A True Axillary Artery Aneurysm Presenting as Acute Ischemia of the Upper Extremity
© 2024 HMP Global. All Rights Reserved.
Any views and opinions expressed are those of the author(s) and/or participants and do not necessarily reflect the views, policy, or position of Vascular Disease Management or HMP Global, their employees, and affiliates.
VASCULAR DISEASE MANAGEMENT 2024;21(3):E21-E23
Abstract
Background. True axillary artery aneurysms are uncommon but dangerous lesions. They remain asymptomatic until a complication occurs. We report a case of a left axillary artery aneurysm revealed by acute ischemia of the upper extremity. Case Report. An 87-year-old man presented to the emergency department with pain and ischemic symptoms of the tips of fingers of his left hand. Humeral and distal pulses were absent and a neurological examination of the upper extremity showed paresthesia of the fingers. An axillary artery aneurysm was seen on computed tomography, but there was no opacification of the distal arteries. The patient underwent an excision of the aneurysmal segment and graft interpositioning with a polytetrafluoroethylene graft. Embolectomy of the distal arteries using a Fogarty arterial embolectomy catheter (Edwards Lifesciences) was also performed. Distal pulses were normal after the anastomosis. Conclusion. Although aneurysms of the axillary artery are rare and mostly asymptomatic, they should be treated early to prevent complications such as distal embolization. Thus, surgical or endovascular repair, if suitable, should not be delayed.
Introduction
A peripheral artery aneurysm in the upper limb is a rare condition. True aneurysms of the axillary artery on an atherosclerosis basis are uncommon and remain asymptomatic until a complication occurs, threatening the upper extremities with vascular and neurologic compromise. There have been a few reports in the literature describing atraumatic atherosclerotic aneurysms of the axillary artery. Here, we report a case of a left axillary artery aneurysm in a patient with no history of trauma or degenerative changes revealed by acute upper limb ischemia.
Case Report
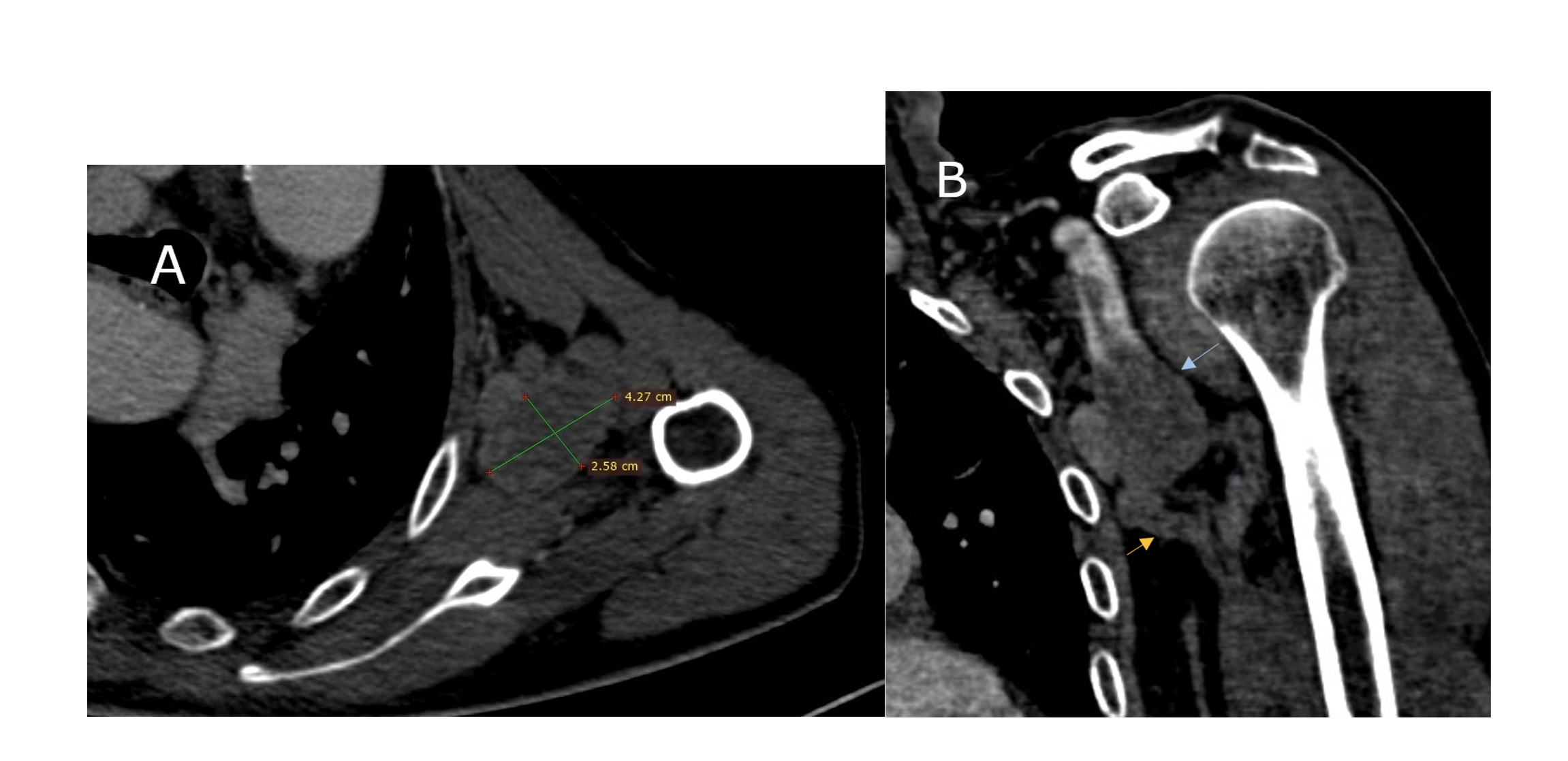
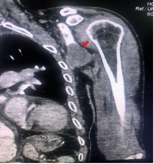
An 87-year-old man presented to the emergency department with the complaint of increasing pain and numbness in his left forearm, associated with cyanosis of the tips of the fingers of his left hand evolving since the day before (Figure 1). He had no history of trauma or vascular intervention, but he was hypertensive and receiving oral anticoagulation therapy for chronic atrial fibrillation. No axillary mass was seen in the physical examination; however, humeral, ulnar, and radial pulses were absent and a neurological examination of the upper extremity showed paresthesia of the fingers. His body temperature was within normal limits but his left upper limb was cold. Computed tomography angiography (CTA) showed a completely thrombosed fusiform aneurysm of the left axillary artery with a dimension of 4.2 cm x 2.4 cm. (Figure 2A and B). The distal arteries were not contrasted; we immediately started intravenous heparin, and urgent open surgical resection of the aneurysm was planned. Under general anesthesia and through an infraclavicular incision, we controlled the axillary artery upstream from the aneurysm, then the brachial artery after a brachial approach. The aneurysmal mass was carefully dissected and separated from the surrounding tissues. Care was taken not to injure the brachial plexus. After thrombectomy of the brachial, radial, and ulnar arteries using a Fogarty arterial embolectomy catheter (Edwards Lifesciences), we completely resected the aneurysm. Arterial continuity was established with an 8-mm ringed polytetrafluorethylene (PTFE) graft from the infraclavicular axillary artery to the proximal brachial artery, as the saphenous vein was of inadequate quality. Distal and proximal anastomosis were done in an end-to-end fashion. Distal pulses were normal after the anastomosis, and no complications occurred during the procedure. A pathological examination of the aneurysm sac revealed a true axillary artery aneurysm on an atherosclerosis basis. The postoperative course was uneventful, the patient’s symptoms improved, and he was discharged on the third postoperative day without sequelae.
Discussion
Axillary artery aneurysms are rare, representing only 1% of all peripheral arterial aneurysms.1 The most frequent etiology reported is blunt trauma, but other causes have been reported including infections, post-stenotic dilation from thoracic outlet syndrome, and collagen vascular disease.2
These aneurysms remain mostly asymptomatic, but symptoms may occur. Thromboembolism is the first complication seen with axillary artery aneurysms, which may lead to ischemic symptoms of the upper limb as well as stroke from embolization into more proximal arteries. A growing aneurysm may compress surrounding structures, such as the brachial plexus, leading to numbness of the upper extremity and, worse, possible rupture with hemorrhage. Local infection may also occur.3
The diagnosis is confirmed by CTA, which can also show the extent of the aneurysm, lumen size, and the presence of thrombus in the aneurysm sac.4
While small asymptomatic aneurysms may be followed conservatively, symptomatic ones should be treated. The recommended approach is surgical repair with resection and graft interposition with an autologous vein or prosthesis. Brachial or axillary veins may be used, but saphenous grafting has shown better results for long-term patency and less tendency to develop aneurysms. PTFE grafting is also used successfully for reconstruction.5
Because of the morbidity of open surgery, especially with high-risk patients, endovascular treatment has become recommended if suitable.6 Although endovascular techniques are improving, they do have some disadvantages. Endoleaks after stent grafting are common due to the anatomy of the axillary artery presenting with many collaterals. Also, the shoulder’s joint mobility and extrinsic force from the thoracic outlet may increase the risk of stent fracture or collapse. Therefore, conventional surgery is preferred in most patients.
Conclusion
Mostly asymptomatic, axillary artery aneurysms could be revealed by complications such as compression symptoms, distal embolization, or rupture. Early diagnosis and treatment are necessary and should not be delayed to avoid serious sequelae. Open surgery repair has been the standard care, but endovascular treatment is an evolving option. n
The authors have completed and returned the ICMJE Form for Disclosure of Potential Conflicts of Interest. The authors report no financial relationships or conflicts of interest regarding the content herein.
Manuscript accepted March 15, 2024.
Address for Correspondence: Khedija Soumer, MD, Department of Cardiovascular Surgery, Abderrahman Mami Pneumology and Phtisiology Hospital, Rue de l'Hôpital, 2080 Ariana, Tunisia. Email: soumerkhedija@gmail.com
REFERENCES
1. Igari K, Kudo T, Toyofuku T, Inoue Y. Bilateral axillary artery aneurysms presenting as upper limb ischemia. Ann Vasc Surg. 2015;29(8):1659.e9-12. doi:10.1016/j.avsg.2015.05.031
2. Saito Y, Taniguchi S, Watanabe K, Fukui K, Fukuda I. Bilateral axillary arterial aneurysms in siblings with Marfan syndrome. Ann Vasc Surg. 2014;28(3):740.e13-16. doi:10.1016/j.avsg.2013.06.025
3. Malik MK, Kraev AI, Hsu EK, Clement MHC, Landis GS. Spontaneous axillary artery aneurysm: a case report and review of the literature. Vascular. 2012;20(1):46-48. doi:10.1258/vasc.2011.cr0293
4. Ben Mrad M, Neifer C, Ghedira F, Ghorbel N, Denguir R. A true distal brachial artery aneurysm treated with a bifurcated saphenous vein graft. Ann Vasc Surg. 2016;31:207.e9-207.e11. doi:10.1016/j.avsg.2015.08.009
5. Tetik O, Yilik L, Besir Y, et al. Surgical treatment of axillary artery aneurysm. Tex Heart Inst J. 2005;32(2):186-188; discussion 185.
6. Bowman JN, Ellozy SH, Plestis K, Marin ML, Faries PL. Hybrid repair of bilateral subclavian artery aneurysms in a patient with Marfan syndrome. Ann Vasc Surg. 2010;24(1):114.e1-5. doi:10.1016/j.avsg.2009.04.005


