselective β-adrenergic blocker.3,4 Its efficacy has been reported for infantile hemangioma, pyogenic granuloma, Kaposi sarcoma, acne, eczema, and chronic wound healing.3,4 The efficacy of timolol in healing ulcers of various causes, such as venous ulcer and vasculitis, has been reported in the literature.13–15 The most commonly used concentration is 0.5%, but 0.1% has also been reported.3 The duration of treatment varies according to the dermatological pathology, ranging from 1 month to 9 months.3
For wound healing, topical timolol dosing should be between 1 and 3 drops once daily of the 0.5% formulation, depending on the wound surface.16 Application of topical timolol at the periphery of the ulcer is preferred, because doing so increases keratinocyte migration from the epidermal margin.16
Topical timolol for chronic wounds has a safety profile similar to that for glaucoma.17 Key side effects include bradycardia, arrhythmia, and bronchospasm.17 It can be safely used for chronic wounds in patients without contraindications, with minimal risk of systemic cardiac effects.17 Topical timolol can cause manageable localized side effects, such as eczema, irritation, and erythema.3 Systemic absorption and adverse effects seem minimal, but further research is needed to establish the maximum safe dosage.3
The suggested role of timolol in wound healing is to stimulate keratinocyte and fibroblast migration for reepithelialization and to reduce local inflammation.18 Indeed, keratinocytes express elevated β-adrenergic receptors.19 β-adrenergic receptor antagonists promote wound reepithelialization by enhancing ERK phosphorylation, enhancing pro-migratory signaling, and blocking endogenous catecholamine effects that impede motility, which stimulate keratinocyte responsiveness to electric fields to maintain a pro-migratory cell phenotype.19 β-adrenergic receptor antagonists also promote wound angiogenesis, myofibroblast density, and collagen deposition, which accelerate wound healing.3
In the context of calciphylaxis, the mechanism of action of topical timolol is to promote wound angiogenesis (because calciphylaxis is characterized by thrombosis and local hypercoagulability, which impede wound healing). However, this mechanism seems contradictory to the aforementioned vasoconstriction and angiogenesis reduction reported for topical timolol in infantile hemangioma and Kaposi sarcoma. Additionally, topical timolol reduces local inflammation, which can promote wound healing in calciphylaxis, because patients on dialysis often experience chronic inflammation. Moreover, topical timolol stimulates keratinocyte and fibroblast migration, as well as collagen deposition, which are essential for epithelialization of any chronic wound.
Sodium thiosulfate is also an important therapeutic option, particularly for patients on dialysis.1 It is used for its calcium-chelating properties, as well as its antioxidative and anticalcification effects.1 Because the patient in the present report had normal calcium-phosphorus levels, she did not receive sodium thiosulfate.
In the present case, topical timolol induced epithelialization and wound healing of multiple ulcers caused by calciphylaxis. It is a novel case that has never before been reported in the literature.
Limitations
This case report has limitations. Only 1 patient was included. Calciphylaxis is a rare disease for which topical timolol has never before been used. Further studies are needed to determine the optimal dosage of topical timolol for calciphylaxis.
Conclusion
Calciphylaxis is a complex, multifactorial disease with very high mortality. There is no consensus on treatment, and multidisciplinary management is required for better outcomes. A growing number of reports demonstrate the efficacy of topical timolol in wound healing. Its efficacy in the management of acute and chronic wounds for various therapeutic dermatologic indications is evident; however, further studies are needed to validate its effectiveness in the management of calciphylaxis.
Author and Public Information
Authors: Lamis Elyamani, MD; Ouissal Hormi, MD; Nada Benaini, MD; Nassiba Zerrouki, PhD; and Nada Zizi, PhD
Affiliation: Mohammed VI University Hospital of Oujda, Medical School of Oujda, Mohammed First University of Oujda, Oujda, Morocco
Acknowledgments: The authors would like to thank the dermatology team of Mohammed VI University Hospital for their management and availability.
Author Contributions: Study concept, data collection: L.E. Data analysis: L.E. and O.H. Writing: L.E., O.H., and N.B. Supervision and data validation: N. Zerrouki and N. Zizi.
Data Availability: All data generated or analyzed during this study are included in this article. Further inquiries can be directed to the corresponding author.
Disclosure: The authors disclose no financial or other conflicts of interest.
Ethical Approval: Written informed consent was obtained from the patient for publication of this case report and accompanying images.
Correspondence: Lamis Elyamani, MD; Department of Dermatology, Mohammed VI University Hospital of Oujda, Oujda, Morocco, BP 4806 Oujda Université 60049 Oujda, Oujda; drlamiselyamani@gmail.com
Manuscript Accepted: February 5, 2025
References
1. Seethapathy H, Noureddine L. Calciphylaxis: approach to diagnosis and management. Adv Chronic Kidney Dis. 2019;26(6):484-490. doi:10.1053/j.ackd.2019.09.005
2. García-Lozano JA, Ocampo-Candiani J, Martínez-Cabriales SA, Garza-Rodríguez V. An update on calciphylaxis. Am J Clin Dermatol. 2018;19(4):599-608. doi:10.1007/s40257-018-0361-x
3. Filoni A, Ambrogio F, De Marco A, Pacifico A, Bonamonte D. Topical beta-blockers in dermatologic therapy. Dermatol Ther. 2021;34(4). doi:10.1111/dth.15016
4. Alzaid M, Al-Naseem A, Al-Niaimi F, Ali FR. Topical timolol in dermatology: infantile haemangiomas and beyond. Clin Exp Dermatol. 2022;47(5):819-832. doi:10.1111/ced.15021
5. Chiaverini C, Passeron T, Lacour JP. Topical timolol for chronic wounds in patients with junctional epidermolysis bullosa. J Am Acad Dermatol. 2016;75(6):e223-e224. doi:10.1016/j.jaad.2016.08.005
6. Novoa M, Baselga E, Beltran S, et al. Interventions for infantile haemangiomas of the skin. Cochrane Database Syst Rev. 2018;4(4):CD006545. doi:10.1002/14651858.CD006545.pub3
7. Painter SL, Hildebrand GD. Review of topical beta blockers as treatment for infantile hemangiomas. Surv Ophthalmol. 2016;61(1):51-58. doi:10.1016/j.survophthal.2015.08.006
8. Abdelmaksoud A, Filoni A, Giudice G, Vestita M. Classic and HIV-related Kaposi sarcoma treated with 0.1% topical timolol gel. J Am Acad Dermatol. 2017;76(1):153-155. doi:10.1016/j.jaad.2016.08.041
9. Xia J, Tan AJ, Gabel CK, et al. Prevalence and risk factors for development of recurrent calciphylaxis. J Am Acad Dermatol. 2024;90(6):1287-1289. doi:10.1016/j.jaad.2024.02.019
10. Gabel CK, Nguyen ED, Chakrala T, et al. Assessment of outcomes of calciphylaxis. J Am Acad Dermatol. 2021;85(4):1057-1064. doi:10.1016/j.jaad.2020.10.067
11. Nigwekar SU, Thadhani R, Brandenburg VM. Calciphylaxis. Ingelfinger JR, ed. N Engl J Med. 2018;378(18):1704-1714. doi:10.1056/NEJMra1505292
12. Gallo Marin B, Aghagoli G, Hu SL, Massoud CM, Robinson-Bostom L. Calciphylaxis and kidney disease: a review. Am J Kidney Dis. 2023;81(2):232-239. doi:10.1053/j.ajkd.2022.06.011
13. Manci R, Nazir ZH, Dusza SW, Chen CSJ. Topical timolol enhances surgical wound healing in the lower portion of the leg in older patients with comorbidities: a retrospective review. J Am Acad Dermatol. 2022;87(3):661-663. doi:10.1016/j.jaad.2022.02.021
14. Thomas B, Kurien JS, Jose T, Ulahannan SE, Varghese SA. Topical timolol promotes healing of chronic leg ulcer. J Vasc Surg Venous Lymphat Disord. 2017;5(6):844-850. doi:10.1016/j.jvsv.2017.04.019
15. Cahn BA, Kaur R, Hirt PA, et al. Use of topical timolol maleate as re-epithelialization agent for treatment of recalcitrant wounds of varying etiologies. J Drugs Dermatol. 2020;19(12):1252-1256. doi:10.36849/JDD.2020.5306
16. Yoon DJ, Kaur R, Gallegos A, et al. Adverse effects of topical timolol: safety concerns and implications for dermatologic use. J Am Acad Dermatol. 2021;84(1):199-200. doi:10.1016/j.jaad.2020.04.101
17. Gallegos AC, Davis MJ, Tchanque-Fossuo CN, et al. Absorption and safety of topically applied timolol for treatment of chronic cutaneous wounds. Adv Wound Care (New Rochelle). 2019;8(11):538-545. doi:10.1089/wound.2019.0970
18. Alsaad AMS, Alsaad SM, Fathaddin A, Al-Khenaizan S. Topical timolol for vasculitis ulcer: a potential healing approach. JAAD Case Rep. 2019;5(9):812-814. doi:10.1016/j.jdcr.2019.07.016
19. Pullar CE, Rizzo A, Isseroff RR. β-adrenergic receptor antagonists accelerate skin wound healing: evidence for a catecholamine synthesis network in the epidermis. J Biol Chem. 2006;281(30):21225-21235. doi:10.1074/jbc.M601007200



