Severe Mosquito Bite Allergy Complicated by Bacterial Infection in a 7-Year-Old Child: A Case Report and Brief Review of the Literature
Abstract
Introduction. SMBA is a cutaneous form of CAEBV that predominantly affects adolescents and children from East Asian countries. It is characterized by local skin erythema, bullae, ulcers, necrosis, and scarring following a mosquito bite. Affected patients may experience IM-like systemic inflammatory reactions. SMBA mainly involves NK cells and has the potential to progress to NK/T-cell lymphoma or invasive NK-cell leukemia. Case Report. A 7-year-old female was admitted to the hospital owing to recurring fever, skin allergies, and multifocal severe ulcerative necrotic skin lesions affecting both lower limbs. The authors primarily suspected bacterial infection, and debridement was insufficient to manage it. Pathological examination of residual skin tissues around the necrotic lesion revealed EBER-positive T cells. Eventually, the patient was diagnosed with SMBA complicated by bacterial infection based on diagnostic criteria and pathology findings. The patient responded well to timely antiviral and antibacterial treatment, with no deterioration during regular follow-up visits. Conclusions. SMBA is a subtype of CAEBV that is characterized by severe skin ulceration and is easily missed or misdiagnosed. Based on its mosquito bite history, pathological characteristics, and laboratory indicators, SMBA could expand new diagnostic and therapeutic approaches to the ulcerative skin diseases.
Abbreviations
CAEBV, chronic active EBV infection; EBER, EBV-encoded RNA; EBV, Epstein-Barr virus; IM, infectious mononucleosis; ISH, in situ hybridization; LPD, lymphoproliferative disease; NK, natural killer; NPWT, negative pressure wound therapy; SMBA, severe mosquito bite allergy.
Introduction
T- or NK-cell type CAEBV is a systemic EBV-positive LPD that is characterized by fever, lymph node enlargement, eyelid edema, hepatosplenomegaly, and other symptoms that can persist or recur, leading to multiorgan damage and life-threatening complications such as hemophagocytic syndrome and malignant lymphoma.1 It primarily affects adolescents and children,2 with a higher incidence in East Asia and Latin America, showing marked geographic characteristics.3 Diagnostic criteria include IM-like symptoms lasting for more than 3 months, increased EBV DNA levels (>102.5 copies/mg), and histopathological evidence such as lymphocytes of affected organs positive for ISH for EBER, and exclusion of known immune defects, malignant tumors, or autoimmune diseases.⁴ CAEBV is stratified into systemic and cutaneous types, and the 2017 World Health Organization classification specifies that hydroa vacciniforme-like LPD and SMBA are cutaneous types.1
This case report discusses CAEBV infection in a pediatric patient who presented with multiple rare and severe skin ulcers and a systemic inflammatory reaction, and who was ultimately diagnosed with SMBA.

Case Report
In October 2020, a 7-year-old female was admitted to the hospital owing to multiple skin ulcerations on the bilateral lower limbs. The parents reported that 1 month prior, after being bitten by mosquitoes, the child developed a scattered rash on both lower limbs accompanied by itching and discomfort. While some of the rashes healed, others gradually expanded and developed into ulcers with redness, swelling, and suppuration (Figure 1A). The patient also experienced intermittent fever, with a maximum temperature of 40°C, accompanied by sneezing and catarrh symptoms that did not respond to antibacterial therapy. She had no history of hepatitis, tuberculosis, malaria, surgery, trauma, blood transfusion, or food or drug allergy. Four years prior, the patient experienced facial edema, conjunctival congestion, and various skin allergies that resolved following symptomatic treatment.
Physical examination on admission revealed facial swelling, especially in the periorbital region, conjunctival congestion, and edema. Multiple ulcerations and necrotic lesions were observed on both lower extremities. The largest and most severe lesion was approximately 6.0 cm in diameter, located in the posteromedial right calf. The lesion exhibited skin ulceration, subcutaneous tissue necrosis, myolemma exposure, pus accumulation with odor, and redness and swelling of the peripheral skin (Figure 1B). Additional smaller furuncles were identified in the medial left thigh and the toenail groove, with mild swelling. A new skin ulcer measuring 2.0 cm in diameter was observed on the patient’s left ankle; this ulcer increased in size during hospitalization, resulting in soft tissue loss and exposure of the aponeurosis, with the skin on the instep turning dark purple (Figure 1D, E).
Laboratory testing revealed a neutrophil count of 6950/µL (83.4%), a slightly decreased hemoglobin level, and slightly elevated aspartate aminotransferase (41 U/L), alkaline phosphatase (132 U/L), and lactate dehydrogenase (291 U/L) levels. Ultrasonography indicated splenomegaly with slightly enlarged cervical lymph nodes.
Because of the severe wound infection and necrosis of skin and subcutaneous tissue, during the patient’s hospitalization double lower limb wound expansion surgery was performed, in addition to wound exploration and NPWT. The patient experienced another episode of high fever and swelling of the left foot following debridement. Anti-infective treatment with vancomycin was initiated, which was subsequently adjusted to linezolid in combination with meropenem following the detection of methicillin-resistant Staphylococcus aureus in pus culture. The patient was diagnosed with CAEBV after numerous EBER-positive lymphocytes were observed in residual skin dermis and subcutaneous tissues around the necrotic lesion on electron microscopy. Additionally, testing for serum EBV-viral capsid antigen immunoglobulin A antibody was positive, and the EBV DNA quantitative value was 3.55 × 103 (copies/mg). The patient’s symptoms significantly improved following treatment with ganciclovir.

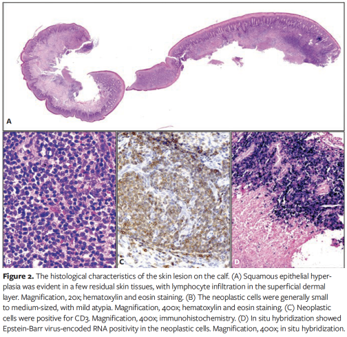
Following debridement, pathological examination of the excised tissue revealed a large amount of coagulative necrotic tissue involving the dermal, subcutaneous fascia, and muscle layers. Additionally, thickened walls with occluded lumens were present in some residual vessels, with some exhibiting fibrous necrosis. Squamous epithelial hyperplasia was evident in a few residual skin tissues, with lymphocyte infiltration in the superficial dermal layer (Figure 2A). The neoplastic cells observed were generally small to medium-sized, with mild atypia (Figure 2B). Immunohistochemistry analysis revealed high expression of CD3, CD4, and CD5, and partial expression of CD8, T-cell-restricted intracellular antigen, granzyme B, and Ki-67 (Figure 2C). Neoplastic cells were negative for CD20, CD21, CD56, and CD30. Importantly, ISH showed EBER positivity in the neoplastic cells (Figure 2D), indicating the presence of EBV in the tissue. Immunohistochemistry analysis and gene rearrangement testing both showed these tumor cells classifying as T-cell type rather than NK-cell type.
Evaluation of the disease course, laboratory findings, histological examination, immunohistochemistry, and ISH results in combination with the history of mosquito bites and skin presentation resulted in a diagnosis of SMBA. It is important to note that the proliferative lymphocytes present as the T-cell immunophenotype.
Based on the lack of evidence of multiorgan damage, hemophagocytic syndrome, or lymphoma, a treatment regimen comprising anti-inflammatory, antiviral, and symptomatic management was initiated. In addition, the patient was treated using traditional Chinese herbal medicine. After more than 2 years of follow-up, a skin scar had formed at the site of both wounds (Figure 1C, F). Notably, there were no recurrences of similar skin lesions, malignant hematologic conditions, or any other SMBA-related disorders.
Discussion
Epstein and Barr discovered EBV in 1964 while studying Burkitt lymphoma in African children.⁵ EBV is a double-stranded DNA virus belonging to the γ subtype of the herpesvirus family, with a global infection rate of over 90% in adults.6 Cell-mediated immunity plays a major role in primary EBV infection, and in most cases the virus remains latent in the memory B cells, resulting in no obvious clinical symptoms. However, when this balance is disrupted, EBV-infected cells undergo clonal proliferation, leading to EBV-related LPDs, which include B-, T-, and NK-cell-derived conditions with a broad clinicopathological spectrum ranging from indolent, self-limiting, and localized conditions to highly aggressive lymphomas.7 In 1988, Jones et al⁸ first reported cases of clonally proliferating EBV-infected T-cells. CAEBV is an intractable and progressive disease, and symptoms include persistent or recurrent inflammation that harbor EBV-infected clonally proliferating T or NK cells.9
SMBA is a rare type of CAEBV that is characterized by local skin swelling, erythema, bullae, skin ulceration, and scarring following a mosquito bite, often accompanied by IM-like systemic inflammatory reactions.10 The patient in the current case report had a history of mosquito bites that resulted in skin allergies, rash, and conjunctival congestion during the early stages. Subsequently, she developed a high fever, eyelid swelling, and multiple skin ulcerations in both lower limbs, with some ulcers exhibiting extensive necrosis. Importantly, the focal distribution of lymphocytes with positive EBER staining was identified in the residual tissues. The patient also exhibited serological evidence of EBV infection, with DNA virus copy numbers exceeding 1000 and concomitant abnormal liver function, splenomegaly, and other systemic symptoms.
This case was noteworthy because the focal lesion was complicated by S aureus infection, resulting in a relatively wide area of necrosis and suppuration. Detection of EBV infection by histological examination enabled timely antiviral treatment to prevent disease progression. When clinicians come across these kinds of infectious lesions, it is essential to consider the possibility of concurrent EBV infection to avoid missed diagnosis. In addition, persons with some primary immunodeficiency syndromes or acquired immunosuppressive diseases can also have severe EBV infection, that is to say, attention should be paid to differentiation when the clinical manifestations are similar to CAEBV.11
It has been reported that most patients of SMBA exhibit a high serum IgE level, high EBV load, and NK-cell lymphocytosis in the biopsy.4 Asada12 et al surmised that the pathogenesis of SMBA might be EBV reactivation in EBV-infected NK cells, which are induced by CD4+ T-cells that are stimulated by mosquito salivary gland extract, causing a strong skin allergic response. IM-like symptoms probably develop due to immune responses against EBV lytic antigens with potent antigenicity and other viral components produced upon EBV reactivation.10 In the current case report, the cutaneous lymphocyte immunophenotypes were CD3 and CD4, with no expression of CD56, and genetic rearrangement testing indicated T-cell rather than NK-cell phenotype. EBV is monoclonal in almost all cases by EBV terminal repeat analysis.13 While a few reports had suggested that the affected cells in SMBA are T-cell types.14,15 The etiology remains unknown, more case accumulation and large case studies are needed.
At the onset of this disease symptoms and signs may resolve spontaneously without local treatment. However, children with SMBA are at increased risk for systemic diseases.16 The poor outcomes are usually accompanied by the development of systemic forms of EBV-NK-LPD. Hemophagocytic lymph histiocytosis is among the most dangerous complications of end-stage EBV-NK-LPD.16 EBV DNA quantity has been suggested as a prognostic factor.17 Kimura18 et al reported a 10-year survival rate of 50% in 12 patients with NK-cell type CAEBV (including hypersensitivity to mosquito bites [ie, SMBA]). Notably, 30% to 70% of patients with systemic CAEBV exhibit SMBA symptoms, which indicates an overlap in the disease spectrum between these diseases, especially of the NK type.10 In the current case, antiviral therapy was initiated after confirmation of SMBA. This therapy was effective in treating the infection, possibly owing to the low viral load and a favorable host immune response because this was her first illness.
A conservative symptomatic approach is recommended for mild SMBA, whereas hematopoietic stem cell transplantation is recommended for advanced cases.16 In the current case, the skin ulcers healed with no new disease-related symptoms, and EBV DNA levels remained normal for over 2 years. However, it is possible that the patient could remain healthy for a time but experience a relapse after the next mosquito bite. Thus, long-term follow-up will continue.
Limitations
As a single case report, it has inherent limitations. Additionally, the tumor cell phenotype of this case is rare and requires further study. In the current case, the patient may stay healthy for a while, but she could suffer a relapse and deterioration in the days ahead, and the EBV copy number could increase again for some reasons; therefore, long-term follow-up is necessary.
Conclusions
SMBA is a subtype of CAEBV that is characterized by severe skin ulceration in conjunction with systemic clinical manifestations. SMBA may occur in combination with other diseases such as bacterial infections, and it is easily missed or misdiagnosed. Physicians should determine EBV DNA load in blood and conduct skin biopsies in patients—especially children—who present with skin ulcers and systemic symptoms. SMBA could expand new diagnostic and therapeutic approaches to the ulcerative skin diseases.
The current case exhibited CAEBV infection with symptoms of mosquito bite hypersensitivity as the primary manifestation. Such patients should be closely monitored for LPDs or hematological malignancy.
Acknowledgments
The authors thank the patient and her parents for providing pictures of the skin, their colleagues in the Department of Wound Repair & Plastic and Aesthetic Surgery for their assistance in collating clinical data, and their colleagues at the Clinicopathological Center for their support in pathological technology.
Authors: Yuejun Wang, MSM1; Zhengguo Xia, MD2; and Linsen Fang, MSM2
Affiliations: 1Clinicopathological Center, The First Affiliated Hospital of Anhui Medical University, Anhui Public Health Clinical Center, Hefei, China; 2Department of Wound Repair & Plastic and Aesthetic Surgery, The First Affiliated Hospital of Anhui Medical University, Anhui Public Health Clinical Center, Hefei, China
Disclosure: The authors disclose no financial or other conflicts of interest.
Author Contributions: Y.W. and Z.X. contributed equally to this work. Y.W. analyzed the pathological features and wrote the manuscript. Z.X. joined the treatment and collated the clinical data. L.F. designed and implemented the individualized treatment regimen.
Correspondence: Linsen Fang, MSM; Department of Wound Repair & Plastic and Aesthetic Surgery, The First Affiliated Hospital of Anhui Medical University, 100 Huaihai Avenue, Hefei, Anhui Province 230022 China; shaoshangke@126.com
Manuscript Accepted: October 5, 2023
References
1. Quintanilla-Martinez L, Ko Y-H, Kimura H, Jaffe ES. EBV-positive T-cell and NK-cell lymphoproliferative diseases of childhood. In: Swerdlow SH, Campo E, Harris NL, Jaffe ES, Pileri SA, Stein H, et al, eds. WHO Classification of Tumours of Haematopoietic and Lymphoid Tissues. 4th ed. IARC; 2017:355-363.
2. Yonese I, Sakashita C, Imadome KI, et al. Nationwide survey of systemic chronic active EBV infection in Japan in accordance with the new WHO classification. Blood Adv. 2020;4(13):2918-2926. doi:10.1182/bloodadvances.2020001451
3. Cohen JI, Iwatsuki K, Ko YH, et al. Epstein-Barr virus NK and T cell lymphoproliferative disease: report of a 2018 international meeting. Leuk Lymphoma. 2020;61(4):808-819. doi:10.1080/10428194.2019.1699080
4. Kim WY, Montes-Mojarro IA, Fend F, Quintanilla-Martinez L. Epstein-Barr virus-associated T and NK-cell lymphoproliferative diseases. Front Pediatr. 2019;7:71. doi:10.3389/fped.2019.00071
5. Rowe M, Fitzsimmons L, Bell AI. Epstein-Barr virus and Burkitt lymphoma. Chin J Cancer. 2014;33(12):609-619. doi:10.5732/cjc.014.10190
6. Liu M, Wang X, Zhang L, et al. Epidemiological characteristics and disease burden of infectious mononucleosis in hospitalized children in China: a nationwide retrospective study. Virol Sin. 2022;37(5):637-645. doi:10.1016/j.virs.2022.07.007
7. Quintanilla-Martinez L, Swerdlow SH, Tousseyn T, Barrionuevo C, Nakamura S, Jaffe ES. New concepts in EBV-associated B, T, and NK cell lymphoproliferative disorders. Virchows Arch. 2023;482(1):227-244. doi:10.1007/s00428-022-03414-4
8. Jones JF, Shurin S, Abramowsky C, et al. T-cell lymphomas containing Epstein-Barr viral DNA in patients with chronic Epstein-Barr virus infections. N Engl J Med. 1988;318(12):733-741. doi:10.1056/NEJM198803243181203
9. Arai A. Chronic active Epstein-Barr virus infection: the elucidation of the pathophysiology and the development of therapeutic methods. Microorganisms. 2021;9(1):180. doi:10.3390/microorganisms9010180
10. Yamada M, Ishikawa Y, Imadome KI. Hypersensitivity to mosquito bites: a versatile Epstein-Barr virus disease with allergy, inflammation, and malignancy. Allergol Int. 2021;70(4):430-438. doi:10.1016/j.alit.2021.07.002
11. Cohen JI, Meyts I. Editorial: EBV infection and human primary immune deficiencies. Front Immunol. 2020;11:130. doi:10.3389/fimmu.2020.00130
12. Asada H, Miyagawa S, Sumikawa Y, et al. CD4+ T-lymphocyte-induced Epstein-Barr virus reactivation in a patient with severe hypersensitivity to mosquito bites and Epstein-Barr virus-infected NK cell lymphocytosis. Arch Dermatol. 2003;139(12):1601-1607. doi:10.1001/archderm.139.12.1601
13. Kimura H, Ito Y, Kawabe S, et al. EBV-associated T/NK-cell lymphoproliferative diseases in nonimmunocompromised hosts: prospective analysis of 108 cases. Blood. 2012;119(3):673-686. doi:10.1182/blood-2011-10-381921
14. Chiu TM, Lin YM, Wang SC, Tsai YG. Hypersensitivity to mosquito bites as the primary clinical manifestation of an Epstein-Barr virus infection. J Microbiol Immunol Infect. 2016;49(4):613-616. doi: 10.1016/j.jmii.2014.01.008
15. Ohsawa T, Morimura T, Hagari Y, et al. A case of exaggerated mosquito-bite hypersensitivity with Epstein-Barr virus-positive inflammatory cells in the bite lesion. Acta Derm Venereol. 2001;81(5):360-363. doi:10.1080/000155501317140106
16. Fujiwara S, Nakamura H. Chronic active Epstein-Barr virus infection: is it immunodeficiency, malignancy, or both? Cancers (Basel). 2020;12(11):3202. doi:10.3390/cancers12113202
17. Lee S, Park CJ, Cho YU, Jang S, Huh J, Kim H. The First Korean Case of Epstein-Barr virus-positive Natural Killer/T-cell lymphoma that progressed from severe mosquito bite allergy, with coexistence of hemophagocytic lymphohistiocytosis. Letter. Ann Lab Med. 2020;40(1):80-83. doi:10.3343/alm.2020.40.1.80
18. Kimura H, Hoshino Y, Kanegane H, et al. Clinical and virologic characteristics of chronic active Epstein-Barr virus infection. Blood. 2001;98(2):280-286. doi:10.1182/blood. v98.2.280



