“The workflow of the ARTIS icono Biplane is exceptional”: Interview and Case Report of a Cerebral Aneurysm Embolization With Dr. Daniel Sahlein
Interventional Neuroradiologist
Goodman Campbell Brain and Spine
Indianapolis, Indiana
Vascular Disease Management speaks with Daniel Sahlein, MD, from Goodman Campbell Brain and Spine in Indianapolis, Indiana, about using the ARTIS icono Biplane for cerebral aneurysm embolization. Dr. Sahlein’s case report follows the interview.
Tell us about your practice at Goodman Campbell Brain and Spine.
Goodman Campbell Brain and Spine is a private neurosurgical practice based in central Indiana. The practice covers all areas of neurological surgery, and there are 4 interventional neuroradiologists and 3 pain anesthesiologists in the partnership. This year, Goodman Campbell is celebrating its 50th anniversary. While the practice covers multiple hospitals for acute ischemic stroke, we are based out of Ascension St. Vincent’s Indianapolis, the largest comprehensive stroke center in Indiana, where we have our office and entire elective practice. Ascension has announced that they are building a dedicated brain and spine hospital on the campus to support the volume and complexity of cases that Goodman Campbell manages. We do a little less than 300 stroke thrombectomy cases per year and 150 to 200 aneurysm cases. In addition, we did approximately 120 middle meningeal artery embolizations last year, which was our first full calendar year offering the service. Approximately 80% of our aneurysm cases are treated endovascularly. We are one of the largest practices in the country with flow diversion.
Can you share with us how you typically plan for your aneurysm embolization cases prior to the procedure?
Most of our elective aneurysm cases have only cross-section neurovascular imaging prior to the procedure. We are an unusual practice in that we have been so busy with embolization and thrombectomy that we typically do more embolizations than angiograms in a given year. The ARTIS icono Biplane (Siemens Healthcare AG) gives us such extraordinary architectural resolution of aneurysms and parent arteries (particularly in a patient under general anesthesia), paired with the workflow that enables analysis in real time, that we don’t feel like preprocedural arteriography under conscious sedation is necessary in most cases.
As the largest Pipeline Embolization Device practice in the United States, we have tremendous experience with the ways in which the ARTIS icono informs our decision-making with respect to real-time workflow, real-time visualization, construct building, and coverage confirmation. The workflow enabled by this machine is outstanding for any aneurysm embolization strategy but particularly when using a device in which outcomes are directly proportional to the degree of architectural understanding.
Workflow on the ARTIS icono is exceptional (Figure 1). I start with a biplane angiogram of the entire head. I then do a 4-second DSA 3D acquisition, adjusting the timing of the delay based on the timing of complete opacification on the planar imaging. The 3D reconstruction can then be used to perform syngo Neuro Aneurysm Analysis (Siemens Healthcare AG) to better understand the arterial diameter(s) and start to plan the pipeline construct, both in diameter and length as well as number of devices. The accuracy of the Aneurysm Analysis diameter is excellent and has given us confidence in device diameter selection that we didn’t have previously (Figure 2).
Often, arteries are ovalized and the average diameter provided by the machine has worked very well for us. In addition, the length measured through curvilinear space has enabled us to use shorter devices—almost exclusively 10 and 12 mm. Previously, we would make 1 linear measurement, then move the 3D, make a second measurement, then add 2 mm for margin of error. Often, the stent sizes would end up in the 14- to 16-mm range. Aneurysm Analysis has therefore had a tremendous impact on the way we select devices (Figure 3).
I then line up my working projections using the 3D reconstruction—using the biplane angles determined by the machine in both A and B planes—which is a massive timesaver and will also save on contrast and radiation. The “C arm follows 3D” (Siemens Healthcare AG) function can be utilized to automate the image intensifier and table movement into my selected projections (Figure 4). I typically use either the highest magnification or second highest on each projection. I then do another angiographic run to confirm that these are the appropriate projections and that I have centered my area of interest appropriately and convert these to roadmap images (OPTIQ DSA, Siemens Healthcare AG). The DSA run-to-roadmap conversion enables me to choose the exact frame that I want to use in each projection–an advantage over traditional roadmapping—and it also provides a sharper-appearing roadmap. I can also adjust the radiation usage of the roadmap and even change the radiation usage depending on which part of the case I am doing (catheterization, stent deployment, recapture, etc.), which gives me extraordinary flexibility in the way that I use radiation for the desired tradeoff of radiation usage vs resolution.
I then do the catheterization, which has been aided by the roadmapping feature and how easy it is to see catheters on guidewires on the ARTIS icono. I then deploy the devices, using a single shot as necessary. Next, I remove the microcatheter and perform magnified arteriograms through the support catheter and
arteriograms of the entire head. I then finish with a syngo DynaCT Micro (Siemens Healthcare AG) with contrast, which provides extraordinary resolution of the stent construct, including stent-stent apposition, stent-wall apposition, and any central filling defects (Figure 5).
The power of the tools on the ARTIS icono enables a streamlined workflow, with ease of analyzing target aneurysms and parent artery architecture, powerful tools for setting up working projections in both planes, ease of catheter and wire visualization, clarity in planar imaging to look for any issues with the construct or complications such as thromboemboli, and extraordinarily high-resolution follow-up imaging using DynaCT Micro for any issues with the stent construct apposition or early thrombus formation.
How does imaging impact your ability to safely treat aneurysms and provide a positive clinical outcome for these patients?
Image quality changes outcome in aneurysm treatment in multiple ways. Accuracy in aneurysm/parent artery sizing enables better tool selection, whether for a saccular or endoluminal approach. 3D resolution with real-time pixel shifting and active noise suppression yields unparalleled visualization during catheterization and deployment, giving the user that much more confidence during the catheterization and device deployment, irrespective of the approach. The pipeline stent is easily visualized on the roadmap, particularly if the resolution/radiation level is adjusted for this part of the procedure. The “Show Progress” tool has replaced the need for repeat roadmaps or runs, especially during coil embolization. This is critically important as repeat arteriography isn’t always a good solution in these cases; for a narrow-neck aneurysm, the catheter is often partially occlusive, thereby limiting opacification of the most important component of the study. As a result, the repeat studies often exclude parts of the aneurysm, leading to confusion during coil deployment, which might appear to be outside of the boundary of the aneurysm dome. The “Show Progress” tool enables a coil-by-coil visualization using the original native roadmap prior to aneurysm selection.
Endovascular neuro cases can be quite challenging, requiring long fluoroscopy times and image acquisitions, which can subsequently result in higher radiation doses. How do you minimize the dose to yourself, staff, and patients?
ARTIS icono has multiple radiation mitigation mechanisms. First, there is extra-low dose setting for DSA, which uses extraordinarily little radiation. We use this setting typically for cases that are less dependent on resolution. This might include stroke thrombectomy, middle meningeal artery embolization, or ear, nose, and throat work such as epistaxis or head and neck tumor embolization. Even on the higher setting, the radiation usage is substantially less than other machines without sacrificing any resolution. In addition, there are 3 settings of roadmap radiation usage.
How do you verify flow diverter apposition?
As we use more braided devices, either of the intrasaccular or endoluminal variety, the verification of coverage across an aneurysm neck, device-device apposition, and device-wall apposition becomes increasingly important. The resolution afforded by DynaCT Micro is without parallel and not only gives us a unique opportunity to modify constructs with the patient still on the table, but also changes the way we approach device construction and the way we understand efficacy. There are no planar images that afford even close to the resolution of DynaCT Micro.
Case Report
Utilization of ARTIS icono Biplane for Cerebral Aneurysm Embolization
Daniel Sahlein, MD
Goodman Campbell Brain and Spine, Indianapolis, Indiana
Introduction
This case report presents two cases in which the ARTIS icono biplane was used for cerebral aneurysm embolization by Goodman Campbell Brain and Spine.
Case #1
In the first case, a healthy 59-year-old patient presented to the ER with aneurysmal subarachnoid hemorrhage and an unusual ruptured right internal carotid artery dorsal wall aneurysm (Figure 6). While each practice approaches these somewhat differently, this is a flow diversion case for Goodman Campbell Brain and Spine.
Access in a case such as this must be obtained with extreme care and the utmost precision. Note the clarity and visualization of the support catheter (0.058" Navien [Medtronic]) and microcatheter (Phenom 27 [Medtronic]), even without the presence of a wire (Figure 7).
A 3D reconstruction of the aneurysm and DynaCT Micro image of the stent construct was performed (Figure 8). This is a 3-stent construct. There was extraordinary coverage over the neck of the aneurysm with 2-stent coverage over the distal ophthalmic segment and 1-stent coverage extending into the cavernous segment.
The patient returned for a 6-month follow-up angiography (Figure 9). 3D DSA and DynaCT Micro fusion imaging demonstrated the stent construct and aneurysm segment. The aneurysm was cured, and the patient was neurologically normal and returned to work.
Case #2
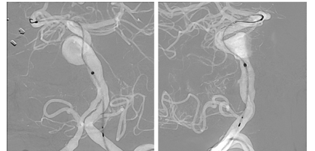
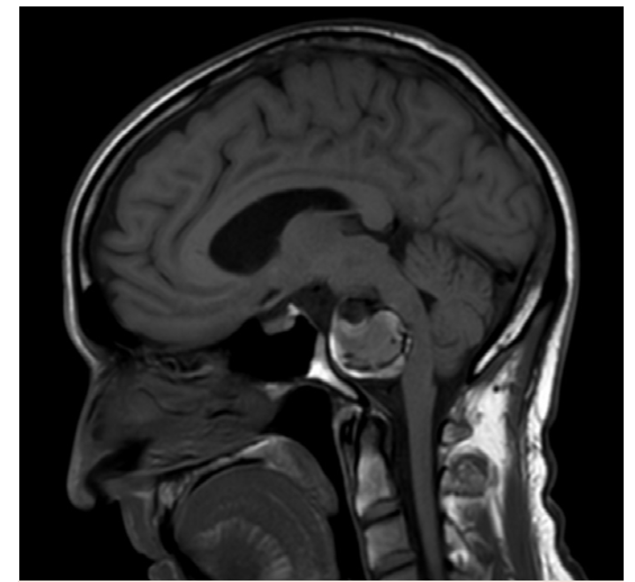
In this case, a healthy 62-year-old presented with a partially thrombosed giant vertebrobasilar junction and midbasilar aneurysm (Figure 10).
Imaging was performed with a 4-second DSA 3D acquisition with simultaneous injection in both vertebral arteries, power-injected on the left and hand-injected on the right (Figure 11). The plan based on these images was to flow divert from the left vertebral artery into the distal basilar artery and coil the distal right vertebral artery. Originally, the plan was to embolize the right vertebral artery distal to the posterior inferior cerebellar artery (PICA) origin. However, this plan changed based on findings from the right vertebral injection—findings that were dependent on the resolution of the imaging.
The aneurysm analysis tool was utilized to assess arterial diameters in both the distal and proximal landing zones as well to choose a stent length for the first stent and make an initial plan for the construct (Figure 12).
Access was quickly obtained using an Aristotle 18 guidewire (Scientia Vascular) (Figure 13). This is the lowest radiation roadmap setting. Note the outstanding visualization of the catheters and wires. In a long, complex, high-risk case, excellent visualization and radiation sparing are 2 major priorities. The ARTIS icono enables both.
The first pipeline stent was aligned tip-to-tip and ready for deployment (Figure 14). Stent visualization is another major strength of the ARTIS icono. If the DSA roadmap feature is utilized, making a roadmap from a frame of an arteriographic run, then switching to a higher-radiation roadmap setting is an option at this point.
After a 3-stent construct was built, a DynaCT Micro with contrast was obtained, which demonstrated excellent stent-stent and stent-wall apposition (Figure 15). Even more important, it resolved an entire collateral arcade, replacing the native basilar artery and extending from the distal left vertebral artery (no stent covering the origin) to the distal basilar artery (1-stent coverage). This anatomic resolution enabled a more aggressive approach to the aneurysm neck, and ultimately 6 stents were placed. This anatomic collateral has previously been theorized and assumed to occur in the setting of giant midbasilar aneurysms without infarct. However, with DynaCT Micro, it can actually be visualized.
The original plan was to coil off the right vertebral artery distal to PICA. However, the imaging resolution of the ARTIS icono enabled visualization of critical medullary perforators distal to the PICA origin (Figure 16). The plan was therefore modified to coil off the vertebral distal to the most distal of these perforators. The distal right vertebral artery was successfully embolized distal to the perforators (Figure 17).
The patient returned for a 6-month follow-up angiography. Anterior-posterior, lateral, and 3D dual volume imaging was done at 6 months (Figure 18). Note the calcified shell of the aneurysm on the 3D image. The patient was neurologically normal and returned to work as well as running multiple times per week.


